Prophylaxe 19.08.2025

Wurzelkaries: Eine zunehmende Herausforderung in der Zahnmedizin



Der demografische Wandel führt nicht nur zu einem erhöhten Pflegebedarf, sondern stellt auch spezifische Herausforderungen für die zahnmedizinische Versorgung dar. Insbesondere Wurzelkaries gewinnt in Forschung und Praxis zunehmend an Bedeutung. Aktuelle zahnmedizinische Empfehlungen legen verstärkt den Fokus auf noninvasive Therapieansätze zur Behandlung von Wurzelkaries. Ziel dieses Beitrags ist es, die aktuellen noninvasiven Therapieansätze darzustellen.

Wurzelkaries: Eine zunehmende Herausforderung in der Zahnmedizin

Foto: © rh2010 – stock.adobe.com

Wurzelkaries: Pathogenese, klinisches Erscheinungsbild und Differenzierung

Die Prävalenz von Wurzelkaries in Deutschland variiert je nach Altersgruppe. Laut der Fünften Deutschen Mundgesundheitsstudie (DMS V) sind etwa 11 Prozent der 35- bis 44-Jährigen und 28 Prozent der 65- bis 74-Jährigen von Wurzelkaries betroffen.6 Die Daten aus der DMS VI zeigen, dass sich der Anteil der Personen mit Wurzelkaries im Vergleich zur DMS V mehr als verdoppelt hat – von 28 auf 59,1 Prozent. Wurzelkaries stellt eine ernst zu nehmende orale Erkrankung dar, insbesondere bei freiliegenden Wurzeloberflächen. Mit steigendem Lebensalter nimmt der Anteil freiliegender Wurzeloberflächen signifikant zu. Dieser Anstieg ist auf eine Vielzahl von Einflussfaktoren zurückzuführen, darunter Parodontalerkrankungen, inadäquate Zahnputztechniken und okklusale Überbelastungen. Faktoren wie unzureichende Mundhygiene, systemische Erkrankungen und die Einnahme bestimmter Medikamente fördern die Entstehung und Progression von Wurzelkaries erheblich.12

Bild von einem Quotenzeichen
Aufgrund des geringeren Mineralgehalts ist das freiliegende Dentin der Wurzeloberfläche anfälliger für Demineralisation als Zahnschmelz. Die engmaschigeren Dentinkanälchen des Wurzeldentins im Vergleich zum koronalen Dentin bedingen unterschiedliche histologische Strukturen und Ausbreitungsmuster der Karies.10

Der kritische pH-Bereich für die Demineralisation von Wurzeldentin liegt zwischen 6,0 und 6,8, während er beim Zahnschmelz bei etwa 5,7 liegt.5 Zahnschmelz, der das koronale Dentin umgibt, zeigt eine höhere Säureresistenz, was auf seinen höheren Gehalt an anorganischen Substanzen und einen geringeren Gehalt an organischen Substanzen (Karbonatgehalt) zurückzuführen ist. Diese physikochemischen Unterschiede erklären die Unterschiede im klinischen Erscheinungsbild von Wurzelkaries im Vergleich zur koronalen Karies.4

Die Erscheinungsformen der Wurzelkaries sind äußerst variabel und reichen von flächenhaften, stark erweichten Läsionen bis hin zu klar abgegrenzten, dunkel verfärbten und harten Läsionen. Diese Läsionen können sowohl an gut zugänglichen Stellen wie den vestibulären Flächen als auch an schwer zugänglichen Bereichen wie im Approximalbereich oder subgingival auftreten. Eine rein morphologische Betrachtung wird jedoch dem dynamischen Charakter der Kariesentstehung nicht gerecht. Nyvad und Fejerskov schlugen daher eine Unterscheidung zwischen aktiver und inaktiver Wurzelkaries vor:9

  • Aktive Wurzelkaries: Diese Läsionen erscheinen gelb bis hellbraun und weisen eine weiche, lederartige Konsistenz auf. Häufig sind sie noch von Biofilm bedeckt, was auf eine fortschreitende Kariesentwicklung hindeutet.
  • Inaktive Wurzelkaries: Diese Läsionen sind dunkelbraun bis schwarz und besitzen eine normalharte Dentinoberfläche. Dies deutet darauf hin, dass die Kariesaktivität gestoppt oder verlangsamt wurde.

Durch diese differenzierte Betrachtung wird die Dynamik der Kariesprozesse besser erfasst, was eine Grundlage für eine gezielte Diagnose und Behandlung schafft.


