Parodontologie 15.07.2013

Auch das Parodontium altert!



Auch das Parodontium altert!

30 Jahre nach Parodontitistherapie: Dumm gelaufen oder alles wunderbar?

Eine Vielzahl wissenschaftlicher Publikationen zeigt, dass parodontal mittel bis stark geschädigte Zähne mit konsequenter Therapie über Jahrzehnte erhalten werden können. Selbst Zähne mit stark reduziertem Stützgewebe können über lange Zeiträume funktionell voll funktionstüchtig bleiben. Vorrausetzung für diese Ergebnisse ist eine systematische Behandlung, bestehend aus Initialbehandlung, weiterführender chirurgischer Behandlung und erfolgreicher Erhaltungstherapie. Ein weiterer Erfolgsbaustein ist die Mitarbeit des Patienten.

Messen lässt sich dies alles in Millimetern und Prozenten: Sondierungstiefen, Attachmentgewinn oder -verlust, Furkationsbeteiligungen, Plaque- oder Blutungsindizes. Was wir jedoch messen, ist immer der Status quo zum Zeitpunkt unserer Messungen und Untersuchungen. Bestenfalls sind wir noch in der Lage, unsere Werte mit den früher erhobenen in Relation zu setzen und so zu beurteilen, ob der „Fall“ progressiv verläuft, oder ein „Stillstand“ der de struktiven Vorgänge eingetreten ist.

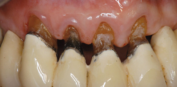
Bekanntermaßen kann es aber gar keinen Stillstand geben, weil der Patient lebt und seine Zähne im täglichen Leben benutzt! Zu allem Überfluß werden unsere Patienten, und auch wir Behandler, immer älter; das bedeutet, das Kauorgan ist funktionellen Belastungen und auch Pflegemaßnahmen immer länger ausgesetzt! Seit 1977 haben wir in unserer Praxis Patienten dokumentiert, vor allem komplexe und profunde PAR-Fälle. Im Rahmen meines Vortrages bei der Jahrestagung der Deutschen Gesellschaft für Parodontologie (DGParo) vom 20. - 21.9.2013 in Erfurt werde ich unterschiedliche Fälle zeigen (Fotos, Röntgenbilder, PAR-Staten), die alle nach den o. g. Prinzipien konsequent behandelt wurden. Es handelt sich ausnahmslos um profunde Fälle und Personen, die zu Beginn ca. 35 – 45 Jahre alt waren.

 

Wie sehen diese Patienten heute aus? Sondierungstiefen sind das eine. Aber horizontaler Knochenabbau als Alterungsprozess, „lange“ Zähne, Lockerungen aufgrund längerer Hebel, Zahnsubstanzverlust durch Pflegemaßnahmen u.s.w. sind das andere. Entwickeln sich alle Fälle gleich? Gibt es Trends, die voraussagbar sind? Wer seine Patienten über einen längeren Zeitraum betreut, muss manchmal Demut üben, mit Zweifeln an sich und der Wissenschaft fertig werden. Sind Langzeiterfolge planbar und voraussagbar? Was ist eigentlich ein Langzeiterfolg? Welche Bedeutung spielt die voraussichtliche „Restlebenszeit“ des Patienten für meine Therapieplanung? Bei welchem Attachmentverlust ist Parodontaltherapie vielleicht sinnlos? Sind Extraktion oder Implantatinsertion die bessere Therapie? Waren sie es auch noch 30 Jahre nach der Extraktion oder Implantation? Mit diesen Themen werden sich alle Behandler weltweit immer wieder
auseinandersetzen müssen. Meine Erfahrungen auf diesem Gebiet werde ich auf der DGParo-Tagung in Erfurt präsentieren. Die Gelegenheit, über diese Problematik zu diskutieren, besteht unabhängig von Ländergrenzen und Tagungsorten. Der kollegiale Austausch führt dazu, dass Fragen beantwortet und neue aufgeworfen werden. Und das ist gut so, denn sonst gibt es kein Fortkommen.

Mehr Fachartikel aus Parodontologie

ePaper