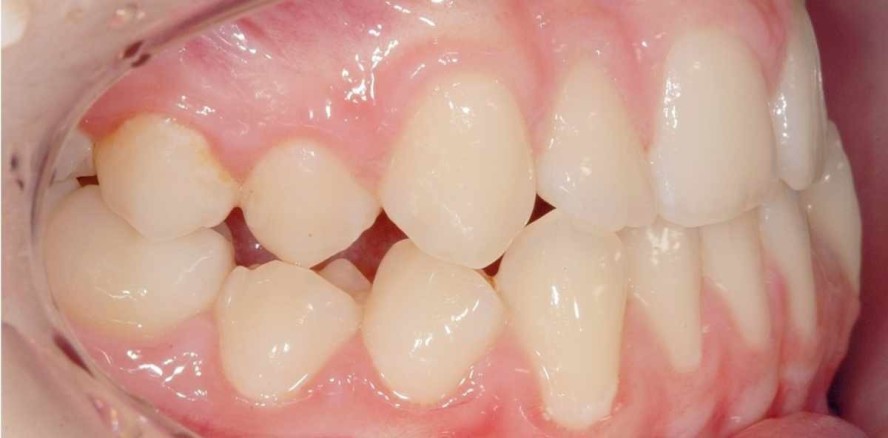
Abb. 1a–l: Erwachsene Patientin mit einem beidseitigen Mesialbiss von einer halben Prämolarenbreite und partiellem
Kreuzbiss. Die Unterkieferfrontzähne
stehen als Ausdruck der Kompensation nach lingual inkliniert. Nach der Korrektur
der Bisslage mit intermaxillären Gummizügen und approximaler Schmelzreduktion im Unterkieferseitenzahnbereich konnte beidseits eine neutrale Eckzahnbeziehung eingestellt werden. Durch den lingualen Wurzeltorque der Unterkieferfrontzähne erscheint die Okklusion nicht mehr kompensiert. Die Aufbissaufnahmen verdeutlichen die präzise Umsetzung der individuellen Planung. © Prof. Dr. Dr. h.c. Dirk Wiechmann
Abb. 1a–l: Erwachsene Patientin mit einem beidseitigen Mesialbiss von einer halben Prämolarenbreite und partiellem
Kreuzbiss. Die Unterkieferfrontzähne
stehen als Ausdruck der Kompensation nach lingual inkliniert. Nach der Korrektur
der Bisslage mit intermaxillären Gummizügen und approximaler Schmelzreduktion im Unterkieferseitenzahnbereich konnte beidseits eine neutrale Eckzahnbeziehung eingestellt werden. Durch den lingualen Wurzeltorque der Unterkieferfrontzähne erscheint die Okklusion nicht mehr kompensiert. Die Aufbissaufnahmen verdeutlichen die präzise Umsetzung der individuellen Planung. © Prof. Dr. Dr. h.c. Dirk Wiechmann
Abb. 1a–l: Erwachsene Patientin mit einem beidseitigen Mesialbiss von einer halben Prämolarenbreite und partiellem
Kreuzbiss. Die Unterkieferfrontzähne
stehen als Ausdruck der Kompensation nach lingual inkliniert. Nach der Korrektur
der Bisslage mit intermaxillären Gummizügen und approximaler Schmelzreduktion im Unterkieferseitenzahnbereich konnte beidseits eine neutrale Eckzahnbeziehung eingestellt werden. Durch den lingualen Wurzeltorque der Unterkieferfrontzähne erscheint die Okklusion nicht mehr kompensiert. Die Aufbissaufnahmen verdeutlichen die präzise Umsetzung der individuellen Planung. © Prof. Dr. Dr. h.c. Dirk Wiechmann
Abb. 1a–l: Erwachsene Patientin mit einem beidseitigen Mesialbiss von einer halben Prämolarenbreite und partiellem
Kreuzbiss. Die Unterkieferfrontzähne
stehen als Ausdruck der Kompensation nach lingual inkliniert. Nach der Korrektur
der Bisslage mit intermaxillären Gummizügen und approximaler Schmelzreduktion im Unterkieferseitenzahnbereich konnte beidseits eine neutrale Eckzahnbeziehung eingestellt werden. Durch den lingualen Wurzeltorque der Unterkieferfrontzähne erscheint die Okklusion nicht mehr kompensiert. Die Aufbissaufnahmen verdeutlichen die präzise Umsetzung der individuellen Planung. © Prof. Dr. Dr. h.c. Dirk Wiechmann
Abb. 1a–l: Erwachsene Patientin mit einem beidseitigen Mesialbiss von einer halben Prämolarenbreite und partiellem
Kreuzbiss. Die Unterkieferfrontzähne
stehen als Ausdruck der Kompensation nach lingual inkliniert. Nach der Korrektur
der Bisslage mit intermaxillären Gummizügen und approximaler Schmelzreduktion im Unterkieferseitenzahnbereich konnte beidseits eine neutrale Eckzahnbeziehung eingestellt werden. Durch den lingualen Wurzeltorque der Unterkieferfrontzähne erscheint die Okklusion nicht mehr kompensiert. Die Aufbissaufnahmen verdeutlichen die präzise Umsetzung der individuellen Planung. © Prof. Dr. Dr. h.c. Dirk Wiechmann
Abb. 1a–l: Erwachsene Patientin mit einem beidseitigen Mesialbiss von einer halben Prämolarenbreite und partiellem
Kreuzbiss. Die Unterkieferfrontzähne
stehen als Ausdruck der Kompensation nach lingual inkliniert. Nach der Korrektur
der Bisslage mit intermaxillären Gummizügen und approximaler Schmelzreduktion im Unterkieferseitenzahnbereich konnte beidseits eine neutrale Eckzahnbeziehung eingestellt werden. Durch den lingualen Wurzeltorque der Unterkieferfrontzähne erscheint die Okklusion nicht mehr kompensiert. Die Aufbissaufnahmen verdeutlichen die präzise Umsetzung der individuellen Planung. © Prof. Dr. Dr. h.c. Dirk Wiechmann
