Kieferorthopädie 26.02.2026

Cleidokraniale Dysplasie als interdisziplinäre Herausforderung der Kieferorthopädie



 

Seltene genetische Erkrankungen begegnen der Kieferorthopädie meist nur vereinzelt und stellen besondere diagnostische sowie therapeutische Herausforderungen dar. Gerade in der Praxis zeigt sich jedoch, dass auffällige dentale Befunde häufig der entscheidende Hinweis auf ein bislang nicht erkanntes Syndrom sein können.

Cleidokraniale Dysplasie als interdisziplinäre Herausforderung der Kieferorthopädie

Foto: Dr. Olena Golubenko

Einleitung

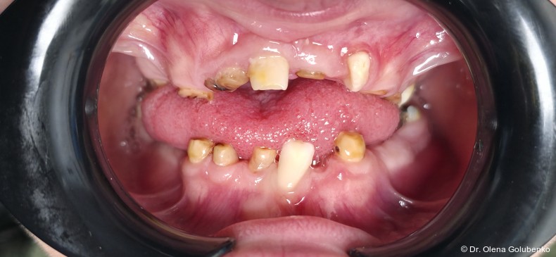
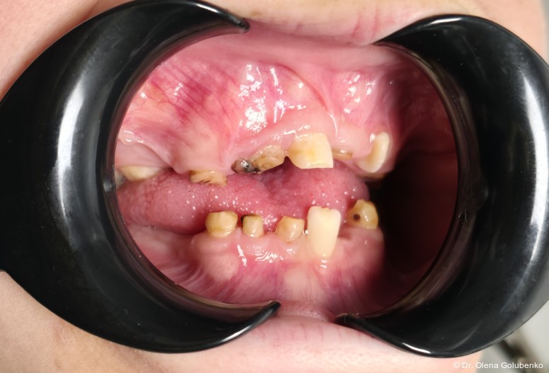
Der vorliegende Beitrag entstand aus einer kollegialen Anfrage: Eine 17-jährige Patientin mit ausgeprägten dentalen Auffälligkeiten wurde zur kieferorthopädischen Beratung überwiesen (Abb. 1a–c). Trotz zahlreicher vorangegangener zahnärztlicher Behandlungen war bis zu diesem Zeitpunkt keine syndromale Diagnose gestellt worden. Erst durch die sorgfältige Erhebung der allgemeinen und zahnmedizinischen Anamnese, die klinische Untersuchung sowie die gezielte Auswertung der dreidimensionalen Bildgebung ließ sich ein charakteristisches Muster erkennen. Auf dieser Grundlage ergab sich aus kieferorthopädischer Sicht der begründete Verdacht auf eine cleidokraniale Dysplasie, der die Vielzahl der dentalen, skelettalen und fazialen Befunde erstmals in einen schlüssigen klinischen Zusammenhang stellte.

Ausgangssituation und ­Problemstellung

In der täglichen kieferorthopädischen Praxis treten genetische Syndrome nur selten auf. Patienten mit cleidokranialer Dysplasie stellen sich häufig erst im Jugend- oder Erwachsenenalter vor, oftmals nach zahlreichen frustranen Behandlungsversuchen oder mit dem Wunsch nach einer „schnellen Lösung“. Nicht selten besteht der Wunsch nach umfangreichen Extraktionen oder einer frühzeitigen Implantation, ohne die langfristigen funktionellen und biologischen Konsequenzen ausreichend zu berücksichtigen.

Im vorliegenden Fall erfolgte die Überweisung durch eine zahnärztliche Kollegin mit der Bitte um kieferorthopädische Einschätzung des weiteren Vorgehens angesichts multipler nicht durchgebrochener Zähne, persistierender Milchzähne und zahlreicher überzähliger Zahnkeime.1

Krankheitsbild der ­cleidokranialen Dysplasie

Die cleidokraniale Dysplasie ist eine seltene, autosomal-dominant vererbte Skeletterkrankung, die durch eine Störung der intramembranösen Ossifikation gekennzeichnet ist. Betroffen sind insbesondere die Schlüsselbeine und die Schädelknochen, jedoch zeigt sich auch eine ausgeprägte Beteiligung des stomatognathen Systems.

Typisch sind:

  • Hypo- oder Aplasie der Claviculae
  • verzögerter Verschluss der Schädelnähte
  • charakteristische faziale Proportionen
  • ausgeprägte dentale Anomalien (Abb. 2)

Für die Kieferorthopädie sind vor allem die dentoalveolären Veränderungen von klinischer Relevanz.

