Endodontologie 22.03.2018
Externe Wurzelresorptionen nach Avulsion
share
Klinischer Fall mit unphysiologischer Lagerung der Zähne
Die Avulsion bleibender Zähne stellt eine schwerwiegende traumatisch bedingte Dislokationsverletzung dar. Die langfristige Prognose avulsierter Zähne wird entscheidend von deren Lagerung und einer korrekten Erstversorgung beeinflusst. Besonders nach trockener oder unsachgemäßer Lagerung der traumatisch geschädigten Zähne außerhalb der Mundhöhle müssen regelmäßige klinische und röntgenologische Nachkontrollen erfolgen, um u. a. Resorptionen auszuschließen und im Zweifelsfall rechtzeitig alternative Therapieoptionen einzuleiten.
Die 20-jährige Patientin stellte sich erstmals im April 2016 nach einem nächtlichen Fahrradunfall vor. Sie schilderte, die beiden oberen mittleren Schneidezähne im Rahmen des Unfalls verloren zu haben, da sie einen Bordstein übersehen habe und dabei mit einer Freundin zusammengestoßen sei. Zunächst sei sie von Freunden nach Hause begleitet worden, um sich auszuschlafen; kurz vor dem Einschlafen habe sie aber den Verlust der beiden oberen mittleren Schneidezähne bemerkt. Nach kurzer Suche seien die Zähne am Unfallort gefunden und trocken in einem Taschentuch gelagert worden. Circa zwei Stunden nach dem Trauma stellte sich die Patientin in der Notfallambulanz vor. Dort erfolgte die Replantation und Schienung der Zähne sowie eine stationäre Aufnahme und Überwachung.
Klinischer und röntgenologischer Befund
Nach ausführlicher Befunderhebung konnten ein Schädel-Hirn-Trauma und Frakturen der Gesichtsknochen ausgeschlossen werden, darüber hinaus bestand ausreichender Tetanusschutz. Es lagen zahlreiche Riss-Quetschwunden im Bereich des Gesichts (Abb. 1a) bzw. Schürfwunden an beiden Händen vor.
Diagnose
In der Unfallnacht waren die Zähne 11 und 21 avulsiert, die Nachbarzähne 13, 12, 22 und 23 erschienen bei klinischer und röntgenologischer Befundung unverletzt.
Ersttherapie
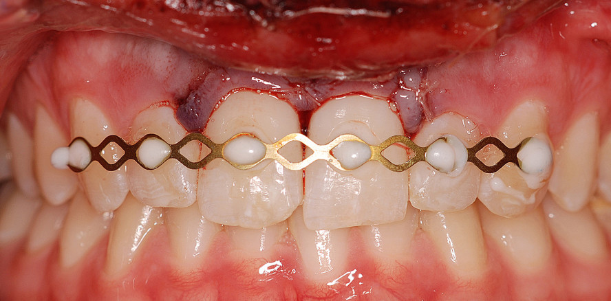
Im Rahmen der Ersttherapie wurden die Zähne 11 und 21 in der Unfallnacht replantiert und mithilfe eines Titanium Trauma Splints (Medartis AG, Schweiz) geschient (Abb. 1b). Die Zähne lagen circa zwei Stunden am Unfallort und wurden vor der Replantation für 30 Minuten in einer physiologischen Nährlösung (Dentosafe) zwischengelagert. Nach Spülung mit physiologischer Kochsalzlösung und klinischer bzw. röntgenologischer Inspektion der leeren Alveolen (Abb. 2a) wurden die Zähne langsam sowie drucklos replantiert und die korrekte Positionierung röntgenologisch überprüft (Abb. 2b).
Am nächsten Tag wurde die Wurzelkanalbehandlung der Zähne 11 und 21 begonnen. Nach Längenmessung und chemomechanischer Aufbereitung wurden die Zähne mit medikamentösen Einlagen mittels Ledermix® als antiresorptive Maßnahme versorgt. Zur Unterstützung der antiresorptiven Therapie erhielt die Patientin am Unfalltag 200 mg Doxycyclin, welches sich durch seine antibakteriellen und antiresorptiven Eigenschaften auszeichnet und v.a. bei ausgeprägten lateralen Dislokationen bzw. Avulsionen und Intrusionen indiziert ist. Am Unfalltag sind bei Jugendlichen und Erwachsenen 200 mg (0-1-0) indiziert, gefolgt von 100 mg (0-1-0) am zweiten bis siebten Tag post Trauma.
ZEPAG-Schema
Das ZEPAG-Schema ermöglicht am Unfalltag und im Rahmen der weiteren Nachsorge eine realistische, strukturierte Einschätzung der Komplexität von Verletzungen der unterschiedlichen beteiligten Gewebe. Anhand der Formel von Filippi et al. kann eine grobe Prognose für den weiteren Verlauf der Heilung und langfristigen Zahnerhalt gegeben werden. Neben der Zahnhartsubstanzschädigung werden auch der posttraumatische Zustand des Endodonts, Parodonts, des Alveolarknochens und der Gingiva beurteilt. Jedes Gewebe wird zwischen 1 (starke Schädigung) und 5 (schwache Schädigung) bewertet und im Anschluss der niedrigste Wert mit der Summe der restlichen Werte multipliziert (Tab. 1). Der maximal mögliche Wert ist 100. Ab einem Wert von 57 und höher zum Zeitpunkt der Erstversorgung ist eine erfolgreiche Traumatherapie als wahrscheinlich anzunehmen. Werte von 30 und weniger lassen auf eine schlechte langfristige Prognose schließen (z. B. bei schweren Dislokationsverletzungen wie Avulsion oder Intrusion). Tabelle 1 zeigt die posttraumatische ZEPAG-Bewertung der avulsierten Zähne 11 und 21. Mit einem Wert von 30 ist die langfristige Prognose der Zähne als schlecht einzuschätzen.

