Endodontologie 20.05.2011

Regenerative Endodontie



Regenerative Endodontie

Die Revaskularisation von devitalen unreifen Zähnen

Bei der Behandlung von unreifen, nekrotischen Zähnen ist es zu einem Paradigmawechsel gekommen. Die regenerative, endodontische Behandlung solcher Zähne stützt sich auf die Erkenntnisse aus der biobasierten, regenerativen Forschung, um solche Zähne weiter reifen lassen zu können. Ergebnisse der Grundlagenforschung lassen vermuten, dass Stamm- und Vorläuferzellen aus Pulparesten, dem Periodont und der apikalen Papille zur Wiederbesiedlung von sterilisierten Pulpahöhlen beitragen können.


Avulsionen unreifer Frontzähne mit offenen Apizes und noch dünnen Wurzelwänden verlangen nach einer möglichst schnellen Replantation.1,2 Auch wenn solche Replantationen unter optimalen Bedingungen ablaufen, werden derart traumatisierte Zähne häufig nach der Abheilung Pulpanekrosen aufweisen.2 In ungünstigeren Fällen kommt es auch zu gangränösen Infektionen, welche dann zu Abszessen und Fistelungen führen.7,22,32 Optimale Replantationstechniken und schnelle Replantationen verringern die Gefahr von Infektionen.3 Ebenso ist ein offener Apex von über 2mm Durchmesser von Vorteil, denn dadurch erhöht sich die Chance auf eine erfolgreiche Revaskularisation und Pulparegeneration deutlich.3,32 Wenn es zum Absterben des Pulpagewebes gekommen war, waren bisher die Aussichten auf eine erfolgreiche endodontische Behandlung unreifer Frontzähne eher schlecht. In den letzten Jahren jedoch wurde in einer ganzen Serie von Fallberichten gezeigt, dass es möglich ist, das Wurzelwachstum wieder anzuregen und auch vitales Pulpagewebe bei infizierten, devitalen unreifen Zähnen zu generieren.4,6,32 Dies gelang auch bei akut gangränösen, fistelnden, apikal periodontitischen Zähnen.8,9,32

 

Mit dem Begriff „Regenerative Endodontie" werden alle damit verbundenen Prozesse beschrieben, wie zum Beispiel weiteres Wurzelwachstum, Revaskularisation des Wurzelkanals, Zunahme der Wurzelwandstärke und die Bildung eines mehr oder weniger physiologischen Apex.18,19 Es kann hier von einem „Paradigmawechsel" gesprochen werden, wenn unreife devitale Zähne nicht mehr wurzelgefüllt, sondern regenerativ endodontisch zum Wachstum angeregt werden.11,12,19,32,35

Das Behandlungsvorgehen für unreife devitale Wurzel­kanäle war traditionell der Versuch einer Wurzelfüllung.3,12 Erste Versuche einer Apexifikation wurden mit wiederholten Kalziumhydroxid-Einlagen unternommen. Durch diese Einlagen erhoffte man sich eine Elimination der infektiösen Keime aus den Wurzelkanälen und die Bildung einer wie auch immer gearteten, apikalen Barriere der offenen Wurzel. Solche zeitraubende Prozeduren ergaben häufig Behandlungszeiten von bis zu über einem Jahr.1,3

Eine weitere Behandlungsmöglichkeit ist das Setzen von MTA-Plugs (Stopfen) direkt an den offenen Wurzelspitzen. Diese Plugs dichten die Kanäle zum apikalen Weichgewebe hin ab und können gleichzeitig der folgenden Wurzelfüllung als apikale Barrieren dienen.13 Apikale MTA-Plugs sind zwar schwierig zu setzen, haben aber den Vorteil, dass die Behandlungen relativ schnell abgeschlossen werden können. Der Nachteil der Kalziumhydroxid- und MTA-Techniken ist jedoch, dass das Wurzelwachstum endgültig gestoppt wird und die Zähne mit ihren dünnen Dentinwänden in einem unreifen und stark frakturgefährdeten Zustand verbleiben.12,13,19 Lange Einlagezeiten von Kalziumhydroxid setzen überdies die Frakturresistenz des Dentins deutlich herab und Verluste durch Frakturen solcher Art behandelter Zähne sind beinahe die Regel.2,3

