Implantologie 15.08.2013

Verankerung einer Totalprothese mit Mini-Implantaten

Mit wenig Aufwand und Kosten den Prothesenhalt nachhaltig verbessern, das ist mithilfe von Mini-Implantaten möglich. Diese lassen sich in einem wenig aufwendigen chirurgischen Verfahren selbst bei geringem horizontalen Knochenangebot inserieren. Befestigt wird die Prothese auf ihnen mit speziellen Gehäusen, die auch in bestehende Prothesenbasen eingearbeitet werden können.

Studien zufolge liegen die Vorteile der Anwendung von Mini-Implantaten mit einem Durchmesser von unter 3 mm und einteiligem Design, die beispielsweise von 3M ESPE als MDI Mini-Dental-Implantate offeriert werden, vor allem in einer durch verbesserten Prothe­senhalt gesteigerten Lebensqualität.1 Die erzielten Erfolgsraten sind mit denen von Implantaten mit Standarddurchmesser vergleichbar.2, 3 Nach eigenen Erfahrungen wird sogar der chirurgische Eingriff von den Patienten im Gegensatz zur Insertion konventioneller Implantate in der Regel nicht als unangenehm empfunden, sodass die gesamte Behandlung als positiv bewertet wird.

Trotz der vermeintlichen Einfachheit des Verfahrens ist jedoch eine exakte Diagnostik, Planung und Durchführung der Behandlung unter strikter Einhaltung des empfohlenen Insertionsprotokolls Voraussetzung für den langfristigen Behandlungserfolg. Um für alle Herausforderungen gerüstet zu sein, sollten MDI-Einsteiger in jedem Fall entsprechende Fortbildungskurse besuchen, die von 3M ESPE für Zahnärzte mit unterschiedlichen Vorkenntnissen angeboten werden. Einen Überblick, wie bei der Insertion und späteren Versorgung von Mini-Implantaten im unbezahnten Kiefer vorzugehen ist, bietet die folgende Falldokumentation.

Prothesenstabilisierung im Oberkiefer

Die Patientin, Jahrgang 1950, ist seit 2008 in unserer Praxis in Behandlung. In den vergangenen Jahren waren bereits eine kon­ser­vierende Behandlung inklusive endo­don­ti­scher Maßnahmen sowie eine un­terstüt­zen­de Parodontitistherapie erfolgt. Der Oberkiefer wurde mit einer Totalprothese versorgt, nachdem die verbleibenden Zähne (12, 13 und 16) nach und nach extrahiert worden waren (Abb. 1 und 2). Für den Unterkiefer wurde eine Interimsprothese mit gebogenen Halte­elementen angefertigt, da der Wunsch nach einer Versorgung mit festsitzendem Zahnersatz geäußert wurde.

Zur Verbesserung des Prothesenhalts im Oberkiefer wünschte sich die Patientin eine kostengünstige Lösung. Es wurde entschieden, zunächst MDI Mini-Dental-Implantate im Oberkiefer zu inserieren, um die Totalprothese zu verankern. Aufgrund der dadurch ermöglichten funktionellen Belastung des Kiefers kann in der Regel einem weiteren Knochenabbau entgegengewirkt werden. Außerdem war eine Reduktion des Gaumenanteils der Prothese erwünscht, die durch deren Verankerung meist möglich ist. Langfristig war auch eine Neuversorgung des Unterkiefers mit definitivem Zahnersatz geplant.

Präimplantologische Diagnostik

Zunächst wurde eine Röntgenschablone durch Doublieren der Totalprothese hergestellt, eingearbeitete Metallelemente dienten als Referenzmarker (Abb. 3). Die Röntgenaufnahme erfolgte bei eingesetzter Schablone. Anschließend wurde die Schleimhautdicke gemessen und das horizontale Knochenangebot mit einem Knochenmesszirkel bestimmt (Abb. 4). Anhand des auf dem OPG sichtbaren Knochenangebots und unter Berücksichtigung der klinisch ermit­telten Daten wurden das Implantatdesign sowie die Implantatlängen und -durchmesser festgelegt: Die Wahl fiel auf sechs MDI mit 2,4 mm Durchmesser und einer Länge von 15 mm. Aufgrund einer Gingivahöhe von mehr als 2 mm wurden Implantate mit Kragen (MOB-15) verwendet.

Nach der Planung der Implantatpositionen am Röntgenbild, bei der nicht nur die ana­to­mischen Verhältnisse zu beachten sind, sondern auch der Mindestabstand zwischen den Implantaten von circa 5 mm eingehalten werden muss, wurde die Röntgenschablone durch entsprechende Bohrungen in eine Bohrschablone umgearbeitet. Dies dient der exakten Übertragung der Planung in den Patientenmund.

