Cosmetic Dentistry 18.09.2013
Vollkeramische Abutments in der Implantatprothetik: Einteilig oder zweiteilig?
share
Einleitung
In vielen Zahnarztpraxen ist die Implantologie fester Bestandteil des prothetischen Versorgungskonzeptes geworden. Die guten Langzeitergebnisse von implantatgetragenem Zahnersatz ermöglichen dem Behandler eine Vielzahl an Planungsmöglichkeiten, die dem Patientenwunsch nach festsitzendem Zahnersatz nachkommen. Eine Voraussetzung für den klinischen Erfolg ist die Entwicklung und Verwendung von biokompatiblen Materialien, die den chemischen und physikalischen Kräften der Mundhöhle dauerhaft widerstehen.
Die in der Implantologie eingesetzten Werkstoffe sollten den auftretenden Kaukräften, wechselnden Temperaturen und Säuregraden in der Mundhöhle standhalten. Dabei werden im Bereich der ersten Molaren die größten Kaukräfte gemessen. Die Lastmittelwerte liegen im Molarenbereich bei 216 bis 847 N, während im Frontzahnbereich Kräfte von 108 bis 299 N erreicht werden (Helkimo et al., 1959; Waltimo et al., 1993). Implantate und Implantataufbauten aus Titan haben sich aufgrund ihrer hervorragenden Bruch- und Biegefestigkeit sowie der akzeptablen Biokompatibilität bewährt und gelten als „Goldstandard“. Neben rein funktionellen Erfolgskriterien haben im sichtbaren Frontzahn- und Prämolarenbereich ästhetische Aspekte entscheidenden Anteil an dem Erfolg oder Misserfolg einer Implantatversorgung. Die Verwendung von Titanabutments in ästhetisch anspruchsvollen Bereichen kann bei Patienten mit dünner Schleimhaut zu einer gräulich erscheinenden Mukosa im Bereich des Implantats führen und somit die Ästhetik negativ beeinflussen (Farbshift) (Jung et al., 2009). Dieser werkstoffbedingte Nachteil von Titanaufbauten führte zur Entwicklung und zum Einsatz von vollkeramischen Abutments aus Aluminiumoxidkeramik und Yttrium-stabilisierter Zirkoniumdioxidkeramik. Der Einsatz neuer keramischer Werkstoffe mit ihren Vorteilen bei der Umsetzung eines hochästhetischen Implantatkonzeptes sollte die Langlebigkeit prothetischer Arbeiten jedoch nicht gefährden. Ein Hauptunterschied der Werkstoffeigenschaften von Titan, Zirkoniumdioxid- und Aluminiumoxidkeramiken liegt in der Sprödigkeit der Keramiken. Auch wenn die Biegefestigkeit von Zirkoniumkeramiken mit 800–1.200 MPa (Aluminiumoxid 547 MPa) deutlich höher als bei Titan ist (ca. 400 MPa), so ist die Bruchzähigkeit von Zirkonium, also der Widerstand der Keramik gegen Rissfortschritt, mit 9 MPa m1/2 (Aluminiumoxid 3,55 MPa m1/2) deutlich niedriger als bei Titan (40–60 MPa m1/2). Während Metalle Spannungsspitzen durch plastische Verformbarkeit kompensieren können, bricht Zirkonium nahe seiner Elastizitätsgrenze und macht die Keramik empfindlich gegenüber Zugkräften.
Studienlage
Laborstudien zeigen, dass Abutments aus Zirkoniumdioxid im Vergleich zu Implantataufbauten aus Aluminiumoxid eine höhere Bruchlast aufweisen. Prospektive klinische Studien bestätigen, dass die in vitro demonstrierten guten mechanischen Eigenschaften auch für den klinischen Einsatz gelten. Der sich abzeichnende klinische Erfolg von Abutments aus Zirkonium führte zu einer immer größer werdenden Vielzahl von Anbietern vollkeramischer Aufbauten. Die Aufbauten unterscheiden sich dabei hinsichtlich ihrer Form, Herstellungsweise und Art der Implantat-Aufbauverbindung. Eine Laborstudie von Aramouni et al. belegt Unterschiede des