defaultContestImage

Leider kein Gewinn!

Suchen Sie weiter, die nächste Flasche könnte ein Gewinner sein.

rivetContestImage
Branchenmeldungen 08.10.2024

3M Filtek Easy Match: neues Universalkomposit im Praxistest



3M Filtek Easy Match: neues Universalkomposit im Praxistest

Foto: Solventum

Dieser Beitrag ist unter dem Originaltitel: „Neues Universalkomposit im Praxistest“ in der ZWP Zahnarzt Wirtschaft Praxis erschienen.

Verschiedene Farbskalen, digitale Messgeräte, komplexe Analysesoftware: ­Das breite Angebot an Hilfsmitteln zur Zahnfarbbestimmung zeigt nicht nur, welch hohen Stellenwert dieser Arbeitsschritt in der ästhetischen Zahnheilkunde einnimmt. Es ist auch ein Hinweis darauf, dass die Wahl des farblich am besten zur klinischen Situation passenden Restaurationsmaterials Anwender aus Praxis und Labor vor gewisse Herausforderungen stellt – denn ein einziges, absolut exaktes und einfach anwendbares Tool hierfür scheint bislang noch nicht gefunden.

Es ist demzufolge nur konsequent, ­dass zahlreiche Hersteller von Komposit-Füllungsmaterialien die Entwicklung von Werkstoffen vorantreiben, die sich optisch an ihr Umfeld anpassen, sodass mit weniger Farben und Opazitäten ein ästhetisches Resultat erzielt werden kann.

Neuprodukt: Drei Farben, eine Opazität

Das wohl neueste Material dieser Art – ­erhältlich seit September 2024 – ist 3M™ Filtek™ Easy Match Universal Komposit (Abb. 1). Das innovative, für die Einfarb-­Schichttechnik entwickelte Produkt ist in drei Farbtönen verfügbar: Bright, Natural und Warm. Die im Produkt enthaltene, bewährte Nanofüller-Technologie von 3M sorgt dafür, dass sich das Komposit optisch sehr gut an die Farbe der umliegenden Zahnhartsubstanz anpasst. Darüber hi­naus ist die Technologie für die adaptive Opazität des Materials verantwortlich. Es ist dem Hersteller zufolge dann ähnlich transluzent wie Schmelz, sofern es dünn appliziert wird (Schichtstärke circa 0,5 bis 1,0 mm). Bei Materialstärken von mehr als 2,0 mm erscheint es hingegen so opak wie Dentin. Damit wurde das Ziel verfolgt, situationsunabhängig ästhetische Ergebnisse zu ermöglichen und dabei auf die Anwendung eines Blockers verzichten zu können.

Das Material im Praxistest

Als unserer Praxis die Gelegenheit geboten wurde, 3M Filtek Easy Match Universal Komposit noch vor Markteinführung zu testen, waren es diese Produkteigenschaften sowie die guten Erfahrungen mit bewährten Komposit-Füllungsmaterialien der 3M Filtek-Produktfamilie, die uns die Entscheidung für einen An­wendungstest leicht machten. Um ein Gefühl für das Handling und das optische Verhalten zu entwickeln, wurde entschieden, das Produkt im ersten Schritt ­außerhalb des Mundes (am Modell) zu verarbeiten. Es folgte der klinische Einsatz im Seitenzahnbereich so­wie schließlich auch im Frontzahnbereich. Das Neuprodukt überzeugte dabei in vielerlei Hin­sicht. Es lässt sich ähnlich gut verarbeiten wie 3M ­Filtek Supreme XTE Universal Komposit, klebt nicht am Instrument und weist eine hohe Adaptationsfähigkeit auf. Zudem ist es in der Modellationsphase angenehm standfest sowie für die Erwärmung freigegeben. Nach der Aushärtung ist es einfach auszuarbeiten und innerhalb kürzester Zeit auf Hochglanz polierbar.