Dentale und faziale ­Besonderheiten

Das dentale Erscheinungsbild ist häufig sehr charakteristisch und erlaubt bereits früh einen Syndromverdacht. Typische Befunde sind:

  • lang anhaltende Persistenz der Milchzähne
  • ausgeprägte Retention der bleibenden Zähne
  • multiple überzählige Zähne
  • fehlende oder stark verzögerte spontane Zahndurchbrüche
  • Engstände und Fehlstellungen

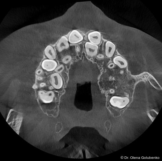
Die dreidimensionale Bildgebung zeigt meist eine hohe Anzahl nicht durchgebrochener permanenter und überzähliger Zähne, die in unterschiedlicher Lage im Kiefer verbleiben (Abb. 3+4).

Fazial imponieren die Patientinnen und Patienten häufig durch ein kurzes Gesicht, eine Hypoplasie der Mittelgesichtsregion sowie insgesamt harmonisch wirkende, aber wiedererkennbare Proportionen. Viele Betroffene ähneln sich im äußeren Erscheinungsbild, was den Syndromcharakter zusätzlich unterstreicht.2

Eine breitere öffentliche Aufmerksamkeit erhielt die Erkrankung unter anderem durch den US-amerikanischen Schauspieler Gaten Matarazzo, der offen über seine cleidokraniale Dysplasie spricht und damit zur Sensibilisierung für dieses seltene Krankheitsbild beigetragen hat.3

Diagnostik und Therapieplanung

Die Diagnostik der cleidokranialen Dysplasie basiert auf einer sorgfältigen klinischen Untersuchung, der Analyse von Panoramaaufnahmen sowie insbesondere auf der digitalen Volumentomografie (DVT). Ziel ist es, die Anzahl, Lage, den Entwicklungsstand sowie mög­liche Interferenzen der retinierten und überzähligen Zähne präzise zu erfassen und in ei­nen funktionellen sowie skelettalen Kontext einzuordnen (Abb. 5–8).

Gerade bei der cleidokranialen Dysplasie ist eine vorschnelle Therapieentscheidung unbedingt zu vermeiden. Eine unselektive Entfernung aller persistierenden Milchzähne oder eine frühzeitige implantologische Versorgung kann die spätere kieferorthopädische und chi­rurgische Therapie erheblich erschweren oder unter Umständen sogar unmöglich machen. Aufgrund der besonderen biologischen Gegebenheiten – insbesondere der verzögerten Ossifikation und der häufig reduzierten Knochenqualität – ist eine langfristig orientierte, strukturierte Planung essenziell.

Bild von einem Quotenzeichen
„Patienten mit cleidokranialer Dysplasie stellen sich häufig erst im Jugend- oder Erwachsenenalter vor, oftmals nach zahl­reichen frustranen Behandlungsversuchen oder mit dem Wunsch nach einer ,schnellen Lösung‘.“

Die Therapieplanung muss stets individuell erfolgen und folgende Aspekte berücksichtigen:

  • biologisches Alter sowie dentaler Entwicklungsstand
  • Anzahl, Lage und Durchbruchspotenzial der bleibenden Zähne
  • funktionelle Parameter, insbesondere ­Okklusion und Kieferrelationen
  • psychosoziale Situation der Patientin bzw. des Patienten

Bei Patientinnen und Patienten mit cleidokranialer Dysplasie hat sich ein stufenweises, sequenzielles Behandlungskonzept als besonders sinnvoll erwiesen. Aufgrund der gestörten intramembranösen Ossifikation, der häufig verminderten Belastbarkeit des alveolären Knochens sowie der Vielzahl retinierter und überzähliger Zähne ist eine simultane umfassende Behandlung beider Kiefer in vielen Fällen weder biologisch indiziert noch therapeutisch effizient.

Die Entscheidung über das initiale therapeutische Vorgehen basiert auf einer detaillierten Analyse der Anzahl, Lage und Morphologie der retinierten Zähne, ihres Durchbruchspotenzials sowie der strukturellen Eigenschaften des alveolären Knochens. Ergänzend werden funktionelle Aspekte wie die Okklusion, die sagittalen und vertikalen Kieferrelationen sowie die individuelle faziale Ästhetik in die Planung einbezogen.

In der klinischen Praxis zeigt sich häufig, dass eine primäre Fokussierung auf einen Kiefer – meist den Oberkiefer – deutliche Vorteile bietet. Durch die schrittweise Entfernung ausgewählter Milchzähne und überzähliger Zahnanlagen sowie die gezielte chirurgische Freilegung retinierter permanenter Zähne können zunächst stabile Platzverhältnisse geschaffen werden. Dies ermöglicht eine kontrollierte orthodontische Einordnung unter reduzierten Kräften und minimiert das Risiko unerwünschter Nebenwirkungen wie Wurzelresorptionen, parodontaler Schädigungen oder alveolärer Knochenverluste.

