Implantologie 28.02.2011
Prospektivität eines mehrfach resizierten Frontzahnes
share
Anhand eines Fallbeispieles soll die Problematik eines mehrfach resizierten Oberkiefer-Frontzahnes erläutert werden, der langzeittherapeutisch nicht zu erhalten war und durch ein Einzelzahnimplantat ersetzt wurde.
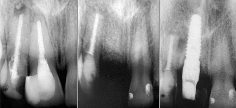
Die zum damaligen Zeitpunkt 20-jährige Patientin klagte über immer wieder auftretende Schmerzen im Bereich des Zahnes 11 und 12. Gleichzeitig störte sie die Verfärbung der Zähne, die sich nach endodontischer Versorgung und Resektion des Zahnes 12 alio loco eingestellt hatte. Im Juni 2000 erfolgte nach Absprache in unserer Praxis eine erneute WSR der Zähne 11 und 12. An beiden Wurzelspitzen hatten sich erneut apikale Osteolysen gebildet. Zahn 12 wies intraoperativ einen auch radiologisch erkennbaren Fremdkörper auf, der sich als Wurzelfüllmaterial darstellte (Titelbild links). Um eine weitere Narbe zu umgehen, wurde die alte Schnittführung (Partsch) übernommen und mikrochirurgisch vernäht (Supramid 7/0). Der postoperative Wundverlauf erfolgte komplikationslos und die Patientin war nach ca. einer Woche beschwerdefrei. Dieser Zustand hielt nur etwas mehr als zwei Jahre an, denn dann klagte die Patientin abermals über einen Perkussionsschmerz. Eine weitere Resektion schien therapeutisch als nicht sinnvoll, sodass der Zahn 11 im November 2002 entfernt wurde. Nach Entfernung des Zahnes wurde eine auf Grund von osteolytischen Prozessen entstandene Diskontinuität der bukkalen Knochenlammelle deutlich. Nach Reflektion eines Full-Flap wurde der Defekt mit bovinen Knochenpartikeln (Bio-Oss®, Fa. Geistlich) und einer Kollagenmembran (Bio-Gide®, Fa. Geistlich) augmentiert und abgedeckt. Als provisorischen Verschluss trug die Patientin eine Miniatur-Interimsprothese zur Versorgung der Schaltlücke.
Eine Zahnfilm-Röntgenaufnahme (Titelbild Mitte) zeigte fünf Monate später die vollständige Reossifikation des Resektionsbereiches am Zahn 12 als auch im augmentierten Bereich des Zahnes 11. Es erfolgte die Implantation Regio 11 mit einem wurzelanalogen Implantat (4,1 x 13 mm NT-Certain™, Fa. 3i Implant Innovations). Der Knochen war sehr gut vaskularisiert und das Eindrehmoment des Implantates betrug 30 Ncm. Das Implantat konnte prothetisch korrekt unter Einbeziehung der vorgegebenen Parameter der Nachbarzähne (anatom. Fenster nach Gomez, 1,5 mm apikal der Schmelz-Zementgrenze der benachbarten Zähne, korrekte Angulation des Implantates) inseriert werden. Die Voraussetzungen für ein optimales knöchernes Lager und einer damit verbundenen ausreichenden Abstützung für das Weichgewebe nebst einem „wohlwollenden“ Gingivamorphotyp machten den Behandlungserfolg wahrscheinlich. Ein subepitheliales Bindegewebstransplantat war in diesem Fall nicht notwendig. Die Mundhygiene der Patientin war optimal und es lagen keine parodontalen Defekte der Nachbarzähne vor. Dies ist leider nicht immer der Fall und stellt uns chirurgisch als auch prothetisch vor immense Herausforderungen, wie die Abbildung 1 exemplarisch zeigen soll. In diesem nur kurz skizzierten Fall lag neben einem Diastema mediale zusätzlich noch eine massive „verdeckte“ Parodontopathie vor mit massivem Knochenverlust, die man ohne Röntgenbefund klinisch kaum vermutet hätte. Hier ein ästhetisch ansprechendes Ergebnis zu erzielen bringt auch den Erfahrenen an die Grenzen seiner Kunst.

Abb. 1 Links: Nicht zu erhaltender Zahn 21 mit deutlich erkennbarer Verfärbung. Die Färbung der Gingiva apikal von 21 lässt auf einen knöchernen Defekt schließen. Rechts: Intrapoerativer Befund mit massiver Parodontopathie und Knochenverlust nach schonendem Eingriff.
Bei der 20-jährigen Patientin waren jedoch die Voraussetzungen gegeben, was von Vorteil war, da es sich um eine Praxismitarbeiterin handelte. Nach einer Einheilzeit von fünf Monaten wurde das Implantat freigelegt und ein Gingivaformer für drei Wochen in situ belassen. Es folgte die Abformung mit einem Polyäther-Abformmaterial und eine provisorische Kunststoffkrone wurde auf einem individualisierten nitridierten Titanabutment für einen Zeitraum von weiteren sieben Monaten eingesetzt. Es folgte die definitive Abformung des nun stabilen Implantat-Gingivakomplexes und des präparierten Zahnes 12. Beide Kronen wurden für weitere acht Wochen provisorisch und im Anschluss definitiv zementiert. Die Patientin wünschte bei der definitiven Versorgung aus kosmetischen Gründen eine leichte Lückenbildung zwischen 11 und 21, da sie diese vor Behandlungsbeginn schon besaß (Lücke zwischen 11 und 21 auf Titelbild links zu erkennen). Das Behandlungsergebnis stellte die Patientin zufrieden und die Implantatkrone an 11 war auch bei hoher Lachlinie unauffällig.

Abb. 2 Links: Eingegliederte VMK's an 11 und 12, harmonischer Gingivaverlauf und damit ein ästhetisches Ergebnis. Rechts: Close-up der Implantatkrone 11 zeigt ausgeformte Papillen mit der von der Patientin gewünschten Lücke zwischen 11 und 21. Harmonisches Rot-Weiß-Ergebnis.
Zusammenfassung
In dem dargestellten Fall wird der Behandlungsverlauf eines resezierten Zahnes mit rezidivierenden apikalen Osteolysen beschrieben, der letzten Endes entfernt werden musste und durch ein wurzelanaloges Implantat ersetzt wurde. Die Voraussetzungen waren nach erfolgter Augmentation des späteren Implantatbereiches als sehr gut zu bezeichnen, wodurch die Prognose für ein ästhetisches Resultat als wahrscheinlich galt. An den Grenzen der „konservierenden“ Behandlung und dem angeschlossenen chirurgischen Rettungsversuch angekommen, bietet hier die Implantologie die Möglichkeit, einem jungen Menschen sein Lachen wiederzugeben.