Kieferorthopädie 12.12.2023

Frühbehandlung nach aktueller Vorgabe der S3-Leitlinie



Frühbehandlung nach aktueller Vorgabe der S3-Leitlinie

Foto: Georg-August-Universität Poliklinik für Kieferorthopädie

Dieser Artikel ist unter dem Originaltitel: "Frühbehandlung nach aktueller Vorgabe der S3-Leitlinie Ideale Behandlungszeitpunkte kieferorthopädischer Anomalien" in den KN Kieferorthopädie Nachrichten erschienen. 

Die aktuelle S3-Leitlinie der Kieferorthopädie legt einen Fokus auf den idealen Zeitpunkt der kieferorthopädischen Therapie. Vor allem der medizinisch präventive Charakter der Behandlung wird optimal beleuchtet. Allgemein lässt sich die kieferorthopädische Therapie in verschiedene Behandlungsstadien unterteilen: Diese lassen sich u. a. in Frühbehandlung, frühe Behandlung und Hauptbehandlung gliedern (nach der GKV). Eine Einstufung bezüglich des kieferorthopädischen Behandlungsbedarfs wird in allen drei Phasen anhand der kieferorthopädischen Indikationsgruppe (KIG) vorgenommen. Dieses enge Korsett führt leider immer häufiger zu einer Abwendung von wissenschaftlichen Empfehlungen, besonders in Bezug auf die Frühbehandlung. Gerade deshalb ist es eine absolute Notwendigkeit, die neue S3-Leitlinie als wissenschaftliche Basis heranzuziehen, sobald Entscheidungen bezüglich des idealen Behandlungsbeginns getroffen werden sollen.

So konnte beispielsweise belegt werden, dass eine frühe Behandlung der Klasse III-Dysgnathie die Notwendigkeit einer operativen Korrektur der Anomalie deutlich reduziert (S3-Leitlinie zum idealen Behandlungszeitpunkt kieferorthopädischer Anomalien; S. 51). Außerdem wirkt sich die frühe Intervention positiv auf die Atmung aus und somit auf die Allgemeingesundheit unserer Patienten. Exemplarisch für den Erfolg einer frühen Behandlung soll im Folgenden die Therapie einer Klasse III-Dysgnathie vorgestellt werden.

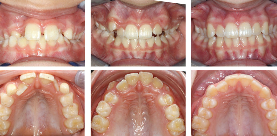
Erstvorstellung

Die Patientin stellte sich 2015 im Alter von 6 Jahren und 4 Monaten nach Überweisung durch den Hauszahnarzt in der Poliklinik für Kieferorthopädie der Universitätsmedizin Göttingen vor. Es wurde eine Dysgnathie des progenen Formenkreises mit frontalem Engstand im Oberkiefer bei Progenverzahnung 12/22 diagnostiziert. Ebenfalls zeigte sich ein skelettal schmaler Oberkiefer mit einem Kreuzbiss rechtsseitig. Dieser führte zur Laterognathie nach rechts mit Zwangsbisskomponente. Extraoral zeigte sich ein konvexes Profil bei negativer Lippentreppe.Im Fokus der Behandlung standen daher folgende Zielsetzungen:

  1. Transversale Erweiterung des Oberkiefers
  2. Auflösung des frontalen Kreuzbisses und anteriore Nachentwicklung der Maxilla 
  3. Beseitigung des viszeralen Schluckmusters
  4. Einstellen einer gesicherten Okklusion mit korrektem Overjet und Overbite unter Berücksichtigung der skelettalen Klasse III

Frühbehandlung

Die neue Deutsche Mundgesundheitsstudie (DMS 6) konnte zeigen, dass nur bei 0,7 Prozent der acht- bis neunjährigen Kinder ein orthopädisch naturgesundes Gebiss vorliegt (Jordan et al. 2021). Assoziationsanalysen bewiesen, dass bei einer vorliegenden Dysgnathie häufig eine Einschränkung der mundgesundheitsbezogenen Lebensqualität mit Schwierigkeiten bei der Nahrungsaufnahme besteht. Diese Assoziationen geben Hinweise auf den medizinisch prophylaktischen Charakter kieferorthopädischer Behandlungen sowie die Bedeutung der frühzeitigen Intervention. Eine der Kernaufgaben der Kieferorthopädie ist die präventive bzw. korrektive Behandlung und Beseitigung von Fehlfunktionen. Weiterhin sollen Zahn- und Kieferfehlstellungen mit Krankheitswert behoben werden (Jordan et al. 2021). Transversale Diskrepanzen sollten daher frühzeitig therapiert werden, um einer fehlerhaften Adaptation des Skeletts und dem Risiko einer progredienten Wachstumsstörung mit Manifestation einer skelettalen Dysgnathie vorzubeugen. Diese Aspekte liefern weitere Gründe für die frühe Behandlung (Kennedy und Osepchook 2005).