Abb. 1a–l: Erwachsene Patientin mit einem beidseitigen Mesialbiss von einer halben Prämolarenbreite und partiellem
Kreuzbiss. Die Unterkieferfrontzähne
stehen als Ausdruck der Kompensation nach lingual inkliniert. Nach der Korrektur
der Bisslage mit intermaxillären Gummizügen und approximaler Schmelzreduktion im Unterkieferseitenzahnbereich konnte beidseits eine neutrale Eckzahnbeziehung eingestellt werden. Durch den lingualen Wurzeltorque der Unterkieferfrontzähne erscheint die Okklusion nicht mehr kompensiert. Die Aufbissaufnahmen verdeutlichen die präzise Umsetzung der individuellen Planung. © Prof. Dr. Dr. h.c. Dirk Wiechmann
Abb. 1a–l: Erwachsene Patientin mit einem beidseitigen Mesialbiss von einer halben Prämolarenbreite und partiellem
Kreuzbiss. Die Unterkieferfrontzähne
stehen als Ausdruck der Kompensation nach lingual inkliniert. Nach der Korrektur
der Bisslage mit intermaxillären Gummizügen und approximaler Schmelzreduktion im Unterkieferseitenzahnbereich konnte beidseits eine neutrale Eckzahnbeziehung eingestellt werden. Durch den lingualen Wurzeltorque der Unterkieferfrontzähne erscheint die Okklusion nicht mehr kompensiert. Die Aufbissaufnahmen verdeutlichen die präzise Umsetzung der individuellen Planung. © Prof. Dr. Dr. h.c. Dirk Wiechmann
Abb. 1a–l: Erwachsene Patientin mit einem beidseitigen Mesialbiss von einer halben Prämolarenbreite und partiellem
Kreuzbiss. Die Unterkieferfrontzähne
stehen als Ausdruck der Kompensation nach lingual inkliniert. Nach der Korrektur
der Bisslage mit intermaxillären Gummizügen und approximaler Schmelzreduktion im Unterkieferseitenzahnbereich konnte beidseits eine neutrale Eckzahnbeziehung eingestellt werden. Durch den lingualen Wurzeltorque der Unterkieferfrontzähne erscheint die Okklusion nicht mehr kompensiert. Die Aufbissaufnahmen verdeutlichen die präzise Umsetzung der individuellen Planung. © Prof. Dr. Dr. h.c. Dirk Wiechmann
Abb. 1a–l: Erwachsene Patientin mit einem beidseitigen Mesialbiss von einer halben Prämolarenbreite und partiellem
Kreuzbiss. Die Unterkieferfrontzähne
stehen als Ausdruck der Kompensation nach lingual inkliniert. Nach der Korrektur
der Bisslage mit intermaxillären Gummizügen und approximaler Schmelzreduktion im Unterkieferseitenzahnbereich konnte beidseits eine neutrale Eckzahnbeziehung eingestellt werden. Durch den lingualen Wurzeltorque der Unterkieferfrontzähne erscheint die Okklusion nicht mehr kompensiert. Die Aufbissaufnahmen verdeutlichen die präzise Umsetzung der individuellen Planung. © Prof. Dr. Dr. h.c. Dirk Wiechmann
Abb. 1a–l: Erwachsene Patientin mit einem beidseitigen Mesialbiss von einer halben Prämolarenbreite und partiellem
Kreuzbiss. Die Unterkieferfrontzähne
stehen als Ausdruck der Kompensation nach lingual inkliniert. Nach der Korrektur
der Bisslage mit intermaxillären Gummizügen und approximaler Schmelzreduktion im Unterkieferseitenzahnbereich konnte beidseits eine neutrale Eckzahnbeziehung eingestellt werden. Durch den lingualen Wurzeltorque der Unterkieferfrontzähne erscheint die Okklusion nicht mehr kompensiert. Die Aufbissaufnahmen verdeutlichen die präzise Umsetzung der individuellen Planung. © Prof. Dr. Dr. h.c. Dirk Wiechmann
Abb. 1a–l: Erwachsene Patientin mit einem beidseitigen Mesialbiss von einer halben Prämolarenbreite und partiellem
Kreuzbiss. Die Unterkieferfrontzähne
stehen als Ausdruck der Kompensation nach lingual inkliniert. Nach der Korrektur
der Bisslage mit intermaxillären Gummizügen und approximaler Schmelzreduktion im Unterkieferseitenzahnbereich konnte beidseits eine neutrale Eckzahnbeziehung eingestellt werden. Durch den lingualen Wurzeltorque der Unterkieferfrontzähne erscheint die Okklusion nicht mehr kompensiert. Die Aufbissaufnahmen verdeutlichen die präzise Umsetzung der individuellen Planung. © Prof. Dr. Dr. h.c. Dirk Wiechmann
