Zahntechnik 23.04.2021
Zahnfarbene Kunststoffe als Gerüstmaterialien bei Zahnersatz
share
Wenn Patienten über klinisch nicht nachvollziehbare Symptome nach Eingliederung von Zahnersatz klagen, ist guter Rat schnell recht teuer. Unter dem Leidensdruck der Patienten und der Fehlinterpretation von Symptomen werden teilweise unüberlegt Veränderungen am Zahnersatz vorgenommen. Dieser Beitrag soll Anregungen für die temporäre Versorgung von Patienten mit einem zahnfarbenen Kunststoff geben. An einem Patientenbeispiel mit Verdacht auf Materialunverträglichkeit wird die Anwendung verdeutlicht.
Kunststoffe für abnehmbaren Zahnersatz
Bei abnehmbarem Zahnersatz ist, außer bei Interims- und Totalprothesen, die Verwendung von Metalllegierungen zur Herstellung rigider Gerüststrukturen die Regel. Typischerweise kommen in Deutschland hierzu vorwiegend Kobalt- Chrom-Molybdän-Legierungen, aber auch goldbasierte und Titanlegierungen zur Anwendung. Die Nachfrage nach metallarmem bzw. metallfreiem Zahnersatz nimmt stetig zu. Die individuellen Gründe sind hierbei sehr verschieden. Während für einige Patienten der ästhetische Nutzen im Vordergrund steht, sind es bei anderen Personen die Sorgen vor Vergiftung, elektrischen Strömen oder auch Unverträglichkeitsreaktionen und Allergien.
Wer diesen Patienten begegnet, steht allerdings vor einem schwer zu überschauenden Angebot unterschiedlicher Materialalternativen. Die verfügbaren Werkstoffe unterscheiden sich in der chemischen Zusammensetzung (methacrylatfreie vs. methacrylathaltige Materialien), den physikalischen (Abriebfestigkeit, Elastizität, Wasseraufnahmevermögen) und optischen Eigenschaften (opak vs. transluzent; zahnfarben vs. nicht zahnfarben). Auch die Verarbeitbarkeit (chemisch härtend, lichthärtend, thermoplastisch verformbar, fräsbar) ist unterschiedlich möglich.1
Grundsätzlich zeigen Werkstücke, welche aus industriell gepressten Rohlingen gefräst werden, erheblich bessere Materialeigenschaften als Werkstücke, die thermoplastisch oder im Polymerisationsverfahren hergestellt wurden.2 Insofern möglich sollte bei Materialien, die CAD/CAM-Fertigung bevorzugt verwendet werden.
Bei den zahnfarbenen, kunststoffbasierten Werkstoffen stehen uns die Polymethylmethacrylate (PMMA), die Polycarbonate (PC) und die Polyoxymethylene (POM) zur Verfügung. PMMA ist in vielen Färbungen und auch als mehrschichtig eingefärbtes Material verfügbar, eignet sich durch seine Sprödigkeit allerdings nur bei höheren Schichtstärken zur Fertigung von abnehmbarem Zahnersatz. Während mit PMMA-basierten Kunststoffen ausgedehnte Langzeiterfahrungen bestehen, ist dies für die anderen beiden Materialien nicht gegeben. PC ist bezüglich der Mundverweildauer auf zwölf Monate beschränkt und ebenfalls, wenn auch in geringerem Umfang als PMMA, frakturgefährdet. PC werden deshalb vorwiegend für zahnfarbene Schienen, aber weniger für abnehmbaren Zahnersatz verwendet. POM (Synonym: Polyacetal), das durch seine polykristalline Struktur opake Eigenschaften hat, ist in diversen Zahnfarben verfügbar. Es ist sehr bruchresistent und bei abnehmbarem Zahnersatz auch als permanentes Material zugelassen. Durch seine eingeschränkte Verschleißfestigkeit ist es jedoch langfristig nicht im okklusionstragenden Bereich zu empfehlen.
Im Nachfolgenden wird ein Patientenfall präsentiert, in dem Polyoxymethylen als monolithisches Material bei der Herstellung von semipermanentem, abnehmbarem Zahnersatz genutzt wurde.
