Zahntechnik 15.04.2019
Mit der Dritten sieht man besser!
share
Nüchtern betrachtet ist die Anfertigung einer neuen Zahnversorgung immer eine Unikat- bzw. Prototypenfertigung. Gerade darin liegt die tägliche Herausforderung. Gleichzeitig ergeben sich daraus auch die meisten Chancen und Potenziale. In diesem Beitrag soll der Hauptfokus auf dem Problem der bissbedingten Nacharbeiten, den damit verbundenen Kosten und möglichen Lösungen liegen.
Fragt man Zahnärzte und Zahntechniker, was sie am meisten an ihrem Beruf stört, nennen viele nach den bürokratischen Verpflichtungen das Problem der bissbedingten Nacharbeiten und die damit verbundenen Folgen. Das Problem besteht schon lange. Professor Alfred Gysi hatte Anfang des letzten Jahrhunderts bereits seine extraorale Stützstiftregistrierung als Lösungsansatz vorgestellt. In den vergangenen einhundert Jahren folgten weitere. Man könnte also meinen, das Problem sei inzwischen gelöst.
Doch die Herausforderung stellt sich bis heute – und oft kommen bei bissbedingten Nacharbeiten noch entsprechende Schuldzuweisungen zwischen Praxis und Labor zur Anwendung. Jedoch sind diese bei der Problemlösung wenig nützlich.
Und damit sind wir bereits mitten im Problembereich. Das menschliche Kiefergelenk ist ein System, das dreidimensional arbeitet. Somit können die Kondylen eine Vielzahl von unterschiedlichen Positionen einnehmen. Zudem wird die zentrische Relation erheblich von der vertikalen Dimension, also der Bisshöhe, mit beeinflusst. In einem Abrasionsgebiss, welches mehrere Millimeter an vertikalem Verlust aufweist, können die Kondylen aufgrund der Biomechanik nicht mehr in zentrischer Relation stehen. Der Unterkiefer wird in diesem Fall durch die Muskulatur weiter an den Oberkiefer „herangezogen“. Dadurch verändern sich auch die Positionen beider Kondylen. Noch anspruchsvoller wird die Situation in der Totalprothetik (Abb. 1).
Ein Stützstiftregistrat kann hier hilfreich sein. Die verlorene Bisshöhe kann über den Stützstift wieder definiert werden, die Bisshöhe somit korrigiert werden. Doch Stützstiftregistrate zeichnen in der Regel die Bewegungen des Unterkiefers in dem bekannten Pfeilwinkel nur zweidimensional auf. Damit stellt sich dann die Frage: Wo auf dem Pfeilwinkel befindet sich nun der gesuchte zentrische Bereich des Patienten? Um hier eine eindeutige Aussage treffen zu können, bedarf es der Aufzeichnung aller drei Dimensionen.
Hinzu kommt ein weiteres Problem: Alle Artikulatoren, auch virtuelle Artikulatoren, arbeiten mit einer festen Rotationsachse. Im menschlichen Kausystem gibt es eine solche Achse jedoch nicht. Stehen also die Kondylen außerhalb der zentrischen Relation, so wird diese nicht zentrische Relation als Artikulatorachse festgelegt. Alle Kaubewegungen im Artikulator erfolgen dann in der unphysiologischen Position. In dieser wird auch die Okklusion der neuen Zahnversorgung definiert. Wird die fertige Zahnversorgung in den Patientenmund eingegliedert, muss dann häufig nachgearbeitet werden.
Dem Kausystem gerecht werden
Damit sind die Anforderungen klar definiert. Es braucht ein dreidimensional arbeitendes Stützstiftregistrierverfahren; ein System, mit dem die zentrische Relation bei jedem Patienten individuell und reproduzierbar bestimmt, in ein Bissregistrat überführt und in einen Artikulator eingestellt werden kann. Dabei ist es wichtig, dass der Workflow einfach für den Anwender und gleichzeitig angenehm für den Patienten ist. Ein System, welches diesen Anforderungen gerecht wird, ist das patentierte System Centric Guide® easy von theratecc. Das Systemist seit 2015 am Markt erhältlich (Abb. 2 und 3).
Das System verfügt über zwei Stützstifte. Ein klassischer Stützstift zeichnet alle horizontalen Bewegungen im bekannten Pfeilwinkelregistrat auf. Mit einem zweiten, horizontal angebrachten Stützstift können nun auch alle vertikalen Unterkieferbewegungen aufgezeichnet werden. Dank dieser dritten Dimension kann die zentrische Position beider Kondylen reproduzierbar aufgezeichnet und in ein entsprechendes Bissregistrat überführt werden (Abb. 4).
