Endodontologie 07.09.2016

Zähne mit besonderen Wurzelkanalanatomien – Teil 1: Prämolaren



Zähne mit besonderen Wurzelkanalanatomien – Teil 1: Prämolaren

Foto: © Autor

Abweichungen von der Norm kommen im Bereich der Wurzelkanäle gar nicht einmal so selten vor. Das Erkennen dieser Abweichungen und deren Management bei Aufbereitung, Reinigung und Obturation sind essenziell für den Behandlungserfolg. 

So deutet beispielsweise ein im koronalen Wurzeldrittel des Zahnes röntgenologisch deutlich sichtbares Pulpenkavum, welches im weiteren Verlauf im mittleren und apikalen Bereich plötzlich nicht mehr nachzuverfolgen ist, auf eine Aufteilung in mehrere Kanäle mit eigenen Apizes hin. Im ersten Teil des Artikels werden Wurzelkanalanomalien bei Prämolaren vorgestellt, im zweiten Teil folgen besondere Anatomien bei Molaren.

Aus dem Studium sind den meisten Kollegen die klassischen, den allgemeinen Lehrbüchern der konservierenden Zahnheilkunde entsprechenden Konfigurationen der Wurzelkanäle für die jeweiligen Zähne bekannt. So fand der mb2-Kanal im Studium des Autors Anfang der 1990er-Jahre schlichtweg keine Erwähnung. Allerdings muss angemerkt werden, dass zu dieser Zeit in der Endodontologie in der Regel ohne optische Vergrößerungshilfen gearbeitet wurde. Daher müssen auch die Angaben zu Anzahl und Konfigurationen von Wurzelkanälen mit einer gewissen Vorsicht betrachtet werden, da die zugrunde liegenden Untersuchungen größtenteils bereits in den 1980er-Jahren durchgeführt wurden.

Patientenfall 1

Der 56-jährige männliche Patient stellte sich mit einer defekten Kompositfüllung an Zahn 45 vor. Eine vor Behandlungsbeginn durchgeführte Sensibilitätsprobe verlief negativ, auch das mit rotierenden Instrumenten begonnene Entfernen der Kompositrestauration führte zu keinerlei Anzeichen einer Vitalität. Dem Patienten wurden der Sachverhalt und die daraus resultierende Notwendigkeit einer Wurzelkanalbehandlung erläutert. Nach Zu­stimmung erfolgte die Leitungsanästhesie an Zahn 45 mit Septanest 1:100.000 (Septodont) und wurde anschließend mit Kofferdam (Hu Friedy) isoliert.

 

Danach erfolgten die komplette Entfernung der alten Füllung, die Kariesexkavation und die Darstellung des Pulpenkavums unter Sicht mit dem OPMI M320 (Leica). Der Wurzelkanal wurde mit einer C-Pilot-Feile in Größe ISO 10 (VDW) kathederisiert und nach einer endometrischen Längenbestimmung mittels Endometriemodul des VDW.GOLD (VDW) die Röntgenmessaufnahme (Abb. 1) angefertigt. Diese zeigte deutlich eine Arbeitslänge in Höhe des röntgenologischen Apex sowie einen weiteren separaten, vermutlich bukkal liegenden Wurzelkanal, Typ V nach Vertucci.1 Da das Zeitfenster für die Behandlung mittlerweile erschöpft war, wurde der bereits dargestellte Kanal mit einer RECIPROC®-Feile R25 (VDW) unter ständiger endometrischer Längenkontrolle aufbereitet, mit NaOCl 3% und Zitronensäure 17% bei passiver Ultraschallirrigation gereinigt, mit einer medikamentösen Einlage aus Ca(OH)2 (AH Temp, Dentsply Sirona) versorgt und mit dem Kompositmaterial Mirafit Core (Hager und Werken) verschlossen. Hülsmann und Barthel2 geben die Häufigkeit von zwei Kanälen im 2. unteren Prämolar mit 1–13% an. Die Weiterbehandlung erfolgte erst vier Wochen später.

