Cosmetic Dentistry 15.08.2013
Minimalinvasive Veneers: ästhetisch-biologische Aspekte
Die moderne Zahnheilkunde beschränkt sich nicht ausschließlich auf rein kurative Behandlungen und rekonstruktive Maßnahmen, sondern fokussiert zu einem Großteil dental-ästhetische Aspekte. Immer häufiger versprechen sich Patienten von einer prothetischen Rekonstruktion mehr als die beschwerdefreie Funktionalität des Kauapparates – der Wunsch nach „schönen Zähnen“ wird zu einem Selbstverständnis.
In Teil 1 dieser Beitragsserie wurden in einem Interview die Vorteile des Vollkeramiksystems IPS e.max erfragt. Teil 2 setzte den Fokus auf das praktische Vorgehen bei vollkeramischen Restaurationen und Teil 3 beschrieb das IPS e.max-System vom wissenschaftlichen Standpunkt aus. Teil 4 behandelt das Thema minimalinvasive Veneers.
Die Ansprüche an Zahnersatz haben sich in den letzten Jahren auffallend geändert. Neben ästhetischen Aspekten rückt auch zunehmend der Wunsch nach Zahnsubstanzerhaltung in den Fokus der Patienten. Die moderne Zahnmedizin bietet hier nicht nur den Patienten zahlreiche, innovative Möglichkeiten. Auch Behandler, die die Qualität ihrer Behandlungen verbessern möchten, profitieren von diesem Fortschritt. Wir sind Teil einer Entwicklung bzw. Revolution, die sich durch Synergie der folgenden drei Bereiche ergibt:
- Eine Änderung des Behandlungskonzepts, das den Gegebenheiten moderner Materialien entspricht, wobei das Zahnorgan und sein Erhalt für die Behandler im Mittelpunkt stehen. Die minimalinvasive Zahnmedizin wird hierdurch zum Standard, und für uns beginnt die Ära der Bionik, was heißt, dass natürliche Strukturen für uns technisch als Vorbild von Bedeutung sind. Wir übertragen Phänomene der Natur auf unsere Vorgehensweisen.
- Eine enge Zusammenarbeit durch nahtlose Kommunikation mit dem Zahntechniker. Für eine erfolgreiche Durchführung der Behandlung ist es unerlässlich, die Anforderungen jedes einzelnen Akteurs zu kennen, damit das Team als Ganzes Bestleistungen erzielt.
- Der Einsatz moderner, für das Verkleben geeigneter Materialien, um biologischen (geringerer Aufwand zur Präparation der Zähne), ästhetischen (immer natürlicher wirkende Restaurationen) und biomechanischen Anforderungen (zunehmend dünnere, durch Verkleben dennoch widerstandsfähige Restaurationen) zu genügen.
Diese drei Pfeiler des Erfolgs sollten ausgebaut werden, um den hohen Anforderungen unserer Patienten in der täglichen Praxis gerecht werden zu können. Hierfür muss das gesamte Team dieselbe Philosophie verfolgen. Lange standen biologische und ästhetische Anforderungen im Widerspruch zueinander. Schöne Zähne zu haben war gleichbedeutend mit einem sich verschlechternden Zustand der Zähne (Verlust der Zahnhartsubstanz). Die Präparation hing dabei von den Anforderungen und Spezifikationen der Materialien ab. Heutzutage kann Ästhetik auch oder gerade durch minimalinvasive Präparationen erreicht werden. Warum und wie ist das möglich geworden? Die ständige Weiterentwicklung von Biomaterialien im Bereich keramischer, Komposit- und Befestigungsmaterialien hat den traditionellen Ansatz von Behandlern und Zahntechnikern völlig verändert; sie verfolgen nunmehr einen minimalinvasiven Ansatz. So ist es mittlerweile möglich, mit einer Dicke von nur etwa 0,3–0,5 mm (0,3 mm bei bemalten und 0,5 mm bei verblendeten Restaurationen) zu arbeiten, wo noch vor einem Jahrzehnt das Doppelte, ja sogar das Dreifache erforderlich war. Presskeramik, insbesondere Lithiumdisilikat, ist zu den wichtigsten Komponenten dieser revolutionären Entwicklung geworden. Zahnärzte und Keramiker verfolgen kompatible und ähnliche Ziele und bedienen sich entsprechender Mittel. Drei wesentliche Schritte sind notwendig, um Arbeitsethos und Teamgeist zu verstehen und zu leben:
- Kommunikation
- Laborarbeit
- Befestigung der Restaurationen
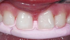
