Endodontologie 27.02.2018
Die digitale Volumentomografie in der Endodontie
share
Die Einführung der digitalen (dentalen) Volumentomografie in die tägliche Praxis hat in der Zahnmedizin und besonders bei der endodontischen Behandlung die Diagnose und Therapie entscheidend verbessert. Die DVT kann das Vorhandensein und die Lokalisation von periapikalen Veränderungen und Wurzelresorptionen genauer und früher identifizieren als die standardmäßige Zahnfilm- oder die Panoramaschichtaufnahme. Dadurch können die seit Jahrzehnten bekannten Limitationen des periapikalen Röntgenbildes überwunden werden.
Im Laufe der letzten zwei Jahrzehnte haben sich die Behandlungskonzepte in der Endodontie enorm verbessert. Die Einführung des Operationsmikroskopes, elektrometrischer Längenbestimmung, maschineller Aufbereitung mit flexiblen Feilensystemen und thermoplastischer Wurzelfülltechniken haben zu deutlich erhöhten Erfolgsprognosen geführt, und als Folge hat die Endodontie heute einen extrem gestiegenen Stellenwert in der Zahnerhaltung.
Das Röntgenbild ist ein wichtiger Bestandteil der endodontischen Behandlung. Allerdings weiß man schon seit über 50 Jahren, dass periapikale Röntgenbilder auch ihre Grenzen haben. Die klassische Studie von Bender und Seltzer (1961) hat die Tatsache hervorgehoben, dass periapikale Läsionen, welche auf den spongiösen Knochen begrenzt sind, nicht eindeutig erkennbar sind.3 In der Literatur finden sich zahlreiche Studien, die diesen Sachverhalt aufzeigen.2,3,12,14 Durch die Einführung der DVT in die Zahnheilkunde im Jahre 1998 hat sich auch in der Endodontie die Möglichkeit ergeben, die Diagnostik entscheidend zu verbessern, mit einer, im Vergleich zur Computertomografie, deutlich genaueren Bildgebung bei gleichzeitig reduzierter Strahlenbelastung.12
Trotz der diagnostischen Vorteile, die auch immer mit einer höheren Strahlenexposition – verglichen mit Zahnfilm- oder Panoramaschichtaufnahme – einhergehen, sollten die rechtfertigende Indikation und das ALARA-Prinzip (as low as reasonably achievable) beachtet werden, um die Strahlenbelastung für die Patienten so gering wie möglich zu halten.
Grenzen des periapikalen Röntgenbildes
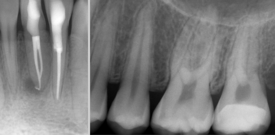
Beim periapikalen Röntgenbild erfolgt eine Komprimierung des dreidimensionalen Objekts auf ein zweidimensionales Bild, auf welchem der Betrachter gedanklich die dritte Dimension wieder herstellen muss. Bukkal und oral befindliche Strukturen überlagern das eigentliche Objekt und verändern dadurch die Aussagekraft des Bildes. Der Kontrast zwischen der Läsion und seiner Umgebung ist nicht eindeutig erkennbar (Abb. 1 und 2).2,15
Aufgrund dessen kann beim konventionellen Röntgenbild eine apikale Läsion nicht eindeutig diagnostiziert werden. Dies gilt sowohl bei der präoperativen Diagnostik als auch bei der Verlaufskontrolle und den damit verbundenen Erfolgsstatistiken. Hier ist das DVT der Zahnfilmaufnahme signifikant überlegen, was in zahlreichen Studien bestätigt wurde.7,9,13,15,19 Die Beurteilung der periapikalen Region ist aber für die Diagnose und die Therapie bei endodontischen Eingriffen von entscheidender Bedeutung.
Gleiches gilt auch bei der Planung einer apikalchirurgischen Behandlung. Die Lagebeziehungen zwischen Läsion und Nervkanal bzw. Kieferhöhle, die Menge an kortikalem und spongiösem Knochen, die Knochendicke sowie das dreidimensionale Ausmaß der Läsion sind von besonderer Bedeutung. Auch hier ist die DVT dem periapikalen Röntgenbild überlegen.4,16,19 Dies kann in vielen Fällen nach Anfertigung des DVTs zu einer Veränderung der vor dem DVT erstellten Diagnose oder Therapieplanung führen. Die DVT hat somit eine signifikante Auswirkung auf die Diagnosestellung und Therapieentscheidung in der Endodontie.10,11,17
Beim Recall wird mithilfe eines periapikalen Röntgenbildes die Heilung einer Wurzelkanalbehandlung beurteilt. Hierbei kommt es bei der Bewertung der Rückbildung der Läsion zu einer größeren Streuung von falsch positiven Aussagen als beim DVT.6 Das bedeutet, dass eine hohe Prozentzahl an Fällen, die röntgenologisch unauffällig sind, in der DVT-Aufnahme eine apikale Parodontitis aufzeigen. Daraus resultiert wiederum, dass die Erfolgsraten der Wurzelkanalbehandlungen durch Verwendung der Volumentomografie und strikteren Evaluationskriterien in Langzeitstudien neu bewertet werden sollten.8,14,20
Indikationen in der Endodontie
Apikale Veränderungen und Läsionen
Die Abbildungen 3 und 4 zeigen einen klinischen Fall im Röntgenbild und DVT. Der Patient wurde zur endodontischen Behandlung an Zahn 25 überwiesen. Im DVT konnte auch bei Zahn 24 eine apikale Läsion diagnostiziert werden. Eine periapikale Knochendestruktion in Verbindung mit einer endodontischen Infektion kann mithilfe der DVT diagnostiziert werden, noch bevor dies auf einer Zahnfilmaufnahme erkennbar ist.5,7,9,13,15
Wurzelfrakturen
