Implantologie 20.10.2016

Ästhetik und Funktion im Front- und Seitenzahngebiet



Ästhetik und Funktion im Front- und Seitenzahngebiet

Foto: © Autor

Das iSy-Implantatsystem wurde zur IDS 2013 auf dem Markt eingeführt. Neben dem hohen Qualitätsanspruch steht es vor allem für eine hervorragende Zeit- und Kosteneffizienz. Diese beiden Aspekte standen von Anfang an im Mittelpunkt und stellen den Mehrwert des Produktkonzepts dar. Gleichzeitig wurde das völlig neu entwickelte Implantatsystem mit Qualitäts- und Eigenschaftsmerkmalen ausgestattet, die hervorragende funktionelle und ästhetische Behandlungsergebnisse erwarten lassen. Die beiden nachfolgenden Falldokumentationen stehen exemplarisch für die vielfältigen Möglichkeiten, welche das System im klinischen Alltag bietet.

Frontzahnrekonstruktion Regio 12

Der 53-jährige Patient stellte sich mit einem wurzelgefüllten, horizontal frakturierten Zahn 12 in der Praxis vor (Abb. 1). Den klinischen Befund acht Wochen nach Zahnextraktion zeigen die Abbildungen 2 bis 4. Nach eingehender Aufklärung über die Behandlungsmöglichkeiten entschied sich der Patient für eine implantatprothetische Versorgung. Die Implantation erfolgte ebenfalls acht Wochen nach Zahnextraktion im Sinne einer verzögerten Sofortimplantation. Das Implantat wurde so gesetzt, dass es unter dem Tuberculum dentis sitzt und die Versorgung von palatinal verschraubt werden kann. (Abb. 5 und 6).

Transgingivale Einheilung

Wenngleich heute mit diesem Implantatsystem auch eine subgingivale Einheilung möglich ist, wurde eine transgingivale Einheilung favorisiert. Diese ist durch die vormontierte Implantatbasis, die gleichzeitig als Einbringpfosten fungiert, und den auf die Implantatbasis aufsteckbaren Gingivaformer aus PEEK sehr komfortabel umsetzbar (Abb. 7–9). In der Literatur ist gleichzeitig belegt, dass ein transgingivales Vorgehen im ästhetischen Bereich selbst bei moderaten Knochenaugmentationen keine Nachteile mit sich bringt.1 Während der Einheilzeit blieb die Situation auf Wunsch des Patienten prothetisch unversorgt.

Einfache prothetische ­Übertragung

Die prothetische Versorgung erfolgte nach dreimonatiger Einheilung. Die Heilung verlief komplikationslos und zeigt ein sehr schön ausgeformtes Weichgewebe (Abb. 10 und 11).

Das prothetische Konzept des hier vorgestellten Implantatsystems sieht vor, die weiteren Schritte ganz einfach auf der Implantatbasis vorzunehmen: Abformung, Bissregistrierung und die provisorische Versorgung.

Für die Abformung und die Bissregistrierung wird die Multifunktionskappe verwendet, die auf die Implantat­basis positionsgenau und rotations­sicher aufgesteckt wird (Abb. 12). Bei der Abformung ist darauf zu achten, die Retentionen der Multifunktionskappe mit Abformmaterial auszufüllen (Abb. 13). So ist gewährleistet, dass die Multifunktionskappe sicher im Abformmaterial hält und die Implantatposition hochpräzise auf das Modell übertragen werden kann. Die Bissregistrierung erfolgt in habitueller Interkuspidationsposition. Hierfür wird eine weitere Multifunktionskappe entsprechend der Bisssituation gekürzt und die Bissregistrierung nach dem Shimstock-Protokoll durchgeführt (Abb. 14 und 15).