Bruchlastverhaltens vollkeramischer Abutments, die oberhalb der physiologisch auftretenden Kräfte des Frontzahnbereichs lagen. Eine weitere Laborstudie untersuchte die Breite des Mikrospalts zwischen Implantat und Aufbau bei vier unterschiedlichen vollkeramischen Implantat-Abutment-Systemen. Der gemessene Mikrospalt bei den getesteten Systemen mit interner Implantat-Abutmentverbindung und konischem Interface zeigte kleinere Messwerte als Systeme mit Flach-zu-Flach-Verbindungen (But-Joint). Die Autoren vermuten, dass sich die präzise Passung in diesem Bereich positiv auf den biomechanischen und biologischen Erfolg dieser Systeme auswirken (Baixe et al., 2010). Das Bruchlastverhalten von Zirkoniumaufbauten steht auch in Abhängigkeit zum Durchmesser des Abutments.
Eine weitere Laborstudie zeigte eine signifikante Steigerung der gemessenen Bruchkräfte mit zunehmendem Durchmesser der Aufbauten (Nguyen et al. 2009). Um systemabhängige Einflüsse näher zu identifizieren, untersuchten Sailer et al. den Einfluss, den die ImplantatAbutmentverbindung unterschiedlicher präfabrizierter vollkeramischer Abutments auf das Bruchlastverhalten ausübt. Dabei wurden einteilige und zweiteilige Zirkonium-Aufbauten untersucht. Die Arbeitsgruppe konnte signifikante Unterschiede zwischen den einzelnen Gruppen aufzeigen. Die höchsten Biegemomente wurden bei zweiteiligen Zirkon-Abutments mit interner Titan-Verbindung erreicht (Sailer I, 2009). Eine Laborstudie von Truninger et al. bestätigten die höheren Biegebruchmomente für zweiteilige Abutments mit metallischem Insert und einer Innenverbindung, im Vergleich zu Werten von einteiligen Systemen und zweiteiligen Systemen mit Außenverbindung (Truninger et al., 2012). Abutmentfrakturen waren der Hauptgrund für das Versagen der Prüfkörper.
Interne Implantat-Aufbauverbindungen waren weniger anfällig für Brüche und Lockerungen der Halteschraube und scheinen Systemen mit externen Verbindungen hinsichtlich der Langzeitstabilität des Implantat-Abutmentkomplexes überlegen (Khraisat et al., 2002; Steinebrunner et al., 2008; Sailer I et al., 2009). Der derzeitige Wissensstand über vollkeramische Implantat-Aufbauten aus Zirkonium scheint Forderungen nach umfangreichen vergleichenden Studien in diesem Bereich zu rechtfertigen (Zembic et al., 2013).
Individuelle CAD/CAM-Abutments
Zusätzlich zu den unterschiedlich existierenden Verbindungsmöglichkeiten von Implantat und Aufbau existiert die Möglichkeit, industriell präfabrizierte oder individuell gefräste Abutments aus Zirkoniumdioxid zu verwenden. Moderne CAD/CAM-Systeme ermöglichen bei vielen Implantatsystemen die Herstellung individuell gefertigter vollkeramischer Aufbauten. Ein individuelles Abutment kann die zeitgemäßen Forderungen an ein wurzeiförmiges Emergenzprofil erfüllen. Ein Vorteil ist, dass der Zementspalt kontrolliert an den Mukosaverlauf angepasst werden kann. Eine Studie von Hjerppe et al. verglich das Bruchlastverhalten präfabrizierter einteiliger Abutments mit im CAD/CAM-Verfahren hergestellter einteiliger Zirkoniumdioxidaufbauten zweier Implantatsysteme. Dabei dienten die präfabrizierten Aufbauten als Vorlage für eine exakte Kopie der individuell gefrästen. Signifikante Unterschiede des Bruchlastverhaltens zwischen präfabrizierten und manuell gefertigten Abutments gleicher Form konnten nicht festgestellt werden, obwohl die Passgenauigkeit präfabrizierter Abutments den