Weitere Therapien
Die Patientin stellte sich 14 Tage später erneut vor. Die extraoral und intraoral komplikationslos verlaufende Wundheilung wurde fotodokumentiert. Die Schienung wurde vollständig entfernt und es erfolgten medikamentöse Einlagen mit Kalziumhydroxid für weitere 14 Tage. Die definitiven Wurzelkanalfüllungen wurden vier Wochen nach dem Trauma durchgeführt (Abb. 3a–c).
Nachsorgen/Nachkontrollen
Die Patientin stellte sich nach sechs, zwölf und 18 Monaten zur klinischen und röntgenologischen Nachkontrolle vor. Nach sechs Monaten erschienen die Wurzeloberflächen weitestgehend intakt, der Perkussionsschall normal und die Röntgenaufnahme zeigte noch größtenteils intakte Wurzelkonturen mit einem deutlich erkennbaren Parodontalspalt. Lediglich an Zahn 21 war distal auf Höhe der Mitte der Wurzel eine beginnende Ersatzresorption zu vermuten (Abb. 4a).
Allerdings konnten nach zwölf und vor allem nach 18 Monaten deutliche Resorptionen mit den typischen Resorptionslakunen festgestellt werden. Knöcherne Ersatzresorptionen an den Zähnen 11 und 21 waren zu erkennen, die genauen Konturen der Wurzeln verschwunden, der Parodontalspalt war nicht mehr durchgängig erkennbar (Abb. 4b). Klinisch hingegen zeigte sich nach 18 Monaten ein zufriedenstellendes Ergebnis (Abb. 5a und b). Mittlerweile war ein internes Bleaching durchgeführt worden. Da die Patientin noch nicht entschieden hatte, ob dieses wiederholt werden sollte, wurde nach adhäsiver Abdeckung der Wurzelkanalfüllungen eine Zwischenschicht aus Cavit mit anschließender, erneuter adhäsiver Abdeckung eingebracht.
Lagerung und Schienung avulsierter Zähne
Die trockene Lagerung eines Zahnes nach Avulsion führt nach ungefähr fünf Minuten zum Absterben der desmodontalen Zellen. Schon nach 30 Minuten liegt eine vollständige Nekrose aller desmodontalen Zellen vor. In solchen Fällen ist das Auftreten von Resorptionen im weiteren Verlauf sehr wahrscheinlich. Das Ausmaß der Zellschädigung kann von unterschiedlichen Faktoren, wie z. B. Luftfeuchtigkeit oder Lagerungsort, beeinflusst werden.
Im vorliegenden Fall konnte trotz zeitnaher chemomechanischer Reinigung mit anschließender Ledermixeinlage und systemischer, posttraumatischer, antiresorptiver Therapie das Auftreten von Ersatzresorptionen nicht verhindert werden. Diese Art zählt zu den externen Resorptionen und wird durch eine massive Schädigung des Parodonts (Avulsion) hervorgerufen. Wird, wie im vorliegenden Fall, das Desmodont und damit die natürliche Barriere zwischen Zahn und Knochen zerstört, können klastische Zellen die Wurzel in die Umbauprozesse des Knochens einbeziehen. Dieser Prozess führt durch die Resorption des Wurzeldentins zur Ankylose, wodurch die Langzeitprognose des Zahnes deutlich sinkt.
Von den externen Resorptionen, zu welchen neben den Ersatzresorptionen auch die transienten bzw. infektionsbedingten Resorptionen zählen, sind interne Resorptionen zu unterscheiden. Diese werden durch Schädigungen des Endodonts hervorgerufen bzw. häufig nach Pulpanekrose und fehlender Wurzelkanalbehandlung beobachtet (Abb. 6).

Kritische Betrachtung und weitere Planung
Im vorliegenden Fall könnte das zum Knochen exponierte Wurzelkanalfüllmaterial problematisch für eine spätere Zahnentfernung oder Implantation sein. Dieses Material lässt sich intraoperativ nur schwer entfernen. Hier könnte es vorteilhaft sein, das definitive Wurzelfüllmaterial zu entfernen und gegen eine langzeitmedikamentöse Einlage mit Kalziumhydroxid auszutauschen. Somit müsste im Rahmen eines späteren chirurgischen Eingriffs kein Fremdmaterial entfernt werden. Zur zusätzlichen Stabilisation der Zähne ist eine Schienung (z. B. mittels Glasfaserband von palatinal) sinnvoll, um eine Fraktur der Kronen bei voranschreitender Ersatzresorption zu vermeiden.
Auch eine Dekoronation (Entfernung der klinischen Krone unter Belassung der Wurzel) mit anschließender Lückenversorgung (z. B. Adhäsivbrücke) stellt eine zuverlässige präimplantologische Behandlung zum Erhalt des Alveolarknochens dar. Durch den vollständigen Umbau der Zahnwurzel im Zuge der Resorptionsprozesse kann eine spätere Extraktion vermieden und ein Volumenerhalt des Alveolarfortsatzes gesichert werden. Eine verfrühte Implantation sollte jedoch stets vermieden werden, um durch ein fortschreitendes Kieferwachstum ästhetisch unvorteilhafte Infrapositionen der Implantate zu vermeiden.
Eine ausführliche Literaturliste steht hier zum Download bereit.
Dieser Beitrag ist im Endodontie Journal 1/2018 erschienen.