Regenerative endodontologische Behandlungen beginnen mit einer Desinfektion der infizierten Pulpahöhle. Ausgedehnte Spülungen mit NaOCl haben einen guten desinfizierenden und gewebsauflösenden Effekt.11,12,20,33 Es sind Fälle beschrieben, bei denen nur durch NaOCl-Spülungen und einem anschließenden Kronenverschluss eine Pulparegeneration erreicht werden konnte.29

Oft sind jedoch die pathogenen Erreger in den Pulpahöhlen mit NaOCl alleine nicht zu beseitigen. Besonders bei längere Zeit schon gangränösen Zähnen sind die Erreger in die Dentinwände eingedrungen.29,32 Eine Analyse der Erreger bei infizierten Pulpen ermöglicht den Einsatz von keimspezifisch wirkenden Antibiotika zur Desinfektion von Pulpahöhlen.27,31 Ein solches Vorgehen wurde Ende des letzten Jahrtausends für infizierte Milchzahnpulpen vorgeschlagen.17,27 Bei diesem Verfahren werden die Erreger in den Pulpahöhlen mit einer Mischung aus drei, dem spezifischen Erregerspektrum angepassten Antibiotika (Tri-Antibiotikapasten) eliminiert. Die für dieses Vorgehen verwendete Antibiotikamischung ist eine Kombination von Ciprofloxacin, Metronidazol und Minocycline. Diese Mischung hat sich im klinischen Einsatz auch bei Milch- und bleibenden Zähnen als sehr wirkungsvoll bei der Elimination von Keimen in den infizierten Pulpahöhlen erwiesen.31,32,33,36 Aufgrund der starken Tendenz, das behandelte Dentin grünlich zu verfärben, wird das zur Wirkstoffklasse der Tetrazykline gehörende Minocyclin seit einiger Zeit auch durch Cefuroxim oder auch Amoxycillin ersetzt.21,26 Sato et al.27 haben in einer Studie zu der Wirksamkeit verschiedener Antibiotika gezeigt, dass Amoxycillin ein sehr ähnliches Wirkungsspektrum wie Minocyclin hat. Es gibt aber auch Berichte von Verfärbungen bei der Verwendung von Amoxycillin in Tri-Antibiotikapasten.20,25 Da Amoxycillin zur Gruppe der b-Lactamat-Antibiotika gehört, ist bei der großen Zahl der Penizillinallergien von einer Verwendung in der Pulpahöhle – welche Sensibilisierungen auslösen kann – abzusehen. Die Verwendung von Cefuroxim anstelle des verfärbenden Minocyclin erscheint zurzeit der ­beste Ersatz zu sein.12,34,35

Wird das Tri-Antibiotikapulver statt mit Wasser mit Propylenglykol angemischt, ermöglicht dies eine deutlich tiefere Penetration der antibiotischen Wirkstoffe in das bakterienbelastete Dentin. Dem hygroskopischen Propylenglykol wird zur Stabilisierung zudem fettendes Macrogol beigemischt.10

Nach erfolgter Desinfektion der Pulpahöhlen und Ausspülen der AB-Mischung mittels NaOCl wird durch mechanische Reizung des vitalen apikalen Gewebes eine Blutung in die Pulpahöhle provoziert. Diese Einblutung in den Kanal wird ca. 3–4mm unter der Schmelz-Zement-Grenze mittels Wattepellets gestoppt. Ein so gebildetes Blutkoagulum wird mit einem MTA- oder PZ-Plug verschlossen.11,15,25,32 Besonders vorteilhaft kommen dann die sehr gut dichtenden und bioverträglichen Eigenschaften des MTA/PZ zum Tragen. PZ hat gegenüber dem MTA bei Frontzähnen den Vorteil, weniger Verfärbungen zu verursachen.5,11 Aus dem so generierten Blutkoagulum entsteht neues intrakanaläres Ersatzgewebe. Das Koagulum dient dem einwachsenden, mehr dem Zement als dem Dentin gleichenden Gewebe als Leitstruktur. Dieses Ersatzgewebe kann zu weiterem Dickenwachstum der Dentinwände, einem Zahnlängenwachstum und einer Apexbildung an der Wurzelspitze führen.11 Der folgende Fallbericht beschreibt das Vorgehen bei einer regenerativen endodontischen Behandlung mit Tri-Antibiotikapaste (Mischung von Ciprofloxacin, Metronidazol, Cefuroxim), welche als Medikament zur Desinfektion einer devitalen, infizierten Pulpa eingesetzt werden.