manuell hergestellten überlegen war (Hjerppe et al., 2012). Auch ein systematisches Review von Sailer et al. konnte anhand der geringen Datenlage keine Unterschiede der technischen und biologischen Komplikationsrate zwischen keramischen Abutments und Aufbauten aus Titan aufzeigen (Sailer I, 2009). Allerdings erreichten individuelle, zweiteilige CAD/CAM-Zirkon-Aufbauten innerhalb des jeweils gewählten Studiendesigns höhere Bruchlasten als einteilige Aufbauten aus Zirkon. Die Verwendung eines zweiteiligen Abutment-Systems mit präfabrizierter Innenverbindung aus Titan und einer Zirkon-CAD/CAM-Hülse, erscheint hinsichtlich der besseren Langzeitprognose überlegen, und sollte deshalb in Bereichen mit höheren Kaukraftbelastungen klinisch präferiert werden.
Fallbericht
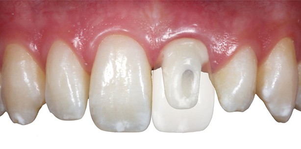
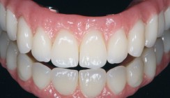
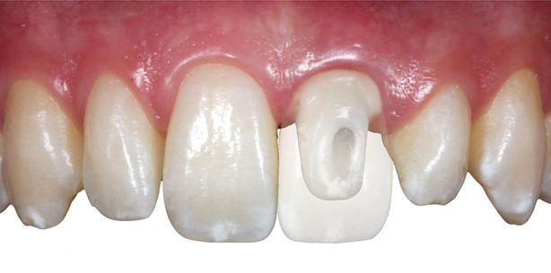
Ein 35 Jahre alter Patient wurde mit persistierenden Schmerzen am rechten, mittleren Schneidezahn im Oberkiefer (11) zur Diagnose und Weiterbehandlung überwiesen. Die klinische und radiologische Untersuchung zeigte eine haarrissförmige MikroLängsfraktur des betroffenen Zahnes bis zum Apex. Der umgebende alveoläre Knochen war intakt. Nach eingehender Beratung und Erörterung der Behandlungsalternativen wurde, dem Patientenwunsch entsprechend, eine Sofortimplantation zum Ersatz des frakturierten Zahns 11 mit sofortiger prothetischer Versorgung durchgeführt. Nach der schonenden Entfernung des Zahns erfolgte die Insertion eines XiVE Schraubenimplantates D 3,8 mm (DENTSPLY Implants, Mannheim). Der Eingriff erfolgte ohne Inzision oder chirurgische Lappenbildung, bei voller Schonung des periimplantären Hart- und Weichgewebes. Dabei wurde insbesondere auf den Erhalt der labialen Knochenlamelle im Implantatgebiet geachtet. Nach der Implantatinsertion wurde der prämontierte TempBase-Aufbau, der als Einbringpfosten gedient hatte, aus dem Implantat entfernt und ein provisorischer Aufbau aus Kunststoff (PEEK) eingesetzt (EsthetiCap, DENTSPLY Implants, Mannheim). Die zuvor hergestellte provisorische Krone wurde mit Autopolymerisat auf dem PEEK-Abutment mit Composite-Resin zementiert. Der Osseointegrationszeitraum von fünf Monaten verlief unauffällig und das Weichgewebe um das Implantat zeigte keinerlei pathologische Anzeichen. Der interdentale Weichgewebsverlauf blieb intakt, form-, höhen- und volumenstabil. Um das periimplantäre Weichgewebe für die Abformung zu unterstützen und eine präzise Übertragung ins Labor zu gewährleisten, wurde ein präfabrizierter Übertragungsaufbau verwendet. Als Basis für die definitive Versorgung wurde ein individuelles, zweiteiliges Zirkonabutment im CAD/CAM-Verfahren hergestellt. Dieser maßgefertigte Aufbau ermöglicht die anatomische Unterstützung des Emergenzprofils, vermeidet einen Mukosa Farbshift und ermöglicht die individuelle Festlegung des zukünftigen Zementspalts kurz unterhalb der Mukosa. Die konfektionierte Titanbasis sorgt für eine erhöhte Stabilität; ein Abrieb am Interface ist nicht zu befürchten. Die korrespondierende vollkeramische Krone wurde mit einem selbstadhäsiven Resinkleber definitiv zementiert.
Literatur
- Aramouni P, Zebouni E, Tashkandi E, Dib S, Salameh Z, Almas K: Fracture resistance and failure location of zirconium and metallic implant abutments. J Contemp Dent Pract. 2008;1;9(7):41–8