Der Patient war beschwerdefrei geblieben. So wurde der Zahn anästhesiert, unter Kofferdam isoliert und der provisorische Verschluss entfernt. Unter OPMI wurde vorsichtig mittels zu Trepanbohrern gekürzten Gates-Glidden-Bohrern (VDW) der koronale Kanalanteil erweitert, sodass der zweite bukkale Kanal sicht- und mit einem Micro-Opener ISO 10.02 (Dentsply Sirona) tastbar wurde. Anschließend wurde das koronale Pulpenkavum mit Ultraschallansätzen (ACTEON) und dem Ultraschallgenerator VDW.ULTRA (VDW) so weit nach bukkal erweitert, dass sich eine C-Pilot-Feile in ISO 10 ohne Vorbiegung in den Kanal einführen ließ. Nach endometrischer Längenbestimmung erfolgte die Röntgenmessaufnahme beider Kanäle (Abb. 2). Die Aufnahme zeigt zudem eine apikale Osteolyse, die bei Behandlungsbeginn vor vier Wochen noch nicht sichtbar war. Der bukkale Kanal wurde ebenfalls mit einer RECIPROC®-Feile R25 aufbereitet. Beide Kanäle wurden mit dem bekannten Spülprotokoll desinfiziert, mit AH Temp als medikamentöse Einlage versorgt und der Zahn mit Komposit verschlossen.

Der Patient stellte sich nach erneuten vier Wochen beschwerdefrei zur Wurzelfüllung vor. Nach lokaler Anästhesie, Isolierung unter Kofferdam, Entfernung der provisorischen Füllung und Desinfektion mit dem bekannten Spülprotokoll wurden nach erneuter endometrischer Überprüfung der Arbeitslänge die Mastercones aus niedrigschmelzendem Guttapercha mit Taper 0.4 (VDW) eingebracht und röntgenologisch kontrolliert (Abb. 3). Die apikale Osteolyse zeigte sich gegenüber der Rötgenaufnahme vier Wochen zuvor unverändert. Die Wurzelfüllung wurde mit dem BeeFill 2in1 (VDW) in vertikaler Kompaktation durchgeführt (Abb. 4). Der linguale Kanal zeigt zudem einen weiteren, im Übergang zwischen mittlerem und apikalem Wurzelkanalabschnitt befindlichen late­ralen Kanalausgang. Es erfolgte der Verschluss des Zahnes mit Komposit. Ein drei Monate später angefertigter Zahnfilm (Abb. 5) zeigte eine deutliche Verkleinerung der apikalen Läsion.

Patientenfall 2

Der 38-jährige männliche Patient, der schon längere Zeit in unserer Praxis Patient war, hatte sich entschieden, die insuffiziente Inlaybrücke von Zahn 34 nach 37 erneuern zu lassen. Zahn 35 war bereits im jugendlichen Alter aus Platzmangel alio loco extrahiert worden, der Zahn 36 war nach der Extraktion nicht sofort ersetzt worden, sodass 37 nach mesial angulierte und die Lücke etwa eine Prämolarenbreite umfasste. Eine Implantatversorgung der Lücke kam für den Patienten nicht infrage, da aufgrund des schmalen Alveolarkammes zuerst ein Knochenaufbau nötig gewesen wäre. Als Neuversorgung wurde eine Zirkonbrücke geplant.

Nach lokaler Anästhesie wurde die Inlaybrücke entfernt. Außerdem wurde vor allem die Sekundärkaries an 34 mit Keramikrosenbohrern (Komet) beseitigt, welche durch das Aufbrechen des Zementfilmes (verursacht durch die Unterkiefertorsion) entstanden war. Dabei blieb nur die mesiale Randleiste erhalten, da unter dem OD-Inlay das Dentin bis zur Schmelzlamelle komplett kariös erweicht war, sodass das Pulpenkavum eröffnet wurde. Die koronale Pulpa wurde mit einem LangschaftHartmetall-­Rosenbohrer (Komet) entfernt und der Zahn nach Blutstillung mit Teflonband und DuoTEMP (COLTENE) provisorisch verschlossen. Der Zahn wurde nun mit einem präendodontischen adhäsiven Aufbau aus Mirafit Core (Hager & Werken) kofferdamfähig gemacht. Im Anschluss wurde nach Isolierung unter Kofferdam lingual der Wurzelkanal sondiert, die Pulpa entfernt und nach endometrischer Längenbestimmung mit dem Endometriemodul des Endomotors VDW.GOLD RECIPROC® (VDW) die Röntgenmessaufnahme angefertigt (Abb. 6). Der Zahnfilm zeigte einen deutlichen s-förmigen Kanalverlauf im mittleren Wurzeldrittel sowie einen zweiten, nicht instrumentierten Kanal, Typ V nach Vertucci. Hülsmann und Bartels geben die Häufigkeit einer solchen Anatomie mit 23–26% beim ersten unteren Prämolaren an.