Chemische Zusammensetzung von Polyoxymethylen (POM)
POM ist im industriellen Bereich seit über 30 Jahren verfügbar und wird vor allem in der Automobilindustrie und Elektrotechnik zum Beispiel zur Herstellung von Präzisions- und Formteilen verwendet. Chemisch wird das Material sowohl durch Polyether- (–C – O –) als auch Acetal- Gruppen (–O–C–O–) charakterisiert. POM kann aus Formaldehyd- oder Trioxan-Monomeren hergestellt werden (Abb. 1). Es stehen zwei POM-Varianten zur Verfügung: POM als Homopolymer (POM-H) und als Copolymer (POM-C). POM-H ist ein hochkristallines, thermoplastisches Material mit einer helikalen Struktur.3 Für die Herstellung von POM-C werden kleine Mengen anderer zyklischer Ether (–C – O –) und zusätzliche Methylen-Gruppen zugefügt. Diese Methylen-Gruppen erhöhen die thermische und hydrolytische Stabilität.4 Die im zahnärztlichen Bereich verwendeten Materialien basieren auf POM-C.
Fallbeispiel – Polyoxymethylen als abnehmbare Brücke
Im Dezember 2020 stellte sich eine 57-jährige Patientin in der Sprechstunde für dentale Materialunverträglichkeiten der Universität Leipzig vor. Sie war im Oberkiefer seit zehn Jahren mit einer abnehmbaren, teleskopierenden Brücke und im Unterkiefer mit festsitzendem Zahnersatz versorgt (Materialzusammen- setzung siehe Abb. 2 und 3).
Unmittelbar nach Eingliederung der Versorgung im Oberkiefer seien erste Probleme aufgetreten, weshalb die abnehmbare Brücke mehrfach umgearbeitet wurde. Als Konsequenz wäre das dadurch freiliegende Metall mit Feingold überzogen wurden. Beim Tragen der Prothese empfinde sie Stromschläge, spüre einen sauren Geschmack, leide unter Mundtrockenheit und habe eine chronische Schleimproduktion im Hals. Cortison-Spray lindere ihre Symptome. Sie sei bezüglich der Probleme in den letzten Jahren schon bei vielen Ärzten gewesen. Die Prothese könne sie nur über kürzere Zeit im Mund tolerieren und trage diese nachts nie. Aufgrund eines chronischen Hustenreizes sei sie aktuell arbeitsunfähig.
Verdacht auf Materialallergie
Aus den mitgebrachten Unterlagen konnte entnommen werden, dass das unspezifische Immunglobulin E wiederholt erhöht vorlag (Referenzbereich < 100 U/ml, Testergebnis Juni 2020: 264 U/ml). Ein Allergietest auf dentale Materialien lag nicht vor. Wir erstellten daher ein Anschreiben an den niedergelassenen Hausarzt mit Bitte um Überweisung an die Dermatologie und Testung auf zahnärztlich relevante Allergene der Standardreihe (u. a. Chrom, Kobalt, Nickel, Perubalsam, Kolophonium), Dentalmetalle (u. a. Amalgam, Gold, Palladium, Platin, Zinn, Kupfer, Quecksilber) und Zahntechniker-Hauptreihe (div. Acrylate, Benzoylperoxid, Melaminharze).
Hypoallergene Übergangsprothese
Gemeinsam mit der Patientin erfolgte der Entschluss, parallel eine Übergangsprothese aus einem hypoallergenen, zahnfarbenen Material anzufertigen, ohne die bestehende Konstruktion dabei zu zerstören. Der Versuch, die vorhandene abnehmbare Sekundärkonstruktion direkt zu digitalisieren, war nicht erfolgreich (Abb. 4). Die Ursache lag hierbei in der unvollständigen dreidimensionalen Erfassung des Werkstücks. Es erfolgte deshalb die konventionelle Abformung beider Kiefer, eine Kieferrelationsbestimmung und die digitale Neukonstruktion des Zahnersatzes (Abb. 5). Um die Friktion der Teleskope besser einstellen zu können, wurden zwei Käppchen aus POM (Zirlux Acetal, Henry Schein) mit unterschiedlich eingestelltem Spaltmaß gefräst und intraoral auf ihren Halt geprüft.
