Cosmetic Dentistry 28.02.2011
Rote Ästhetik für den ästhetischen Gesamteindruck
share
Die Behandlung von ästhetischen Fällen beschränkt sich erfahrungsgemäß nicht allein auf das Wiederherstellen der weißen Ästhetik. Fehlstellungen von Zähnen haben immer einen ungünstigen Einfluss auf den Arkadenverlauf der Gingiva. Manchmal werden komplexe Fälle nicht als solche erkannt und es wird lediglich die weiße Ästhetik korrigiert. Die Ergebnisse sind dann  nicht  langlebig, oft auch ästhetisch unbefriedigend. Um sich über die Komplexität des Einzelfalles ein Bild machen zu können, empfiehlt es sich, den Fall nach folgender Einteilung zu beurteilen, denn Perfektion in der Ästhetik kann nur durch die Anwendung funktioneller Maßstäbe und die Einbeziehung plastischer Parodontalchirurgie erreicht werden.  
Klasse 1: Korrekturen nur in der weißen Ästhetik erforderlich
Klasse 2: Korrekturen in der Funktion und in der weißen Ästhetik erforderlich
Klasse 3: Korrekturen in der weißen und roten Ästhetik erforderlich
Klasse 4: Korrekturen der Funktion, der weißen und der roten Ästhetik erforderlich
Klasse 5: Kieferorthopädische oder kieferchirurgische Vorbehandlung erforderlich
Ein zeitgemäßes Konzept einer funktionellen und patientenfreundlichen Zahnmedizin basiert im Wesentlichen auf den Grundprinzipien der biologischen Integration, um durch minimalinvasive Behandlungstechniken optimale ästhetische Erfolge zu erzielen.
Patientenfall
Das Hauptanliegen des 45-jährigen Patienten ist die ästhetische Verbesserung seiner Unterkiefer-Frontzahnsituation. 
Die Basis einer guten Planung ist das Erstellen von umfangreichen Behandlungsunterlagen. Nach Untersuchung und Befundaufnahme zeigen sich bei unserem Patienten: 
- deutliche Abrasionen an den Unterkieferfrontzähnen
- frakturierte Schneidekanten an den Zähnen 41 und 31
- ein deutlich unharmonischer Gingivaverlauf bei 31 (Abb.1)

Abb. 1 und 2 (von li. nach re.)
Zur Schaffung eines harmonischen und entzündungsfreien Gingivaverlaufs ist oftmals eine Kronenverlängerung  notwendig.
Die klassische Methode erfordert hierbei neben einer Gingivakorrektur ein Freilegen des bukkalen Knochens und eine modellierende Osteoplastik unter Sicht, um die genetisch festgelegte biologische Breite wieder zu etablieren. Gerade im Frontzahngebiet mit einer horizontal oftmals sehr dünnen bukkalen Knochenlamelle kann durch ein minimalinvasives Vorgehen diese erforderliche Osteoplastik ohne Lappenbildung erfolgen (Abb. 2). 
Mit einem speziellen Schallansatz, nach Schwenk/ Striegel (Gebr. Brasseler), der sowohl zum Zahn als auch zur Gingiva hin glatt poliert ist und nur am dünnen krestalen Arbeitsende eine Diamantierung aufweist, kann eine kontrollierte Osteoplastik des bukkalen Knochens erfolgen, ohne hierbei den Zahn oder die angrenzenden Weichteile zu traumatisieren (Abb. 3 und 4).

Abb. 3 und 4 (von li. nach re.)
Dies sollte von jedem Zahnarzt beherrscht werden, denn auch schöne Veneers sehen bei unharmonischem Gingivaverlauf nur halb so gut aus.
Eine Versorgung mit Veneers ist für die Frontzähne bei vielerlei Problemen die beste Wahl hinsichtlich Ästhetik, Stabilität, Elastizität und Haltbarkeit. Die klassischen Indikationen sind: 
- Verfärbungen von Zähnen, die nicht durch Bleichen beseitigt werden können
- dem Einsatz von großen zahnfarbenen Füllungen, die kosmetisch nicht der Zahnsubstanz angepasst werden können
- der Korrektur schief stehender Zähne (sog. Stellungsanomalien)
- Formkorrekturen von Zähnen (zu schmal, zu kurz)
- der Beseitigung eines Diastemas (Zahnlücke)
- der Reparatur abgebrochener Zähne (Zahnfrakturen)
- der Beseitigung von Zahnschmelzdefekten (z.B. Fluorose)
Da unser Patient eine präprothetische Stellungskorrektur durch KFO ablehnte, versorgten wir ihn mit Keramikveneers an den Zähnen 42, 41, 31, 32. Die Veneers wurden im Labor aus e.max Keramik gepresst, reduziert und mit e.max Ceram Schichtkeramik fertiggestellt. Nach Einprobe mit Try-In-Gels wurden entsprechend der ausgewählten Compositefarbe die Keramikveneers zur besseren Kontrolle der Passung einzeln und unter Kofferdam adhäsiv und lichthärtend befestigt (Abb. 5). Zur Sicherung des Behandlungsergebnisses erfolgte ein engmaschiger Recall.

Abb. 5
Fazit
Ästhetisch-harmonische Rehabilitationen im Frontzahnbereich sind per se eine Herausforderung für Zahnarzt und Techniker.
Gesunde parodontale Verhältnisse, Schonung der Zahnhartsubstanz, adäquate Funktion und exzellente Langzeitprognose sind die maßgeblichen Parameter für zeitgemäße, restaurative Behandlungskonzepte. 
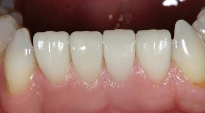
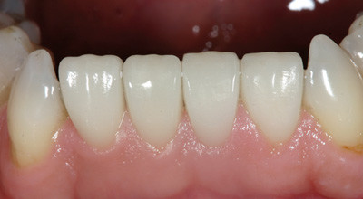
Die Auseinandersetzung mit dem Patienten und seinen Wünschen hat im Rahmen der Behandlung eine ganz gewichtige Bedeutung, um seine ästhetischen Erwartungen zu erfüllen. Unser Patient war von dem Ergebnis begeistert (Abb. 6 und 7).

Abb. 6 und 7 (von li. nach re.)
Autoren: ZA Anja Riedl und Dr. Marcus Striegel 
Seitenanfang
 
                             
                                         
                                                                                     
                         
                         
                         
                         
                        