Fallbericht

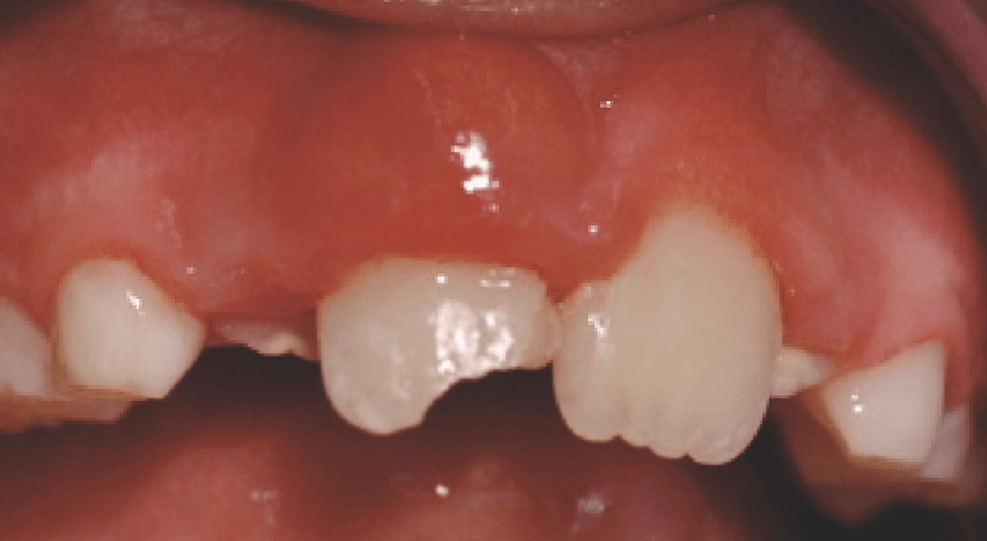
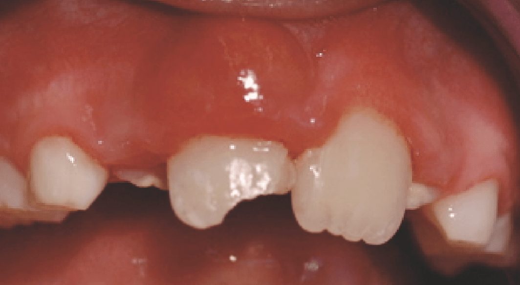
Ein Junge im Alter von sieben Jahren und vier Monaten erlitt mit seinem Fahrrad einen Unfall mit Traumafolgen im Gesicht. Neben Schürfungen an Lippe und Kinn hatte der Junge am Zahn 11 eine Schmelz-Dentin-Fraktur ohne Pulpabeteiligung und am Zahn 21 eine Dislokationsverletzung mit Verlagerung des Zahnes nach koronal. Bereits eine Stunde später konnte bei einer ­Kinderzahnärztin eine Notfallversorgung vorgenommen werden. Die allgemeinmedizinische Krankengeschichte des Patienten war unauffällig und eine früher durchgeführte Tetanusprophylaxe war noch wirksam. Zu Beginn der Notfallbehandlung wurden die Zähne 11 und 21 mittels Lokalanästhesie mit 1,2ml Ultracain® (Sanofi-Aventis, Paris, Frankreich) versorgt. Nach einer ausreichenden Wartezeit wurde der Zahn 21 mit sanftem Fingerdruck in seine ursprüngliche Position reponiert. Mit der Säure-Ätztechnik (UltraEtch, Ultradent, South Jordan, USA; Tetric-Flow, IvovlarVivadent, Schaan, Liechtenstein) und einer gestanzten Titanfolie (TTS-Schiene, Medartis, Basel, Schweiz) wurde der Zahn 21 geschient. In den Schienungsverband wurden die Zähne 53, 11, 21, 63, 64 einbezogen. Da zum Zeitpunkt des Unfalls die Zähne 12 und 22 gerade im Durchbruch waren, konnten diese Zähne nicht in die Schienung mit einbezogen werden. Die Schmelz-Dentin-Wunde am Zahn 11 wurde nicht versorgt. Der Patient wurde begleitend mit Hygiene- und Verhaltensinformationen entlassen. Eine Unfallnachkontrolle am nächsten Tag zeigte eine normale Wundheilung. Nach zehn Tagen wurde die Schiene entfernt. Die Wundheilung war weiterhin normal. Bei einer Kontrolle weitere vier Wochen später bemerkte die behandelnde Zahnärztin eine erhöhte Zahnbeweglichkeit sowie eine Fistelbildung bukkal an Zahn 11. Es erfolgte eine Überweisung an die Station für Kinderzahnmedizin der Universität Zürich.