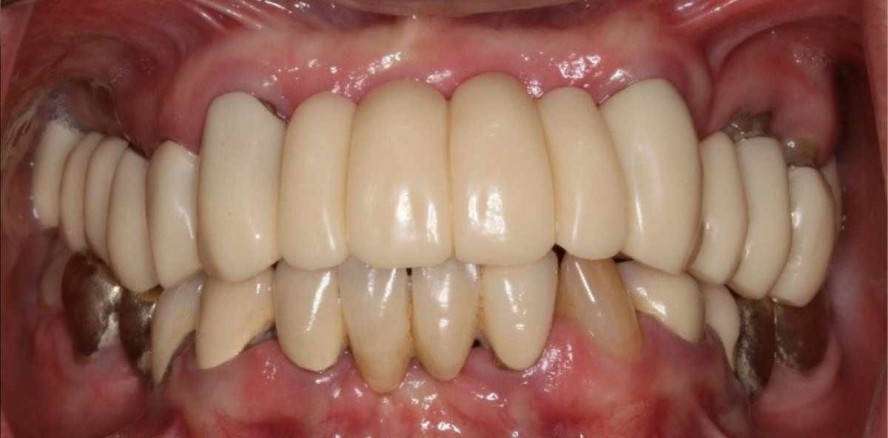
Zur Minimierung potenzieller Allergene wurde zunächst auf eine Charakterisierung und Glasur der neu gefertigten Sekundärkonstruktion aus POM verzichtet. Es erfolgte ausschließlich eine manuelle Politur. Bei Eingliederung wurde die Okklusion eingestellt und der Patientin der temporäre Zahnersatz zum Probetragen mitgegeben (Abb. 6).
Bereits zur Kontrolle nach einer Woche zeigte sich ein spür- und sichtbares Aufrauen der okklusalen Seitenzahnbereiche (Abb. 7). Temporär auftretende Verfärbungen durch intensiv färbende Speisen (Rote Bete, Rotwein) haben sich durch normale Reinigungsmaßnahmen und Reinigungstabletten als reversibel erwiesen. Auch das Essen harter Speisen (z. B. Nüsse) war für die Patientin problemlos möglich. Bereits nach einer Woche fühlte sie sich erheblich wohler. Zwar sei der Husten- und Räusperreiz noch präsent, aber sowohl der saure Geschmack, die Stromschläge, als auch die Schleimbildung im Rachenbereich seien verschwunden.
Langfristige Lösung
Vor weiteren Behandlungsmaßnahmen sollen die Ergebnisse des Epikutan-Tests abgewartet werden. Falls der Epikutan-Test keine Reaktion auf Methacrylate herausstellen sollte, ist es vorgesehen, die Prothese probeweise mit einer MMA-haltigen Glasur- und Farbmasse zu beschichten, um die klinische Verträglichkeit zu validieren. Langfristig sind zunächst Innenteleskope aus Zirkoniumdioxid mit einer Sekundärkonstruktion aus einem Polyaryletherketon (PAEK) geplant, welches mit Komposit verblendet werden kann. Hierdurch wäre eine Reduktion der intraoralen Metalle auf die hochgoldhaltige Legierung im Unterkiefer möglich. Ein Beispiel für eine derartige Konstruktion ist in Abbildung 8 dargestellt. Bei dieser Restauration wurden die Außenteleskope aus einem PAEK (hier PEEK) mit POM überpresst. Im kaulasttragenden Bereich wurden dabei konfektionierte, PMMA-basierte Prothesenzähne eingearbeitet und die Oberfläche mit MMA-haltigem Primer versiegelt und koloriert. Ein Vorteil dieser Konstruktion ist die geringfügige Deformierbarkeit, welche die Eingliederung bei eingeschränkter Kieferöffnung erleichtert.
Fazit
Polyoxymethylen, im klinischen Alltag auch als Polyacetal bezeichnet, erweitert das Spektrum der zahnfarbähnlichen, metallfreien Materialien für abnehmbaren Zahnersatz. Durch seine hohe Bruchfestigkeit gegenüber MMA-basierten Kunststoffen und Polycarbonat ist es im zahnärztlichen Anwendungsspektrum auch für brückenähnliche Konstruktionen trotz geringer Schichtstärke nutzbar. Erhöhte Belastungen im okklusionstragenden Bereich sorgen jedoch für eine verstärkte Verschleißanfälligkeit, sodass es bei diesen Patientenfällen nur als temporäres Material geeignet scheint. Bei zahnärztlichen Rekonstruktionen mit längerfristigem Einsatz sollten im kaulasttragenden Bereich kaustabilere Werkstoffe zum Einsatz kommen.
Weitere Autoren: Wolfgang Bidmon, Leonie Schmohl und Priv.-Doz. Dr. med. dent. Angelika Rauch, M.Sc.
Dieser Beitrag ist in der ZWL Zahntechnik Wirtschaft Labor erschienen.
Pola For Aligners
TRIOS 6
CYTECpro + CONTECpro
BeautiLink SA
mμILLUSION Color Malfarben und -pasten
breCAM.multiCOM+
PALA Mill&Cast
Luxatemp MaxProtect
breCAM.base
Leaf Expander® Hybrid