Produkte
Produkt*

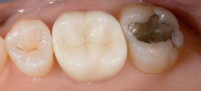
BruxZir-Versorgungen

Kronen und Brücken ohne „Chipping“-Risiko!

Geeignet sind vollanatomisch gefräste zahnfarbene BruxZir®-Versorgungen für Patienten mit freiliegenden langen Zahnhälsen bzw. eingeschränkten vorhandenen Platzverhältnissen analog zu Vollgusskronen. Bei okklusal vorhandenem Platz von mindestens 0,5mm ermöglichen BruxZir®-Restaurationen auch eine mini -
mal invasive Präparation. Besondere Präparationsanforderungen an den Zahnarzt bestehen nicht. Hergestellt
aus nur einem Werkstoff – einer monolithischen, vollkeramischen Restauration aus transluzentem, biokompatiblen Zirkonoxid – ohne keramische Verblendung – entstehen optimale, ästhetische und qualitativ hochwertige Kronen und Brücken mit einer sehr hohen Festigkeit und einer extrem glatten Oberfläche. Somit ist das Risiko von Abplatzungen („Chipping“) ausgeschlossen – ideal gerade für Knirscher und Bruxer im Seitenzahnbereich. Nach dem Design und der Fertigung mittels CAD/CAM-Technologie werden BruxZir®Kronen und Brücken gesintert. Es erfolgt einzig noch eine Glasur und Charakterisierung zur Fertigstellung der Versorgungen. Die glasierte solide Oberfläche garantiert die Plaquevermeidung und ein mit dem natürlichen Zahn vergleichbares Abrasionsverhalten.

*Die Beiträge in dieser Rubrik stammen von den Anbietern und spiegeln nicht die Meinung der Redaktion wider.

mehr Produkte von Duo-Dental Zahntechnik GmbH

ePaper