Dies soll anhand einer klinischen Situation dargestellt werden, in der das Behandlungsziel darin besteht, eine gravierende allgemeine Zahnverfärbung abzudecken (Abb. 1 und 2).
1. Kommunikation
Die Teamarbeit beginnt mit der Analyse des Falles. Um die ästhetische Wiederherstellung unseres Patienten zu planen, ist es wichtig, ihn in verschiedenen Ausdrucksformen zu betrachten (Ruhezustand, Lächeln, gezwungenes Lächeln in Frontansicht, Profil). Anhand von Fotos werden die entsprechenden Daten dann auf zuverlässigem Wege an das Labor übermittelt. Es sind qualitativ hochwertige Studienabdrücke erforderlich, um ein diagnostisches Wax-up zu erstellen, das für die Fallstudie geeignet ist. Beim Wax-up werden anhand eines Studienmodells die mit dem Patienten abgestimmten und von Zahntechniker und Zahnarzt besprochenen Änderungen umgesetzt. Im vorliegenden Fall ist die Ausgangssituation hinsichtlich der Morphologie korrekt. Eine geringfügige Korrektur wird an Zahn 12 vorgenommen (flache Zahnfleischstruktur und Rotation des Zahnes). Die inzisale Öffnung zwischen den Zähnen 11 und 21 wird leicht geschlossen, ohne dass deshalb die morphologischen Besonderheiten dieser zwei Zähne verloren gehen (Abb. 3).
Die Wahl des Materials und Rohling-Typs sollte in diesem Stadium – also vor der Präparation – besprochen werden, um die optischen Möglichkeiten des Materials zu berücksichtigen. Anders ausgedrückt: Wenn die Verfärbung unbedingt abgedeckt werden soll, wäre bei der Wahl eines Rohlings mit hoher Opazität eine erhebliche Reduktion der Dicke (1 mm) erforderlich, damit der Zahntechniker genügend Platz für die Abdeckung und die darauf anzubringende Verblendung mit transluzenten Massen hat. Aus biologischen (zu starker Abtrag erforderlich) und ästhetischen Gründen (Gefahr übermäßiger Helligkeit ohne Fluoreszenz) wurde im vorliegenden Fall ein Lithiumdisilikat-Pressrohling (IPS e.max Press) in der Transluzenzstufe LT (Low Translucency) ausgewählt. Warum ein transluzenter LT-Rohling zur Behandlung der Zahnverfärbung? Dies hängt mit den besonderen Eigenarten dieser Arbeit zusammen und ergibt sich aus den oben angesprochenen Überlegungen zum Thema.
Was sagt die Wissenschaft hierzu? Es lässt sich im Wesentlichen Folgendes festhalten: Die meisten Autoren, die sich mit der Behandlung von Zahnverfärbungen beschäftigt haben, schlagen unterschiedliche Mittel vor (opake Keramikpulver, darunterliegende opake Kompositschichten, opake Gerüste), um eine Verfärbung vollständig abzudecken. Die erzielten ästhetischen Ergebnisse sind häufig opak, sehr hell und ohne Fluoreszenz. Die „biologischen Kosten“ der benötigten Präparationen sind deutlich höher als bei herkömmlichen minimalinvasiven Präparationen für Veneers (zwischen 1,5 und 2 mm). Der vestibuläre Zahnschmelz muss unbedingt erhalten bleiben, damit die Verfärbung absorbiert werden kann. Je weiter man in den Zahn vordringt, umso stärker wird die Verfärbung. Bei herkömmlichen Dicken können Zahntechniker bei den eingesetzten Materialien die abdeckende Wirkung nicht garantieren. Die Verwendung transluzenter Materialien führt zu einem gräulichen Endergebnis. Einmal mehr ist es daher wichtig, unsere Gewohnheiten sowohl im Labor als auch in der Klinik zu ändern.
Die Leitidee hierbei ist, Zahnverfärbungen nicht mehr zu bekämpfen, sondern gleichsam spielerisch mit ihnen umzugehen und sie als willkommenen Verbündeten einzusetzen, um ein Gesamtergebnis mit natürlicher Ästhetik zu erzielen. Es ist somit äußerst wichtig, den vestibulären Zahnschmelz weitestgehend zu erhalten, um die darunter liegende Verfärbung einzudämmen.
Präparationen