Operatives Vorgehen

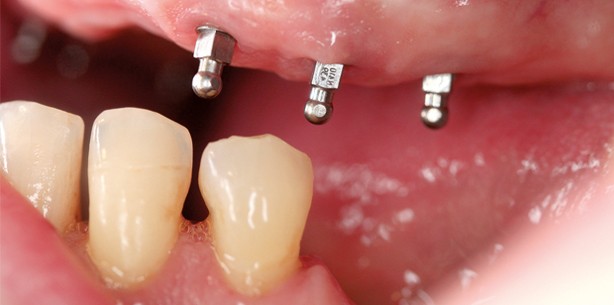
Der chirurgische Eingriff erfolgte transgin­gival unter Lokalanästhesie. Zur Ankörnung wurde ein Vorkörner verwendet, die erste Pilotbohrung wurde mit einem Bohrer mit 1,1 mm Durchmesser vorgenommen. Dabei handelt es sich um einen sterilen Bohrer, der für den Einsatz bei nur einem Patienten bestimmt ist. Die Bohrtiefe sollte lediglich ein Drittel bis die Hälfte der Implantatlänge betragen, um zu gewährleisten, dass die einteiligen Mini-Implantate mit selbstschneidendem Design primärstabil in den Knochen eingebracht werden können. Die Mini-Implantate wurden nacheinander mit einem Initialschraubendreher, einem Flügelschrauber und einer Drehmomentratsche, für die unterschiedliche Ratschenadapter erhältlich sind, inseriert. Die Abbildungen 5 bis 7 zeigen die inserierten Implantate.

Prothetische Versorgung

Die bestehende Prothese wurde in den Bereichen ausgeschliffen, in denen sie mit den Mini-Implantaten in Kontakt kam (Abb. 8). Die entstandenen Hohlräume wurden nachfolgend mit weichbleibendem Unterfütterungsmaterial (SECURE Soft Reline Material, 3M ESPE) gefüllt. Diese Vorgehensweise ermöglicht eine prothetische Sofortversorgung oh­ne zu starke Belastung der Mini-Dental-Implantate. Während die MDI im Unterkiefer bei einer erzielten Primärstabilität von 35 Ncm sofort mit den Metallgehäusen belastet werden können, empfiehlt der Hersteller für den Oberkiefer grundsätzlich immer, die Osseo­integration der Implantate abzuwarten. Nach 7, 14 und 28 Tagen erfolgten Kontrolluntersuchungen, bei denen gesunde Weichgewebeverhältnisse festgestellt wurden.

Im vorliegenden Fall wurde die Prothese nach einer Einheilzeit der MDI von zwölf Wochen für die Belastung der Mini-Implantate erneut umgearbeitet. Hierzu wurden Distanzstücke zurechtgeschnitten und auf die Kugelköpfe der Implantate gesetzt. Auf diesen wurden die Metallgehäuse (MH-1) platziert und der spannungsfreie Sitz über den Distanzstücken geprüft (Abb. 9 und 10). Zudem wurde die weiche Unterfütterung aus der Prothese entfernt, deren berührungsloser Sitz auf den Gehäusen überprüft und nach dem Auftragen einer dünnen Schicht Adhäsiv ein Kaltpolymerisat (SECURE Hard Pick-up Material) in die Aussparungen gefüllt.

Die Prothese wurde nachfolgend eingesetzt und die Patientin gebeten, mit normaler Kraft in zentrischer Okklusion zuzubeißen sowie die Position zu halten, bis das Material um die Metallgehäuse vollständig ausgehärtet war. Die für die Aushärtung benötigte Zeit beträgt in der Regel sieben bis neun Minuten. Die Prothese wurde daraufhin mitsamt den Gehäusen und Distanzstücken entnommen, ausgearbeitet und poliert (Abb. 11). Abbildung 12 zeigt die eingesetzte Prothese, die für die ersten 48 Stunden im Mund belassen werden sollte, um das Auftreten von Schwellungen zu vermeiden.

Ergebnis

Die Patientin ist sehr zufrieden mit dem verbesserten Halt ihrer Prothese und gibt an, wieder unbeschwert sprechen und essen zu können. Auch Probleme mit Druckstellen gehören der Vergangenheit an. Wie im vorliegenden Fall haben wir bisher mit der Insertion von Mini-Dental-Implantaten sehr positive Erfahrungen gemacht. Ein kostengünstiger, wenig invasiver chirurgischer Eingriff und die Möglichkeit der sofortigen Versorgung mit herausnehmbarem Zahnersatz – das sind die Faktoren, die häufig das Interesse der Patienten wecken. Positiv ist, dass der Eingriff für viele von ihnen tatsächlich auch realisierbar ist, da ein geringeres Knochenangebot erforderlich ist als bei Implantaten mit Standarddurchmesser und erheblich weniger Risiken mit der Behandlung verbunden sind. Nicht unterschätzt werden sollte das erforderliche Know-how des Zahnarztes. Das System sollte in erster Linie von geschulten Zahnärzten mit implantologischer Erfahrung verwendet werden.

Die verwendete Literatur finden Sie hier.

Autor: Dr. Petra Scheffler

Mehr Fachartikel aus Implantologie

ePaper