Implantologie 04.10.2021

Schablonengeführte Chirurgie bei geringem Knochenangebot



Schablonengeführte Chirurgie bei geringem Knochenangebot

Foto: Dr. Pavel Hyspler

Heutzutage implantiert man zunehmend an Stellen, die man aus Sicht des Knochenangebots bei klassischer Implantation als nicht ausreichend ansieht. Den Mangel an Knochenangebot löst man oft durch Augmentationsverfahren, immer öfter auch mit dem Einsatz der Zelltherapie, wie zum Beispiel durch die Kombination von Augmentationen mit Thrombozytenkonzentraten (PRF, PRGF, PRP). Eine immer beliebtere Lösung ist die Nutzung von vorhandenem Knochen mit angulierten („tilted“) Implantaten.

Mit mesiodistal geneigten Implantaten weicht man oft den problematischen Strukturen aus, wie dem Foramen mentale oder der Kieferhöhle, zum Beispiel durch das All-on-4-Konzept. Eine oft vernachlässigte Option ist die vestibuloorale Deviation des Implantats. Bei anatomisch geeigneten Patienten kann man auf diese Weise die Behandlung deutlich vereinfachen und die Behandlungszeit verkürzen. Im Oberkiefer ist es am häufigsten die Implantatinsertion in eine dicke Wand der Kieferhöhle, ggf. die schablonengeführte Implantation in ungewöhnliche Knochenstrukturen, die beispielsweise bei der Knochenheilung des periapikalen Granuloms entstehen können. Im Unterkiefer ist das Einsetzen eines Implantats dieser Art am häufigsten, um dem Mandibularkanal auszuweichen, ohne den vertikalen Knochenaufbau durchzuführen (Abb. 1a und b).

Vergleichbare Langzeiterfolgsraten von angulierten Implantaten im Vergleich zu Implantaten in der Zahnachse wurden wiederholt in den Ergebnissen von Metaanalysen veröffentlicht. Einige Studien zeigen eine etwas geringere Erfolgsrate in der Maxilla.1 Sie sind sich jedoch einig darin, dass die kurz- sowie langfristige Erfolgsrate bei angulierten Implantaten größer ist als bei Implantaten in Knochenaufbauten.2 Der Nachteil von geneigten Implantaten ist eine deutlich höhere prothetische Komplexität.

Der erfolgreiche Einsatz von angulierten Implantaten stellt hohe Anforderungen an die Planung zukünftiger Prothetik und an die Genauigkeit der Implantatinsertion. Vorteilhafterweise kann ein volldigitaler Workflow mit schablonengeführter Implantation genutzt werden. In den meisten Fachberichten weist die schablonengeführte Chirurgie eine größere Genauigkeit als die schablonengeführte Pilotbohrung auf.5 Die Genauigkeit der schablonengeführten Chirurgie – im Falle der Abstützung einer Bohrschablone auf den Zähnen beidseits der Osteotomie für das Implantat – reicht bereits für eine sichere Insertion des Implantats auch in der Nähe anatomisch riskanter Strukturen aus.6 Der folgende klinische Fall zeigt eine alternative Behandlungsmethode bei einem kleinen vertikalen Knochenangebot im Unterkiefer.

Behandlungsfall

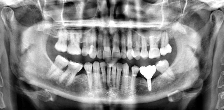
Eine 52-jährige Patientin suchte Hilfe im Klinikum aufgrund von Problemen mit ihrem Implantat in Regio 36, das in einer anderen Praxis vor ungefähr sechs Jahren eingesetzt wurde. Es schien eine Implantatlockerung zu entstehen. Auf dem OPG (ProMax, Planmeca) war ein großer Knochenverlust um das Implantat herum sichtbar, der durch Periimplantitis verursacht wurde (Abb. 2). Daher wurde das Implantat entfernt und der Defekt exkochleiert. Nach drei Monaten wurde eine CBCT-Aufnahme (ProMax, Planmeca) für die Planung eines neuen Implantatersatzes erstellt (Abb. 3). Nach Abwägung aller Optionen (vertikale Augmentation, Kurzimplantat) wurde ein anguliertes Implantat ausgewählt, das so inseriert wurde, dass es an dem Verlauf des Mandibularkanals vorbeigeht (Abb. 4). Mithilfe des CBCT-Scans wurde die Position des Mandibularkanals genauer bestimmt. Der geeignete Durchmesser und die Länge des Implantats wurden dann im Programm gewählt. Die Implantatposition wurde so festgelegt, dass das Implantat am Kanalverlauf vorbeigeht und gleichzeitig das aktuelle Knochenangebot berücksichtigt. Es ist sehr wichtig, die Situation aus verschiedenen Blickwinkeln zu betrachten, um sicherzustellen, dass die Behandlung richtig geplant wurde.