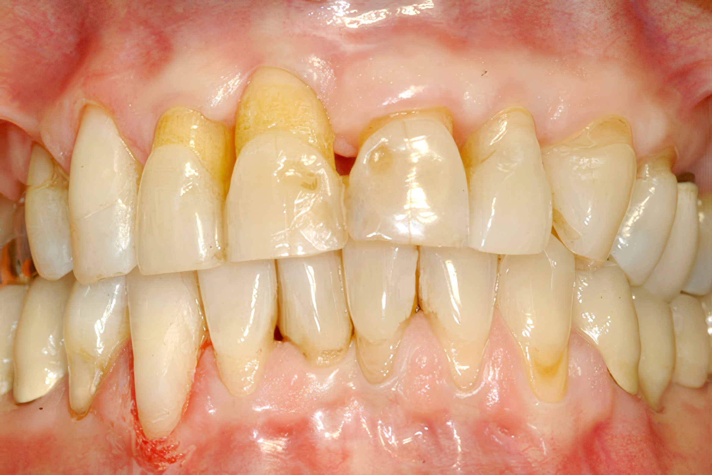
Freiliegende Wurzeloberflächen bei einer 50-jährigen Patientin. Deutliche Rezessionen mit exponierten Zahnwurzelanteilen. © Prof. Dr. Mozhgan Bizhang

Herausforderungen im Alter bei der Mundgesundheit

Die Mundgesundheit älterer Menschen wird durch verschiedene altersbedingte Faktoren beeinflusst, die spezifische Herausforderungen darstellen:

  • Manuelle Einschränkungen: Viele ältere Menschen leiden unter motorischen Einschränkungen, beispielsweise infolge von Arthritis, was die tägliche Mundhygiene erschwert. Besonders betroffen ist die Pflege der Interdentalräume, da diese Geschicklichkeit und Präzision erfordert. Eine unzureichende Reinigung dieser Bereiche begünstigt die Entstehung von Wurzelkaries und Parodontalerkrankungen.
  • Kognitive Einschränkungen: Kognitive Beeinträchtigungen wie Vergesslichkeit, Demenz oder verminderte Aufmerksamkeit erschweren das regelmäßige und gründliche Zähneputzen. Darüber hinaus fällt es Betroffenen häufig schwer, Mundhygienemaßnahmen zu erlernen und konsequent umzusetzen. Dies führt zu einer unzureichenden Mundpflege und einem erhöhten Risiko für Karies sowie Zahnfleischerkrankungen.
  • Komorbiditäten und Medikamenteneinnahme: Chronische Erkrankungen und die Einnahme von Medikamenten beeinflussen die Mundgesundheit älterer Menschen erheblich. Insbesondere Medikamente wie Antihypertensiva oder Antidepressiva können die Speichelproduktion reduzieren und zu Hyposalivation oder Mundtrockenheit führen. Dieser Zustand fördert die Biofilmbildung sowie den Demineralisationsprozess und erhöht dadurch das Risiko für Karies und Infektionen der Mundschleimhaut.
  • Eingeschränkter Zugang zur zahnärztlichen Versorgung: Körperliche Beeinträchtigungen, eingeschränkte Mobilität oder das Leben in ländlichen Regionen können den Zugang zu zahnärztlicher Versorgung erschweren. Finanzielle Einschränkungen, die bei älteren Menschen häufig aufgrund eines begrenzten Einkommens auftreten, verschärfen die Situation zusätzlich und reduzieren die Möglichkeiten für präventive und therapeutische Maßnahmen.

Diese Aspekte unterstreichen die Bedeutung individuell angepasster Prophylaxekonzepte sowie einer barrierefreien zahnmedizinischen Versorgung zur nachhaltigen Förderung der oralen Gesundheit im höheren Lebensalter. Ein interdisziplinäres Expertengremium hat auf Grundlage der vorhandenen Datenlage konsensbasiert festgestellt, dass die Prävention und Therapie der Karies bei älteren Erwachsenen an deren individuelle Fähigkeiten zur Selbstpflege und Kooperationsbereitschaft angepasst werden sollten. Dabei ist häufig die Unterstützung durch Pflegekräfte erforderlich. Zu den systemischen Maßnahmen zählen unter anderem Ernährungsberatung, Anleitungen zur Mundhygiene, die Anwendung fluoridhaltiger Zahnpasten sowie die Förderung der Speichelproduktion.11

Strategien zur Verbesserung der Mundgesundheit

Restaurative Behandlungen sind oft durch die schwierige Zugänglichkeit von Wurzelkariesläsionen sowie die Kooperationsfähigkeit älterer Patienten erschwert.

