Kieferorthopädie 28.02.2011
Klinische Beispiele - Teil 2
share
Actio = Reactio gilt selbstverständlich auch für die Therapie mit Minischrauben. Durch den festen Verankerungspunkt kann die reaktive Kraftkomponente in vollem Umfang für die gewünschte Bewegung genutzt werden. Im ersten Teil der klinischen Beispiele ging es vorwiegend um das Bewegen einzelner Zähne. Als Hauptpunkt des zweiten Teils zeigen die Autoren – Dr. Björn Ludwig, Dr. Bettina Glasl, Dr. Thomas Lietz und Prof. Dr. Jörg A. Lisson – wie Minischrauben eine Veränderung der skelettalen Verhältnisse unterstützen können. Ein breites Indikationsspektrum haben Minischrauben auch im Rahmen der präprothetischen Kieferorthopädie.
Bewegung einzelner Zähne
Aufrichten von Molaren
Nach mesial gekippte (zweite) Molaren in einem voll bezahnten Kiefer aufzurichten, stellt eine therapeutische Herausforderung dar. Erschwert wird die Behandlung, wenn der Zahn nicht nur gekippt, sondern auch noch teilweise impaktiert ist. Ein im Keim vorhandener dritter Molar vereinfacht die Sache auch nicht gerade (Abb. 1a). Die Planung der Apparatur richtet sich danach, ob es z.B. notwendig ist, den gesamten Zahnbogen auszuformen oder ob lediglich der gekippte Zahn aufzurichten ist. Setzt man Minischrauben mit einem Kreuzslot ein, lässt sich eine spezielle NiTi-Aufrichtefeder verwenden (Memory Titanol®-Feder von FORESTADENT oder tomas®-uprighting spring von DENTAURUM).

Abb. 1 Aufrichten eines zweiten Molaren bei gleichzeitiger Ausformung des Zahnbogens. a) Das Röntgenbild zeigt das Problem deutlich an. b) Die Aufrichtefeder wird an einer Minischraube verankert.

Abb. 1c + 1d) Zustand nach fünf Monaten ohne Nachaktivierung des Teilbogens.
Mit der Multibracket-Apparatur erfolgt das Ausformen des Zahnbogens in bekannter Weise. Parallel wird mithilfe einer Minischraube sowie einer Aufrichtefeder ein zweites Kräftesystem aufgebaut (Abb. 1b–d). Dadurch sind Verankerungsverluste zu vermeiden, wie sie bei der alleinigen Kopplung einer Aufrichtefeder an die Multibracket-Apparatur zwangsläufig entstehen.
Das isolierte Aufrichten eines Molaren kann aus parodontologischen, prothetischen oder kieferorthopädischen Gründen erforderlich sein. Mithilfe einer Minischraube und einer Aufrichtefeder lässt sich dies sehr einfach und für Außenstehende völlig unsichtbar erreichen. Der Zahn ist nur mit einem entsprechenden Attachment zu versorgen, das eine Ankopplung der Aufrichtefeder ermöglicht. Je nach Programmierung kann man mit dieser Feder auch eine Intrusion und Extrusion erreichen. Diese Art der Behandlung ist für den Patienten sehr kostengünstig und für den Kieferorthopäden wiederum sehr effektiv.
Einordnen retinierter Zähne
Das Einordnen retinierter oder verlagerter Zähne, insbesondere der Eckzähne, ist einer der häufigsten oralchirurgischen Interventionen in der Kieferorthopädie. Es sind zahlreiche Apparaturen bekannt – wie zum Beispiel Gummizüge, Federn, Kettchen usw. – die mehr oder weniger gut wirken. All diese Mechaniken haben das gleiche Grundproblem: Die Verankerung zum Ausüben der Zugkräfte erfolgt – direkt oder indirekt – an den Nachbarzähnen. Je nachdem, welche Komponente mehr Widerstand aufbringt, bewegt sich im Idealfall nur der retinierte Zahn. Real ist, dass beide Gruppen sich aufeinander zu bewegen. Im ungünstigen Fall ändert nur die Verankerungsgruppe ihre Stellung. Dies kann der Fall sein, wenn der retinierte Zahn ankylosiert ist. Ein Umstand, der bei der Befunderhebung nur schwer abzuschätzen ist. Versucht man z.B. einen ankylosierten Eckzahn gegen eine (instabile) dentale Verankerung zu bewegen, tritt der o. g. ungünstige Fall ein. Es kann dadurch ein offener Biss im Bereich der Frontzähne und Prämolaren entstehen.
Für das Einordnen verlagerter Zähne bieten sich Minischrauben als absolute Verankerung an (Abb. 2). Wenn ausreichend Platz vorhanden ist, kann in der ersten Phase der Behandlung auf Brackets verzichtet werden.