Abb. 1m und n: Durch den nachhaltigen
Einsatz d er Klasse III-Gummizüge ist es
zu einer geringfügigen Verkürzung im Bereich der Oberkieferfrontzähne gekommen. Die Exposition der Oberkieferfrontzähne beim Lachen ist noch akzeptabel. © Prof. Dr. Dr. h.c. Dirk Wiechmann
Abb. 1m und n: Durch den nachhaltigen
Einsatz d er Klasse III-Gummizüge ist es
zu einer geringfügigen Verkürzung im Bereich der Oberkieferfrontzähne gekommen. Die Exposition der Oberkieferfrontzähne beim Lachen ist noch akzeptabel. © Prof. Dr. Dr. h.c. Dirk Wiechmann
Abb. 1o und p: Auf der Fernröntgenseitaufnahme ist insbesondere eine deutliche Normalisierung des Interinzisalwinkels zu erkennen. Im anterioren Bereich des Unterkieferalveolarfortsatzes ist es zu erkennbaren Knochenumbauprozessen
gekommen, die noch weiter andauern werden. © Prof. Dr. Dr. h.c. Dirk Wiechmann
Abb. 1o und p: Auf der Fernröntgenseitaufnahme ist insbesondere eine deutliche Normalisierung des Interinzisalwinkels zu erkennen. Im anterioren Bereich des Unterkieferalveolarfortsatzes ist es zu erkennbaren Knochenumbauprozessen
gekommen, die noch weiter andauern werden. © Prof. Dr. Dr. h.c. Dirk Wiechmann
Abb. 2a–l: Erwachsene Patientin mit
einem beidseitigen Mesialbiss von einer
halben Prämolarenbreite und partiellem
Kreuzbiss. Die Unterkieferfrontzähne
stehen als Ausdruck der Kompensation
nach lingual inkliniert und verschachtelt.
Bei der dentoalveolären Kompensation mit Extraktion von zwei Prämolaren im
Unterkiefer konnte beidseits eine neutrale
Eckzahnbeziehung eingestellt werden.
Durch den lingualen Wurzeltorque
der Unterkieferfrontzähne erscheint die
Okklusion nicht mehr kompensiert. Die
Aufbissaufnahmen verdeutlichen die
präzise Umsetzung der individuellen Planung. © Prof. Dr. Dr. h.c. Dirk Wiechmann
Abb. 2a–l: Erwachsene Patientin mit
einem beidseitigen Mesialbiss von einer
halben Prämolarenbreite und partiellem
Kreuzbiss. Die Unterkieferfrontzähne
stehen als Ausdruck der Kompensation
nach lingual inkliniert und verschachtelt.
Bei der dentoalveolären Kompensation mit Extraktion von zwei Prämolaren im
Unterkiefer konnte beidseits eine neutrale
Eckzahnbeziehung eingestellt werden. © Prof. Dr. Dr. h.c. Dirk Wiechmann
Abb. 2a–l: Erwachsene Patientin mit
einem beidseitigen Mesialbiss von einer
halben Prämolarenbreite und partiellem
Kreuzbiss. Die Unterkieferfrontzähne
stehen als Ausdruck der Kompensation
nach lingual inkliniert und verschachtelt.
Bei der dentoalveolären Kompensation mit Extraktion von zwei Prämolaren im
Unterkiefer konnte beidseits eine neutrale
Eckzahnbeziehung eingestellt werden. © Prof. Dr. Dr. h.c. Dirk Wiechmann
Abb. 2a–l: Erwachsene Patientin mit
einem beidseitigen Mesialbiss von einer
halben Prämolarenbreite und partiellem
Kreuzbiss. Die Unterkieferfrontzähne
stehen als Ausdruck der Kompensation
nach lingual inkliniert und verschachtelt.
Bei der dentoalveolären Kompensation mit Extraktion von zwei Prämolaren im
Unterkiefer konnte beidseits eine neutrale
Eckzahnbeziehung eingestellt werden. © Prof. Dr. Dr. h.c. Dirk Wiechmann
Abb. 2a–l: Erwachsene Patientin mit
einem beidseitigen Mesialbiss von einer
halben Prämolarenbreite und partiellem
Kreuzbiss. Die Unterkieferfrontzähne
stehen als Ausdruck der Kompensation
nach lingual inkliniert und verschachtelt.
Bei der dentoalveolären Kompensation mit Extraktion von zwei Prämolaren im
Unterkiefer konnte beidseits eine neutrale
Eckzahnbeziehung eingestellt werden. © Prof. Dr. Dr. h.c. Dirk Wiechmann
Abb. 2a–l: Erwachsene Patientin mit
einem beidseitigen Mesialbiss von einer
halben Prämolarenbreite und partiellem
Kreuzbiss. Die Unterkieferfrontzähne
stehen als Ausdruck der Kompensation
nach lingual inkliniert und verschachtelt.