Noninvasive Therapien zur Behandlung und Prävention von Wurzelkaries

Aktuelle zahnmedizinische Empfehlungen legen verstärkt den Fokus auf noninvasive Therapien zur Behandlung von Wurzelkaries. Ziel dieser Ansätze ist es, den Fortschritt der Karies zu stoppen oder zu verlangsamen, ohne invasive Eingriffe wie Füllungen oder Restaurationen vorzunehmen. Restaurative Maßnahmen werden in der Regel erst dann in Betracht gezogen, wenn konservative Methoden nicht erfolgreich sind. Eine optimierte Mundhygiene ist essenziell für die Prävention und Behandlung von Wurzelkaries. Bei fortgeschrittener Wurzelkaries in schwer zugänglichen Bereichen kann eine kontrollierte Kavitätenöffnung (Odontoplastik) erforderlich sein, um eine effektive Mundhygiene zu gewährleisten. Zusätzlich zur Verbesserung der Mundhygiene können folgende Maßnahmen eingesetzt werden:

Wirksamkeit von Fluoridtherapien

Systematische Übersichtsarbeiten belegen die Wirksamkeit von Fluorid in hohen Konzentrationen bei der Kontrolle und Prävention von Wurzelkaries:

Fluoridierte Zahnpasten

  • Zahnpasten mit 5.000 ppm Fluorid sind deutlich effektiver bei der Reduktion aktiver Wurzelkariesläsionen als Standardzahnpasten mit 1.100–1.450 ppm Fluorid, insbesondere bei älteren Menschen mit freiliegenden Wurzeloberflächen.14
  • Die tägliche Anwendung von Zahnpasten mit 5.000 ppm Fluorid zeigt eine hohe Wirksamkeit bei der Kontrolle der Entwicklung und Progression von Wurzelkaries. Ihre präventive Wirkung wurde in weiteren Studien bestätigt.13, 2
  • Eine systematische Übersicht und Metaanalyse zeigt, dass selbst angewendete topische Fluoridpräparate Wurzelkaries effektiv vorbeugen können.15
  • Bei selbst angewendeten Präparaten erwies sich die tägliche Anwendung von 0,2 % Natriumfluorid-Mundspülung (NaF) als am effektivsten, gefolgt von der Kombination aus Standardfluoridzahnpasten (1.100–1.500 ppm) und 0,05 % NaF-Mundspülung sowie der alleinigen Verwendung fluoridhaltiger Zahnpasten.

Silberdiaminfluorid (SDF)

  • Die jährliche Applikation von 38 Prozent SDF reduziert das Wachstum kariogener Bakterien, hemmt die Demineralisation und fördert die Remineralisation von Zahnschmelz und Dentin. Darüber hinaus verlangsamt SDF den Abbau von Kollagen im Dentin. SDF-Lösungen bestehen aus Silber und Fluorid in einem Ammoniakkomplex, was sie alkalisch macht (pH 9–10). Die Wirksamkeit von SDF bei der Behandlung von Wurzelkaries wurde bestätigt.7 In Deutschland ist SDF derzeit nur für die Behandlung von Überempfindlichkeiten zugelassen, weshalb der Einsatz bei Wurzelkaries als Off-Label-Therapie erfolgt und die informierte Zustimmung der Patient/-innen voraussetzt.
  • Unter den professionellen Fluoridanwendungen reduzierten 38 % Silberdiaminfluoridlösung (SDF), 5 % Natriumfluoridlack und 1,2 % saures Phosphatfluorid den zweijährigen Zuwachs von Wurzelkaries signifikant im Vergleich zu Kontrollgruppen ohne Fluorid.15

Chlorhexidin-Präparate (CHX)

Eine weitere Präventionsoption bietet der Einsatz von Chlorhexidin(CHX)-Präparaten, die die Bildung und Adhäsion von Biofilmen hemmen. CHX zeichnet sich durch eine gute Substantivität aus und reduziert die Adhäsion von Bakterien an der Zahnoberfläche.8 Studien haben zudem belegt, dass die professionelle Applikation von CHX-Lack sowohl zur Prävention als auch zur Arretierung von Wurzelkaries eine effektive Intervention darstellt.1, 3, 8

Fazit

Wurzelkaries erfordert präventive Ansätze, die auf die spezifischen Bedürfnisse der Patient/-innen abgestimmt werden müssen. Diese nichtinvasiven Ansätze bieten eine vielversprechende Möglichkeit, Wurzelkaries effektiv zu behandeln und deren Fortschreiten zu verhindern, insbesondere in der alternden Bevölkerung. Eine Kombination aus regelmäßiger Fluoridapplikation, optimierter häuslicher Mundhygiene und non-invasiven Behandlungsstrategien stellt eine vielversprechende Möglichkeit dar, die orale Gesundheit und Lebensqualität dieser Patientengruppe langfristig zu erhalten und zu verbessern.

Die Literaturliste steht Ihnen hier zur Verfügung.

Dieser Fachbeitrag ist im Prophylaxe Journal erschienen.

Mehr Fachartikel aus Prophylaxe

ePaper