Nach den modernen Regeln für die Präparation von Veneers sollte der Behandler Silikonschlüssel verwenden. Diese helfen bei der Reduktion in horizontaler und sagittaler Richtung und sorgen dabei für die Homothetie bzw. identische Abbildung der Reduktion gegenüber der endgültigen Wiederherstellung. Dank des Silikonschlüssels werden Fehlerquellen deutlich vermieden und der Zahntechniker hat die Gewähr, die für die Fertigung der Restauration erforderlichen Dicken umzusetzen. In diesem Fall handelt es sich um Präparationen in der Größenordnung von 0,5 mm (Abb. 4, 5 und 6). Grundvoraussetzung für das Gelingen eines solchen Falles ist selbstverständlich die Bestimmung der Stumpffarbe, um diese in die Planung mit einzubeziehen und ein ästhetisches Ergebnis zu erzielen (Abb. 7).
2. Laborarbeit
Ziel einer qualitativ hochwertigen Teamarbeit ist es, den ordnungsgemäßen Ablauf der verschiedenen Behandlungsschritte zu vereinfachen. Daher ist es wichtig, zwischen Anfang und Ende der Behandlung für eine entsprechende Kontinuität zu sorgen:
- Psychologische Kontinuität für den Patienten, d.h. ein sanfter Übergang vom Mock-up über die Provisorien bis hin zum Befestigen der endgültigen Restaurationen, sodass sich der Patient allmählich an sein neues Lächeln gewöhnen kann.
- Kontinuität für den Behandler, der sich bei den Präparationen an der ästhetischen Wiederherstellung orientieren kann.
- Kontinuität für den Zahntechniker, der innerhalb eines gut definierten Arbeitsrahmens für die ästhetische Wiederherstellung Wax-ups und Restaurationen herstellen kann. Die am besten gelungenen Keramikarbeiten, die schöne natürliche Zähne naturgetreu nachbilden, wurden im Stadium des Wax-up zwangsläufig gut durchdacht.
Das Hauptaugenmerk sollte also auf der ästhetischen Wiederherstellung und der entsprechenden Sorgfalt im Detail liegen, da hiervon der reibungslose Ablauf der gesamten Behandlung abhängt. Diesem gemeinsamen Leitfaden folgen sowohl Behandler, Patienten als auch Zahntechniker. Im vorliegenden Fall wurden IPS e.max Press LT-Rohlinge ausgewählt, die mit IPS e.max Ceram Massen charakterisiert und verblendet wurden. Der Keramiker weiß um den geringen Abtrag und dass er nur über wenig Platz verfügt. Ein hochfestes Material wie IPS e.max Press Lithiumdisilikat eignet sich hier optimal. Der Techniker bevorzugt es in diesem Fall, eine gewisse Transluzenz des Pressgerüsts beizubehalten und sich der Verblendung zu bedienen, um die Helligkeit mit dem geschichteten Schmelz zu erhöhen. Die abdeckende Wirkung der Sättigung wird also mit dem hellen und damit opakeren Schmelz erreicht. Nur in den Bereichen, in denen die Verblendung sehr, sehr dünn sein wird, wird die Farbe der Präparationen schwach durchscheinen. Die gepressten LT-Gerüste sind 0,3 mm dick. In den dünnsten Bereichen beträgt die Verblendung also 0,2 mm. Die ganze Schwierigkeit der Verblendung liegt in den inzisalen Dritteln der Zähne, der detaillierten Dentinstruktur, den subtilen Effekten, den Absorptionsbereichen, der „opaleszenten“ Transluzenz und dem Halo-Effekt des freien Randes. Wenn man nur über eine geringe Schichtstärke verfügt, ist es ratsam, die mit den IPS e.max Ceram Essence-Massen erzielte Farbe bereits mit dem Malfarbenbrand zu kontrollieren. Nur 2 Zehntelmillimeter Verblendung ermöglichen keine Farb- und Sättigungskorrektur.
Bei der Verblendung im zervikalen Drittel und im mittleren Drittel haben wir in nur einer dünnen Schicht die Masse Deep Dentin B1 verwendet. In den proximalen Winkeln haben wir vertikale Segmente mit Opal Effect 1 platziert. Zwischen den proximalen Segmenten haben wir ein transluzenteres Dentin aufgetragen, das entsättigte Dentin B1 plus 50 % neutrales Dentin. Auf dem freien Drittel wurde vorsichtig eine Mischung von Mamelonmassen (MM light plus ein Drittel MM yellow-orange) platziert. Unter diesen Mamelonmassen haben wir eine Masse aufgetragen, die wir als Absorptionsmasse bezeichnen: eine violette Masse (Opal Effect violet) plus 50 % Impulse Transpa brown-grey. Bis hierhin erfolgt die Verblendung mit einer geringen Schichtstärke. Darin besteht die ganze Schwierigkeit dieser Art von Arbeit. Zum Schluss haben wir – und das ist sehr wichtig – auf alle Veneers die helle und dichtere Masse Opal Effect 4 platziert. Wir haben die morphologischen Besonderheiten ausgenutzt, um im Bereich der proximalen Höcker mehr von dieser Masse aufzutragen. Wenn wir ein Verhältnis angeben wollen, dann stellen alle ersten Massen ein Drittel der Schichtstärke und Opal Effect 4 zwei Drittel der Verblendung dar (Abb. 8).
