Patienten 20.04.2026

Drogenkonsum bei ­Jugendlichen – Risiko für die Allgemein- und Mundgesundheit



Jugendliche wollen schnell erwachsen werden und sind von Natur aus sehr neugierig. Deshalb ­pro­bieren sie vieles aus – von Alkohol über legale bis hin zu illegalen Drogen. Diese Gewohnheiten ver­ursa­chen langfristige Schäden. Prävention sowie frühzeitige Aufklärung können helfen, junge ­Menschen auf dem Weg in ein gesundes Leben zu begleiten.

Drogenkonsum bei ­Jugendlichen – Risiko für die Allgemein- und Mundgesundheit

Foto: Agata Kowalczyk – stock.adobe.com

Tab. 1: Vergleich Zigarette – Wasserpfeife.
© OEMUS MEDIA AG (Quelle: Heidrun Moser)

Alkohol

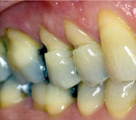
Abb. 1a: Keilförmiger Defekt
© Heidrun Moser

Die neuesten Studiendaten der Bundeszentrale für gesundheitliche Aufklärung (BZgA) Ende 2024 zeigen, dass 6,9 Prozent der weiblichen und 12,4 Prozent der männlichen Jugendlichen im Alter von 12 bis 17 Jahren mindestens einmal wöchentlich Alkohol konsumieren.1 Im Vergleich zu vorigen Studien ist diese Zahl zwar deutlich gesunken, doch hat das sogenannte Rauschtrinken nach den Corona-Beschränkungen in dieser Altersgruppe wieder deutlich zugenommen, was entsprechende Gesundheitsrisiken mit sich führt. Hochprozentiger Alkohol schädigt das Gedächtnis. Über die Schleimhäute gelangt er ins Blut und somit ins Gehirn. Jeder Rausch führt zu einer Fehlkommunikation zwischen den Nervenzellen, Denkprozesse verlangsamen sich und es entstehen Kommunikationsprobleme. Zudem wird die Entwicklungsphase des Gehirns gestört. Eine US-Studie von Susan Tapert belegt, dass Jugendliche zwischen 16 und 19 Jahren in bestimmten Gehirnbereichen beeinträchtigt sind, wenn sie häufig Alkohol konsumieren.2 Da Alkohol ein Vitaminräuber ist und eine gesunde Ernährung oft vernachlässigt wird, treten häufig Mangelerscheinungen auf. Zudem können Störungen im Magen-Darm-Bereich die Aufnahme wichtiger Nährstoffe verhindern. Langfristiger regelmäßiger Alkoholkonsum kann Herzmuskelerkrankungen, Bluthochdruck, Krebs, Entzündungen an Organen, Übergewicht und Impotenz verursachen. Der Zucker- und Säuregehalt alkoholischer Getränke sowie vernachlässigte Mundhygiene schädigen die Mundschleimhaut und führen zu irreversiblen Zahnschäden sowie einem erhöhten Risiko für Karies, Gingivitis und Parodontitis. Alkoholhaltige Cocktails enthalten viel Zucker und senken den pH-Wert in der Mundhöhle. Deshalb ist es während der Prophylaxe-Sitzungen wichtig, wertvolle Tipps zu geben und den Zahnschmelz durch eine gute Fluoridierung gegen ständige Säureangriffe zu stärken. Neben der Mundhygieneinstruktion darf auch die Ernährungsberatung nicht fehlen. Ein halbjährlicher Prophylaxe-Recall ist ebenfalls empfehlenswert.

Abb. 1b: Leukoplakie
© Heidrun Moser

Zigaretten und Shisha

Laut Bundesgesundheitsministerium zählt Rauchen zu den größten vermeidbaren Gesundheitsrisiken. Jährlich sterben in Deutschland 127.000 Menschen an den Folgen des Zigarettenkonsums. Eine aktuelle Befragung der DEBRA 2025 zeigt zwar einen Rückgang des Rauchens von Tabakprodukten auf 9,5 Prozent bei 14- bis 17-Jährigen gegenüber dem Höchstwert von 2021. Allerdings wird 2025 ein sprunghafter Anstieg innerhalb eines Jahres von 1,5 auf 3,9 Prozent beim E-Zigarettenkonsum verzeichnet.³ Neben Zigaretten ist das Rauchen von Shishas bei Teenagern sehr beliebt. Tabak, der sowohl in Zigaretten als auch in Shishas verwendet wird, enthält ein starkes Nervengift. Der Tabakrauch enthält etwa 5.300 chemische Substanzen, von denen 250 als giftig und 90 als möglicherweise krebserzeugend eingestuft sind.4 Beim Shisha-Rauchen werden neben Tabak und Nikotin auch Melasse, Glycerin, künstliche Aromen und Schwermetalle inhaliert. Die Verdampfung erfolgt bei einer Hitze von etwa 400 °C. Durch die geringere Verbrennung werden pro Zug mehr Schadstoffe, Nikotin und Kohlenmonoxid freigesetzt als bei einer Zigarette. Durch das Abkühlen des Shisha-Rauchs wird tiefer inhaliert, wodurch eine größere Menge Rauch in die Lunge gelangt. Die Rauchdauer einer Shisha kann bis zu einer Stunde betragen, was einer Belastung von 100- bis 200-fach im Vergleich zu einer Zigarette entspricht. Ein Zug an der Wasserpfeife enthält die Rauchmenge von zehn Zigaretten. Auch die Mundhöhle leidet stark unter dem Rauchen. Der Tabak enthält Zucker und der pH-Wert des Speichels sinkt, was Hyposalivation fördert und somit Karies- und Erosionsrisiken erhöht. Zudem verschlechtern sich Durchblutung und Immunabwehr, das Parodontitisrisiko steigt, es treten Verfärbungen, Kalziumabbau in Knochen und Zähnen sowie Mundgeruch auf. Die krebserregenden Stoffe erhöhen zudem die Gefahr von Leukoplakien in der Mundhöhle.

