Cosmetic Dentistry 03.01.2020

Direkter Aufbau nach einem Zahntrauma mit Composite-Füllung

Ein 43-jähriger männlicher Patient erschien spontan in unserer Praxis mit EllisII-Frakturen der beiden zentralen Schneidezähne nach dem Biss auf einen Pfirsichkern (Abb.1). Da der Patient als Berater tätig ist und an diesem Tag noch einen beruflichen Termin wahrnehmen musste, wünschte er eine schnelle und sofortige ästhetische Rehabilitation. Aufgrund der Tatsache, dass die Fragmente fehlten, war eine minimalinvasive Composite-Füllung die erste Wahl.

In Anbetracht des ästhetischen Dilemmas und des Zeitdrucks des Patienten wurde mit dem Patienten besprochen, dass ein schneller, freihändiger direkter Aufbau anstelle einer indirekten Technik erfolgen sollte.

Fallbeschreibung

Beide Zähne waren vital und röntgenologisch ohne pathologischen Befund. Abgesehen von der Ellis II-Fraktur hatte Zahn 11 eine kleine Schmelzfraktur am distalen Vestibulärrand und Zahn 12 an der Schneidekante. Eine Behandlung dieser kleineren Defekte wurde vom Patienten nicht gewünscht, da diese nach Angaben des Patienten bereits seit mehreren Jahren bestanden.

Die scharfen Kanten wurden entfernt und eine bukkale Fase vorbereitet. Nach der Reinigung der Zahnoberflächen wurde eine Vorauswahl der Farbe durchgeführt und Ecosite Elements A3 und EM (Enamel Medium) ausgewählt (Abb. 2). Die Zahnoberflächen wurden 30 Sekunden mit Phosphorsäure (DMG Etching Gel 37%) geätzt (begonnen wurde mit dem Ätzen der Zahnschmelz- oberfläche und anschließend wurde auch der Dentinbereich für weitere 15 Sekunden mit Ätzgel behandelt) (Abb. 3). Anschließend wurde zwischen den beiden zentralen Schneidezähnen ein Matrizenband platziert, bevor der Bondingschritt mit dem DMG Ecosite Bond durchgeführt wurde (Abb. 4).

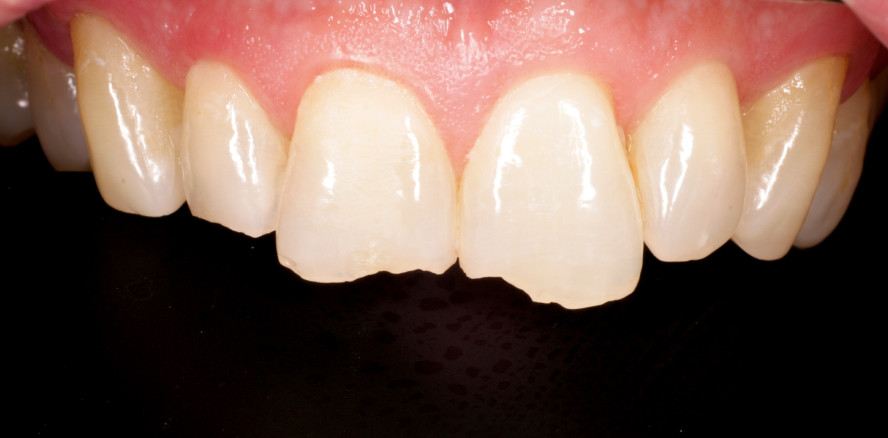
Das erste verwendete Inkrement mit Ecosite Elements A3 wurde freihän­dig in einem unregelmäßigen Muster auf­getragen, um ein natürliches Aus­sehen zu erreichen (Abb. 5). Danach wurde die Schmelzschicht mit Ecosite Elements EM aufgebaut (Abb.6).Jedes Inkrement wurde 20 Sekunden lang lichtgehärtet. Es wurde ein erster grober Konturierungs- und Finishing- Schritt mit Soflex-Scheiben und einem Diamantbohrer durchgeführt, bevor die Behandlung am Zahn 21 fortgeführt wurde (Abb. 7). Auf die gleiche Weise wie zuvor wurde Zahn 21 in einer mehrschichtigen Freihandtechnik aufgebaut (Abb. 8 und 9). Anschließend wurden die Füllungen konturiert, fertiggestellt und schließlich mit Composite- Gummipolierern und einer Siliziumkarbidbürste poliert. Abbildung 10 zeigt die Endsituation.

Fazit

Gerade im Praxisalltag ist es ent­scheidend, schnelle, zuverlässige und ästhetisch ansprechende Lösungen für unangekündigte Fälle wie diesen zur Verfügung zu haben. Es wurde deut­lich, dass es dank der optimalen Konsistenz und der nichtklebrigen Eigenschaft von Ecosite Elements möglich ist, Zähne schnell und einfach zu ver­sorgen und wieder aufzubauen. Neben idealen Verarbeitungseigenschaften ermöglichten die einfache Farbauswahl mit optimaler Variation und die ausgezeichnete Polierbarkeit ein ästhetisch ansprechendes Ergebnis. 

Daher bietet das Ecosite Elements-System ein einfach zu verarbeitendes, breit gefächertes Restaurativmaterial, das es dem Arzt ermöglicht, den Patienten ein hochwertiges Material be­reitzustellen, das die Patienten und ihre ästhetischen Ansprüche auch unter Zeitdruck zufriedenstellt.

Autor: Max-Richard Seidemann

Mehr Fachartikel aus Cosmetic Dentistry

ePaper