1. Nachkontrolle

Bei der ersten Kontrolle ergab sich hier folgendes Bild: Der Zahn 21 war normal beweglich und zeigte keinerlei Anzeichen von Unfallfolgen. Der Zahn 11 zeigte eine Schmelz-Dentin-Fraktur, stark erhöhte Zahnbeweglichkeit sowie einen Fistelausführungsgang bukkal des Zahnes 11. Ein bereits durch die überweisende Kinderzahnärztin angefertigtes Röntgenbild zeigte beide Frontzähne mit weit offenen Wurzelverhältnissen, großen Pulpahöhlen und dünnen Wurzeldentinwänden. Apikal des Zahnes 11 ist auf dem Röntgenbild eine osteo­lytische Zone zu erkennen.

Die Diagnose war eine Pulpanekrose bei Zahn 11 mit infiziertem Wurzelkanal, einer damit verbundenen chronisch periapikalen Entzündung sowie einer Fistelbildung an der Grenze der beweglichen Gingiva apikal von Zahn 11.
Als Ursache dieser Erkrankung steht das vor sieben Wochen erlittene Trauma im Vordergrund. Nach Abwägen der Vor- und Nachteile erscheint eine regenerative, en­dodontische Therapie von Zahn 11 am Erfolg versprechendsten. Die Eltern wurden über die Behandlungsmöglichkeiten aufgeklärt und stimmten diesem Behandlungsweg zu.

Therapie

Der Zahn 11 wurde mit Kofferdam isoliert. Das Arbeitsgebiet und das umgebende Kofferdamfeld wird jeweils vor den weiteren Behandlungsschritten mit 1% NaOCl-Lösung desinfiziert. Mithilfe einer Lupenvergrößerung wird beim Zahn 11 ein Arbeitszugang zum Pulpakavum präpariert. Es konnte ein einziger großlumiger Wurzelkanal identifiziert werden. Aus dem Kanal ergoss sich nach der Eröffnung ein blutiges, purulentes Exsudat. Der Kanal wurde dann mit 60ml 1% NaOCl-Lösung gespült. Die abgerundete, nur seitlich geöffnete Spülnadel (HAWE Irrigation Probe, Gauge 23, Hawe Neos SA, Gentillino, Schweiz) wurde dabei um 2mm weniger als die auf dem Ausgangsröntgenbild gemessene Wurzellänge eingeführt. Es wurde strikt darauf geachtet, beim Spülen keinen Druck aufzubauen, damit keine Spüllösung über den Apex gepresst wird. Danach wurde das Kanallumen mit sterilen Papierspitzen vorsichtig getrocknet. Die Antibiotikamischung (20mg Ciprofloxacin, 40mg Cefuroxim, 40mg Metronidazol, Macrogol/Propylenglykol, von der Kantonsapotheke Zürich hergestellt) wurde vorbereitet (gemäß Anleitung, Kapselpulver und Tubeninhalt zu einer dicken Paste angemischt). Diese Paste wurde vorsichtig mit ­einem Lentulo in den Wurzelkanal bis ca. 3mm vor den Apex einrotiert. Nach einer Säuberung der Krone wurde der Zahn mit 3mm Cavit (ESPE, Seefeld, Deutschland) verschlossen.