Legal Highs und illegale Drogen

Jugendliche sollten umfassend über die gesundheitlichen Folgen aufgeklärt werden. Auf Schulhöfen werden sie häufig mit illegalen Drogen5 und sogenannten „Legal Highs“6 konfrontiert. Trotz verschiedener Präventionsmaßnahmen gelingt es nicht immer, Jugendliche von der Versuchung abzuhalten. Der jugendliche Körper kann Rauschmittel nur schwer oder gar nicht abbauen. Solange die Organe noch in der Reifung sind, entstehen leichter irreversible Schäden und die körperliche Entwicklung wird verzögert. Legal Highs, auch als neue psychoaktive Substanzen (NPS) bezeichnet, sind seit 2016 verboten, werden aber häufig über das Internet verkauft. Namen wie Badesalz, Kräuter- oder Räuchermischungen sowie bunte Verpackungen verschleiern die Risiken. Legal Highs imitieren die Wirkungen von Cannabis, Kokain, LSD und anderen Drogen, können durch chemische Veränderungen aber stärker oder anders wirken. Überdosierungen oder Vergiftungen mit schweren Symptomen bis hin zum Tod sind möglich.

Drogen wirken im Belohnungssystem des Gehirns, der Amygdala, wo Gefühle wie Freude, Glück, aber auch Trauer, Ärger oder Wut entstehen. Fällt die Wirkung ab, fühlen sich Konsumenten schlecht, und das Verlangen nach Wiederholung steigt. Dies führt schnell zur Sucht. Viele Drogen verdrängen Müdigkeit, was langfristig Herz-Kreislauf-Beschwerden begünstigt. Zudem verringern sie den Appetit und setzen das Schmerzempfinden herab, sodass Allgemein- oder Zahnkrankheiten oft unbemerkt bleiben. Dadurch steigt das Parodontitisrisiko, die Blutgerinnung und Immunabwehr werden beeinträchtigt, und Hyposalivation führt zu Zahnschäden. Im Gegensatz dazu verursacht Cannabis einen „Fressflash“ mit starkem Verlangen nach zucker- und salzhaltigen Lebensmitteln, da es das Geschmacksempfinden beeinflusst. Drogen wie Crystal Meth oder Kokain werden oft mit Vitamin C gestreckt. Da Kokain über die Schleimhäute von Mund und Nase konsumiert wird, entstehen vermehrt Leukoplakien sowie Rachen-, Kehlkopf-, Zungen- und Nasenkrebs. Die Mundhygiene wird stark vernachlässigt und das Ernährungsverhalten leidet. An den Zähnen treten vermehrt keilförmige und erosive Defekte auf und an der Gingiva entstehen Läsionen durch zu starkes „Schrubben“. In der Prophylaxe ist es schwierig, Drogenkonsum bei Jugendlichen rechtzeitig zu erkennen. Bei Erosionen, erhöhter Kariesaktivität und Verhaltensänderungen sollte jedoch auch an diese Möglichkeit gedacht werden. Eine umfassende Aufklärung über die Folgen ist hier besonders wichtig.

Fazit

Jugendliche sind vielen Risiken ausgesetzt, deren Auswirkungen ihnen oft nicht bewusst sind. Diese sogenannten „Lifestyle-Faktoren“ haben langfristig erhebliche negative Folgen für die Allgemein- und Mundgesundheit, die teilweise irreversibel sind. Bei Verdacht auf Drogenkonsum bei Minderjährigen ist ein Gespräch mit den Eltern sinnvoll. Neben der Aufklärung können wir während der Prophylaxe-Sitzungen nur dentale Schadensbegrenzung betreiben, etwa durch professionelle Zahnreinigung mit Fluoridierung und entsprechende Therapien in der Zahnarztpraxis. Da sich viele Auffälligkeiten oft erst im Erwachsenenalter zeigen, ist es wichtig, bei der Individualprophylaxe ein Vertrauensverhältnis zwischen uns und den jungen Patienten aufzubauen. Zeigen wir ihnen, wie sie Schäden im Zahn- und Mundbereich vermeiden können, und gelingt es uns, die Jugendlichen durch regelmäßige Recall-Termine an die Praxis zu binden, können wir sie auf dem Weg zu einem gesunden Erwachsenenleben begleiten.

Hybrid-Kurs mit Heidrun Moser

Wann? 29. April 2026, 14–18 Uhr
Wo? In Freiburg oder online
Thema? „Jugendliche und junge Erwach­sene – Risiko­fakto­ren, Ernährung und Prophylaxe“

Mehr Infos

Literatur

Prophylaxe Journal 01/26

Prophylaxe Journal


Dieser Beitrag ist in dem PJ Prophylaxe Journal erschienen.

Das Prophylaxe Journal richtet sich an präventionsorientierte und parodontologisch tätige Zahnärzte sowie deren Teams.

Als zielgruppenfokussiertes Fachmedium hat sich das Journal seit mehr als 20 Jahren bei 5.000 regelmäßigen Lesern etabliert und fördert vor dem Hintergrund der zunehmenden Präventionsorientierung der Zahnheilkunde u. a. die Entwicklung der entsprechenden Berufsbilder wie DH, ZMF oder ZMP.

 

Jetzt das ePaper lesen.

Mehr News aus Patienten

ePaper