Bei der dentoalveolären Kompensation mit Extraktion von zwei Prämolaren im
Unterkiefer konnte beidseits eine neutrale
Eckzahnbeziehung eingestellt werden. © Prof. Dr. Dr. h.c. Dirk Wiechmann
Abb. 2a–l: Erwachsene Patientin mit
einem beidseitigen Mesialbiss von einer
halben Prämolarenbreite und partiellem
Kreuzbiss. Die Unterkieferfrontzähne
stehen als Ausdruck der Kompensation
nach lingual inkliniert und verschachtelt.
Bei der dentoalveolären Kompensation mit Extraktion von zwei Prämolaren im
Unterkiefer konnte beidseits eine neutrale
Eckzahnbeziehung eingestellt werden. © Prof. Dr. Dr. h.c. Dirk Wiechmann
Abb. 2a–l: Erwachsene Patientin mit
einem beidseitigen Mesialbiss von einer
halben Prämolarenbreite und partiellem
Kreuzbiss. Die Unterkieferfrontzähne
stehen als Ausdruck der Kompensation
nach lingual inkliniert und verschachtelt.
Bei der dentoalveolären Kompensation mit Extraktion von zwei Prämolaren im
Unterkiefer konnte beidseits eine neutrale
Eckzahnbeziehung eingestellt werden. © Prof. Dr. Dr. h.c. Dirk Wiechmann
Abb. 2a–l: Erwachsene Patientin mit
einem beidseitigen Mesialbiss von einer
halben Prämolarenbreite und partiellem
Kreuzbiss. Die Unterkieferfrontzähne
stehen als Ausdruck der Kompensation
nach lingual inkliniert und verschachtelt.
Bei der dentoalveolären Kompensation mit Extraktion von zwei Prämolaren im
Unterkiefer konnte beidseits eine neutrale
Eckzahnbeziehung eingestellt werden. © Prof. Dr. Dr. h.c. Dirk Wiechmann
Abb. 2a–l: Erwachsene Patientin mit
einem beidseitigen Mesialbiss von einer
halben Prämolarenbreite und partiellem
Kreuzbiss. Die Unterkieferfrontzähne
stehen als Ausdruck der Kompensation
nach lingual inkliniert und verschachtelt.
Bei der dentoalveolären Kompensation mit Extraktion von zwei Prämolaren im
Unterkiefer konnte beidseits eine neutrale
Eckzahnbeziehung eingestellt werden. © Prof. Dr. Dr. h.c. Dirk Wiechmann
Abb. 2a–l: Erwachsene Patientin mit
einem beidseitigen Mesialbiss von einer
halben Prämolarenbreite und partiellem
Kreuzbiss. Die Unterkieferfrontzähne
stehen als Ausdruck der Kompensation
nach lingual inkliniert und verschachtelt.
Bei der dentoalveolären Kompensation mit Extraktion von zwei Prämolaren im
Unterkiefer konnte beidseits eine neutrale
Eckzahnbeziehung eingestellt werden. © Prof. Dr. Dr. h.c. Dirk Wiechmann
Abb. 2a–l: Erwachsene Patientin mit
einem beidseitigen Mesialbiss von einer
halben Prämolarenbreite und partiellem
Kreuzbiss. Die Unterkieferfrontzähne
stehen als Ausdruck der Kompensation
nach lingual inkliniert und verschachtelt.
Bei der dentoalveolären Kompensation mit Extraktion von zwei Prämolaren im
Unterkiefer konnte beidseits eine neutrale
Eckzahnbeziehung eingestellt werden. © Prof. Dr. Dr. h.c. Dirk Wiechmann
Abb. 2m und n: Durch den Einsatz von Klasse II-Gummizügen zum Restlückenschluss von distal ist es zu einer
geringfügigen Verlängerung im Bereich
der Oberkieferfrontzähne gekommen. Durch die Torquekorrektur im Bereich der Oberkiefereckzähne erscheint das Lächeln voller. © Prof. Dr. Dr. h.c. Dirk Wiechmann
Abb. 2m und n: Durch den Einsatz von Klasse II-Gummizügen zum Restlückenschluss von distal ist es zu einer
geringfügigen Verlängerung im Bereich
der Oberkieferfrontzähne gekommen. Durch die Torquekorrektur im Bereich der Oberkiefereckzähne erscheint das Lächeln voller. © Prof. Dr. Dr. h.c. Dirk Wiechmann
Abb. 2o und p: Auf der
Fernröntgenseitaufnahme ist insbesondere eine deutliche Normalisierung des Interinzisalwinkels zu erkennen. Im anterioren Bereich des Unterkieferalveolarfortsatzes ist es zu erkennbaren Knochenumbauprozessen
gekommen, die noch weiter andauern werden. Im Unterkiefer komplettieren die Weisheitszähne den Zahnbogen. © Prof. Dr. Dr. h.c. Dirk Wiechmann
Abb. 2o und p: Auf der
Fernröntgenseitaufnahme ist insbesondere eine deutliche Normalisierung des Interinzisalwinkels zu erkennen. Im anterioren Bereich des Unterkieferalveolarfortsatzes ist es zu erkennbaren Knochenumbauprozessen
gekommen, die noch weiter andauern werden. Im Unterkiefer komplettieren die Weisheitszähne den Zahnbogen. © Prof. Dr. Dr. h.c. Dirk Wiechmann