2. Nachkontrolle

Die nächste Kontrolle fand drei Wochen nach der ersten Einlage statt. Der Patient berichtete, dass er nach der ­Behandlung keine Beschwerden bemerkt hatte. Klinisch waren zum Zeitpunkt der Nachkontrolle die pathologische Beweglichkeit sowie die Fistelmündung verschwunden. Der Gingivaverlauf um den Zahn 11 herum war entzündungsfrei und normal gerötet.
Nach einer Anästhesie wurde der Zahn wieder mit Kofferdam isoliert und der provisorische Verschluss wurde entfernt. Die Pulpahöhle wurde sanft mit 30ml NaOCl gespült und dann getrocknet. Mit einem Nickel-Titan Handspreader (Gauge 25 Niti-Spreader, Dentsply Mailleffer, Ballaigues, Schweiz) wurde das apikale Gewebe über den offenen Apex hinaus mechanisch irritiert und eine Blutung provoziert. Die Irritation des Gewebes wurde sofort gestoppt, als Anzeichen einer Blutung bemerkt wurden. Mit sterilen ­Wattepellets wurde das aufsteigende Blut bei ca. 3mm unter der Schmelz-Zement-Grenze gestoppt. Der danach durch die Gerinnung entstehende Blutpfropf soll dann die Basis für ein biologisches Gerüst für die erhofften regenerativen Prozesse bilden. Nach einer Wartezeit von 15 Minuten wurde der Blutpfropf mit einem 3mm starken Stopfen weißen medizinischen Portlandzement (Medcem GmbH, Weinfelden Schweiz) verschlossen. Auf den noch feuchten Zement wurde ein steriles Kunststoffpellet gebracht und die Kavität mit Cavit versorgt.

Definitive Versorgung

Weitere drei Wochen später kam der Patient zur definitiven Versorgung des Zahns. Nach der Entfernung des provisorischen Füllmaterials und des Kunststoffpellets wurden die Schmelzränder finiert und mit der Säure-Ätz-Technik mit Komposit (Tetric®, IvovlarVivadent, Schaan, Liechtenstein) verschlossen sowie die frakturierte Stelle versorgt. Zum Schluss wurde noch ein Röntgenbild angefertigt. Die folgenden 18 Monate wurde der Zahn viermal nachkontrolliert. Während dieses gesamten Zeitraumes war der Patient beschwerdefrei. Klinisch konnten bereits zwei Monate nach dem Verschluss erste Sensitivitätszeichen ausgelöst werden. Diese blieben weiterhin eindeutig. Klopfschall, Beweglichkeit und Gingivaverlauf waren die ganze Zeit über unauffällig. Die Farbe des Zahnes war im Vergleich zum nicht behandelten Nachbarzahn etwas opaker. Die radiologischen Kontrollen zeigten eindeutige Zeichen von weiterer Wurzelreifung sowie einer Längenzunahme, einer Einengung des Kanallumens und der Bildung einer Wurzelspitze. Die periapikale Knochenläsion am Zahn 11 war in zwei Monaten ausgeheilt. 18 Monate posttherapeutisch konnte radiologisch keine Differenz zum nicht behandelten und spontan obliterierten Zahn 21 ausgemacht werden.

Diskussion

Bereits 1961 hatte Nygaard-Østby erste Untersuchungen zur regenerativen Endodontie unternommen.32 Die Ergebnisse führten aber nur in wenigen Fällen zu funktionsfähigen Pulpa-Dentin-Komplexen. Die gegenwärtige Forschung zur regenerativen Endodontie beschäftigt sich mit den verschiedensten Schwerpunkten: Wurzel­kanalrevaskularisation, postnatale Stammzellentherapie, Pulpaimplantationen, Proteingerüstimplantationen (scaffold implants), Gefäßbestandteilsinjektionen in die Pulpahöhle, dreidimensionales Cell-printing und Gene-Transfer-Methoden.32,37 Den Klinikern bleibt die Aufgabe, aus diesen, zum großen Teil noch im Versuchsstadium stehenden Methoden ein ­alltagstaugliches Verfahren auszuwählen. Zahlreiche Fallberichte über erfolgreiche, regenerative endodontische Behandlungen zeigen, dass es mit der oben skizzierten Methode zu einem grundlegenden Behandlungswechsel bei devitalen unreifen Zähnen gekommen ist. Hargreaves et al.15 weisen auf einige grundlegende Beobachtungen hin.
Erstens ist ein weit offener Apex eine physiologische Notwendigkeit zum Wiedereinwachsen des Gewebes.
Zweitens ist das jugendliche Alter eines Patienten Voraussetzung für die Existenz von Stammzellen in der Apexregion der Zähne.