Bei der oben genannten Patientin wurde die Überstellung des seitlichen Kreuzbisses mithilfe einer konventionellen Hyrax-Apparatur durchgeführt, welche durch zusätzliche Protrusionsfedern die Progenverzahnung von 12/22 auflöste (Göz 2000).Außerdem wurden okklusale Interferenzen durch das Einschleifen von 53 und 83 beseitigt, um die funktionelle Verschiebung des Unterkiefers zu minimieren (Kennedy und Osepchook 2005). Vergleicht man die Intervention auf transversaler Ebene in der Früh- vs. Regel-/Spätbehandlung, zeigt sich, dass die Anomalie frühzeitig behandelt werden sollte (S3-Leitlinie Ideale Behandlungszeitpunkte kieferorthopädischer Anomalien; S. 71 ff.).

Insbesondere bei jungen Patienten kann die hohe Adaptivität der maxillären Strukturen ausgenutzt werden, um muskulären Fehlfunktionen entgegenzuwirken und eine koordinierte transversale und sagittale Weiterentwicklung der Kiefer zu ermöglichen (Baccetti et al. 2001, Bicakci et al. 2005). Wird erst im permanenten Gebiss nach dem pubertären Wachstumspeak behandelt, so zeigen sich hauptsächlich dentoalveoläre Effekte bei transversaler Erweiterung, allerdings keine dauerhafte skelettale Breitenzunahme des Oberkiefers. Bei einer Behandlung vor dem pubertären Wachstumsschub konnten Baccetti et al. 2001 eine signifikante Zunahme der Oberkieferbreite belegen. Einige Autoren empfehlen sogar bereits eine kieferorthopädische Erweiterung auf transversaler Ebene in der späten Phase der Milchdentition (Lippold et al. 2013).

Werden nun Aspekte der kieferorthopädischen Frühbehandlung bei Klasse III-Dysgnathie in der Milch- bis einschließlich Ruhegebissphase betrachtet, zeigt sich, dass diese vor allem zum Ziel hat, die Maxilla im Wachstum zu fördern sowie orofaziale Funktionen zu normalisieren (Harzer 2021). Die Fachliteratur verweist darauf, dass der optimale Behandlungszeitpunkt einer der wichtigsten Faktoren für eine erfolgreiche Therapie ist (Melsen und Melsen 1982, Proffit et al. 2006). Auch in der S3-Leitlinie aus dem Jahr 2021 zum idealen Behandlungszeitpunkt kieferorthopädischer Anomalien wird deutlich, dass eine frühzeitige Beseitigung der Anomalie die progrediente Entwicklung der Klasse III verhindert (Diedrich und Berg 2000). Die Studienlage zeigt, dass ein Therapiebeginn vor dem achten Lebensjahr für eine maximale skelettale Wirkung wünschenswert ist (Delaire 1997, Jager et al. 2001, Wichelhaus 2013). In dem vorliegenden Patientenfall war aufgrund der moderaten Ausprägung der mesialen Kieferbasenrelation eine rein kieferorthopädische Therapie anzustreben (Stellzig-Eisenhauer et al. 2002, Segner und Hasund 2003). Die Hyrax-Apparatur wurde mit einer Delaire-Maske zur Protraktion der Maxilla auf orthopädischer Ebene kombiniert (Proffit et al. 2006).

Aufgrund des zu erwartenden mandibulären Wachstums im Rahmen der Pubertät musste der Sicherung eines physiologischen Overjets und Overbites besondere Aufmerksamkeit gewidmet werden. Ein Cochrane-Review konnte eine Verbesserung der skelettalen Lagebeziehung zwischen Maxilla und Mandibula durch frühzeitige Therapie mittels Gesichtsmaske zeigen, wobei die mittlere Verbesserung des ANB-Winkels nach einem Jahr 3,93° betrug (Watkinson et al. 2013).

