Laserzahnmedizin 28.02.2011
Der Diodenlaser im täglichen Praxiseinsatz
share
Der diesjährige LEC Laserzahnmedizin-Einsteiger-Congress hat es wieder gezeigt: Es besteht immer noch Aufklärungsbedarf bzgl. der Einsatzmöglichkeiten der verschiedenen Laserwellenlängen. Viele Anwender sind einfach unsicher, welches Anwendungsspektrum die von ihnen eingesetzte Wellenlänge abdeckt und wie der Laser entsprechend zu handhaben ist. Nicht selten führt dies zu einer nachhaltigen Unzufriedenheit mit dem (meist teuer erworbenem) Laser und seinen Therapiemöglichkeiten, und das Gerät wird nach einer gewissen „Experimentierphase“ nicht mehr verwendet.
Das ließe sich vermeiden, wenn der Anwender vor dem Kauf eines Lasers neben einer fundierten Ausbildung auch eine entsprechende Analyse seines Behandlungsspektrums, seiner Ziele und seiner Wünsche vornehmen würde. Anscheinend ist das aber oft nicht der Fall. Ein rein endodontisch tätiger Kollege wird mit Sicherheit mit einem Nd:YAG-Laser glücklicher werden als mit einem Laser der Erbium-Gruppe, ein hauptsächlich chirurgisch tätiger Kollege hingegen wird wohl eher mit einen CO2-Laser sein Therapiespektrum sinnvoll erweitern. Welchen Laser sollte aber ein/e allgemeinzahnärztlich tätige/r Kollege/-in wählen, der/die, bei vertretbarem finanziellem Aufwand, ein breites Therapiespektrum abdecken möchte?
In die engere Wahl sollten auf alle Fälle die Diodenlaser gezogen werden. Sie sind eine noch recht „junge Wellenlänge“ und erst seit Mitte der 90er-Jahre auf dem Dentalmarkt erhältlich. Moderne Geräte dieser Wellenlängen (810, 940, 980nm) bieten ein sehr breites Einsatzspektrum wie z.B.:
- Kleine Chirurgie (z.B. Fibrom- oder Frenulaentfernung)
- Parodontaltherapie (Dekontamination nach Scaling und Root Planing, Deepithelialisierung)
- Periimplantitistherapie (Dekontamination der Implantatoberflächen)
- Endodontie (Dekontamination der Wurzelkanäle)
- Prothetik (Darstellung der Präparationsgrenzen).
Die oben genannten Diodenwellenlängen zeigen eine gute Absorption im Hämoglobin und Melanin, bei gleichzeitig geringer Absorption im Wasser. Sie haben daher eine gute bakterizide Wirkung und gute Koagulationseigenschaften. In der Regel wird mit der Faser unter Kontakt gearbeitet, bei entsprechender Leistung ist aber auch ein defokussiertes Arbeiten (d.h. mit Abstand) möglich. Die Schneidefähigkeit ist im Vergleich zu den Erbium- und CO2-Lasern bei wenig pigmentiertem oder anämischem Gewebe allerdings geringer, bis auf diese Ausnahme gelingt ein gezielter Gewebeabtrag mit leistungsstärkeren Dioden aber sehr einfach.
Durch die mittlere Eindringtiefe ist die bakterizide Tiefenwirkung insgesamt sehr gut, aber z.B. im Wurzelkanal nicht ganz so effektiv wie bei einem Nd:YAG-Laser. Ein Nachteil der Dioden ist in der mangelnden, bauartbedingten Pulsmöglichkeit des Lasers zu sehen. Eine Diode kann nur „gechoppt“ werden, d.h. an- und ausgeschaltet. Technisch bedingt führt das zu geringen Spitzenleistungen (= die angegebene Diodenleistung, z.B. 10 oder 20 Watt) bei relativ hohen Durchschnittsleistungen. Das heißt, es wird mehr Hitze in das Gewebe eingetragen, daher ist immer eine, der Indikationsstellung angepasste Parameterwahl zu berücksichtigen. Moderne Geräte geben hier aber dem Behandler eine entsprechende, nach Indikationen aufgeteilte Vorauswahl.
Wichtig bei der Anwendung eines fasergestützten Systems ist, sorgfältig auf eine saubere und unverschlissene Arbeitsspitze des Lichtleiters (Faser) zu achten. Bei hohem Verschleiß nimmt die Energiedichte und damit die Effizienz ab, bei Verschmutzung (Gewebe oder vor allem Blut) erhitzt sich die Faserspitze unkontrolliert (durch die Absorption der Laserstrahlung im pigmentierten Gewebe), was zu erheblichen thermischen Schädigungen führen kann. Außerdem warten die Diodenlaser mit einem guten Preis-Leistungs-Verhältnis und zahlreichen fundierten Studien (810nm und 980nm Wellenlänge, z.B. Krekeler/Bach, Moritz, Kreissler, Romanos) auf. Im Folgenden werden ein paar typische Einsatzbereiche für Diodenlaser anhand praktischer Beispiele gezeigt.
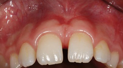
Fall 1: Frenektomie
Eine Frenektomie (Abb.1) ist mit leistungsstärkeren Dioden schnell und sicher durchzuführen. Neben der geeigneten Parameterwahl sollte man, wie oben beschrieben, sorgfältig auf eine intakte und unverschmutzte Faserspitze achten. Außerdem sollte man mit der Faserspitze nicht länger auf einer Stelle „verweilen“, um einen zu großen Hitzeeintrag in das umliegende Gewebe zu vermeiden. Der Eingriff gelingt in der Regel blutungsfrei und die postoperativen Schmerzen sind sehr gering. Bei zu langer Strahlungsexposition oder falscher Parameterwahl kann die Heilung verzögert sein. Ein großer Vorteil bei der Frenektomie mit dem Laser liegt in der Zeitersparnis und dem nicht benötigten Nahtverschluss im Vergleich zum herkömmlichen, chirurgischen Vorgehen. Vor allem bei Kindern ist das ein entscheidender Vorteil!