Abb. 2 Einordnen eines verlagerten Eckzahnes mithilfe einer Minischraube. a) Nach der Freilegung der Eckzähne erfolgt über ein Bracket die Kopplung an eine Minischraube. b+c) Nach dem Entfernen der Schraube wird der Zahnbogen mit konventioneller Technik ausgeformt.
Seitenanfang
Skelettale Veränderungen
Gaumennahterweiterung
Die forcierte Gaumennahterweiterung (GNE) stellt eine der effektivsten und stabilsten Methoden des transversalen Raumgewinns im Oberkiefer dar. Dabei wird eine Aktivierung der Schraube von 0,2–0,6 mm pro Tag angestrebt. Die Apparatur ist i.d.R. über Bänder an Molaren und Prämolaren befestigt. Die angestrebte transversale Breite wird meist nach 10 bis 20 Tagen erreicht. Danach sollte ca. drei Monate stabilisiert werden, um die Ossifikation der gesprengten Gaumennaht zu ermöglichen. Die herkömmliche Art der Verankerung – rein dental abgestützt – hat mehrere Nachteile: Der auffälligste ist sicherlich das Kippen der Ankerzähne. Es sind zahlreiche Apparaturen beschrieben, bei denen die Last auf mehrere Zähne verteilt wird. Insbesondere hier wird eine weitere Einschränkung deutlich. Durch das nötige, lange Belassen der Apparatur nach der aktiven Phase kann nur im Frontzahnbereich mit weiteren Korrekturen der Zahnstellung begonnen werden.
Mit der so genannten „Hybrid-GNE“ (Abb. 3) lassen sich die Probleme lösen. Im Molarenbereich nutzt man hier wie gewöhnlich Bänder. Anterior erfolgt die Verankerung der GNE-Apparatur über zwei Minischrauben. Diese werden auf einer gedachten transversalen Verbindungslinie der Kontaktpunkte Eckzahn/Prämolar paramedian gesetzt. Die Distraktion erfolgt nach den gleichen Prinzipien wie bei herkömmlichen Therapien. Das Arbeiten mit der Hybrid-GNE hat mehrere Vorteile: Die Herstellung der Apparatur ist einfacher, aber nicht günstiger, zugleich bleibt der Zahnbogen ein- schließlich der Prämolaren frei für zusätzliche Zahnbewegungen.

Abb. 3 Transversaler Platzgewinn durch die Anwendung einer "Hybrid-GNE". Der Ausgangsbefund ist ein asymmetrischer Schmalkiefer mit Platzmangel für den Zahn 13. a) Die "Hybrid-GNE" wird über Laborabutments (FORESTADENT) an den Minischrauben und Molarenbändern befestigt. b) Die Wirkung der Apparatur nach 10-tägiger Aktivierung ist am Diastema zu erkennen. c) Zustand nach transversaler Erweiterung und gleichzeitigem Ausformen des Zahnbogens.
Korrekturen bei Klasse II
Bei Patienten mit einer skelettalen Klasse II und nahezu oder gänzlich abgeschlossenem Wachstum ist eine Vorverlagerung des Unterkiefers mit einfachen Mitteln meist nicht mehr möglich. Abgesichert durch eine sorgfältige Befunderhebung und Diagnostik gibt es drei therapeutische Wege:
„Camouflage“, festsitzende Klasse II-Apparaturen (Herbst®-Scharnier, Sabbagh Universal Spring, FMA, Jasper Jumper u. ä.) oder die Dysgnathie-Chirurgie. Der Patient ist über die entsprechenden Vor- und Nachteile aufzuklären.
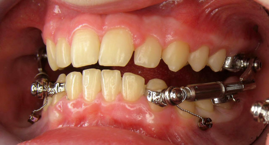
Alle festsitzenden Klasse II-Apparaturen – unabhängig davon, ob Sie nach dem Herbst-Prinzip oder dem der schiefen Ebene arbeiten – haben das gleiche Problem bzw. die gleichen unerwünschten Nebenwirkungen: Es kann zur Protrusion der unteren Frontzähne und/oder zur Distalisation der oberen Molaren kommen. Im Sinne der passiven Stabilisierung lassen sich diese Effekte mithilfe zweier Minischrauben sehr einfach vermeiden (Abb. 4 und 5).

Abb. 4 Durch die Verankerung des Eckzahnes über eine Minischraube wird die Protrusion der Frontzähne beim Einsatz von festsitzenden Klasse II-Apparaturen (hier Williams Appliance, FORESTADENT) vermieden.