Drittens erscheint es sehr wichtig, die Kanalwände nicht mechanisch zu bearbeiten. NaOCl scheint hierbei das ideale Spülmittel zu sein. Viertens sollte Ca(OH)2 unbedingt als Einlagemittel vermieden werden. Es herrscht Einigkeit in der Literatur, dass Ca(OH)2 im Wurzelkanal zelltoxisch auf die Stammzellen in der Apexregion und denen der apikalen Papille wirkt.15 In allen Studien, in welchen Ca(OH)2 zur Kanal­sterilisation verwendet wurde, fand kein Wurzeldentin-Dickenwachstum statt.15,32 Fünftens führen die provozierten Blutungen in die desinfizierte Pulpahöhle hinein zu Koageln, aus welchen wiederum Proteingerüste ­(protein scaffolts) entstehen. Diese wiederum sind die Basis zur gewebsstrukturierten Regeneration.14 Von vielen Autoren wird außerdem der koronale Verschluss der frisch behandelten Pulpahöhle mit MTA/PZ als weitere wesentliche Erfolgskomponente aufgeführt.4,9,12,25

All diese Fallberichte haben aber nicht schlüssig erklären können, was wirklich zu der Revaskularisation beziehungsweise zu der regenerativen Neuorganisation des Pulpagewebes geführt hat. Einige Autoren vermuteten Reste von Pulpazellen, welche im nekrotischen Pulparaum überlebt hatten.23,33,37 Aktuelle Studien haben im Tierversuch (Hundezähne) gezeigt, dass die Zellen, welche regeneratives Potenzial haben, vorwiegend aus den Parodontalligamenten stammen.12,37 Die regenerierten Strukturen haben histologisch auch einige Ähnlichkeit mit Zement und Dentin, mehr als mit Pulpagewebe. Die Zunahme der Dentinwandstärke erfolgte durch zementähnliche Ablagerungen (intrakanaläres Zement).32

Trotz dieser Wissenslücken zeugen die vielen Fallbeispiele von einer hohen Erfolgsrate bei solchen regenerativen endodontischen Behandlungen. Es gibt nur wenige Fallberichte, die neben den Erfolgen auch von Miss­erfolgen berichten. Jung et al.20 untersuchten neun nekrotische Zähne, bei denen mit NaOCl und Tri-Antibiotikapasten die Pulpahöhlen desinfiziert wurden. Bei vier dieser Zähne wurden vor dem Verschluss Blutungen induziert, bei fünf wurde darauf verzichtet. Dies in der Annahme, es sei noch vitales Restpulpagewebe vorhanden. Alle neun Zähne waren im Zeitraum der Nachkontrolle (fünf Jahre) asymptomatisch. Nur bei einem der Zähne aus der zweiten Gruppe (ohne induziertes Pulpakoagulum) wurde radiologisch kein verändertes Wurzelwachstum mit Einengung der Pulpahöhle gefunden.
Ding et al.11 untersuchten zwölf Zähne, bei denen das regenerative Prozedere mit Spülungen mit 5,25%
NaOCl begonnen wurde. Es kamen ebenfalls die Tri-Antibiotikapasten zum Einsatz. Bei sechs Patienten musste das Behandlungsziel revidiert werden. Schmerzen während der Induktion der Pulpablutung führten zu einem Wechsel der Behandlungsmethode. Diese sechs Zähne wurden mit einem apikalen MTA Stopp versorgt.