Abb.1 a: Zustand präoperativ. b: Zustand unmittelbar postoperativ. c: Zustand sieben Tage postoperativ. d: Zustand drei Wochen postoperativ.
Fall 2: Entfernung eines Reizfibroms
Siehe Abb.2. Hier gilt das Gleiche wie bei der Frenektomie.

Abb.2 a: Zustand präoperativ. b: Zustand unmittelbar postoperativ. c: Zustand fünf Tage postoperativ. d: Zustand vier Wochen postoperativ.
Gerätedaten für Fall 1 und 2:
Verwendeter Laser: KaVo Gentleray 980
Eingestellte Laserparameter: 3,0 Watt, cw, 300µm Faser
Fall 3: Keimreduktion im Wurzelkanal im Rahmen einer Revision
Gerade hier können durch die Dekontaminationsmöglichkeiten des Lasers bei „therapieresistenten“ Zähnen nachhaltige Erfolge verzeichnet werden (Abb.3). Die Desinfektion des Wurzelkanalsystems allein durch die mechanische Aufbereitung und Spüllösungen ist nicht immer garantiert: Die Problematik der konventionellen Endodontie liegt hier in der geringen Penetrationstiefe der Spülflüssigkeiten (ca. 100µm), wohingegen die Bakterien bis zu 1.110µm tief in das Wurzeldentin eindringen können. Aufgrund der Zahnanatomie ist es auch nicht immer möglich, die Wurzelkanäle entsprechend weit aufzubereiten. Das Laserlicht z. B. der Diode kann bis zu 1.000µm in das Wurzeldentin eindringen und somit nachhaltig Keime (u.a. E. coli und Enterococcus faecalis) abtöten.

Abb.3: a: Zustand vor der Revision. b: Zustand nach Revision und Wurzelfüllung. c: Zustand sechs Monate nach Revision und Wurzelfüllung.
Verschiedene Studien haben gezeigt, dass mehrere Bestrahlungszyklen notwendig sind, um die Keime zuverlässig abtöten zu können. Im nachfolgenden Fall wurden die Wurzelkanäle sowohl am Revisionstag wie auch bei der sieben Tage später durchgeführten Wurzelfüllung folgendermaßen bestrahlt: jeweils fünf Bestrahlungszyklen, wobei die Faserspitze des Lasers auf die Arbeitslänge vorgeschoben wird und dann unter Strahlenexposition in kreisenden Bewegungen aus dem Wurzelkanal gezogen wird (ca. 1mm/Sekunde). Zwischen den einzelnen Zyklen sollte eine entsprechende Abkühlungszeit (ca. 30 Sekunden) unbedingt eingehalten werden.
Der Laser ersetzt allerdings unter keinen Umständen eine lege artis durchgeführte Wurzelkanalbehandlung eines ansonsten intakten Zahnes mit entsprechender Wurzelfüllung! Er dient lediglich zur zusätzlichen und zuverlässigen Dekontamination der Wurzelkanäle. Im nachfolgenden Fall wurde Zahn 37 nach einer über dreimonatigen Behandlungsdauer mit zahlreichen medikamentösen Einlagen unter Antibiotikagabe (trotz Schmerzen und wiederholter Pusentleerung) abgefüllt. Nach bei uns erfolgter Revision, erweiterter Aufbereitung und Wurzelkanaldekontaminierung mittels Laser (s.o.) konnte schon nach der ersten Sitzung eine vollkommene Schmerzfreiheit erzielt und der Zahn eine Woche später abgefüllt werden.
Gerätedaten Fall 3:
Verwendeter Laser: KaVo Gentleray 980.
Eingestellte Laserparameter: 2,0 Watt, PF
(Tan 25ms/ Taus 25ms), 200µm Faser.
Eine Literaturliste kann beim Autor angefordert werden.
Seitenanfang