Cosmetic Dentistry 17.10.2011
Anwendung eines dualhärtenden Befestigungskomposits
share
Auf dem Sektor der Befestigungszemente hat in den letzten Jahren eine starke Entwicklung stattgefunden. Eine Vielzahl von Produkten beschäftigt uns behandelnde Zahnärzte regelmäßig aufs Neue, sodass es in der Tat schwerfällt, den Überblick zu behalten. Im folgenden Beitrag werden die Vorteile eines selbstadhäsiven, dualhärtenden Befestigungskomposits der Firma Kuraray dargestellt.
An der Analyse der letzten Jahre lässt sich eine deutliche Tendenz erkennen: Waren es früher die konventionellen 
Befestigungszemente, wie der lange Zeit als Goldstandard geltende Harvard-Zement, entwickelten sich daraus zunächst Hybrid-Zemente, also konventionelle Zemente mit verstärkenden, in der Regel Composite-Anteilen, die ihre Potenz sehr schnell unter Beweis stellen konnten. Als beiden Arten überlegen sollten sich jedoch reine Befestigungskomposite herausstellen.
An Befestigungskompositen gibt es drei verschiedene Abbindemöglichkeiten: selbsthärtende Zemente, lichthärtende Zemente und dualhärtende Zemente. Des Weiteren lassen sich diese Zemente in drei weitere Kategorien unterscheiden, Total-Etch-Systeme, selbstätzende Primer-Systeme und selbstadhäsive Systeme. In seiner Anwendung einfach und trotzdem überzeugend in Haftwerten und Stabilität sind vor allem selbstadhäsive, dualhärtende Zemente. Der Vorteil, den Zahn nicht mehr vorkonditionieren zu müssen und nicht mehrere Komponenten in der Verarbeitung zu benötigen, hat uns in den letzten Jahren die Arbeit und unseren Patienten das Procedere sehr vereinfacht.
Herausragende Eigenschaften
Als einen der innovativsten Befestigungskomposite stellte die Firma Kuraray vor einiger Zeit den SA Cement vor, ein selbstadhäsives, dualhärtendes Befestigungskomposit, welches bereits kurz nach seiner Markteinführung als einziger seiner Klasse 5 Sterne, also die Bewertung „exzellent“, durch das renommierte Forschungsinstitut „The Dental Advisor“ erhielt. Besonders herausheben lässt sich die Verarbeitung des Materials. Da der SA Cement sich als bemerkenswert feuchtigkeitsunempfindlich darstellt, ergeben sich in der täglichen Anwendung wenige Möglichkeiten, durch technische, also Anwendungsfehler, ein positives Gesamtergebnis zu gefährden.
Die Gesamthaftkraft übertrifft laut Angaben des Herstellers mit durchschnittlich 12 MPa die der Mitbewerber, was für ein langanhaltendes Ergebnis nach Zementierung und damit für Zufriedenheit bei Patienten und Behandlern sorgen sollte. Die effektive Haltbarkeit wird sich im praktischen Einsatz in den nächsten Jahren mit Sicherheit bestätigen lassen, da das MDP-Monomer, welches wir bereits vom Produkt PANAVIA™ kennen, auch hier wieder enthalten ist. 
Ebenso findet sich hier auch die zusätzliche Fluoridabgabe des Materials, ähnlich der bereits bei PANAVIA™ bekannten Menge, welche schon seit geraumer Zeit als zahnschonend bekannt ist. 
Insbesondere Zementreste, die nach der Versäuberung an schwer zugänglichen Stellen zu finden sind oder sich nach vollständigem Aushärten des Zementes kaum entfernen lassen, stellen immer wieder eine Problematik bei der prothetischen Versorgung dar. Höchst gefährdete Strukturen, wie zum Beispiel der periimplantäre Sulcus, sind für den Behandler dabei besonders im Auge zu behalten. Entzündungen, Knochen- wie Schleimhautverluste sind häufig durch Zementreste zu beobachten.
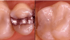
Hier setzt eine der besonderen Stärken in der Handhabung des SA Cementes an. Nach Einbringen der Restauration startet man den Lichthärtungsprozess für eine sehr kurze Zeitspanne, etwa fünf Sekunden, oder lässt den chemischen Härtungsvorgang für etwa drei Minuten laufen. Nach dieser Zeit lässt sich der Überschuss an Zement sehr einfach mit einer zahnärztlichen Sonde entfernen, was zugleich sehr viel gewebeschonender verläuft als das reguläre Versäubern einer komplett durchgehärteten Struktur, und auch sehr gute Sicherheit gibt, keine Zementreste zu hinterlassen, da diese sich am Stück entfernen lassen (Abb. 1 bis 10).
Fazit
Aufgrund der in bisherigen Untersuchungen nachgewiesenen hohen Haftkraft von etwa 10MPa (Dentin) bis zu 42,3MPa (Titan) innerhalb von 24 Stunden, die sich auch in Langzeitversuchen nicht reduzierte, ist eine dauerhafte Zuverlässigkeit des SA Cement, ähnlich PANAVIA™, zu erwarten. So punktet der SA Cement sowohl in Verarbeitung und Festigkeit als auch im Bezug auf den Preis, der deutlich unter dem der Mitbewerber liegt, auf Anhieb und präsentiert mit Sicherheit mehr als nur eine Alternative zu den bekannten Befestigungskompositen. 
 
                             
                                         
                                                                                     
                 
                 
                 
                 
                 
                 
                 
                 
                 
                 
                                 
                                 
                         
                         
                         
                         
                        