Zahntechnik 16.03.2026

Doppelkronen-Konzept mit keramischen ­Primär- und Galvano-Sekundärteilen



Das Protokoll des Doppelkronen-Konzepts wurde bereits Mitte der 1990er-Jahre vorgestellt: Über eine Galvano-Mesostruktur und deren intraorale Verklebung mit dem Tertiärgerüst wird eine spannungsfreie, präzise Passung erreicht. Der Gesamtaufbau des Halteelementes besteht aus einer konischen Patrize aus Zirkonoxid (Primärteil) und einer in direkter galvanischer Abscheidung erstellten Galvanokappe (Sekundärteil). 

Doppelkronen-Konzept mit keramischen ­Primär- und Galvano-Sekundärteilen

Foto: Dr. med. dent. Ila Davarpanah

Die Herstellung des Tertiärgerüstes aus einem Nichtedelmetall (NEM) erfolgt durch das Selective Laser-Melting-Verfahren. Im folgenden Beitrag wird das Doppelkronen-Konzept anhand eines Pa­tientenfalles vorgestellt, bei dem in einem vollständig digitalen Workflow natürliche Pfeilerzähne mit Implantaten verbunden wurden.

Einleitung

Die prothetische Versorgung älterer Patient/ -innen mit geringer Restbezahnung oder Zahnlosigkeit wird künftig einen immer größeren Teil der Arbeiten im zahntechnischen Labor einnehmen. Dabei ist zu berücksichtigen, dass ein höheres Lebensalter nicht automatisch mit Zahnlosigkeit einhergeht. Viele ­ältere Patient/-innen, die sich subjektiv noch jung fühlen, wünschen sich einen Zahnersatz, der sowohl funktionell als auch ästhetisch hohen Ansprüchen gerecht wird. Bei der Wahl der Versorgung durch das Behandlungsteam müssen individuelle gerostomatologische Gegebenheiten wie der Atrophiegrad, die Pfeiler­anzahl sowie eine mögliche Multimorbidität berücksichtigt werden. Im Hinblick auf die Pflege der prothetischen Versorgung ist insbesondere auf die eingeschränkten motorischen Fähigkeiten älterer Patient/-innen Rücksicht zu nehmen.15

Ein modernes Halteelement sollte bestehende Restzähne berücksichtigen und, wenn möglich, mit Implantaten verbinden. Das galt bisher als neuralgischer Punkt bei abnehmbaren Versorgungen. Dieser Artikel beschäftigt sich mit dem Doppelkronen-Konzept, welches seit Jahrzehnten erfolgreich ist. Dessen Vorteile liegen in einer reduzierten Pfeilerzahl und einer problemlosen Erweiterbarkeit nach Pfeilerverlust. Herausnehmbare Konstruktionen vereinfachen aber auch hygienische Maßnahmen. Schließlich stellen Doppelkronen auch in der Implantatprothetik eine gut funktionierende Möglichkeit dar.15

Implantate und natürliche Pfeiler

Doppelkronen gelten als das einzige Halte­element in der prothetischen Zahnmedizin, bei dem natürliche Pfeilerzähne regelhaft mit Implantaten kombiniert werden können. Durch die Umfangsbeziehung von Primär- und Sekundärkrone werden okklusale Kräfte entlang der Längsachse des Pfeilers übertragen.11 Dadurch lassen sich funktionelle Belastungen der Prothesenbasis gleichmäßig verteilen1, was die Anzahl erforderlicher Implantate reduzieren kann.

Im Vergleich zu anderen Geschieben zeigen Doppelkronen höhere Überlebensraten3 und eignen sich insbesondere für stark reduzierte Restgebisse.16, 18 Die axiale Kraftübertragung stabilisiert die Versorgung gegenüber horizontalen und vertikalen Kräften.19 Darüber hinaus ist das Halteelement ästhetisch vorteilhaft, da keine sichtbaren Metallklammern vorhanden sind, und erleichtert die Mundhygiene.9 Wenn das gesamte Restgebiss einbezogen wird, kann das Gerüst ohne große Verbinder gestaltet werden.21 Diese Vorteile bieten den Patient/- innen mehr Komfort und korrelieren mit einer verbesserten mundgesundheitsbezogenen Lebensqualität.22 Außerdem kann bei einem Abutmentverlust die bestehende removable partial denture (RPD) durch Unterfütterung leicht an die neue Situation angepasst werden.17, 20 Reparaturen und Anpassungen können leicht vorgenommen werden, wenn einer der Pfeilerzähne gezogen werden muss.10 Daneben gibt es auch ein wichtiges psychologisches Argument für die Kombination „Zahn + Implantat“. So wünschen viele Patient/-innen, dass vorhandene Zähne in die neue Versorgung eingebunden werden, denn sie möchten ihre natürlichen letzten Zähne möglichst lange erhalten. Außerdem ist der natürliche (Pfeiler-)Zahn ein Tastorgan, solange dieser in eine prothetische Therapie eingebunden werden kann, bleibt das originäre Tastempfinden erhalten.15