Wie bei einer herkömmlichen Stützstiftregistrierung werden entsprechende patientenindividuelle Schablonen gefertigt. In der Totalprothetik dienen diese gleichzeitig als Funktionslöffel (Abb. 5 und 6). In diese Schablonen werden nach erfolgter Funktionsabformung die Systemkomponenten eingesetzt. In der Unterkieferschablone wird die 3D-Stützstifteinheit eingesetzt. Im hinteren Bereich ist der zweite Stützstift horizontal angebracht. In die Oberkieferschablone wird die 3D-Aufzeichnungseinheit eingesetzt (Abb. 7 und 8).
Zentrische Position exakt bestimmen
Der Patient führt alle Unterkieferbewegungen selbstständig und ohne Manipulation am Kinn aus. Die dritte Aufzeichnungsebene visualisiert alle vertikalen Bewegungen. So lässt sich auch der höchste Bereich beider Kondylen aufzeichnen. Damit wird die Positionierung vereinfacht. Die 3D-Positioniereinheit wird zuerst den höchsten Bereich der vertikalen Aufzeichnung ausgerichtet. Erst dann erfolgt die transversale Ausrichtung auf dem Pfeilwinkelregistrat. Die Frage, wo auf dem Pfeilwinkel denn nun der zentrische Bereich liegt, stellt sich damit nicht mehr.
Die 3D-Positioniereinheit kann mittels einer Schraube in der jeweiligen Zentrikposition fixiert werden. Die Registrierschablonen werden in den Patientenmund zurückgesetzt. Der Patient beißt entsprechend in die Vertiefung der 3D-Positioniereinheit. In dieser Position kann das gewünschte Zentrikregistrat generiert werden (Abb. 9 und 10).
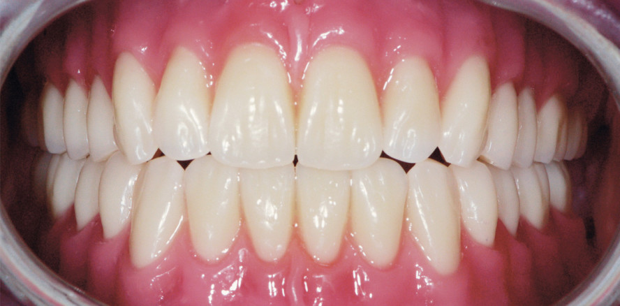
Die Modelle können so in zentrischer Relation im Artikulator eingestellt werden. Die Drehachse des Artikulators und die Rotationsachse beider Kondylen stimmen jetzt überein (Abb. 11). In dieser neu gewonnenen zentrischen Relation kann nun die Aufstellung erfolgen. Die Einprobe verläuft entsprechend positiv, die Bisslage wird von den Patienten sofort eingenommen (Abb. 12). Im Anschluss erfolgt die Fertigstellung der Versorgung (Abb. 13). Nach übereinstimmenden Aussagen vieler Anwender können derartige Versorgungen nahezu ohne bissbedingte Nacharbeiten eingegliedert werden; zudem sinkt die Druckstellenhäufigkeit erheblich.
Fazit
Gerade in der Total- und Kombinationsprothetik darf die exakte Bestimmung der zentrischen Relation durchaus als anspruchsvoll bezeichnet werden. Mit dem vorgestellten System lassen sich reproduzierbare Bissregistrate generieren und bissbedingte Nacharbeiten gezielt vermeiden. Das sorgt für einen größeren Tragekomfort für Patienten und eine bessere Wirtschaftlichkeit für die Praxis und das Dentallabor. Das Handling ist dank der wenigen Systemkomponenten überaus einfach. Dies spiegelt sich auch in dem geringen Zeitbedarf von etwa fünf bis zehn Minuten wider. Die grazilen Systemkomponenten ermöglichen auch eine Indikation im vollbezahnten Kausystem.
Der Beitrag ist in der DENTALZEITUNG erschienen.
Foto: Autor
Pola For Aligners
TRIOS 6
CYTECpro + CONTECpro
BeautiLink SA
mμILLUSION Color Malfarben und -pasten
breCAM.multiCOM+
PALA Mill&Cast
Luxatemp MaxProtect
breCAM.base
Leaf Expander® Hybrid