Mithilfe eines Intraoralscanners (3Shape) wurde ein Scan des Unterkiefers erstellt. Dieses Modell wurde erst in das STL-Format konvertiert und dann ins Romexis-Programm importiert (Planmeca). Die Konvertierung in das STL-Format ermöglicht es, mit den Aufnahmen weiterzuarbeiten und die Aufnahmen von Weich- und Knochengeweben übereinanderzulegen, um die Ist-Situation genauer und detaillierter zu analysieren. Die Planung einer chirurgischen Behandlung im Hinblick auf das optimale prothetische Ergebnis ist dank dieser Möglichkeiten einfacher, angenehmer und effizienter.

Die Insertion eines Implantats (BioniQ®, LASAK) mit einem Durchmesser von 3,5 mm und einer Länge von 12 mm wurde geplant. Die Chirurgieschablone wurde im Romexis-Programm mit folgender Einstellung erstellt (Abb. 5): „Thickness“: 2 mm, „Gap to Teeth“: 0,13 mm, „Gap to Sleeve“: 0 mm. Sie wurde aus dem Material NextDent SG auf dem 3D-Drucker Original Prusa SL1 gedruckt (Prusa Research). In die Chirurgieschablone wurde eine Führungshülse (Steco, Modell M.27.15.D520) eingeklebt. Das Instrumentarium für die schablonengeführte Chirurgie ermöglicht bei der Implantatlänge von 12 mm zwei Abstände der Führungshülse – 2 mm oder 6 mm. Im präsentierten Fall wurde aufgrund der Dicke der Weichgewebe ein größerer Abstand gewählt. Nach Applikation einer Unterkieferanästhesie mit 2 ml Articaini hydrochloridum 40 mg/ml mit Epinephrinum 5 µg/ml wurde eine Chirurgieschablone aufgesetzt. Bei Implantaten mit einem Durchmesser von 3,5 oder 4,0 mm entfernt man in der Klinik standardmäßig das Gewebe oberhalb der Osteotomie für das Implantat nicht mit einem Trepan. Es wurde der Bohrlöffel für den Bohrer (S2.9/2.3 mm, LASAK) in die Führungshülse eingesetzt. Via Bohrlöffel wurde eine Pilotosteotomie mithilfe des langen Bohrers durchgeführt.

Anschließend wurde ein Bohrlöffel (S3.5/d2.95, LASAK) eingesetzt und die finale Osteotomie mithilfe des langen Bohrers S3.5 durchgeführt. Die Anpassung des Kortikalknochens wurde mit dem Versenkbohrer (S3.5, LASAK) ausgeführt, der mit einem C-Löffel für den Offset H10 geführt wurde. Danach wurde das Implantat (BioniQ® S3.5/L12, LASAK) mithilfe von Einbringschlüssel und Ratsche eingesetzt. Die Lasermarkierungen am Einbringschlüssel sind zur Oberkante der Führungshülse Steco kalibriert (Abb. 6).

Nach der Insertion wurde ein CBCT-Scan zur Kontrolle erstellt, der mit dem Planungs-CBCT-Scan verglichen wurde. Die geplante Position ist durch einen weißen Zylinder gekennzeichnet (Abb. 7). Das Implantat wurde plangemäß mit einer klinisch unbedeutenden Abweichung eingesetzt. Die Zeit, die man der Planung gewidmet hat, in Kombination mit dem hier verwendeten Instrumentarium und der präzise gedruckten Chirurgieschablone, ermöglichten einen schnellen Eingriff mit einem vorhersagbaren Ergebnis.