Abb. 3a–l: Erwachsene Patientin mit beidseitigem Kreuzbiss und Klasse III-Verzahnung. Die Unterkieferfront steht steil und deutlich verschachtelt. Zur dentoalveolären Kompensation wurden im Unterkiefer zwei Prämolaren entfernt. Am Behandlungsende konnte eine neutrale Eckzahnbeziehung eingestellt werden. Weder in der Frontal- noch in der Seitenansicht erscheint die Okklusion deutlich kompensiert. Auch hier konnte die individuelle Planung präzise umgesetzt werden. © Prof. Dr. Dr. h.c. Dirk Wiechmann
Abb. 3a–l: Erwachsene Patientin mit beidseitigem Kreuzbiss und Klasse III-Verzahnung. Die Unterkieferfront steht steil und deutlich verschachtelt. Zur dentoalveolären Kompensation wurden im Unterkiefer zwei Prämolaren entfernt. Am Behandlungsende konnte eine neutrale Eckzahnbeziehung eingestellt werden. Weder in der Frontal- noch in der Seitenansicht erscheint die Okklusion deutlich kompensiert. Auch hier konnte die individuelle Planung präzise umgesetzt werden. © Prof. Dr. Dr. h.c. Dirk Wiechmann
Abb. 3a–l: Erwachsene Patientin mit beidseitigem Kreuzbiss und Klasse III-Verzahnung. Die Unterkieferfront steht steil und deutlich verschachtelt. Zur dentoalveolären Kompensation wurden im Unterkiefer zwei Prämolaren entfernt. Am Behandlungsende konnte eine neutrale Eckzahnbeziehung eingestellt werden. Weder in der Frontal- noch in der Seitenansicht erscheint die Okklusion deutlich kompensiert. Auch hier konnte die individuelle Planung präzise umgesetzt werden. © Prof. Dr. Dr. h.c. Dirk Wiechmann
Abb. 3a–l: Erwachsene Patientin mit beidseitigem Kreuzbiss und Klasse III-Verzahnung. Die Unterkieferfront steht steil und deutlich verschachtelt. Zur dentoalveolären Kompensation wurden im Unterkiefer zwei Prämolaren entfernt. Am Behandlungsende konnte eine neutrale Eckzahnbeziehung eingestellt werden. Weder in der Frontal- noch in der Seitenansicht erscheint die Okklusion deutlich kompensiert. Auch hier konnte die individuelle Planung präzise umgesetzt werden. © Prof. Dr. Dr. h.c. Dirk Wiechmann
Abb. 3a–l: Erwachsene Patientin mit beidseitigem Kreuzbiss und Klasse III-Verzahnung. Die Unterkieferfront steht steil und deutlich verschachtelt. Zur dentoalveolären Kompensation wurden im Unterkiefer zwei Prämolaren entfernt. Am Behandlungsende konnte eine neutrale Eckzahnbeziehung eingestellt werden. Weder in der Frontal- noch in der Seitenansicht erscheint die Okklusion deutlich kompensiert. Auch hier konnte die individuelle Planung präzise umgesetzt werden. © Prof. Dr. Dr. h.c. Dirk Wiechmann
Abb. 3a–l: Erwachsene Patientin mit beidseitigem Kreuzbiss und Klasse III-Verzahnung. Die Unterkieferfront steht steil und deutlich verschachtelt. Zur dentoalveolären Kompensation wurden im Unterkiefer zwei Prämolaren entfernt. Am Behandlungsende konnte eine neutrale Eckzahnbeziehung eingestellt werden. Weder in der Frontal- noch in der Seitenansicht erscheint die Okklusion deutlich kompensiert. Auch hier konnte die individuelle Planung präzise umgesetzt werden. © Prof. Dr. Dr. h.c. Dirk Wiechmann
Abb. 3a–l: Erwachsene Patientin mit beidseitigem Kreuzbiss und Klasse III-Verzahnung. Die Unterkieferfront steht steil und deutlich verschachtelt. Zur dentoalveolären Kompensation wurden im Unterkiefer zwei Prämolaren entfernt. Am Behandlungsende konnte eine neutrale Eckzahnbeziehung eingestellt werden. Weder in der Frontal- noch in der Seitenansicht erscheint die Okklusion deutlich kompensiert. Auch hier konnte die individuelle Planung präzise umgesetzt werden. © Prof. Dr. Dr. h.c. Dirk Wiechmann
Abb. 3a–l: Erwachsene Patientin mit beidseitigem Kreuzbiss und Klasse III-Verzahnung. Die Unterkieferfront steht steil und deutlich verschachtelt. Zur dentoalveolären Kompensation wurden im Unterkiefer zwei Prämolaren entfernt. Am Behandlungsende konnte eine neutrale Eckzahnbeziehung eingestellt werden. Weder in der Frontal- noch in der Seitenansicht erscheint die Okklusion deutlich kompensiert. Auch hier konnte die individuelle Planung präzise umgesetzt werden. © Prof. Dr. Dr. h.c. Dirk Wiechmann
