Oralchirurgie 29.08.2014

Freies Schleimhauttransplantat zur Augmentation der Gingiva



Freies Schleimhauttransplantat zur Augmentation der Gingiva

Foto: © Autor

Immer wieder kommt es schon bei jungen Menschen insbesondere im Unterkiefer-Frontzahnbereich zu Rezessionen der Gingiva. Fehlt dann schließlich der keratinisierte Anteil der Gingiva komplett, treten Beschwerden und immer größer werdende Probleme in der Mundhygiene auf. Spätestens dann sollte therapiert werden. Im Folgenden wird die Primärtherapie bei zwei 17-jährigen Patientinnen dargestellt.

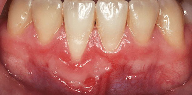
Beide Patientinnen waren zu Behandlungsbeginn 17 Jahre alt und hatten Beschwerden im Bereich 31 (Fall 1, Abb. 1) bzw. 41 (Fall 2, Abb. 2). Es zeigten sich jeweils Rezessionen (Miller-Klasse II) mit fehlender (Fall 1) bzw. sehr schmaler (Fall 2) keratinisierter Gingiva. In beiden Fällen waren diese Befunde isoliert an einem Zahn vorhanden. Beide Patientinnen waren Nichtraucherinnen. Es wurde eine zweizeitige Therapie vorgeschlagen. Zunächst ein freies Schleimhauttransplantat (FST) vom Gaumen zur Schaffung einer neuen Attached Gingiva. Anschließend, falls es erforderlich werden würde, sollte ein koronaler Verschiebelappen erfolgen. Dem Vorschlag wurde in beiden Fällen zugestimmt.

 

 

Therapie

Zunächst wurde im Bereich der Rezession scharf mit einer 15C Klinge ein Schleimhautlappen (Spilt-Flap) gebildet und das Periost dabei so freigelegt, dass möglichst keine für das Transplantat ungünstigen beweglichen Gewebeteile mehr auf dem Periost vorhanden waren. Mit wenig Absaugung, möglichst unter Verwendung von Tupfern, wurde Blutstillung betrieben. Nach Schaffung des Lagers und Reinigung der Wurzeloberfläche wurde der freigelegte Bereich mit einer Parodontalsonde ausgemessen und diese Maße per Sonde und Skalpell auf den Gaumen übertragen. Dort wurde mit einer 15C Klinge ein 1 mm dickes Transplantat gewonnen und der Spenderbereich anschließend mit einem Tupfer abgedeckt. Das Transplantat wurde dann auf eine rutschfeste sterile Unterlage mit der Epitheloberfläche nach unten gelegt und eventuelle Fettanteile vorsichtig mit einem Skalpell entfernt. Anschließend wurde das Transplantat im Empfängerbereich eingepasst und mit einem Tupfer angedrückt, um es leicht zu fixieren. Je nachdem, wie stark der Untergrund noch blutete, musste hier mehr oder weniger lange angedrückt und gewartet werden. Im Fall 1 war das kaum, im Fall 2 sehr lange nötig. Nach Abklingen der Blutungen wurden die Transplantate im marginalen Bereich mit jeweils einer Naht mesial und distal (monophil, 7-0) mit der benachbarten Gingiva vernäht (Abb. 3 und 4). Dann wurde das Transplantat weiterhin so lange vorsichtig angedrückt, bis es ohne Blutung mit dem Untergrund unbeweglich verbunden war. Danach wurde das Transplantat und die Entnahmestelle vorsichtig mit einem Zahnfleischverband geschützt. Die Patientinnen sollten in den nächsten Tagen im operierten Bereich nichts essen, nicht putzen und nicht abbeißen. Nach drei Tagen wurden die Verbände entfernt. Die Transplantate waren gut fixiert und ernährt. Lediglich das Epithel der Transplantate war wie erwartet nekrotisch (Abb. 5 und 6). Die Patientinnen sollten weiterhin im operierten Bereich nicht putzen und jede mechanische Beeinträchtigung vermeiden. Nach sieben Tagen wurden die Nähte entfernt. Die Transplantate waren ernährt und heilten gut ein (Abb. 7 und 8). Weiterhin galten noch für eine Woche dieselben Regeln zur Vorsicht. Die Kontrollen vier Wochen nach Operation zeigten gut eingeheilte Transplantate (Abb. 9 und 10). Es existierte wieder eine stabile Gingiva. Es wird jetzt zunächst der weitere Heilungsverlauf abgewartet. Insbesondere soll in den nächsten Monaten kontrolliert werden, inwieweit ein Creeping Attachment eventuell den jeweils geplanten koronalen Verschiebelappen überflüssig macht.

Diskussion

In beiden Fällen ist die Genese der isolierten Rezessionen unklar. In der Literatur finden sich wenige Hinweise. Vorschläge zur Änderung der Pflegetechnik hatten keine Besserung gebracht. Ein weiteres Zuwarten schien nicht sinnvoll. Als wesentliche Komplikation des Eingriffs gilt die Nekrose des Transplantats. Hier muss sehr akribisch auf eine primär gute blutungsfreie Verbindung mit dem Transplantatbett geachtet werden. Rauchen während der Heilphase ist eine absolute Kontraindikation. Die Vorhersagbarkeit der Operation ist bei Beachtung aller Regeln sehr hoch und sie ist einfach auszuführen. Eventuelle zu auffällige bzw. störende Farbdifferenzen des Transplantats zum umliegenden Gewebe können später durch eine Gingivoplastik angepasst werden.

Produkte
Mehr Fachartikel aus Oralchirurgie

ePaper