Der Einsatz der Delaire-Maske hat vor allem die Anteriorverlagerung der Maxilla zum Ziel (Franchi et al. 2004, Baccetti et al. 2011). Im beschriebenen Patientenfall konnte eine Vergrößerung des ANB-Wertes um 3,7° erreicht werden. Zusätzlich kam es in der Mandibula zu einer posterioren Rotation von 2,3°, welche zu einer Verbesserung der skelettal sagittalen Situation führte.Zudem zeigten sich im Drei- und Sechs-Jahres-Follow-up günstige Wirkungen einer frühen Behandlung bei Klasse III-Dysgnathie mit einer Protraktionsmaske bei Patienten unter zehn Jahren (Anne Mandall et al. 2012, Mandall et al. 2016). Eine frühe Protraktionsbehandlung kann außerdem den Bedarf an orthognathen Operationen erfolgreich reduzieren. Die Wahrscheinlichkeit einer Operationsindikation ist 3,34-mal höher, wenn keine kieferorthopädische Behandlung durchgeführt wird (Mandall et al. 2016).

Im Laufe der Therapie ließ sich, wie bei vielen Dysgnathien, eindeutig ein interdisziplinärer Aspekt der Behandlung aufzeigen. So musste auch bei dieser Patientin zu Beginn der Behandlung sowie fortlaufend das Schluckmuster korrigiert und trainiert werden. Dieses diente zum einen der Prävention von Fehlentwicklungen und unterstützte zum anderen auch die Retention des kieferorthopädischen Behandlungsergebnisses.

In der aktuellen S3-Leitlinie wird ein direkter Zusammenhang zwischen kieferorthopädischen Anomalien und Störungen des Schluckaktes aufgezeigt. Ein atypisches Schluckmuster stellt demnach einen Ausgleichsmechanismus für eine bereits bestehende kieferorthopädische Anomalie dar und sollte begleitend therapiert werden (Maspero et al. 2014).

Im Anschluss wurde im vorliegenden Patientenfall zur Sicherung der Transversale und des überstellten frontalen Kreuzbisses eine Oberkieferplatte eingegliedert. Durch die gute Compliance der Patientin konnte die Frühbehandlung mit einem zufriedenstellenden Ergebnis abgeschlossen werden.

Hauptbehandlung

Aufgrund der erfolgreich durchgeführten Frühbehandlung ergab sich in der Hauptbehandlung die Indikation zur dentalen Kompensation der skelettalen Anomalie. Auf dentaler Ebene konnte der Platzmangel im Oberkiefer durch Modifizierung der Oberkieferplatte mit Distalschrauben für 16/26 sowie Protrusionsfedern für 12/22 weitestgehend aufgelöst werden. Folgend wurde die Steuerung des Wachstums in den Mittelpunkt gestellt. Vor allem während des pubertären Wachstumsschubs musste die mandibulomaxilläre Relation gehalten und der erreichte Overjet stabilisiert werden. Hierfür wurde ein Umkehrbionator inseriert, der den erreichten frontalen Überbiss stabilisieren und zugleich das Wachstum positiv modellieren konnte (Garattini et al. 1998).

Ebenso sollte die richtige Lage und Funktion der Zunge und ihre Einflussnahme auf die Mundhöhle reguliert werden. Daher erfolgte die Platzierung der Coffin-Feder umgekehrt (nach distal offen). Diese funktionsregulierenden Aspekte stellten für Balters ein wichtiges Behandlungsziel dar (Scheffler 1970).

Die Insertion der Multibandapparatur wurde aufgrund der mesialen Konfiguration und der Behandlungshistorie über den pubertären Wachstumspeak hinausgezögert. Hauptzielsetzung war weiterhin die ständige Kontrolle des positiven Overjets und das Halten der Molarenverzahnung. Die Bracketapplikation erfolgte im indirekten Klebeverfahren. Hierzu wurde mithilfe der Software OnyxCeph eine Übertragungsschiene über zuvor ideal positionierte Brackets designt undanschließend im dreidimensionalen Druckverfahren hergestellt. Die Genauigkeit kann als sehr hoch eingestuft werden und das Alignment ist gut vorhersagbar (Li et al. 2019).