- Baixe S, Fauxpoint G, Arntz Y, Etienne O: Microgap between zirconia abutments and titanium implants. Int J Oral Maxillofac Implants. 2010;25(3):455–60
- Helkimo E, Carlsson GE, Helkimo M: Bite forces used during chewing of food. Journal of Dental Research 1959;29:133–136
- Hjerppe J, Lassila LV, Rakkolainen T, Narhi T, Vallittu PK: Load-bearing capacity of custom-made versus prefabricated commercially available zirconia abutments. Int J Oral Maxillofac Implants. 2011;26(1):132–8
- Jung RE, Holderegger C, Sailer I, Khraisat A, Suter A, Hämmerle CH: The effect of all-ceramic and porcelain-fused-to-metal restorations on marginal peri- implant soft tissue color: a randomized controlled clinical trial. Int J Periodontics Restorative Dent. 2008;28(4):357–65
- Khraisat A, Stegaroiu R, Nomura S, Miyakawa O: Fatigue resistance of two implant/abutment joint designs. J Prosthet Dent. 2002; 88(6):604–10
- Nguyen HQ, Tan KB, Nicholls Jl: Load fatigue Performance of implant-ceramic abutment combinations. Int J Oral Maxillofac Implants. 2009;24(4):636–46
- Sailer I, Philipp A, Zembic A, Pjetursson BE, Hämmerle CH, Zwahlen M: A systematic review of the Performance of ceramic and metal implant abutments supporting fixed implant reconstructions. ClinOral Implants Res. 2009;20 Suppl 4:4–31
- Sailer I, Sailer T, Stawarczyk B, Jung RE, Hämmerle CH: In vitro study of the influence of the type of connection on the fracture load of zirconia abutments with internal and external implantabutment connections. Int J Oral Maxillofac Implants. 2009; 24 (5):850–8
- Steinebrunner L, Wolfart S, Ludwig K, Kern M: Implant-abutment interface design affects fatigue and fracture strength of implants. Clin Oral Implants Res. 2008;19(12):1276–84
- Truninger TC, Stawarczyk B, Leutert CR, Sailer TR, Hämmerle CH, Sailer I: Bending moments of zirconia and titanium abutments with internal and external implant-abutment connections after aging and chewing Simulation. Clin Oral Implants Res. 2012; 23(1):12–8
- Waltimo A, Könönen M: A novel bite force recorder and maximal isometric bite force values for healthy young adults. Scand J Dent Res. 1993;101 (3):171–5
- Zembic A, Bosch A, Jung RE, Hämmerle CH, Sailer I: Five-year results of a randomized controlled clinical trial comparing zirconia and titanium abutments supporting single-implant crowns in canine and posterior regions. Clin Oral Implants Res. 2013; –7
Autoren: Dr. Peter Gehrke, Dr. Octavio Weinhold und ZT Carsten Fischer
 
                             
                                         
                                         
                                                                     
                 
                 
                 
                 
                 
                 
                 
                 
                 
                 
                 
                 
                 
                 
                 
                 
                 
                 
                 
                 
                 
                 
                 
                 
                 
                 
                 
                 
                 
                 
                                 
                                 
                                 
                         
                         
                         
                         
                        