Prophylaxe 02.10.2014

Die perfekte Prophylaxesitzung in 60 bis 70 Minuten



Die perfekte Prophylaxesitzung in 60 bis 70 Minuten

Foto: © Autor

In meinem folgenden Patientenbericht, möchte ich den Ablauf, die Durchführung sowie das dazugehörige Zeitmanagement einer perfekt strukturierten Prophylaxesitzung darstellen. ­Zusätzlich werden hilfreiche Tipps und Tricks zur Umsetzung im Praxisalltag aufgezeigt.

Die 50-jährige Patientin stellte sich mit generalisierten Rezessionen von 3–5 mm und damit einhergehenden überempfindlichen Zahnflächen zur Prophylaxe­sitzung vor. In der Prophylaxebehandlung finden unter anderem Produkte der DMG Flairesse Prophylaxeserie Anwendung.

Überblick der Zeitphasen

1. Arbeitsplatzvorbereitung (5 Minuten)
Eine gute Vorbereitung des Arbeitsplatzes spart während der Durchführung der Prophylaxebehandlung Zeit, minimiert die nötig werdenden Greifwege und ­sichert eine hygienisch einwandfreie Umsetzung, daher ist es ratsam, verschiedene Grundinstrumente oder ­Basisprodukte vorab gezielt auf die folgende Behandlungsmaßnahme abzustimmen.

2. Patienten „abholen“ (5 Minuten)
Nach einem kurzen Einführungsgespräch, in welchem das Prophylaxepersonal gezielt auf die Wünsche sowie Rückfragen des Patienten eingehen kann, folgt der Check-up des Anamnesebogens. Danach kann mit der Durchführung der Individualprophylaxe begonnen werden.

3. Inspektion der Mundhöhle, ­Kontrolle der Weichgewebe und Kontrolle des Mundhygienestatus (10–15 Minuten)
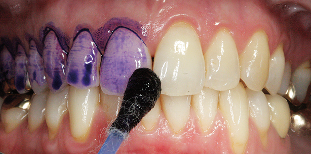
Nach einer kurzen Inspektion der Mundhöhle folgt die Kontrolle der Weichgewebe. Hierbei sollten unter anderem die Zungenoberfläche/Unterseite, der Mundboden, der Gaumen, die Umschlagfalte, die Wangeninnenflächen und die Lippen genauer beurteilt werden (Abb. 1). Dann kann mit der Erhebung des Mundhygienestatus begonnen werden, dieser besteht aus Blutungs- und Plaque-Index. Es ist sinnvoll, den Blutungs-Index vor dem Plaque-Index durchzuführen und zu erheben, da die ­positiven Blutungspunkte vor dem Anfärben der Zähne leichter zu erkennen sind als danach. Das Anfärben der Zähne kann mittels Mira 2 Ton und einem Q-Tip umgesetzt werden (Abb. 2 und 3).

Es ist ratsam, sich im Prophylaxeteam auf die Durchführung und Dokumentation eines bestimmten Index zu beschränken, um eine bessere Reproduzierbarkeit gewährleisten zu können. Nach dem Auswerten der Indices (Abb. 4) sollten die Befunde kurz mit der Patientin besprochen werden. Eine intraorale Kamera oder ein Handspiegel mit Vergößerungseffekt können hierbei unterstützen und behilflich sein.

4. Durchführung der Professionellen Zahnreinigung und Politurmaßnahmen (Vor-und Feinpolitur) (30 Minuten)
Mittels maschineller sowie manueller Instrumente werden alle supragingivalen, harten und weichen Zahnbeläge entfernt. In diesem Patientenfall folgt bezüglich der freiliegenden Zahnflächen eine Vorpolitur mit einer weichen Prophylaxebürste und der feinkörnigen DMG Flairesse Prophylaxepaste mit Minzaroma, um leichte extrinsische Zahnverfärbungen schonend entfernen zu können (Abb. 5). Schachtelstellungen und schwer erreichbare Areale werden mit einer Soft-Minibrush und selbiger Paste nachbearbeitet (Abb. 6). Danach führe ich eine Feinpolitur durch. Hierzu verwende ich einen feinen Prophylaxekelch und die feinkörnige Prophylaxepaste mit Melonengeschmack (Abb. 7). Das fruchtig frische Aroma punktet bei allen Altersklassen. Die Paste lässt sich sehr gut verarbeiten, sie spritzt und klebt nicht an den Weichgeweben. Die Prophylaxepaste fördert trotz des vorhandenen Frucht­aromas, nicht ­zusätzlich den Speichelfluss. Es ist eine leichte, angenehme Durchführung der Politurmaßnahme möglich. Zervikalbereiche werden optimal gereinigt und erreicht, ohne dass die Patientin empfind­liche Areale im Mund als unangenehm wahrnehmen kann (Abb. 8).

5. Mundhygieneinstruktion und ­Motivation, PSI/Messstatus, Lokalfluoridierung/CHX-Anwendung (10–15 Minuten)
Es folgt die Mundhygieneinstruktion, bei welcher man sich, um die Patienten nicht zu überfordern, auf maximal drei Basics beschränken sollte. Optimal ist es, wenn die häuslich bereits vorhandenen Putzutensilien zu jeder Prophylaxesitzung mit in die Zahnarztpraxis gebracht werden. Dies ermöglicht dem Fachpersonal eine einfache und zweckgemäße Beratung oder auch Umstrukturierung.

Zum Beispiel:

I. Zahnbürste
Handzahnbürste: manuell, weich/soft, mit rezessionsorientierter Putztechnik und Demo am Modell sowie in der Mundhöhle
Elektrische Zahnbürste: Hersteller/Modell erfragen, Soft-Aufsteckbürste, Demo am Modell und in der Mundhöhle (wenn elektrische Zahnbürste anbei)

II. Zahnpasta
Sensitivzahnpasta

III. Interdentalraumpflege
Zahnzwischenraumbürsten anpassen (maximal zwei Größen), Demo mittels Handspiegel und unter Anleitung, Patientin „üben lassen“, Motivation nicht vergessen.

Nach der Motivation und Instruktion kann ein PSI-Index oder ein Sondierstatus erhoben werden. Zum Abschluss der Behandlung folgt eine Intensivfluoridierung der freiliegenden Zahnhalsbereiche mittels DMG Flairesse Fluoridlack (Abb. 9 und 10).

6. Nachrüsten des Arbeitsplatzes (5 Minuten)
Der Arbeitsplatz wird gesäubert, gereinigt und nachgerüstet.

Fazit

Das Durchführen einer perfekten Prophylaxesitzung ist unter Berücksichtigung bestimmter Arbeitsabläufe, ­gekonnter Umsetzung theoretischer Fachkenntnisse in den praktischen Behandlungsphasen sowie Erkennen des derzeit vorliegenden Mundgesundheitszustandes inklusive der dazugehörigen Dokumentation der intra­oralen Befunde einfach umsetzbar. Unter Berücksichtigung des Hauptanliegens unserer Patientin führen wir individuelle Behandlungsmaß­nahmen durch, welche durchaus positiv in Erinnerung bleiben. Dies schafft Vertrauen und fördert zusätzlich auch die Patientenbindung.

Mehr Fachartikel aus Prophylaxe

ePaper