Für die Kompensationsbehandlung der Klasse III wird im MBT-System die Verwendung kontralateraler Eckzahnbrackets im Unterkiefer empfohlen, um einen distalen Tip von –3° zu erreichen. Dies vereinfacht die dentoalveoläre Kompensation durch einen Verankerungsgewinn (Bennett und McLauhlin 2014). Zur Vermeidung einer Verkleinerung des Overjets im Rahmen der Nivellierung wurde bei Insertion der Multibandapparatur von 33 bis 43 approximale Schmelzreduktion durchgeführt. Trotzdem ließ sich im FRS diagnostizieren, dass es zu einer Protrusion der Front kam (+4,3°).

Tab. 1: Bogenreihenfolge der Multibandphase.

Das sich ergebende Outcome war aufgrund der nun immer noch leicht retrudiert stehenden Unterkieferfront (UK1-NB bei 20,8°) und sicherem Erhalt des Overjets jedoch zielführend. Bei der Sicherung des frontalen Überbisses ist der vorprogrammierte Torque der MBT-Brackets von –6° in der Unterkieferfront vorteilhaft, um eine Proklination dieser beim Einsetzen von Kantbögen zu vermeiden (Bennett und McLauhlin 2014).

Zwar ist zur Kompensation des mandibulären Restwachstums eine leicht vergrößerte Frontzahnstufe wünschenswert, dennoch sollte eine möglichst sichere Frontzahnabstützung im Hinblick auf den dritten Aspekt der „six keys to normal occlusion“ (Andrews 1972) erreicht werden. Da der Fokus bei der Multibandtherapie zu Beginn auf dem sicheren Erhalt des Overjets lag, wurde trotz Engstands im Oberkieferfrontzahnbereich keine approximale Schmelzreduktion durchgeführt. Zwischenzeitlich kam es daher zur Protrusion der Oberkieferfrontzähne und Vergrößerung des Overjets. Dieser wurde in der Führungsphase durch approximale Schmelzreduktion kontrolliert reduziert. Die approximale Schmelzreduktion war aufgrund der ausgeprägten Tonn-Diskrepanz (OK-Dentition zu breit für UK-Dentition) indiziert (Tonn 1937). In der Retentionsphase wurde im Oberkiefer auf einen festsitzenden Retainer verzichtet, um bei weiterem Unterkieferwachstum eine Kompensation durch Protrusion der Oberkieferfront zuzulassen. Aus diesen Gründen entschied man sich dafür, die Unterkieferfront mit einem 3-3 CAD/CAM-gefertigten Lingualretainer zu retinieren, da bereits zu Beginn der Behandlung ein frontaler Engstand mithilfe von approximaler Schmelzreduktion aufgelöst wurde. Das Risiko eines Rezidivs korreliert dabei stark mit der Ausgangssituation. Der Retentionskatalog des BDK empfiehlt, im Unterkiefer bei einem festsitzenden Retainer zusätzlich ein herausnehmbares Gerät einzugliedern. Deshalb wurden in beiden Kiefern zusätzlich Retentionsplatten eingesetzt. Bei Patienten mit einer Klasse III-Konfiguration wird eine verlängerte Retentionszeit empfohlen, da das Unterkieferwachstum bis über das 20. Lebensjahr hinaus andauern kann (Proffit et al. 2006, Rutili et al. 2020). Die Patientin und ihre Eltern wurden über den zeitlichen Ablauf der Retentionsphase aufgeklärt.

Tab. 2: Übersicht über die Auswertung des PAR-Index

Um eine objektive Bewertung des Therapieergebnisses zu ermöglichen, stehen mehrere Indices zur Verfügung, wie z. B. der Peer Assessment Rating Index (PAR; Richmond et al. 1992). Der PAR-Index unterteilt sich in die Einzelbewertung von elf Komponenten, die u. a. das Alignment der Sextanten, die Okklusion von bukkal, die anterior-posteriore Relation, den Overjet, Overbite und die Mittellinie umfassen. Anhand der in der Publikation von Richmond angegebenen Scores wurde in der Anfangsdiagnostik ein PAR-Index von 20 ermittelt. Die Beurteilung der Abschlussmodelle ergab einen Score von 2, also eine Reduzierung des PAR-Index um 18 Punkte (90 Prozent). Dieses lässt sich als hochwertiges Behandlungsergebnis interpretieren (Graf et al. 2022).

Eine Literaturliste steht Ihnen hier zum Download zur Verfügung.

Erstveröffentlichung im BDK info 2/2023.

Mehr Fachartikel aus Kieferorthopädie

ePaper