Laserzahnmedizin 20.02.2013
Diodenlaser: wirkungsvoll und wirtschaftlich
share
Offline auf Wunsch von Sirona – Info G. I. im April 2014
Die optimale medizinische Versorgung des Patienten steht für jeden Zahnarzt an oberster Stelle. Gleichzeitig ist die Zahnarztpraxis ein betriebswirtschaftliches Unternehmen und in Zeiten eines zunehmenden Wettbewerbs bemüht, die Patienten an die Praxis zu binden. Dies kommt einem Drahtseilakt gleich. Mit ihrem Diodenlaser hat sie die optimale Balance gefunden, sagt Autorin Almut Marsch.
Seit 2009 arbeite ich mit dem SIROLaser Advance, einem Diodenlaser des Unternehmens Sirona aus Bensheim. Die Wellenlänge dieses Lasers (970nm) erlaubt eine Vielzahl von Anwendungsmöglichkeiten. Der Einsatz des Lasers bringt sowohl dem Behandler als auch dem Patienten Vorteile – eine Win-win-Situation. Für den Patienten ist die Behandlung schonender, sicherer und mit einer schnelleren Heilung verbunden. Als Anwender profitiere ich zunächst von der durch den Laser bedingten Blutarmut im Behandlungsfeld bei chirurgischen Eingriffen. Dies erleichtert das zahnmedizinische Arbeiten und führt sekundär zu einer messbaren Zeitersparnis. Als CEREC-Nutzer schätze ich diesen Vorteil bei der Exzision oder Hämostase zur Darstellung der Präparationsgrenze. Die zweite positive Eigenschaft des Lasers ist die Reduzierung von schädlichen Keimen im Gewebe. Dies ermöglicht eine sichere Heilung und Prognose, ein wesentlicher Faktor für die Patientenzufriedenheit. Insbesondere auf dem Gebiet der Endodontie habe ich mit dem Einsatz des Lasers positive Erfahrungen gemacht.
Endodontie: Laser reduziert Keime verlässlich
Wer kennt so einen Fall nicht? Der Patient kommt mit einer dicken Wange und starken Schmerzen in die Praxis. Was die klinische Situation schon vermuten lässt, bestätigt sich auch röntgenologisch – eine ausgeprägte apikale Ostitis. In früheren Zeiten sicherlich ein Fall für die Extraktion oder mit infauster Prognose, insbesondere, wenn man die Endodontie nicht zu seinen Spezialgebieten zählt. Seit ich mit dem Laser arbeite, habe ich jedoch viele solcher Fälle ohne Probleme und mit langfristigem Erfolg gelöst.
Behandlungsfall
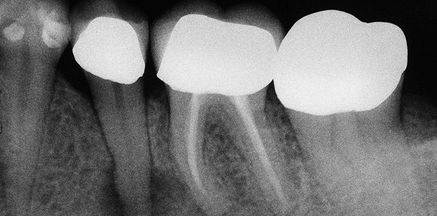
Ähnlich wie gerade beschrieben, konsultierte mich eine Patientin wegen starker Beschwerden im Unterkiefer links (siehe Abbildungen). Der Zahn 35 war sowohl klinisch durch Aufbissbeschwerden als auch röntgenologisch durch eine etwa erbsengroße apikale Aufhellung schnell als Ursache identifiziert und diagnostiziert (Abb. 1). Er wurde trepaniert und nach Anfertigung einer Messaufnahme (Abb. 2) aufbereitet und mit Natriumhypochloridlösung gespült. Nach Trocknung des Kanals behandelte ich diesen mit dem SIROLaser Advance. Eine Woche später erfolgte im Rahmen einer medizinischen Einlage eine weitere Behandlung mit dem Diodenlaser. Zu dieser Zeit waren die Beschwerden der Patientin deutlich reduziert und der Zahn nicht mehr aufbissempfindlich. In der nächsten Sitzung konnte der Zahn unter erneuter Laseranwendung abgefüllt werden (Abb. 3). Die Kontrollaufnahme 18 Monate später zeigt einen vollständigen Rückgang der apikalen Ostitis (Abb. 4). Erfolgserlebnisse wie diese sind durchaus keine Einzelfälle. Bei der konventionellen Wurzelkanalbehandlung unter Anwendung von Spülflüssigkeiten wird meistens nur eine Keimreduktion im Hauptkanal erreicht. Keime im Bereich des apikalen Deltas sowie um die Wurzelspitze herum persistieren jedoch. Bei Anwendung des Lasers wird eine bakterizide Wirkung auch im periapikalen Gewebe und den Nebenkanälchen erreicht. Dies erklärt die Erfolge auch bei aussichtslos erscheinenden endodontischen Fällen. So konnte ich beispielsweise im Rahmen einer meiner letzten Urlaubsvertretungen mit Unterstützung des SIROLaser Advance eine Patientin mit dicker Backe und reichlich Pusaustritt nach Trepanation in drei Sitzungen ohne Antibiotikum und mit schnell einsetzender Beschwerdefreiheit erfolgreich therapieren.