Klinisch kann eine vertikale Wurzelfraktur an einer isolierten, dünnen und tiefen Knochentasche diagnostiziert werden.15 Röntgenologisch sind vertikale Wurzelfrakturen auch im DVT nicht eindeutig zu bestimmen. Hingegen sind horizontale Wurzelfrakturen im DVT eindeutig zu bestimmen, während sie beim konventionellen Röntgenbild nur sichtbar sind, wenn der Röntgenstrahl die Frakturlinie direkt oder in einem Winkel von ± 4 Grad trifft.15 Die Abbildungen 5 und 6 zeigen den Fall eines Patienten nach einem Fahrradunfall.
Perforationen und Stiftperforationen
Dieser Patient wurde zur Revision des Zahnes 45 überwiesen. Eine auf dem konventionellen Röntgenbild nicht erkennbare Perforation konnte auf der DVT-Aufnahme klar identifiziert werden. Dies ist häufig projektionsbedingt der Fall, ist aber für die Behandlung und die Prognose des Zahnes von enormer Bedeutung (Abb. 7 und 8).
Komplexe Wurzelanatomie und Morphologie
Konventionelle Röntgenbilder sind häufig nicht in der Lage, die Anzahl der Wurzelkanäle eindeutig zu bestimmen. Das Nichterkennen und Nichtbehandeln zusätzlicher Wurzeln oder Kanäle kann ein Grund für Misserfolge in der Endodontie sein.13 Neben den lingualen Kanälen bzw. Wurzeln im Unterkiefer-Front- und Prämolarenbereich ist häufig der zweite mesiobukkale Kanal der oberen Molaren für einen erneuten Behandlungsbedarf verantwortlich. Dieser Fall wurde, nach missglückter endodontischer Behandlung der Zähne 31 und 32, in unsere Praxis überwiesen. In Abbildung 9 sind die erfolglose Trepanation an Zahn 31 und das abgebrochene Instrument an Zahn 32 zu erkennen. Im DVT (Abb. 10) zeigt sich an Zahn 32 neben dem abgebrochenen Instrument auch eine Perforation nach bukkal. In Abbildung 11 ist die Aufteilung des Nervkanals bei Zahn 31 in einen bukkalen und lingualen Teil ersichtlich. Den Abschluss der Behandlung nach Entfernung des frakturierten Instruments und Perforationsdeckung mit biokeramischem Material zeigt Abbildung 12.
Der besondere Fall
Dieser 18-jährige Patient wurde aufgrund starker Beschwerden am Zahn 27 zur Anfertigung eines DVTs in unsere Praxis überwiesen. Dem Patienten wurden ein Jahr zuvor beim MKG-Chirurgen alle Weisheitszähne durch Osteotomie entfernt. Seitdem klagte er über eine Empfindlichkeit im Bereich des füllungs- und kariesfreien Zahnes 27. Abbildung 13 zeigt das konventionelle Röntgenbild, die Abbildungen 14 und 15 zwei Ebenen im DVT. Hierbei wird ersichtlich, dass bei der Osteotomie des Zahnes 28 versehentlich die distobukkale Wurzel des Zahnes 27 amputiert wurde.
Grenzen der DVT
Die digitale Volumentomografie ist dem konventionellen Röntgenbild in vielen Bereichen überlegen und kann Diagnostik, Therapieplanung und prognostische Einschätzung in vielen Fällen verändern.10,11 Die Grenzen der DVT liegen hauptsächlich im Auftreten von Artefakten begründet; es gibt physikalische, gerätebedingte und patientenverursachte.1,18 Restaurationen, Wurzelkanalfüllungen, metallische Stifte, Kronen und Implantate können in manchen Fällen die Auswertung einer DVT-Aufnahme erschweren, manchmal vollkommen unmöglich machen.15 Es ist zu erwähnen, dass die gerätebedingten Artefakte in den letzten Jahren durch die Weiterentwicklungen der DVT-Technologie stark reduziert werden konnten.
Fazit
Die dreidimensionale Bildgebung überwindet die Limitationen der konventionellen Röntgentechnik und ist eine vorteilhafte Ergänzung der zahnärztlichen Routine. Dadurch besitzt die DVT besonders in der Endodontie ein hohes Einsatzpotenzial. Sie wird in absehbarer Zeit ihren momentan erreichten Stellenwert mit Sicherheit noch weiter ausbauen. Dies gilt nicht nur für die Endodontie, sondern für alle Bereiche der Zahnheilkunde. Die Vorteile gegenüber dem zweidimensionalen Röntgen und der Computertomografie wurden in zahlreichen Studien belegt. Es sollten trotzdem in den kommenden Jahren noch mehr wissenschaftliche Studien mit hoher Aussagekraft durchgeführt werden, um die Wertigkeit und den Nutzen der DVT für die Zahnheilkunde weiter zu bestätigen. Dennoch darf nicht vergessen werden, dass die effektive Strahlenbelastung bei der DVT höher ist als beim konventionellen Röntgen und der Vorteil einer DVT-Aufnahme das potenzielle Risiko für den Patienten überwiegen sollte.
Die vollständige Literaturliste gibt es hier.
Der Beitrag ist im Endodontie Journal 4/2017 erschienen.
 
                             
                                         
                                                                     
                 
                 
                 
                 
                 
                 
                 
                 
                 
                 
                 
                 
                 
                 
                 
                                 
                                 
                                 
                         
                         
                         
                         
                        