Für alle bevorzugten Techniken geeignet

Damit ermöglicht uns das Material, alle bevorzugten Verarbeitungstechniken effizient einzusetzen: Im Seitenzahnbereich kommt es in unserer Praxis in kleinen Kavitäten allein sowie in größeren Kavitäten als Deckschicht über 3M Filtek Bulk Fill Flowable Komposit zum Einsatz, in letztgenannter Indikation häufig erwärmt und in der Schneepflug-Technik (Snowplough Technique) angewendet. Für zervikale Läsionen (Klasse V) sowie im Frontzahnbereich setzen wir das Material in Einfarbtechnik ein. Verwendet werden die gewohnten Instrumente für die Applikation, Modellation, Ausarbeitung und Politur – selbstverständlich unter Einhaltung der Angaben in der Gebrauchsanweisung.


„Wir planen, 3M Filtek Easy Match Universal Komposit in Zukunft als primäres Füllungsmaterial einzusetzen, das ästhetische Komposite mit einem breiten Farbspektrum ablöst.“



Einfache Farbauswahl

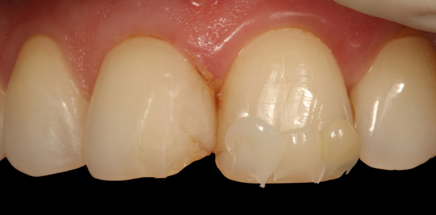
Die Auswahl des geeigneten Farbtons erfolgt mittels Komposit-Button-Technik (Abb. 2). Dafür wird eine geringe Menge an Komposit jedes Farbtons auf die unbehandelte, normal hydrierte Oberfläche des Nachbarzahns appliziert und lichtgehärtet. Eine Vorauswahl mittels Farbskala ist aufgrund der geringen Anzahl an Farboptionen nicht erforderlich. Stattdessen wird rein intuitiv der mit der natürlichen Zahnfarbe am genauesten übereinstimmende Farbton gewählt und angewendet.

Erfahrungsgemäß lassen sich mit Natural und Warm ca. 80 Prozent der Patienten im Frontzahnbereich zufriedenstellend versorgen. Das Material passt sich optisch sehr gut an die Zahnhartsubstanz an, wie im vorliegenden Fall, bei dem eine Patientin mit Frontzahntrauma zu versorgen war (Abb. 3 und 4). Lediglich bei Kindern und Patienten mit dem expliziten Wunsch nach besonders hellen Zähnen wird der Farbton Bright verwendet. Im Seiten­zahnbereich verhält es sich ähnlich, hier ist 3M Filtek Easy Match Universal Komposit in der Farbe Warm in den meisten Fällen das ­Material der Wahl. Die Anwendung eines Blockers war bislang in keinem Fall erforderlich.

Wirtschaftlichkeit als wichtiges Argument

Nach eigener Einschätzung ist es nicht nur ­die vereinfachte Farbauswahl, die für den Einsatz eines modernen Universalkomposits wie 3M Filtek Easy Match Universal Komposit spricht, sondern auch der reduzierte Lager­bestand. Anstelle eines breiten Farbsortiments mit Dentin-, Schmelz- und Bodyfarben in mehrfacher Ausführung reicht es aus, ein Material in drei Farbtönen vorrätig zu halten. Durch die Konzentration auf wenige Komponenten, die häufig verwendet werden, wird das Lager übersichtlicher, das Bestellmanagement einfacher und es ist viel seltener Material zu entsorgen, dessen Verfallsdatum überschritten ist. Das erhöht die Wirtschaftlichkeit und ist unter dem Aspekt der Nachhaltigkeit ebenfalls erstrebenswert.

Fazit

Der Praxistest hat gezeigt, dass mit nur wenigen Kapseln des Materials ästhetisch schöne Ergebnisse erzielt werden können. Dementsprechend planen wir, 3M Filtek Easy Match Universal Komposit in Zukunft als primäres Füllungsmaterial einzusetzen, das ästhetische Komposite mit einem breiten Farbspektrum ablöst. Lediglich ein fließfähiges Bulk-Fill-Komposit wird unser Portfolio weiterhin ergänzen.

Weitere Infos zum Produkt auf: www.solventum.com/de

Mehr News aus Branchenmeldungen

ePaper