Cheuh et al.8 behandelten vier Zähne mit 2,5% NaOCl und Ca(OH)2 und ohne Tri-Antibiotikapasten. Alle vier Zähne zeigten ein weitergehendes apikales Wurzelwachstum. Die Autoren bemerkten aber, dass Wachstum und Apposition von Dentin nur an den Zahnanteilen stattgefunden hatte, welche nicht in Kontakt mit Ca(OH)2 gekommen waren. Ebenfalls mit einem etwas anderen Behandlungsansatz arbeiteten Shah et al.28 Sie spülten 14 nekrotische, unreife Zähne mit 2,5% NaOCl sowie 3% Wasserstoffperoxid. Als weitere medikamentöse Einlage wurde Formokresol gewählt. 13 von 14 Zähnen zeigten deutliche regenerative Anzeichen (Dickenwachstum, Längenzunahme). Erstaunlicherweise wurden nur in einem einzigen Fall Endodontie-unterstützende Maßnahmen mit Ultraschallgeräten beschrieben.14 Es kam in diesem Behandlungsprotokoll auch zu einigen Misserfolgen. Es scheint so, als ob beim Einsatz von Ultraschallgeräten zur Steigerung der Wirkung der NaOCl-Spülung schädigende Einflüsse an den Dentinwänden möglich seien.14,32

Es gibt auch Fallstudien, bei denen die herkömmliche Zusammensetzung der Tri-Antibiotikapaste (Ciprofloxacin, Metronidazol, Minocyclin) verändert wurde. Thomson und Kahler32 verwendeten statt des Minocyclin Amoxicillin. In allen besprochenen Fällen wurde keine Verfärbung der Zähne festgestellt. Amoxicillin muss jedoch aufgrund seines hohen allergologischen Poten­zials mit Vorbehalten eingesetzt werden. In Veröffentlichungen von Trope34,35, Turkistani und Hanno36 sowie Kim et al.21 wird das verfärbende Mino­cyclin (Tetracyclin) durch Cephalosporine (Cefuxim oder Cefaclor) ersetzt. Bei all den hier beschriebenen Fällen waren die regenerativen Prozesse erfolgreich und es wurden keine Verfärbungen festgestellt. Eine weitere Methode, um Verfärbungen der Zahnkrone bei der klassischen Tri-Antibiotikamischung nach Hoshino (mit Minocyclin) zu vermeiden ist es, die Krone vor der Behandlung innen im Arbeitskanal mittels Säureätztechnik und Dentinbonding mit Flowable-Composit zu versiegeln.24,25
Das provozierte Blutkoagulum wurde mit medizinischem Portlandzement (Medcem GmbH Weinfelden, Schweiz) bedeckt.23 Im Gegensatz zu dem in der Literatur am häufigsten zum Einsatz kommenden MTA Material ProRoot fehlt beim Med PZ das Röntgenkontrastmittel Bismutoxid. Dadurch kommt es zu deutlich weniger Verfärbungen.5,30 Nachteilig jedoch ist die knapp dentinähnliche Röntgensichtbarkeit.30 Alle oben besprochenen Fallstudien zeigen jedoch, dass ausführlichere klinische Studien (z.B. randomized clinical trial) unter standardisierten Bedingungen noch fehlen und dringend notwendig sind. Die American Association of Endodontists hat eine Datenbank für regenerative endodontische Behandlungsverläufe eröffnet.1 Durch die Auswertung von deutlich mehr Behandlungsfällen erhofft sich die AAE eine breitere wissenschaftlichere Grundlage für zukünftige Behandlungs-Guidelines.