Abb. 5 Die Minischraube stabilisiert die Position des Molaren, an dem der FMA nach Kinzinger befestigt ist. a) Einer Protrusion der Prämolaren und Frontzähne wird entgegengewirkt. b) Klasse I-Verzahnung nach Ende der Behandlung.
Seitenanfang
Dysgnathie-Chirurgie
Nach chirurgischen Eingriffen zur Lageveränderung oder Reposition der Kiefer (aus kieferorthopädischen oder traumatologischen Gründen) ist postoperativ eine stabile Relation der Knochenstücke/ Kiefer zueinander wichtig. Dadurch wird eine gute Ausheilung ermöglicht und ein Rezidiv vermieden. Die intraorale Fixierung der Okklusion erfolgt je nach Situation durch intermaxilläre Elastics oder Drahtligaturen. Dazu sind entsprechende Befestigungsmöglichkeiten erforderlich. Dies könnte eine Kieferbruchschiene (Schuchardt-Schiene) oder eine Multibracket-Apparatur sein. Sind diese Geräte aus therapeutischer Sicht eigentlich nur in einem Kiefer bzw. Kieferabschnitt erforderlich, lässt sich in der Ära der Minischrauben die Frage diskutieren, ob auch der Gegenkiefer zur Stabilisierung des Operationsergebnisses weiterhin mit einbezogen werden muss. Setzt man im Gegenkiefer Minischrauben ein (Abb. 6), wird der gleiche Effekt erreicht – mit deutlich geringeren Einschränkungen für den Patienten.

Abb. 6 Der Einsatz von Minischrauben zum Einhängen von intermaxillären Gummizügen erübrigt an den Zähnen befestigte Attachments. Abb. 7a Der nicht angelegte Zahn 12 soll durch eine implantatgetragene Krone ersetzt werden. In der ersten Phase der Behandlung erfolgt das Öffnen der Lücke.

Abb. 7b Der Kopf der vertikal inserierten Ortho Easy®-Schraube... Abb. 7c ...dient zur Verankerung einer provisorischen Krone (inkl. Bracket), die zur weiteren Lückenöffnung genutzt wird.
Präprothetik
Die Aufgabe der präprothetischen Kieferorthopädie ist es, Zähne in eine für den späteren Zahnersatz günstige Position zu bringen. Dies kann durch Intrusion, Aufrichten, Lückenöffnung, Lückenschluss u. a. erfolgen. Wie in den bisherigen Darstellungen aufgezeigt und vielfach an anderer Stelle publiziert wurde, sind dafür Minischrauben sehr nützlich.
Minischrauben können aber auch als Verankerungselement für ein Provisorium dienen. Bei Aplasie von Zähnen (insbesondere der zweiten Schneidezähne, Abb. 7a) ist bei nicht abgeschlossenen Wachstum eine (vorläufige) prothetische Versorgung schwierig. Als Alternative vor allem, wenn noch eine zusätzliche Verankerung benötigt wird, lassen sich ebenfalls Minischrauben verwenden. Man wählt dazu eine lange Schraube (8 oder 10 mm), die in der Mitte des Kieferkamms inseriert wird (Abb. 7b). Das Knochenangebot um die Minischraube sollte mesial und distal mindestens je 1 mm betragen. Somit muss die Lücke beim Einsatz einer Minischraube (Ø 1,6 mm) mindestens 2,6 mm groß sein. Anschließend setzt man eine provisorische Krone auf den Kopf der Minischraube. An dieser Krone kann bei Bedarf noch ein Bracket befestigt werden (Abb. 7c).
Ausblick
Der klinische Einsatz von Minischrauben unterstützt eine Vielzahl von Aufgaben. Bis dato „unmögliche“ Bewegungen werden möglich. Und bisher „mögliche“ Bewegungen werden verbessert oder unterstützt. Damit dies funktionieren kann, ist nicht nur die Minischraube an sich erforderlich, sondern auch ein entsprechendes Zubehör. Einige Anbieter von Minischrauben offerieren nicht nur Schrauben und Insertionswerkzeuge, sondern bieten zudem viele Hilfsmittel an, die den Einsatz von Minischrauben noch angenehmer und einfacher machen. Zahlreiche, sehr hilfreiche Auxilliaries werden im Mittelpunkt des fünften Teils dieser Serie stehen.
Autoren: Dr. Björn Ludwig, Dr. Bettina Glasl, Dr. Thomas Lietz und Prof. Dr. Jörg A. Lisson