defaultContestImage

Leider kein Gewinn!

Suchen Sie weiter, die nächste Flasche könnte ein Gewinner sein.

rivetContestImage
Branchenmeldungen 07.12.2020

Keramiksymposium 2020: Behandlungserfolg nach Plan



Keramiksymposium 2020: Behandlungserfolg nach Plan

Die AG Keramik veranstaltete ihre 20. Jahrestagung am 14. November 2020 per Live-Übertragung aus der Digital Dental Academy in Berlin.

Die von den Referenten diskutierte und moderierte Patientenbehandlung als Kern der Veranstaltung vermittelte verschiedenste Behandlungsoptionen und Entscheidungswege für das keramische Konzept und seine Alternativen. Die Gewinner des Videopreises 2020 wurden per  Zuschaltung  ausgezeichnet.

Fundierte Entscheidungskaskade

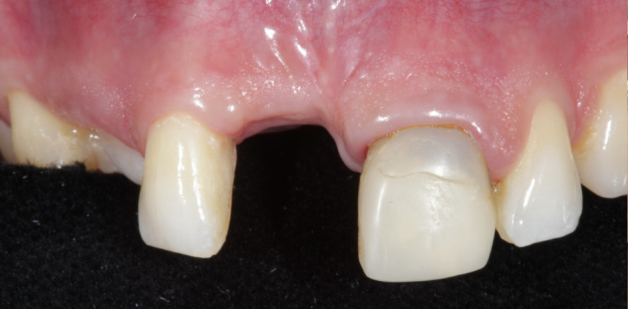
AGK-Vorsitzender Dr. Bernd Reiss freute sich in seiner Begrüßungsrede über ein interessiertes Auditorium mit „sehr keramikambitionierten“ Teilnehmern an den Bildschirmen. Vom Podium der DDA aus referierten Professor Dr. Florian Beuer, ZTM Andreas Kunz, Zahnarzt Peter Neumann sowie Dr. Reiss. Getreu dem Ziel der AG Keramik, „die therapeutischen und technischen Möglichkeiten von Dentalkeramiken objektiv zu eruieren“, bildete eine sequenzweise eingespielte Patientenbehandlung das reale Fallbeispiel, anhand dessen eine Kaskade an Entscheidungsschritten hin zu einer fundierten Therapielösung erläutert und diskutiert wurde. Dazu passend wurden je nach Thema auch die drei Arbeiten der diesjährigen AGK-Videopreisträger eingespielt. Professor Beuer hatte die Frontzahnversorgung mit vollkeramischer Restauration auf einem Implantat und einem avitalen natürlichen Zahn am Tag zuvor durchgeführt und aufgezeichnet.

Videopreis der AG Keramik

Die prämierten Filme mit „Tipps & Tricks rund um die vollkeramische Restauration“ wurden zum Abschluss des Keramiksymposiums der Fachwelt präsentiert. Die drei Gewinnerteams konnten per Zuschaltung in die Online-Konferenz die Gratulationen der AG Keramik von Dr. Bernd Reiss entgegennehmen. Dotiert ist der Videopreis der AG Keramik mit insgesamt 5.000 Euro. Der erste Preis wurde an ZT Reinhard Busch, Universität Kiel, für seinen Filmbeitrag „Die Brücke mit dem Dreh“ vergeben. Besonders überzeugt war die Jury von der Methode, mit der man trotz unterschiedlicher Einschubrichtung eine perfekt passende Brücke herstellen kann, ohne nachzupräparieren. Die Lösung ist hier die Konstruktion einer Brücke, die sich beim Einsetzen um eine Zylinderbahn „drehend“ einschieben lässt. Der zweite Preis ging an Dr. Frank Spitznagel, Universität Düsseldorf, für den Beitrag „Restore the non Restorable“. Den dritten Preis erhielt Dr. Lisa Türp, Universität Kiel. Beide Filme zeigen ganz unterschiedliche Methoden der Extrusion tief frakturierter Frontzähne mit Ziel eines Ferrule-Designs und anschließender Kronenversorgung.

AG Keramik: Das können wir für die Praxis tun

Dr. Bernd Reiss brachte am Ende der Veranstaltung auf den Punkt, was sowohl Ziel des Keramiksymposiums als auch Anreiz für die Arbeit der AG Keramik darstellt: „Bei jeder Behandlung gibt es so viele Entscheidungen zu treffen. Daher fragen wir bei der AG Keramik, was in der Praxis passiert und was wir für die Praktizierenden tun können. Mit unserer jährlich durchgeführten Praxisbefragung sowie unserer Qualitätsstudie Ceramic Success Analysis (CSA) gewinnen wir Einblicke in die verwendeten Materialien und angewendeten Verfahren und können das auch an die Zahnärzte zurückspiegeln. Außerdem sind wir an der S3-Leitlinie beteiligt und Herausgeber des Keramikhandbuchs, ein Standardwerk der Restaurativen Zahnheilkunde, das 2021 in 7. Auflage komplett aktualisiert erscheinen wird.“

Mehr Informationen zur Arbeit der AG Keramik sowie die prämierten Filme des Videopreises 2020 finden Sie unter www.ag-keramik.de

Quelle: Arbeitsgemeinschaft für Keramik in der Zahnheilkunde e.V. 

Produkte
Mehr News aus Branchenmeldungen

ePaper