Nach vorsichtiger Erweiterung des koronalen Kanalanteiles mit Langschaft-Rosenbohrern unter ständiger Sichtkontrolle mit dem OPMI M320 (Leica) in bukkaler Richtung ließ sich auch der zweite Wurzelkanal darstellen, sondieren und kathederisieren. Die Arbeitslänge wurde endometrisch ermittelt und eine Messaufnahme beider Kanäle durchgeführt (Abb. 7). Im weiteren Behandlungsverlauf erfolgte die chemomechanische Aufbereitung mit der NiTi-Feile RECIPROC® R25 (VDW) und mit passiv ultraschallaktivierter Spülung durch NaOCl 3% und Zitronensäure 17%. Die medikamentöse Einlage wurde mit Ca(OH)2-Paste AH Temp gelegt und die Kavität mit DuoTEMP (COLTENE) verschlossen.

Der Patient stellte sich zwei Wochen spä­ ter zur geplanten Wurzelfüllung vor und gab an, keine weiteren Beschwerden gehabt zu haben. Nach Leitungsanästhesie mit Septanest 1:100.000 (Septodont) und Kofferdamisolierung wurden die Wurzelkanäle mit dem bekannten Spülprotokoll unter passiver Ultraschallirrigation gereinigt und, nach erneuter endometrischer Längenüberprüfung, die Mastercones mit Taper 0.4 angepasst (Abb. 8). Die Wurzelfüllung wurde in modifizierter Schildertechnik durchgeführt und röntgenologisch kontrolliert (Abb. 9). Da der Zahn 34 als Brückenpfeiler geplant war, wurde er mit einem durch Kürzung individuell angepassten silanisierten und silikatisierten Glasfaserstift DPC (Komet) stabilisiert und postendodontisch aufgebaut (Abb. 10).