Die Studie der Formen ist von entscheidender Bedeutung. Die Studienmodelle sind, bevor sie beschliffen werden, wertvolle Orientierungshilfen. In diesem Fall muss der Keramiker die Formen reproduzieren und ihnen folgen, um dem Morphotyp des Patienten Rechnung zu tragen. Dafür verwenden wir die Technik des zweifarbigen Stifts, um schnell die präzisesten Formen herzustellen (Abb. 9). Schließlich tragen die Nachbildung der Oberflächenbeschaffenheit und das mechanische Polieren der Oberfläche in hohem Maße zur natürlichen Integration der Veneers im Mund bei (Abb. 10).
3. Befestigung der Restaurationen
Das Befestigen der Restaurationen ist die wichtigste Voraussetzung für ihre Langlebigkeit. Andererseits ist sie gleichsam für viele Behandler angstbehaftet, die aufgrund früherer Komplikationen (Klebetechnik, Arbeitsbereich, Wahl von Haftvermittler oder Befestigungsmaterial, Ablösung, postoperative Empfindlichkeit usw.) beunruhigt sind.
Einpassen der Restaurationen:
- mechanisch: Passung bzw. Passgenauigkeit sind von entscheidender Bedeutung für die Langlebigkeit der Restauration. Diese Anforderung erfüllt IPS e.max mit seinen Präzisionswerten (50 Mikrometer) perfekt.
- ästhetisch: Dieser Schritt betrifft aufgrund der ästhetischen Auswirkungen besonders Restaurationen im Frontzahnbereich. Mithilfe von Try-In-Pasten auf Glycerinbasis kann daher die endgültige Kolorimetrie der platzierten Restauration simuliert werden. Auch geben sie dem Behandler die Möglichkeit, den am besten passenden Farbton (Variolink II) oder die optimale Helligkeit und Fluoreszenz (Variolink Veneer) auszuwählen (Abb. 11).
Auswahl des Haftvermittlers:
Teilrestaurationen bieten einen wesentlichen biologischen Vorteil. Sie sind daher völlig frei von den „mechanistischen“ Dogmen herkömmlicher Prothesen. Die Retention dieser Restaurationen basiert somit gänzlich auf der Stärke der Befestigung. Daher sollten Adhäsivsysteme mit vorheriger Ätzung weiterhin verwendet werden, da sie die besten Adhäsionskräfte bieten (Excite DSC).
Befestigungsmaterialien:
Heutzutage sollte aus Gründen der Ästhetik, der leichten Handhabung und einer langfristig besseren optischen Stabilität (im Gegensatz zu chemisch härtenden Pasten) vorzugsweise auf lichthärtende Befestigungskomposite zurückgegriffen werden. Aufgrund der geringen Dicke (0,5 mm) der herkömmlichen Frontzahn-Teilrestaurationen sollte der Behandler überwiegend sehr helle Pasten verwenden, die die Optik unterstützen. Die Verwendung transparenter Massen dagegen kann katastrophale Auswirkungen haben, wenn sich am Ende eine gräuliche Färbung ergibt. Es sind daher häufig sehr helle Pasten (z.B. Variolink Veneer Value +2) erforderlich, um die letztendliche Helligkeit der Restauration zu optimieren.
Arbeitsbereich:
Seit mehr als zehn Jahren empfehlen wir grundsätzlich die Verwendung eines einzelnen Kofferdams – und zwar aus den folgenden Gründen:
- Die vollständige proximale Platzierung der Restauration wird durch die geringe Dicke des modernen Kofferdams nicht behindert.
- Die Konzentration liegt ganz auf dem zu behandelnden Zahn, statt auf sekundären Elementen (Speichel, Wange, Zunge, Watterolle usw.)
- Präparationen können gestrahlt werden, um die Befestigung zu optimieren (ohne dass der Patient Aluminiumoxid einatmen muss, was gesundheitsschädlich sein kann)
- Überschüssiges Befestigungsmaterial kann leichter entfernt werden
Das eigentliche Verkleben:
Nach Vorbereitung des Arbeitsbereiches (wozu Zahnseide verwendet wird, damit der unter dem Flügel der Klammer platzierte Kofferdam den Kontaktpunkt passieren kann) wird der Zahn mit Aluminiumoxid (Körnung zwischen 30 und 50 Mikrometer) gestrahlt. Hierdurch wird der Haftvermittler entfernt, mit dem die Provisorien verklebt wurden. Anschließend erfolgt eine Ätzung mit 37%iger Orthophosphorsäure. Im nächsten Schritt werden innerhalb von 40 Sekunden Primer und Haftvermittler appliziert. Danach wird die Oberfläche getrocknet, was zur Optimierung der Grenzflächen wiederholt werden kann. Darauf folgt eine Lichthärtung von circa 1 Minute (Abb. 12). Die Restauration wird 20 Sekunden lang mit Flusssäure geätzt, sorgfältig gespült, silanisiert und schließlich mit einem nicht lichtgehärteten Haftvermittler überzogen. Danach wird das Befestigungskomposit im Inneren des Veneers aufgetragen und dieses platziert. Darauffolgend wird überschüssiges Kompositmaterial entfernt, gefolgt von einer 40-sekündigen Belichtung jeder Seite mit sehr hoher Intensität (über 100 mW/cm 2; Lampe Bluephase 20i). Die Verwendung von Oxyguard, das die vor dem Luftsauerstoff geschützte, völlige Polymerisation der ersten Schicht des Befestigungsmaterials ermöglichen soll, ist nur dann zu empfehlen, wenn nicht beschliffen werden muss. Dies ist durch das Entfernen überschüssigen Haftvermittlers jedoch nicht der Fall.
Feinbearbeitung der Restaurationen:
Nach dem Entfernen des Arbeitsbereiches erfolgt die zervikale Feinbearbeitung mithilfe einer gezogenen Skalpellklinge Nr. 12, um die Oberflächenglasur der Keramik nicht zu beeinträchtigen. Die Okklusion wird in statischer und dynamischer Position geprüft, um eine gute funktionelle Integration der Rehabilitation zu gewährleisten. Die Verbindung aus Restauration, Befestigungsmaterial und Zahn bildet sozusagen einen „Kompositverbund“, dessen Widerstandsfähigkeit derjenigen eines natürlichen Zahns nahe kommt.
Schlussfolgerung
Die Herstellung einer ästhetischen Rehabilitation gestaltet sich aufgrund verschiedener Fehlerquellen nach wie vor kompliziert. Durch ein präzises Behandlungsprotokoll, das eine reproduzierbare Methode mit präzisen und verlässlichen Kontrollinstrumenten enthält, ist eine vorhersehbare und wiederholbare Behandlung gewährleistet. Somit ist der behandelnde Zahnarzt zufrieden, da er nicht improvisieren muss. Der Patient wiederum ist zufrieden, weil sich das Endergebnis direkt aus der ästhetischen Wiederherstellung und den Provisorien ableiten lässt. Der Zahntechniker muss innerhalb des gemeinsam abgesteckten Arbeitsrahmens nur noch sein handwerkliches Können anbringen. IPS e.max Lithiumdisilikat kommt den an der Behandlung Beteiligten dabei in idealer Form entgegen – und zwar hinsichtlich der folgenden Aspekte:
- durch optimale Ästhetik für den Patienten, in der sich Fluoreszenz und Helligkeit verbinden
- die Qualität der Befestigungskomponenten vereinfacht das Verfahren für den Zahnarzt im Hinblick auf die Positionierung der Grenzen im supragingivalen Bereich
- Passgenauigkeit der Gerüste und zügige Schichtung durch den Zahntechniker.
So erlangt der Patient ein Stück Selbstbewusstsein zurück, wodurch sich sein Wohlbefinden erhöht (Abb. 13 bis 17).
Autoren: Dr. Stefen Koubi, Gérald Ubassy
 
                             
                                                                                     
                 
                 
                 
                 
                 
                 
                 
                 
                 
                 
                 
                 
                 
                 
                 
                 
                 
                                 
                                 
                                 
                         
                         
                         
                         
                        