defaultContestImage

Leider kein Gewinn!

Suchen Sie weiter, die nächste Flasche könnte ein Gewinner sein.

rivetContestImage
Wissenschaft und Forschung 12.03.2018

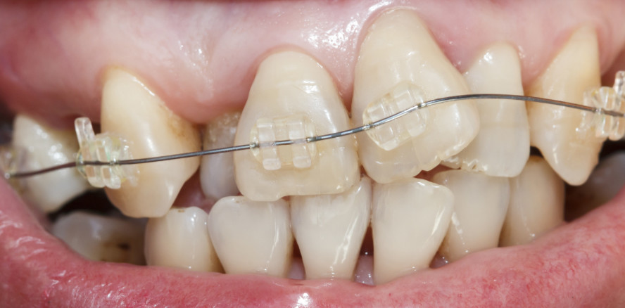
Nanopartikel für erfolgreichere kieferorthopädische Behandlung



Nanopartikel für erfolgreichere kieferorthopädische Behandlung

Foto: toa555 – stock.adobe.com

Kieferorthopädische Behandlungen, vor allem schwerer Zahnfehlstellungen, können mitunter sehr langwierig sein. Laut einer israelischen Studie lässt sich mithilfe von Nanopartikeln dieser Prozess beschleunigen.

In Deutschland benötigt rund jedes zweite Kind eine kieferorthopädische Behandlung, und auch Erwachsene lassen sich immer häufiger Fehlstellungen ihrer Zähne korrigieren. Unter Umständen würden sich noch mehr dazu entschließen, wenn die Behandlung nicht so langwierig und schmerzhaft wäre. So sind schwere Zahnfehlstellungen zum Teil mit invasiven Eingriffen verbunden. Dabei werden Kollagenfasern, welche Zähne und Knochen miteinander verbinden, getrennt, um die Umbauprozesse des Gewebes in Gang zu bringen.

Forschende des Technions, der Technischen Universität Israels, haben einen Weg gefunden, dieses klassische Vorgehen abzulösen. Ihre Lösung lautet: Nanopartikel. Zunächst stellten die Wissenschaftler selbst Nanopartikel her, die aus dem Enzym Kollagenase bestanden. Dieses Enzym hat Einfluss auf die Stabilität der Kollagenfasern. Indem die Forscher die Stärke der Kollagenfasern mithilfe der Enzyme kurzfristig halbierten, konnten sie die Umbauprozesse im Gewebe beschleunigen. Sie fanden heraus, dass das Gewebe nur wenige Stunden nach Verabreichung des Enzyms eine Neugestaltung vornimmt und die Kollagenstärke eigenständig wiederherstellt. Um zusätzlich ein kontrolliertes Brechen der Fasern nur an den gewünschten Regionen sicherzustellen, schlossen sie das Enzym in eine Liposomhülle, einer schützenden Zellmembran, ein.

Sie testeten die neue Methode an Ratten und verglichen ihre Ergebnisse mit denen einer Kontrollgruppe, die sie nach klassischer Praxis mit invasivem Eingriff behandelten. Die Ratten, denen Nanopartikel zugeführt wurden, wiesen nach der kieferorthopädischen Behandlung signifikant bessere Ergebnisse der Zahnstellungen und eine geringe Rezidivquote auf. Da sich der gesamte Gesundheitszustand dieser Ratten auch schneller wieder regenerierte, gehen die Forscher davon aus, dass die nanogestützte Behandlung auch weniger schmerzintensiv ist.

Die Studie wurde im ASC Nano veröffentlicht.

Mehr News aus Wissenschaft und Forschung

ePaper