Abb. 3a–l: Erwachsene Patientin mit beidseitigem Kreuzbiss und Klasse III-Verzahnung. Die Unterkieferfront steht steil und deutlich verschachtelt. Zur dentoalveolären Kompensation wurden im Unterkiefer zwei Prämolaren entfernt. Am Behandlungsende konnte eine neutrale Eckzahnbeziehung eingestellt werden. Weder in der Frontal- noch in der Seitenansicht erscheint die Okklusion deutlich kompensiert. Auch hier konnte die individuelle Planung präzise umgesetzt werden. © Prof. Dr. Dr. h.c. Dirk Wiechmann
Abb. 3a–l: Erwachsene Patientin mit beidseitigem Kreuzbiss und Klasse III-Verzahnung. Die Unterkieferfront steht steil und deutlich verschachtelt. Zur dentoalveolären Kompensation wurden im Unterkiefer zwei Prämolaren entfernt. Am Behandlungsende konnte eine neutrale Eckzahnbeziehung eingestellt werden. Weder in der Frontal- noch in der Seitenansicht erscheint die Okklusion deutlich kompensiert. Auch hier konnte die individuelle Planung präzise umgesetzt werden. © Prof. Dr. Dr. h.c. Dirk Wiechmann
Abb. 3a–l: Erwachsene Patientin mit beidseitigem Kreuzbiss und Klasse III-Verzahnung. Die Unterkieferfront steht steil und deutlich verschachtelt. Zur dentoalveolären Kompensation wurden im Unterkiefer zwei Prämolaren entfernt. Am Behandlungsende konnte eine neutrale Eckzahnbeziehung eingestellt werden. Weder in der Frontal- noch in der Seitenansicht erscheint die Okklusion deutlich kompensiert. Auch hier konnte die individuelle Planung präzise umgesetzt werden. © Prof. Dr. Dr. h.c. Dirk Wiechmann
Abb. 3a–l: Erwachsene Patientin mit beidseitigem Kreuzbiss und Klasse III-Verzahnung. Die Unterkieferfront steht steil und deutlich verschachtelt. Zur dentoalveolären Kompensation wurden im Unterkiefer zwei Prämolaren entfernt. Am Behandlungsende konnte eine neutrale Eckzahnbeziehung eingestellt werden. Weder in der Frontal- noch in der Seitenansicht erscheint die Okklusion deutlich kompensiert. Auch hier konnte die individuelle Planung präzise umgesetzt werden. © Prof. Dr. Dr. h.c. Dirk Wiechmann
Abb. 3m und n: Die Oberkieferexpansion unter weitgehender Torquekontrolle führt zu einem volleren Lächeln. © Prof. Dr. Dr. h.c. Dirk Wiechmann
Abb. 3m und n: Die Oberkieferexpansion unter weitgehender Torquekontrolle führt zu einem volleren Lächeln. © Prof. Dr. Dr. h.c. Dirk Wiechmann
Abb. 3o–q: Die Fernröntgenseitaufnahme nach der Behandlung (p) konnte aufgrund einer Schwangerschaft erst elf Monate nach Ende der Lingualbehandlung
durchgeführt werden. Insbesondere in der Überlagerung der Anfangssituation (rot)
mit der Endsituation sind die erheblichen Umbauvorgänge im anterioren Unterkieferalveolarfortsatz zu erkennen (q). Der ganze Alveolarfortsatz in diesem Bereich hat eine neue Form und ist langfristig der Zahnbewegung gefolgt. © Prof. Dr. Dr. h.c. Dirk Wiechmann
Abb. 3o–q: Die Fernröntgenseitaufnahme nach der Behandlung (p) konnte aufgrund einer Schwangerschaft erst elf Monate nach Ende der Lingualbehandlung
durchgeführt werden. Insbesondere in der Überlagerung der Anfangssituation (rot)
mit der Endsituation sind die erheblichen Umbauvorgänge im anterioren Unterkieferalveolarfortsatz zu erkennen (q). Der ganze Alveolarfortsatz in diesem Bereich hat eine neue Form und ist langfristig der Zahnbewegung gefolgt. © Prof. Dr. Dr. h.c. Dirk Wiechmann
Abb. 3o–q: Die Fernröntgenseitaufnahme nach der Behandlung (p) konnte aufgrund einer Schwangerschaft erst elf Monate nach Ende der Lingualbehandlung
durchgeführt werden. Insbesondere in der Überlagerung der Anfangssituation (rot)
mit der Endsituation sind die erheblichen Umbauvorgänge im anterioren Unterkieferalveolarfortsatz zu erkennen (q). Der ganze Alveolarfortsatz in diesem Bereich hat eine neue Form und ist langfristig der Zahnbewegung gefolgt. © Prof. Dr. Dr. h.c. Dirk Wiechmann
Abb. 4a–l: Jugendliche Patientin mit
beidseitigem Mesialbiss und partiellem
Kreuzbiss. Auch aufgrund der geringen
Exposition der Oberkieferschneidezähne
(vergleiche Abb. 4m) wurde im Rahmen
der dentoalveolären Kompensation eine
Extraktion von Unterkieferprämolaren
bevorzugt. Gleichzeitig mit der Retraktion
konnte die Inklination der Unterkieferfrontzähne durch einen kontinuierlichen lingualen Wurzeltorque optimiert werden. Die Okklusion erscheint in der Seitenansicht nicht kompensiert. Die Aufbissaufnahmen unterstreichen die
