Kieferorthopädie 07.02.2024

Umstellungsosteotomie ohne Kieferorthopädie sinnvoll?



Umstellungsosteotomie ohne Kieferorthopädie sinnvoll?

Foto: Karsten Junghanns und Dr. Heiko Goldbecher

Im Erwachsenenalter ist eine Korrektur von schwerwiegenden Kieferfehlstellungen nur als kieferchirurgisch-kieferorthopädische Kombinationsbehandlung möglich. Aufgrund der veränderten Morphe und Funktionsmuster nach der OP ist immer zusätzlich eine begleitendende funktionskieferorthopädische Therapie und Logopädie notwendig und sinnvoll. So können Komplikationen vermieden und das erzielte Ergebnis langfristig stabilisiert werden.

Fallvorstellung

Die Patientin stellte sich erstmals aufgrund einer Überweisung ihres neuen Hauszahnarztes im Jahr 2019 für eine kieferorthopädische Beratung bei uns vor. Seitens der Patientin bestand der Wunsch nach einer umfassenden Diagnostik und Therapieplanung, welche zu einem zufriedenstellenden langzeitstabilen Ergebnis führt. Zum Zeitpunkt der Untersuchung lag ein teilweise implantatprothetisch versorgtes Lückengebiss vor. Es zeigte sich eine ausgeprägte Rücklage des Unterkiefers mit einer sagittalen Schneidekantenstufe von ca. 15 mm bei einer Distalokklusion um eine Prämolarenbreite. Zusätzlich bestanden ein inkompetenter Mundschluss und ein viszerales Schluckmuster. Mit der Patientin wurden die möglichen Optionen besprochen und nach einer ausführlichen Aufklärung vereinbart, ein diagnostisches Set-up anzufertigen und eine kieferchirurgische Expertise für eine zu planende Umstellungsosteotomie einzuholen.

Behandlungsplanung

Vom Mund-Kiefer-Gesichtschirurgen wurde eine Umstellungsosteotomie zur Behandlung der ausgeprägten Kieferfehlstellung befürwortet und empfohlen. Eine anfänglich in Erwägung gezogene alleinige Vorverlagerung des Unterkiefers wurde zugunsten einer bimaxillären Umstellungsosteotomie verworfen. Nach Auswertung der Modellanalyse und einer Modell-OP sollte auf eine dentoalveoläre Dekompensationsbehandlung vor der OP verzichtet werden. Durch die Kopplung von Morphe und Funktion ist jedoch bei einer Umstellungsosteotomie immer davon auszugehen, dass sich die Weichgewebe einschließlich Muskulatur an die postoperative Situation anpassen müssen und es daher einer begleitenden myofunktionellen Therapie bedarf. Außerdem ist in der Regel nicht davon auszugehen, dass intraoperativ eine maximale Interkuspidation erreicht wird und nach der OP stabil ist. Aus diesen Gründen wurden in Abstimmung mit dem Hauszahnarzt, Mund-Kiefer-Gesichtschirurg und dem Kieferorthopäden vor der Anfertigung einer neuen definitiven prothetischen Versorgung eine kieferchirurgisch-kieferorthopädische Kombinationsbehandlung geplant, welche insbesondere einen Schwerpunkt auf die myofunktionelle Vorbereitung der Weichgewebe legt. Die Patientin war mit dem Behandlungskonzept einverstanden und entschied sich für den vorgeschlagenen Therapieplan.

Umstellungsosteotomie ohne Kieferorthopädie?

Die gesetzliche Krankenkasse (GKV) lehnte aufgrund eines angeforderten Gutachtens die geplante kieferchirurgisch-kieferorthopädische Kombinationsbehandlung ab. Zwar sei eine Umstellungsosteotomie indiziert, eine kieferorthopädische Behandlung jedoch nicht notwendig. Das Einschleifen zur OP und die später geplante prothetische Versorgung seien ausreichend. Die Kosten für die geplante OP würden von der Krankenkasse übernommen, eine kieferorthopädische Behandlung sei jedoch von der Patientin selbst zu tragen. Aufgrund der Intervention des Kieferorthopäden wurde im Rahmen einer Einzelfallentscheidung ein einzelnes FKO-Gerät genehmigt. So konnte ein offener Aktivator als myofunktionelles Gerät eingegliedert werden. Einen Monat später wurde die bimaxilläre Umstellungsosteotomie durchgeführt.