Weichgewebekonditionierung und prothetische Versorgung

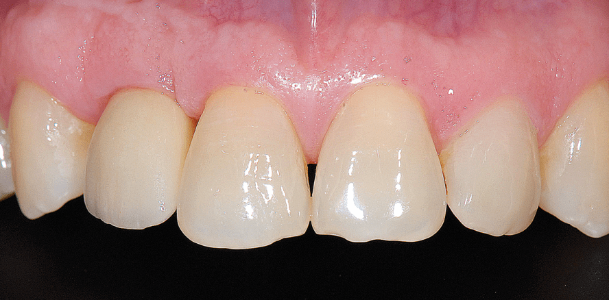
Um das Weichgewebe entsprechend des späteren, geplanten Durchtrittsprofils zu konditionieren, wurde der Gin­givaformer extraoral mit Komposit­material modifiziert und wieder eingebracht (Abb. 16–18). Die anfängliche leichte Anämie verschwindet nach wenigen Minuten und das Weichgewebe stellt sich anschließend sehr schön dar. Der modifizierte Gingivaformer wird nach circa zwei Wochen durch ein Langzeitprovisorium ersetzt (Abb. 19–23). Anschließend erhält der Patient die definitive Restauration aus Zirkon­oxidkeramik (Abb. 24–28).

Zweites Fallbeispiel: ­Funktionelle Versorgung im Seitenzahngebiet

Bei dem zweiten Fallbeispiel wurden zwei Implantate im Seitenzahngebiet Regio 36 und 37 eingesetzt (Abb. 29 bis 39). Die Implantation erfolgte im August 2013. Das chirurgische und prothetische Protokoll konnte gemäß dem Grundgedanken des hier vorgestellten Implantatsystems auf ein Minimum reduziert werden. Es wurden keinerlei zusätzliche augmentative Maßnahmen durchgeführt, lediglich die von der Aufbereitung des Implantatbetts gewonnenen Knochenspäne wurden bukkal aufgelagert. Das klinische Protokoll folgt dem bekannten Produktkonzept bei transgingivaler Einheilung. Wir gelangen hiermit von der Implantation, der Osseointegration und der Weichgewebeausheilung sowie der Abformung und Bissregistrierung sehr rasch zur finalen Versorgung.

Die finalen Restaurationen aus Vollkeramik (IPS e.max® Press, Ivoclar ­Vivadent) wurden okklusal verschraubt. Hierfür wurden die in einem Stück hergestellten, bemalten und glasierten Keramikkronen im Labor (Multilink® Implant) auf den Titanbasen CAD/CAM verklebt. Die keramische Oberfläche im Schraubenkanal wurde extraoral mit fünfprozentiger Flusssäure angeäzt und silanisiert (Monobond Plus, Ivoclar Vivadent). Nach dem Einsetzen der Hybridabutmentkronen wurden diese mit 20 Ncm befestigt. Anschließend wurde der Schraubenkanal mit Füllungskomposit dicht und ästhetisch ansprechend verschlossen.

Das Behandlungsergebnis ist funktionell und ästhetisch absolut stabil. Durch die hocheffiziente und sichere Anwendung des hier vorgestellten Implantatsystems konnte das Aufwand-Nutzen-Verhältnis für den Patienten maximiert werden.

Fazit

Das verwendete Implantatsystem stellt für das implantologische Behandlungsspektrum eine Bereicherung dar. Die Motivation liegt in dem durchdachten und patientengerechten Produktkonzept begründet. Das durch die vormontierte Implantatbasis naheliegende transgingivale Vorgehen bietet viele Vorteile. Die finale Versorgung kann bei diesem zweiteiligen Implantatsystem mit nur einem Abutmentwechsel vorgenommen werden, mit den entsprechenden positiven Auswirkungen auf die Biologie des Hart- und Weichgewebes.2 Platform Switching ist durch die konische Implantat-Abutment-Verbindung systemimmanent und bietet ebenfalls Vorteile.3,4 Eine leicht subkrestale Postitionierung der Implantate begünstigt in Kombination mit Platform Switching – und ggf. Weichgewebeaugmentationen – eine ausreichende Gingivadicke, was sich positiv auf den Erhalt des krestalen Knochenniveaus auswirkt.5

Das Implantatsystem ist darüber hinaus für alle Beteiligten auch wirtschaftlich attraktiv, kann die Entscheidung für ein implantologisches Therapiekonzept begünstigen und kommt dem Wunsch der Patienten nach einer ästhetischen, funktionellen und langzeitstabilen prothetischen Versorgung nach.

Für die zahntechnische Realisation des ersten Patientenfalls bedanke ich mich bei ZTM Verena Gruber aus Weilheim. Ebenso gilt mein Dank Herbert Hasler aus Murnau für die Realisation des zweiten Patientenfalls.

Die vollständige Literaturliste gibt es hier.

Mehr Fachartikel aus Implantologie

ePaper