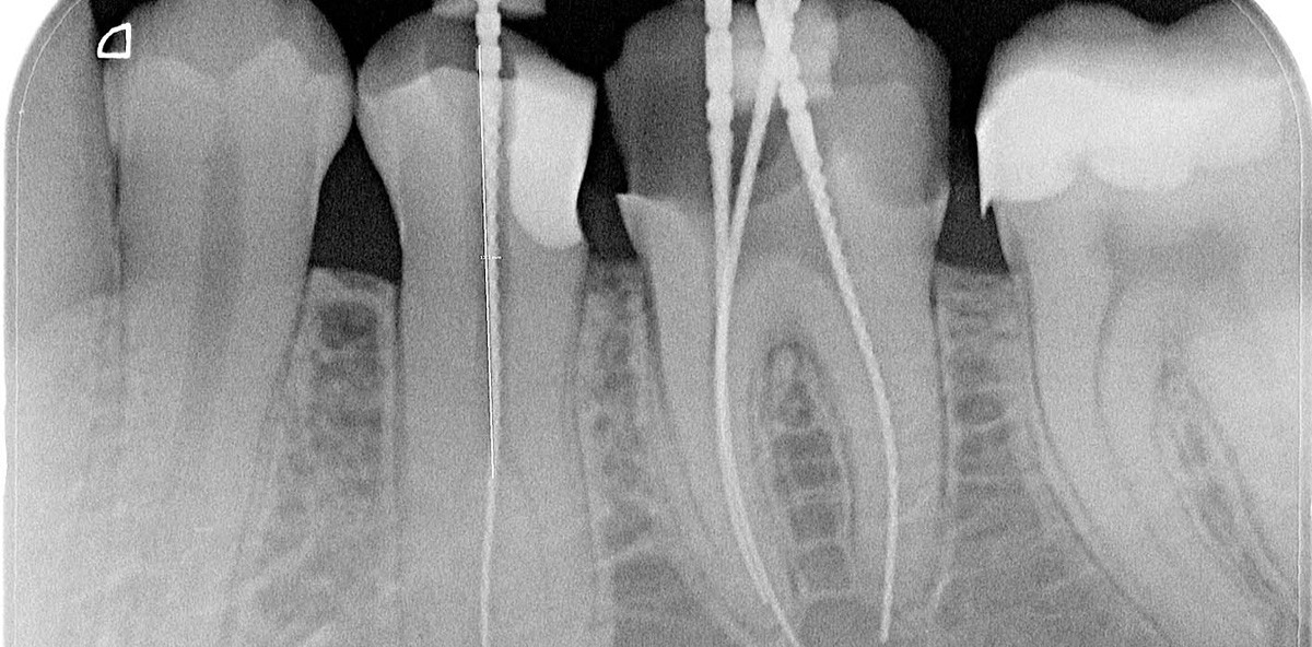
Patientenfall 3

Der 24-jährige männliche Patient befand sich zur Füllungstherapie im dritten Quadranten in der Partnerpraxis. Da bei Zahn 35 und 36 die Karies unter den alten Füllungen so tief war, dass sich bei beiden Zähnen die Eröffnung des Pulpenkavums nicht vermeiden ließ, wurde dort direkt die Wurzelkanalbehandlung eingeleitet. Während sich Zahn 36 problemlos bis hin zur Über­instrumentierung aufbereiten ließ, zeigte Zahn 35 neben dem instrumentierten Kanal zwei weitere Kanäle (Typ VIII nach Vertucci, Abb. 11). Hülsmann und Bartels geben die Häufigkeit einer solchen Kanalanatomie mit 0,5% an, Baumann und Peters3 mit unter 1%.

Der Stammbehandler konnte nur den einen Kanal aufbereiten und versorgte diesen zusammen mit Zahn 36 mit Calxyl (OCO) und Cavit (3M ESPE) als provisorischen Verschluss.

Der Patient stellte sich zehn Tage spä­ ter bei uns zur Weiterbehandlung vor und gab an, seit der Erstbehandlung permanente Beschwerden an Zahn 35 zu haben. Die Messaufnahme des Vorbehandlers wurde in das Röntgenprogramm DBSWIN (Dürr Dental) eingepflegt und die Distanz zwischen Okklusalfläche und Teilungsstelle der Kanäle digital auf ca. 13mm gemessen, also im Übergang zwischen mittlerem und apikalem Wurzeldrittel. Diese tiefe Lage der Verzweigungen machte die Darstellung und Aufbereitung sehr schwierig. 

Nach Leitungsanästhesie und Kofferdamisolierung wurde das Orificium vorsichtig mit durch Kürzung zu Trepanbohrern umfunktionierten Gates-­GliddenBohrern (VDW) erweitert, bis die beiden bukkalen Kanäle mit vorgebogenen Micro-Openern (Dentsply Sirona) zu sondieren waren. Im Anschluss wurden vorgebogene Reamer in ISO 10 unter endometrischer Längenkontrolle in die Kanäle eingeführt und die Nadelmessaufnahme angefertigt (Abb. 12). Der linguale Kanal konfluiert im apikalen Bereich mit dem mesiobukkalen Kanal, sodass man von dem Vorliegen einer Kombination aus Typ III und Typ VIII nach Vertucci sprechen kann. Mit diamantierten Ultraschallspitzen (ACTEON) und dem Ultraschallgenerator VDW. ULTRA (VDW) wurde das Orificium so weit präpariert, dass sich maschinelle Feilen ohne Vorbiegung in die Kanäle einführen ließen. Der Gleitpfad wurde mit PathFiles .02 (Dentsply Sirona) etabliert und die Kanäle mit Twisted Files® (Sybron Endo) bis 30.06 aufbereitet und unter ständiger Spülung mit NaOCl 3% und Zitronensäure 17% gereinigt. Der Zahn wurde mit Ca(OH)2 (AH Temp, Dentsply Sirona) als medikamentöse Einlage und DuoTEMP (COLTENE) als Verschluss versorgt.