Die Herstellung der Tri-Antibiotikapasten wird in allen Veröffentlichungen ähnlich beschrieben. Es werden die drei Grundstoffe als Originalmedikamente eingekauft. Von jeder Einzelsubstanz wird jeweils eine Tablette gemörsert, wovon dann die jeweils notwendigen Mengen abgewogen werden (Ciprofloxacin 250mg, Metronidazol 500mg, Minocyclin respektive dessen Ersatz Cefuoxim oder Cefaclor 500mg). Diese Dosis wird mit der Macrogol/Propylenglykol-Mischung dann direkt vor der endodontischen Applikation angemischt. Über die Aufbereitung des Gleit- und Penetrationsmittels wird in keiner Veröffentlichung Genaueres ausgesagt. Diese komplizierten Vorbereitungen bedürfen vonseiten der Zahnärzte einiges an pharmakologischem Fachwissen. Auch bleibt der Hauptteil der drei Antibiotika-Originalverpackungen übrig. Dies verteuert den Einsatz dieser regenerativen endodontischen Methode im Alltag erheblich. Seit September 2010 können bei einem kommerziellen Anbieter von Medizinprodukten die Tri-Antibiotikapasten in den verschiedensten Zusammensetzungen als Einzelportionen per Rezept geordert werden (TreVitaMix, Medcem GmbH, Weinfelden, Schweiz).24 Das Tri-Mixpulver ist als Einzelportion aus Reinsubstanzen gemischt und das Mischmittel (Macrogol/Propylenglykol) wird in einer kleinen Einzeltube mitgeliefert. Dies ermöglicht den Einsatz dieser wirkungsvollen Behandlung auch in einer normalen Zahnarztpraxis.

Schlussfolgerungen

In der Literatur werden regenerative, endodontische „Revitalisierungsbehandlungen" bei Frontzähnen und Prämolaren beschrieben. Typisch sind Behandlungen nach Traumata, wenn es an solchen jungen Zähnen mit offenen Apizes zu Nekrosen kommt. Die Veröffentlichungen zu dieser Methode, zum größten Teil Case reports, sprechen dabei von einem Paradigmawechsel. Dies stimmt in der Tat, denn jetzt ist es mit dieser Behandlungsmethode möglich, solche Zähne weiter „reifen" zu lassen und dadurch deren Überlebensprognose deutlich zu verbessern. Durch Wurzelreifung sinkt das Risiko einer Wurzelfraktur und durch eine Apexbildung sind spätere endodontische Behandlungen deutlich vereinfacht. Heute ist diese Behandlungsmethode soweit entwickelt, dass auch den Praktikern regenerative endodontische Maßnahmen empfohlen werden können. Entscheidend für eine Behandlungsprognose ist der erste Behandlungsschritt. Wird als Ersteinlage CaOH2 verwendet und werden die Wurzelkanalwände mechanisch aufbereitet, verschlechtert sich die Prognose für eine erfolgreiche regenerative Behandlung deutlich. Ein weiteres Kriterium für eine gute Prognose solcher Behandlungsabläufe ist auch ein richtig induziertes, das Pulpakavum vollständig ausfüllendes Blutkoagulum. Kann ein solches nicht generiert werden, muss auf die herkömmliche Weise ein MTA-Plug am offenen Apex platziert werden.
Für die Behandler stellt sich damit das Problem, den richtigen Behandlungsweg zu wählen und diesen Vorschlag mit allen Vor- und Nachteilen sowie allen möglichen Problemen dem Patienten auch zu kommunizieren. Wie in dem oben beschriebenen Behandlungs­ablauf gezeigt wurde, steht heute ein modernes Behandlungskonzept für unreife, gangränöse Zähne zur Verfügung. Ob das verfärbende Minocyclin dauerhaft und mit gleichem Erfolg durch ein Cephalosporin ersetzt werden wird, wird sich in der Zukunft zeigen. Im Moment muss der Zahnarzt entscheiden, welches Antibiotikum er in den Tri-Mixpasten einsetzt. Für die endo­dontischen Gesellschaften bedeutet dies, dass sie ihre Richtlinien ständig den sich schnell ändernden Entwicklungen anpassen müssen. Dies zum Wohle unserer Patienten.

Eine Pulpa dient der Ernährung, der Reparatur und dem Wachstum des Zahndentins und ist damit Teil eines gesunden Zahns. Zudem ermöglicht sie mit einer sensiblen, schmerzähnlichen Warnfunktion den Zahn vor externen Reizen zu schützen. Wenn das Gewebe, welches nach einer regenerativen, endodontischen Behandlung in eine gangränöse Pulpahöhle einwächst, alle Funktionen einer normalen Pulpa wieder erfüllen kann, sind wir von einer klinischen Restitutio ad integrum nicht mehr weit entfernt.  

Eine ausführliche Literaturliste finden Sie hier.

Mehr Fachartikel aus Endodontologie

ePaper