zuverlässige Umsetzung der individuellen
Planung. © Prof. Dr. Dr. h.c. Dirk Wiechmann
Abb. 4a–l: Jugendliche Patientin mit
beidseitigem Mesialbiss und partiellem
Kreuzbiss. Auch aufgrund der geringen
Exposition der Oberkieferschneidezähne
(vergleiche Abb. 4m) wurde im Rahmen
der dentoalveolären Kompensation eine
Extraktion von Unterkieferprämolaren
bevorzugt. Gleichzeitig mit der Retraktion
konnte die Inklination der Unterkieferfrontzähne durch einen kontinuierlichen lingualen Wurzeltorque optimiert werden. Die Okklusion erscheint in der Seitenansicht nicht kompensiert. Die Aufbissaufnahmen unterstreichen die
zuverlässige Umsetzung der individuellen
Planung. © Prof. Dr. Dr. h.c. Dirk Wiechmann
Abb. 4a–l: Jugendliche Patientin mit
beidseitigem Mesialbiss und partiellem
Kreuzbiss. Auch aufgrund der geringen
Exposition der Oberkieferschneidezähne
(vergleiche Abb. 4m) wurde im Rahmen
der dentoalveolären Kompensation eine
Extraktion von Unterkieferprämolaren
bevorzugt. Gleichzeitig mit der Retraktion
konnte die Inklination der Unterkieferfrontzähne durch einen kontinuierlichen lingualen Wurzeltorque optimiert werden. Die Okklusion erscheint in der Seitenansicht nicht kompensiert. Die Aufbissaufnahmen unterstreichen die
zuverlässige Umsetzung der individuellen
Planung. © Prof. Dr. Dr. h.c. Dirk Wiechmann
Abb. 4a–l: Jugendliche Patientin mit
beidseitigem Mesialbiss und partiellem
Kreuzbiss. Auch aufgrund der geringen
Exposition der Oberkieferschneidezähne
(vergleiche Abb. 4m) wurde im Rahmen
der dentoalveolären Kompensation eine
Extraktion von Unterkieferprämolaren
bevorzugt. Gleichzeitig mit der Retraktion
konnte die Inklination der Unterkieferfrontzähne durch einen kontinuierlichen lingualen Wurzeltorque optimiert werden. Die Okklusion erscheint in der Seitenansicht nicht kompensiert. Die Aufbissaufnahmen unterstreichen die
zuverlässige Umsetzung der individuellen
Planung. © Prof. Dr. Dr. h.c. Dirk Wiechmann
Abb. 4a–l: Jugendliche Patientin mit
beidseitigem Mesialbiss und partiellem
Kreuzbiss. Auch aufgrund der geringen
Exposition der Oberkieferschneidezähne
(vergleiche Abb. 4m) wurde im Rahmen
der dentoalveolären Kompensation eine
Extraktion von Unterkieferprämolaren
bevorzugt. Gleichzeitig mit der Retraktion
konnte die Inklination der Unterkieferfrontzähne durch einen kontinuierlichen lingualen Wurzeltorque optimiert werden. Die Okklusion erscheint in der Seitenansicht nicht kompensiert. Die Aufbissaufnahmen unterstreichen die
zuverlässige Umsetzung der individuellen
Planung. © Prof. Dr. Dr. h.c. Dirk Wiechmann
Abb. 4a–l: Jugendliche Patientin mit
beidseitigem Mesialbiss und partiellem
Kreuzbiss. Auch aufgrund der geringen
Exposition der Oberkieferschneidezähne
(vergleiche Abb. 4m) wurde im Rahmen
der dentoalveolären Kompensation eine
Extraktion von Unterkieferprämolaren
bevorzugt. Gleichzeitig mit der Retraktion
konnte die Inklination der Unterkieferfrontzähne durch einen kontinuierlichen lingualen Wurzeltorque optimiert werden. Die Okklusion erscheint in der Seitenansicht nicht kompensiert. Die Aufbissaufnahmen unterstreichen die
zuverlässige Umsetzung der individuellen
Planung. © Prof. Dr. Dr. h.c. Dirk Wiechmann
Abb. 4a–l: Jugendliche Patientin mit
beidseitigem Mesialbiss und partiellem
Kreuzbiss. Auch aufgrund der geringen
Exposition der Oberkieferschneidezähne
(vergleiche Abb. 4m) wurde im Rahmen
der dentoalveolären Kompensation eine
Extraktion von Unterkieferprämolaren
bevorzugt. Gleichzeitig mit der Retraktion
konnte die Inklination der Unterkieferfrontzähne durch einen kontinuierlichen lingualen Wurzeltorque optimiert werden. Die Okklusion erscheint in der Seitenansicht nicht kompensiert. Die Aufbissaufnahmen unterstreichen die
zuverlässige Umsetzung der individuellen
Planung. © Prof. Dr. Dr. h.c. Dirk Wiechmann
Abb. 4a–l: Jugendliche Patientin mit
beidseitigem Mesialbiss und partiellem
Kreuzbiss. Auch aufgrund der geringen
Exposition der Oberkieferschneidezähne
(vergleiche Abb. 4m) wurde im Rahmen
der dentoalveolären Kompensation eine
Extraktion von Unterkieferprämolaren