Erst nach Abschluss und Stabilisierung dieser ersten Therapiephase erfolgt die strukturierte Planung der Behandlung des zweiten Kiefers. Dieses sequenzielle Vorgehen erlaubt nicht nur eine präzisere biomechanische Steuerung der Zahnbewegungen, sondern reduziert auch die chirurgische Belastung pro Behandlungsabschnitt. Gleichzeitig verbessert es die Behandlungsakzeptanz und die Compliance der Patientinnen und Patienten, da therapeutische Fortschritte früh sichtbar werden und der Behandlungsverlauf für die Betroffenen nachvollziehbarer bleibt.

Insgesamt trägt das stufenweise Behandlungskonzept dazu bei, biologische Grenzen zu respektieren, funktionelle und ästhetische Zielsetzungen realistisch zu definieren und langfristig stabile Ergebnisse zu erzielen. 4

Bild von einem Quotenzeichen
„Fazial imponieren die Patientinnen und Patienten häufig durch ein kurzes Gesicht, eine Hypoplasie der Mittelgesichtsregion sowie insgesamt harmonisch wirkende, aber wiedererkennbare Proportionen.“

Kieferorthopädisches Vorgehen

Das kieferorthopädische Behandlungskonzept bei cleidokranialer Dysplasie ist grundsätzlich langfristig, interdisziplinär und stufenweise angelegt. Ziel ist es, vorhandene dentoalveoläre Strukturen möglichst zu erhalten und die bleibenden Zähne unter kontrollierten Bedingungen in die Zahnreihe einzugliedern.

Wesentliche Prinzipien der kieferorthopädischen Therapie sind:

  • selektive Entfernung einzelner persistierender Milchzähne oder überzähliger Zahnanlagen
  • chirurgische Freilegung retinierter permanenter Zähne unter Schonung des umliegenden Gewebes
  • orthodontische Einordnung der Zähne unter kontrollierten, biologisch angepassten Kräften
  • konsequente Vermeidung unnötig invasiver Maßnahmen

Eine enge interdisziplinäre Zusammenarbeit mit der Oralchirurgie sowie gegebenenfalls mit der Prothetik ist dabei unerlässlich. Implantologische Maßnahmen sollten – sofern überhaupt indiziert – erst nach Abschluss des kieferorthopädischen Behandlungsabschnitts und des skelettalen Wachstums sowie nach Ausschöpfung aller zahnerhaltenden Optionen in Betracht gezogen werden, um langfristige funktionelle und ästhetische Komplikationen zu vermeiden.

Diskussion

Die cleidokraniale Dysplasie verdeutlicht exem­plarisch, wie wichtig ein syndromspezifisches Behandlungskonzept in der Kieferorthopädie ist. Während aus Patientensicht oft der Wunsch nach einer schnellen ästhetischen ­Lösung besteht, erfordert die Erkrankung Geduld, Aufklärung und eine realistische Ziel­definition.

Der kieferorthopädische Beitrag besteht nicht nur in der Zahnbewegung, sondern vor allem in der Koordination der interdisziplinären ­Behandlungsschritte und der langfristigen Begleitung der Patientinnen und Patienten.

Resümee

Die cleidokraniale Dysplasie ist eine seltene, aber klinisch sehr charakteristische Erkrankung mit erheblicher Relevanz für die Kieferorthopädie. Die Vielzahl retinierter und überzähliger Zähne sowie die fazialen Besonderheiten erfordern eine sorgfältige Diagnostik und ein stufenweises, interdisziplinäres Therapiekonzept. Ein vorschnelles invasives Vorgehen sollte vermieden werden, um funktionelle und ästhetische Ergebnisse langfristig zu sichern.

Literatur

KN Kieferorthopädie Nachrichten 03/26

KN Kieferorthopädie Nachrichten


Dieser Beitrag ist in der KN Kieferorthopädie Nachrichten erschienen.

Die KN Kieferorthopädie Nachrichten sind das monatliche Fachmedium für Kieferorthopäden. Im Fokus stehen standespolitische Themen, wissenschaftliche Fachinformationen und internationale Fortbildungen. Beiträge von Experten aus aller Welt vermitteln praxisnah aktuelle Trends, Innovationen und gesundheitspolitische Entwicklungen. Nach dem Prinzip „vom Spezialisten für den Spezialisten“ unterstützen die KN den Wissensaustausch, sichern Qualität und tragen maßgeblich zum Erfolg der Branche bei.

Jetzt das ePaper lesen.

Mehr Fachartikel aus Kieferorthopädie

ePaper