Postoperative Behandlung

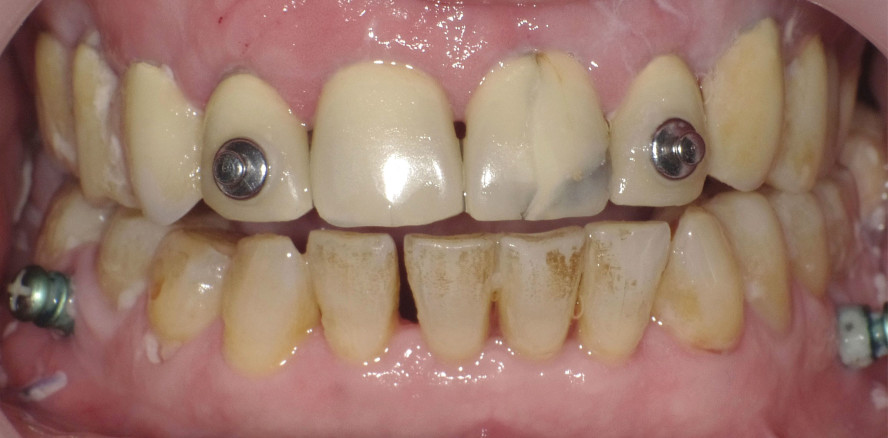
Postoperativ zeigte sich eine Parästhesie im Bereich der Unterlippe sowie ein frontal offener Biss. Noch während der Immobilisationsphase wurden durch den Kieferorthopäden an 12 und 22 Knöpfchen geklebt (Abb. 3), sodass die Patientin Gummis zu den noch vorhandenen Pins im Unterkiefer Regio 35/36 und 45/46 spannen konnte. Während der Mobilisationsphase zeigten sich Beschwerden im Kiefergelenk und Schwierigkeiten, intuitiv die neue Schlussbisslage zu finden. Mithilfe des offenen Aktivators und logopädischer und manualtherapeutischer Unterstützung konnte die myofunktionelle Situation schrittweise verbessert werden, sodass nach einem Jahr ein akzeptables Ergebnis hinsichtlich Schlussbisslage, Mastikation und Beschwerdefreiheit des Kiefergelenks erreicht werden konnte. Nach einer ca. halbjährigen Stabilisierungsphase konnte mit einer kontinuierlichen Reduktion der Tragezeit des Aktivators begonnen werden (Abb. 4). Zwei Jahre nach der Umstellungsosteotomie konnte beim Hauszahnarzt mit der Anfertigung des definitiven Zahnersatzes begonnen und ein weiteres Vierteljahr später erfolgreich abgeschlossen werden (Abb. 5).

Fazit

Häufig ist bei der Behandlung einer schwerwiegenden Kieferfehlstellung im Erwachsenenalter die Notwendigkeit einer Kombinationsbehandlung offensichtlich. Dieser Fall zeigt exemplarisch, dass bei einer chirurgischen Bisslagekorrektur zwangsläufig auch eine Umstellung der myofunktionellen Funktion erfolgen muss; nur so kann das Kauen, Beißen und Sprechen mit der neuen Morphe trainiert werden. Es ist nicht ausreichend nach der OP ausschließlich Einschleifmaßnahmen vorzunehmen. Die erforderliche myofunktionelle Vorbehandlung und Nachsorge liegt nicht in der Hand des Chirurgen, da dieser oftmals fachlich nicht entsprechend geschult ist. Erschwerend traten bei dieser Patientin Symptome einer craniomandibulären Dysfunktion nach der Umstellungsosteotomie auf. Nur durch eine intensive Intervention des Kieferorthopäden in Zusammenarbeit mit Logopädie und Manualtherapeuten konnten diese erfolgreich therapiert werden. Die umfassende Betreuung des Patienten und die Bewältigung aller auftretenden Risiken und Komplikationen ist nur im Zusammenspiel der einzelnen Fachdisziplinen umsetzbar.

Dieser Beitrag ist in den KN Kieferorthopädie Nachrichten erschienen.

Mehr Fachartikel aus Kieferorthopädie

ePaper