Für eine Doppelkronen-Prothese werden als Mindestzahl von Implantaten bzw. Pfeilerzähnen für den Oberkiefer sechs und den Unterkiefer vier angegeben. Bei der Planung muss diese Art der Restauration gedanklich wie eine herausnehmbare Brücke behandelt werden, nicht wie eine Prothese. Das ist ein wesent­licher Aspekt für die statische Konzeption. Grund dafür ist, dass keine Kaukraft auf den basalen Schleimhautanteilen ankommt, sondern die Restauration nur auf den Halteelementen gelagert ist. Das Weichgewebe wird lediglich bedeckt und nicht belastet, was bei der Planung respektive der Statik unbedingt Beachtung finden muss.15

Haltekraft über Feingoldmatrizen (Weigl-Protokoll)

Das Weigl-Protokoll wurde Mitte der 1990er-Jahre vorgestellt.8 Über eine Galvano-Mesostruktur und deren intraorale Verklebung mit dem Tertiärgerüst wird eine spannungsfreie und hochpräzise Passung erzielt.6, 7 Während keramische Halteelemente in den ersten Jahren aus Materialien wie Presskeramik, Empress 2 oder Procera erarbeitet worden sind, hat sich heute Zirkonoxid aufgrund seiner hohen Festigkeit und Oberflächenstabilität als Standard etabliert. Nach den klinischen Erfahrungen sind alle anderen Materialien zu frakturanfällig; nur Zirkon­oxid gewährt eine dauerhaft gute Oberfläche.

Der Gesamtaufbau des Halteelementes besteht aus einer konischen Zirkonoxid-Patrize (Primärteil) und einer galvanisch hergestellten Sekundärkappe. Das Tertiärgerüst wird aus einem Nichtedelmetall (NEM) mittels Selective Laser-Melting (SLM) gefertigt, was eine hohe Passgenauigkeit und ein günstiges Kosten-Nutzen-Verhältnis ermöglicht. Werkstoffe wie Titan, Acetal oder Polyetheretherketon (PEEK) sind nicht für die Herstellung des Tertiärgerüstes geeignet, da sie eine hohe Eigenbeweglichkeit mitbringen.

Kasuistik

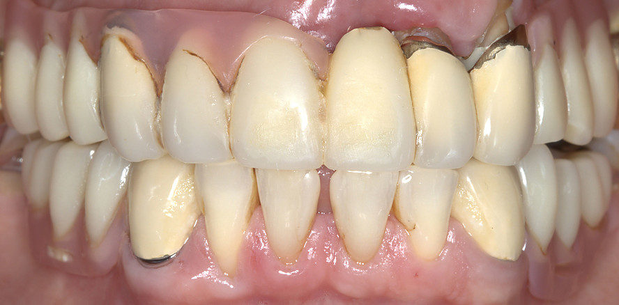
Ein 62-jähriger Patient stellte sich mit bestehendem Zahnersatz im Oberkiefer vor und äußerte den Wunsch nach einer implantatprothetischen Versorgung. Drei Restzähne im Oberkiefer waren erhaltungswürdig. Nach differenzialdiagnostischer Analyse wurde eine abnehmbare, teleskopierende Versorgung geplant. Die Zähne 17 und 27 wurden mit provisorischen Kronen aus Polymethylmethacrylat (PMMA) versorgt, spielten jedoch keine tragende Rolle in der Gesamtplanung.

Nach strategischer Pfeilervermehrung zur polygonalen Abstützung wurden vier Pfeiler für die geplante Prothesenspanne definiert. Die Versorgung begann mit vorbereitenden Maßnahmen wie einem digitalen Mock-up zur Bestimmung der horizontalen und vertikalen Kieferrelation (Abb. 1 + 2).

Planung und Implantatinsertion

Die virtuelle Implantatplanung erfolgte nach dem Backward Planning-Prinzip. Hierzu wurden ein DVT des Schädels als Dicom-Datensatz sowie ein intraoraler Scan (Medit i700, Medit) als STL-Datensatz erstellt und für eine dreidimensionale Planung in der Planungssoftware R2Gate (MegaGen Implant Co.) importiert (Abb. 3+4). Hierfür ist eine sorgfältige Abstimmung von Datenerfassung, Planung und Fertigung wichtig. Nach Überlagerung der Daten werden die idealen prothetischen und anatomischen Vorgaben bestimmt.

