Zwei kürzlich veröffentlichte Studien der schwedischen Universität Umeå liefern erneut Ergebnisse, die bereits aufgestellte Theorien bestätigen, dass eine Infektion mit dem Herpes simplex Virus Typ 1 eine spätere Erkrankung an Alzheimer begünstigen kann.
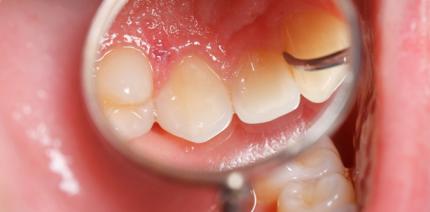
Durch eine neue Methode zur Entfernung von Karies, die Fluoreszenzunterstützte Kariesexkavation (Fluorescence Aided Caries Excavation, FACE),...
Durch eine neue Methode zur Entfernung von Karies, die Fluoreszenzunterstützte Kariesexkavation...
Einen Fortschritt bei der Erforschung der Wirkungsmechanismen von Krebszellen haben kürzlich Forscher aus Texas/USA gemacht. Sie untersuchten...
Einen Fortschritt bei der Erforschung der Wirkungsmechanismen von Krebszellen haben kürzlich...
Gibt es einen Zusammenhang zwischen der Haarstruktur und dem Zahnschmelz? Glaubt man amerikanischen Wissenschaftlern, so existiert eine Verbindung....
Gibt es einen Zusammenhang zwischen der Haarstruktur und dem Zahnschmelz? Glaubt man amerikanischen...
Dass der Speichel wichtig für die Mundflora ist und unsere Zähne schützen kann, ist nicht neu. Aber wie genau er vor Karies schützt, haben...
Dass der Speichel wichtig für die Mundflora ist und unsere Zähne schützen kann, ist nicht...
Um Patienten, die unter Krebserkrankungen am Gesicht leiden, zu helfen, greifen Mediziner auf Gesichtsprothesen zurück. Die Anpassung solcher...
Um Patienten, die unter Krebserkrankungen am Gesicht leiden, zu helfen, greifen Mediziner auf...
Forschende des Instituts für Mikrobiologie der ETH Zürich haben in einem Pilz, der auf Pferdedung wächst, ein neues Protein entdeckt, das...
Forschende des Instituts für Mikrobiologie der ETH Zürich haben in einem Pilz, der auf Pferdedung...
Von der digitalen Abdrucknahme bis hin zum Zahnersatz aus dem 3-D-Drucker sind den individuellen Wünschen von Behandler und Patient kaum Grenzen...
Von der digitalen Abdrucknahme bis hin zum Zahnersatz aus dem 3-D-Drucker sind den individuellen...
Physiker der Universität Regensburg haben ein neuartiges Mikroskop entwickelt, das Zeitlupenfilme von winzigen Nanostrukturen mit bahnbrechender...
Physiker der Universität Regensburg haben ein neuartiges Mikroskop entwickelt, das Zeitlupenfilme...
Die Beschaffenheit der Zunge kann viel über Erkrankungen und Symptome eines Patienten aussagen. Eine erste Studie untersuchte nun, ob es einen...
Die Beschaffenheit der Zunge kann viel über Erkrankungen und Symptome eines Patienten aussagen....
Eine Neuentwicklung von Wissenschaftlern des Massachusetts Institute for Technology (MIT) könnte manchen Menschen helfen, Medikationen in Form...
Eine Neuentwicklung von Wissenschaftlern des Massachusetts Institute for Technology (MIT) könnte...
Die FDI World Dental Federation präsentierte anlässlich ihres Weltkongresses Anfang September in Neu Delhi/Indien ihr neues Datenbankprojekt...
Die FDI World Dental Federation präsentierte anlässlich ihres Weltkongresses Anfang September...
Streptococcus mutans gilt als wichtigster Verursacher von Karies, ist jedoch nicht alleine für die Entstehung von Löchern in den Zähnen verantwortlich....
Streptococcus mutans gilt als wichtigster Verursacher von Karies, ist jedoch nicht alleine...
Die MedUni Wien stellt die erste Studienabteilung, die erste Universitätsbibliothek sowie das erste Koordinationszentrum für Klinische Studien...
Die MedUni Wien stellt die erste Studienabteilung, die erste Universitätsbibliothek sowie...
Am Universitätscampus im „Alten AKH“ wird für die Krebsforschung gelaufen. Am 4. Oktober 2014 zwischen 10 und 14 Uhr findet zum achten...
Am Universitätscampus im „Alten AKH“ wird für die Krebsforschung gelaufen. Am 4. Oktober...
Da Sie der Verwendung von Google Maps nicht zustimmten, kann leider keine Karte angezeigt werden.
Haben Sie schon unseren Newsletter abonniert?
Um bei unserer Anwendung Formulare zu verwenden, benötigen wir die Zustimmung um einen Token für das Absenden zu setzen.
Datenschutz und Nutzungserlebnis
Wir übermitteln Daten an Drittanbieter, die uns helfen, unser Webangebot zu verbessern und zu finanzieren. In diesem Zusammenhang werden auch Nutzungsprofile gebildet und angereichert, auch außerhalb des Europäischen Wirtschaftsraumes. Hierfür und um bestimmte Dienste zu nachfolgend aufgeführten Zwecken verwenden zu dürfen, benötigen wir Ihre Einwilligung.
Indem Sie "Alle Cookies akzeptieren" klicken, stimmen Sie diesen (jederzeit widerruflich) zu.
Unter "Manuell auswählen" können Sie die Datenverarbeitung individuell personalisieren.
Unter "Nur notwendige akzeptieren" können Sie die Datenverarbeitung ablehnen.
Indem Sie "Speichern" klicken, stimmen Sie diesen (jederzeit widerruflich) zu.
Um Kartendaten in unserer Anwendung darzustellen, nutzen wir den Kartendienst Google Maps. Willigen Sie der Nutzung von Google Maps ein, werden ggf. personenbezogene Daten (Ihre IP-Adresse) von Google erhoben.
Einbinden von Google Maps erlauben
Einige unserer Videoinhalte (bspw. Livestream) werden über die Videoplattform Vimeo bereitgestellt.
Inhalte von Vimeo erlauben
Einige Beiträge binden Inhalte von Instagram ein. Wenn Sie zustimmen, wird eine Verbindung zu Meta/Instagram aufgebaut und es können personenbezogene Daten wie Ihre IP-Adresse übertragen werden.
Inhalte von Instagram erlauben
Für ein besseres Benutzererlebnis können unsere Werbeanzeigen personalisiert werden. Um dies zu ermöglichen, wird das erstellen von Cookies vorausgesetzt. Sollten Sie diesem Dienst nicht zustimmen, werden Werbeanzeigen zufällig ausgeliefert.
Personalisierte Werbung erlauben
Um sich bei unserer Anwendung Formulare zu verwenden werden Tokens gesetzt die es uns ermöglichen Spam zu verhindern. Sollten Sie dies ausstellen, ist es Ihnen nicht mehr möglich sich bei uns anzumelden oder zu registrieren.
Anmeldeformulare absenden ermöglichen
Bei der Gestaltung unserer Anwendung benutzen wir Schriftarten von Adobe, diese werden über ein CDN geladen. Sollte Sie diesem Dienst nicht zustimmen wird die Standard Schrift des Systems benutzt. Außerdem könnte es zu Fehlern im allgemeinen Anwendungsdesign kommen.
Inhalte von Adobe erlauben
Sie können Ihre Auswahl jederzeit unter "Cookie-Einstellungen“ am Seitenende ändern.