Der Patient stellte sich vier Wochen spä­ ter beschwerdefrei zur Wurzelfüllung vor. Nach Lokalanästhesie und Kofferdamisolierung wurden die Kanäle nach bekanntem Spülprotokoll abermals desinfiziert und nach erneuter endometrischer Längenkontrolle die Mastercones in 30.02 angepasst (Abb. 13). Die Wurzelfüllung wurde in modifizierter Schildertechnik durchgeführt (Abb. 14) und der Patient zur Weiterbehandlung zum Stammbehandler zurücküberwiesen. Bei der vier Wochen später beim Überweiser durchgeführten Wurzelfüllung an Zahn 36 zeigen sich weiterhin reizlose apikale Verhältnisse an Zahn 35 (Abb. 15).

Patientenfall 4

Die 43-jährige weibliche Patientin stellte sich bei ihrem Hauszahnarzt mit Beschwerden an Zahn 14 und Zahn 17 vor. Beide Zähne reagierten bei der Sensibilitätsprobe positiv, auf Perkussion negativ. Die Zähne waren mit Goldinlays versorgt, welche beide mit Sekundärkaries unterminiert waren (Abb. 16). Unter lokaler Anästhesie wurden die Goldgussrestaurationen entfernt und die Karies exkaviert, dabei kam es zur Eröffnung des Pulpenkavums. Nach der Vitalexstirpation wurden die Wurzelkanäle mit Handinstrumenten aufbereitet, die Kanäle mit Calxyl (OCO) als medikamentöse Einlage versorgt und mit Cavit (3M ESPE) verschlossen. Zur Weiterbehandlung wurde die Patientin zu uns überwiesen. Nach lokaler Infiltrationsanästhesie und Isolierung unter Kofferdam wurde der provisorische Verschluss entfernt und nach Spülung die Kanäle unter OPMI M320 (Leica) endometrisch mit dem Endometriemodul des VDW.GOLD Motors (VDW) mit K-Feilen 10.02 kathederisiert und vermessen und die Röntgenmessaufnahme angefertigt. Das Röntgenbild zeigte eine deutliche Deviation des Instruments im bukkalen Kanal nach mesial (Abb. 17).

Eine Via falsa, die vom Zahnfilm her naheliegend erschien, konnte durch die Endometrie ausgeschlossen werden. Die beiden Kanäle wurden mit RECIPROC®-­Feilen R25 aufbereitet, nach Spülung mit NaOCl 3% und Zitronensäure 17% mit AH Temp (Dentsply Sirona) versorgt und die Kavität mit DuoTEMP (COLTENE) verschlossen. Um den unklaren Kanalverlauf in der bukkalen Wurzel abzuklären, wurde im Anschluss ein DVT angefertigt (Abb. 18). Hier zeigen sich neben dem bereits mit röntgenopaken Ca(OH)2-gefüllten palatinalen Kanal die beiden bukkalen Kanäle. Hülsmann und Bartels geben die Häufigkeit einer solchen Konfiguration mit 1% an.

Eine Woche später wurde der Zahn weiterbehandelt. Nach lokaler Betäubung und Kofferdamisolierung wurde das Provisorium entfernt und die Kanäle gespült. Der Eingang des bukkalen Kanals wurde dann unter OPMI in mesio­distaler Richtung vorsichtig mit Langschaft-Rosenbohrern (Komet) erweitert, bis sich ein zweiter bukkaler Kanal mit einem Micro-Opener 08.04 (Dentsply Sirona) sondieren ließ (Abb. 19). Nach Kathederisierung und endometrischer Längenüberprüfung wurde eine Röntgenmessaufnahme aller drei Kanäle angefertigt (Abb. 20). Der dritte Kanal wurde ebenfalls aufbereitet, nach Reinigung mit bekanntem Spülprotokoll wurden die drei Kanäle mit Ca(OH)2 als medikamentöse Einlage versorgt und der Zahn provisorisch verschlossen.

Weitere drei Wochen später stellte sich die Patientin beschwerdefrei zur Wurzelfüllung vor. Nach lokaler Betäubung, Kofferdamisolierung und intensiver passiver Ultraschallspülung mit NaOCl 3% und Zitronensäure 17% wurden die Mastercones angepasst (Abb. 21) und die Wurzelfüllung in vertikaler Kompaktation mit dem Beefill 2in1 (VDW) durchgeführt (Abb. 22). 

Eine vollständige Literaturliste finden Sie hier

Mehr Fachartikel aus Endodontologie

ePaper