„Laserschwert“ statt Skalpell
Die Attraktivität des Lasers gilt natürlich nicht nur für die Endodontie. Bedingt durch Informationen aus den Medien herrscht in der Bevölkerung die Überzeugung, mit dem Laser ginge alles einfacher, besser und schmerzärmer. Dass dem so ist, lässt sich gut bei der Durchtrennung des Lippenbändchens bei Kindern verdeutlichen. Selbst manch Erwachsener würde panisch den Raum verlassen, würde ich dabei zum Skalpell greifen. Wenn ich aber über mein „Laserschwert“ rede, verfliegt bei den Kindern jegliche Angst und es stellt sich fast schon Begeisterung ein. Die Eltern sind beruhigt und ich als Behandler freue mich über ein blutungsarmes, übersichtliches Behandlungsfeld. Derart positive Eindrücke wirken sich selbstredend vorteilhaft auf das Image der Praxis aus. Neben seiner guten Eigenschaft als Marketing- und Patientenbindungsinstrument lohnt sich die Anschaffung des SIROLaser Advance aber auch wegen seiner breit gefächerten Einsatzmöglichkeiten. Selbst in der Schmerztherapie bei Aphthen und Herpes kann er eingesetzt werden. Seine keimreduzierende Wirkung unterstützt parodontologische Behandlungen und bei den meisten chirurgischen Eingriffen ersetzt er schonend und angstbefreiend das Skalpell.
Wie ein modernes Smartphone
Im Vergleich mit einem zuvor benutzten Nd:YAG-Laser, der ein ähnliches Anwendungsspektrum wie der Diodenlaser abdeckt, überzeugt mich vor allem die kompakte Bauweise des SIROLaser Advance. Auch das Preis-Leistungs-Verhältnis und die schnelle Verfügbarkeit sprechen für den Diodenlaser. Das Gerät ist platzsparend, handlich und sehr leicht zu bedienen. Der Support durch die Firma Sirona ist optimal und beinhaltet für Lasereinsteiger ein im Preis enthaltenes Anwendertraining. Die selbsterklärende Menüführung erinnert mich an die von modernen intuitiven Smartphones. Aufgrund der vorprogrammierten Einstellungen kann jeder schnell und problemlos mit der Behandlung beginnen. Zudem ist das Gerät aufgrund seines langlebigen Akkus kabellos verwendbar, was bedeutet, dass ich sehr mobil bin.
Fazit
Für mich ist der SIROLaser Advance aus der Praxis nicht mehr wegzudenken. Er genießt hohes Ansehen bei den Patienten und verleiht der Praxis ein modernes und innovatives Image. Er bindet die Patienten an die Praxis. Ich kann den Laser sehr vielseitig einsetzen und meinen Arbeitsalltag deutlich erleichtern. Diodenlaser wie der SIROLaser Advance von Sirona dienen somit einer optimalen Patientenversorgung und steigern den Praxiserfolg. So hat sich die Investition in den Laser für mich schnell amortisiert.
Proto-Cam® Smart
Patientenbrille P07.P1P11.1001
Laserschutz-Lupenbrille F27P1M03
IPL-Brille F22P5L04 für Behandlungspersonal
F18P1C02 für Dentallaser Anwendungen
WaterLase MDX
Waterlase Epic X
Waterlase Express
Maskensystem Axess™
Accutron-Doppelmaskensystem seda-view®