Die Implantation erfolgte navigiert mit einer Bohrschablone. Zur Optimierung der Ästhetik wurden im Frontzahnbereich bewusst keine Implantate gesetzt (Abb. 5). Nach Einheilung und Freilegung der Implantate begann die prothetische Phase (Abb. 6).

Präzision und Zeitersparnis durch einen vollständig ­digitalen Workflow

Die digitale Abformung mittels Intraoral- scanner bietet gegenüber konventionellen Abformungen eine höhere Präzision, eine deutliche Zeitersparnis sowie einen gesteigerten Patientenkomfort. Die dreidimensionalen Datensätze ermöglichen eine detaillierte Analyse und Planung.

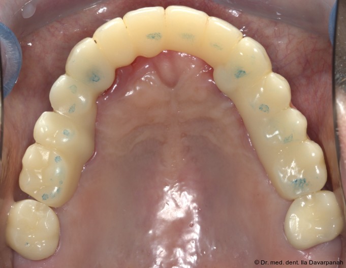
Um die primären Teleskope und Reiseprothesen herzustellen wird der Implantat-/Zahnabdruck (Abb. 7, 8, 9) von dem digitalen Abdruck der OK-Prothese in situ, in idealer Kieferrelation überlagert und als Vorlage für die Ästhetik und Okklusion verwendet. Es gilt zu beachten, dass hierfür die vertikale Dimension physiologisch eingestellt sein sollte oder dass es eine Option gibt, die vertikale Dimen­sion aus der vorherigen Situation wiederher­zustellen (Abb. 7–9). Nach der CAD/CAM- basierten Herstellung der Primärteleskope wurden die Zirkonoxid-Primärschalen auf den Abutments verklebt (Abb. 10–12).

Labor- und klinische ­Umsetzung

Auf Basis des digitalen Mock-ups wurden die Zirkonoxid-Primärkappen, galvanisch hergestellten Sekundärkappen sowie das NEM-Tertiärgerüst laborseitig gefertigt (Abb. 13+14). Die intraorale Verklebung der Sekundärkappen mit dem Tertiärgerüst erfolgte spannungsfrei im Mund (Abb. 15–17).

Eingliederung der Reise- und Definitivprothese

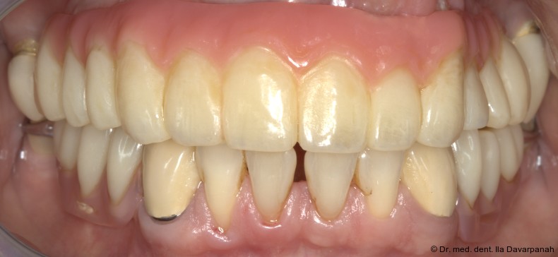
Nach Verkleben der sekundären Galvanokappen mit dem Tertiärgerüst verbleiben die Primärzirkonkappen im Mund. Um dem Patienten auf Basis dieser Pfeiler eine Interimsversorgung geben zu können, wird eine sogenannte Reiseprothese mit der Ästhetik und Funktion der finalen Versorgung hergestellt, welche auch als Referenz hierfür dient (Abb. 18+19).
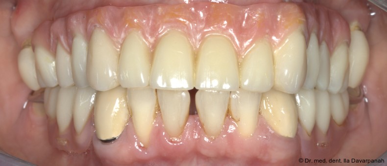
Die definitive Prothese konnte im dritten Behandlungstermin problemlos eingegliedert werden. Es waren lediglich minimale okklusale Anpassungen erforderlich (Abb. 20–24).

Fazit

Das Doppelkronen-Konzept mit keramischen Primär- und Galvano-Sekundärteilen stellt eine bewährte und langlebige Versorgungsoption dar. Die Kombination aus biomechanischer Stabilität, Ästhetik und Erweiterbarkeit ist insbesondere bei geriatrischen Patient/ -innen von Vorteil. Der vollständig digitale Workflow erhöht die Präzision, reduziert die Behandlungszeit und steigert den Patientenkomfort.

ZT Zahntechnik Zeitung 03/26

ZT Zahntechnik Zeitung


Dieser Fachbeitrag ist in der ZT Zahntechnik Zeitung erschienen.

Die ZT Zahntechnik Zeitung ist das einzige unabhängige Zeitungsformat für Zahntechniker mit den Schwerpunkten Berufspolitik und Laborführung. Die branchenerfahrene Redaktion der ZT Zahntechnik Zeitung dokumentiert und interpretiert in den Bereichen Politik, Wirtschaft, Technik und Service die Entwicklung des Dentalmarkts und gibt den Zahntechnikern wichtige Impulse für den Laboralltag, insbesondere für die strategische Positionierung im Wettbewerbsumfeld.

 

Jetzt das ePaper lesen.

Mehr Fachartikel aus Zahntechnik

ePaper