bevorzugt. Gleichzeitig mit der Retraktion
konnte die Inklination der Unterkieferfrontzähne durch einen kontinuierlichen lingualen Wurzeltorque optimiert werden. Die Okklusion erscheint in der Seitenansicht nicht kompensiert. Die Aufbissaufnahmen unterstreichen die
zuverlässige Umsetzung der individuellen
Planung. © Prof. Dr. Dr. h.c. Dirk Wiechmann
Abb. 4a–l: Jugendliche Patientin mit
beidseitigem Mesialbiss und partiellem
Kreuzbiss. Auch aufgrund der geringen
Exposition der Oberkieferschneidezähne
(vergleiche Abb. 4m) wurde im Rahmen
der dentoalveolären Kompensation eine
Extraktion von Unterkieferprämolaren
bevorzugt. Gleichzeitig mit der Retraktion
konnte die Inklination der Unterkieferfrontzähne durch einen kontinuierlichen lingualen Wurzeltorque optimiert werden. Die Okklusion erscheint in der Seitenansicht nicht kompensiert. Die Aufbissaufnahmen unterstreichen die
zuverlässige Umsetzung der individuellen
Planung. © Prof. Dr. Dr. h.c. Dirk Wiechmann
Abb. 4a–l: Jugendliche Patientin mit
beidseitigem Mesialbiss und partiellem
Kreuzbiss. Auch aufgrund der geringen
Exposition der Oberkieferschneidezähne
(vergleiche Abb. 4m) wurde im Rahmen
der dentoalveolären Kompensation eine
Extraktion von Unterkieferprämolaren
bevorzugt. Gleichzeitig mit der Retraktion
konnte die Inklination der Unterkieferfrontzähne durch einen kontinuierlichen lingualen Wurzeltorque optimiert werden. Die Okklusion erscheint in der Seitenansicht nicht kompensiert. Die Aufbissaufnahmen unterstreichen die
zuverlässige Umsetzung der individuellen
Planung. © Prof. Dr. Dr. h.c. Dirk Wiechmann
Abb. 4a–l: Jugendliche Patientin mit
beidseitigem Mesialbiss und partiellem
Kreuzbiss. Auch aufgrund der geringen
Exposition der Oberkieferschneidezähne
(vergleiche Abb. 4m) wurde im Rahmen
der dentoalveolären Kompensation eine
Extraktion von Unterkieferprämolaren
bevorzugt. Gleichzeitig mit der Retraktion
konnte die Inklination der Unterkieferfrontzähne durch einen kontinuierlichen lingualen Wurzeltorque optimiert werden. Die Okklusion erscheint in der Seitenansicht nicht kompensiert. Die Aufbissaufnahmen unterstreichen die
zuverlässige Umsetzung der individuellen
Planung. © Prof. Dr. Dr. h.c. Dirk Wiechmann
Abb. 4a–l: Jugendliche Patientin mit
beidseitigem Mesialbiss und partiellem
Kreuzbiss. Auch aufgrund der geringen
Exposition der Oberkieferschneidezähne
(vergleiche Abb. 4m) wurde im Rahmen
der dentoalveolären Kompensation eine
Extraktion von Unterkieferprämolaren
bevorzugt. Gleichzeitig mit der Retraktion
konnte die Inklination der Unterkieferfrontzähne durch einen kontinuierlichen lingualen Wurzeltorque optimiert werden. Die Okklusion erscheint in der Seitenansicht nicht kompensiert. Die Aufbissaufnahmen unterstreichen die
zuverlässige Umsetzung der individuellen
Planung. © Prof. Dr. Dr. h.c. Dirk Wiechmann
Abb. 4m und n: Durch das Tragen der
Klasse II-Gummizüge für den Restlückenschluss von distal im Unterkiefer ist es zu einer geringfügigen Rotation der Kauebene im Uhrzeigersinn gekommen. Die
damit einhergehende Verlängerung im
Bereich der Oberkieferfrontzähne macht das Lächeln attraktiver. © Prof. Dr. Dr. h.c. Dirk Wiechmann
Abb. 4m und n: Durch das Tragen der
Klasse II-Gummizüge für den Restlückenschluss von distal im Unterkiefer ist es zu einer geringfügigen Rotation der Kauebene im Uhrzeigersinn gekommen. Die
damit einhergehende Verlängerung im
Bereich der Oberkieferfrontzähne macht das Lächeln attraktiver. © Prof. Dr. Dr. h.c. Dirk Wiechmann
Abb. 4o und p: In der Fernröntgenseitaufnahme ist eine
deutliche Harmonisierung des Interinzisalwinkels zu erkennen. Auch dadurch erscheint der Gesamteindruck unverkennbar weniger kompensiert. Im anterioren Bereich des Unterkieferalveolarfortsatzes ist es zu deutlichen Umbauprozessen gekommen. © Prof. Dr. Dr. h.c. Dirk Wiechmann
Abb. 4o und p: In der Fernröntgenseitaufnahme ist eine
deutliche Harmonisierung des Interinzisalwinkels zu erkennen. Auch dadurch erscheint der Gesamteindruck unverkennbar weniger kompensiert. Im anterioren Bereich des Unterkieferalveolarfortsatzes ist es zu deutlichen Umbauprozessen gekommen. © Prof. Dr. Dr. h.c. Dirk Wiechmann