Finale Versorgung

Nach drei Monaten wurde mit der Anfertigung der Versorgung begonnen. In ähnlichen Fällen werden zwei Lösungsoptionen vorgeschlagen. Erstens die Verwendung einer Standard-Titanbasis für Versorgung mit geradem oder abgewinkeltem Schraubenkanal. Wenn der Schraubenkanal nicht an einer ästhetisch exponierten Stelle ausmündet, wird die Lösung für den nicht abgewinkelten Schraubenkanal bevorzugt. In diesem Fall würde der Schraubenzugangskanal auf der Lingualfläche münden.

Die zweite Lösungsweise besteht in der Herstellung eines individuellen Abutments und der Verwendung eines Sechskant-Schraubendrehers mit der Möglichkeit, die Schraubendreher-Achse von der Basisschrauben-Achse abzuweichen. Im vorliegenden Fall wurde die zweite Möglichkeit gewählt (Abb. 8).

Mit dem Intraoralscanner wurden je ein Scan des Oberkiefers, das Emergenzprofil des Unterkiefers, ein Scan des Unterkiefers mit Scankörper und ein Okklusionsscan (Abb. 9) erstellt.

Diese Scans wurden in offene STL-Dateien exportiert. Die Modellgestaltung wurde in einem Programm durchgeführt (exocad; Abb. 10). Die Verwendung eines Intraoralscanners ist für den Patienten deutlich angenehmer als die konventionell durchgeführte Abdrucknahme. Dank Verbesserungen und Präzisierungen von Intraoralscannern in den letzten Jahren wird die digitale Technologie auch von dem Zahntechniker an der Klinik aufgrund von mehr Komfort und höherer Geschwindigkeit präferiert. Ergänzend verkürzt sich dadurch die Behandlungsdauer.

Das individuelle Abutment (CopraTi-5 Titanium Grad 5, Whitepeaks Dental Solutions) und die Zirkonkrone (Zolid HT+ White, nachgefärbt mit Ceramill® liquid FX, Glasur Ceramill® Stain & glaze; Amann Girrbach) wurden auf einer CNC-Fräsmaschine hergestellt. Das individuelle Abutment wurde im Labor in die Zirkonkrone verklebt. Der fertige Zahnersatz ist in Abbildung 11 dargestellt. Dieses Verfahren wird gewählt, um das Risiko von Entzündungen um das Implantat durch Zementüberschüsse zu minimieren, aber auch wegen der größeren Flexibilität bei der Erreichung des gewünschten ästhetischen Ergebnisses. Eventuelle Komplikationen werden dadurch vermieden und die Sitzungszahl eingespart. Darüber hinaus bietet diese Lösung – in Hinsicht auf den Charakter von angulierten Implantaten, die anfälliger für prothetisches Versagen auf Abutmentniveau sind – bessere Optionen für eine mögliche Revision des Zahnersatzes.

Nach dem Entfernen des Gingivaformers wurde die Krone aufgesetzt und die Basisschraube mit 25 Ncm angezogen. Der Schraubenzugangskanal wurde mit Komposit verschlossen. Das Ergebnis nach der Eingliederung des Zahnersatzes ist in Abbildung 12 zu sehen. Sowohl die Okklusion als auch die Artikulation wurden geprüft. Abschließend wurde die Patientin in regelmäßige Recalls entlassen.

Zusammenfassung

Dieser Fall zeigt eine alternative Herangehensweise zur Lösung von Zahnverlust durch ein Implantat mit volldigitalem Workflow. Durch die effektive Einbindung digitaler Technologien wird nicht nur die zukünftige Versorgung mit hoher Genauigkeit geplant, sondern auch die Insertion von Implantaten mittels schablonengeführter Chirurgie in deutlicher Weise präzisiert. Ein großer Benefit der Patientenvirtualisierung und virtuellen Planung der Versorgung besteht in der Reduzierung der Häufigkeit von „prothetischen Überraschungen“, wo erst bei der Herstellung einer prothetischen Versorgung die nicht ganz passende Position des Implantats festgestellt wird. Die Behandlungszeit und die Anzahl der Patientensitzungen werden signifikant reduziert.

Die vielversprechende Zukunft der statischen schablonengeführten bzw. dynamischen computernavigierten Implantation zeigt auch die Studie von Sanz et al. aus dem Jahre 2019, wo 138 Experten aus aller Welt nach der Zukunft der Implantologie befragt wurden.7 Die Frage „Do you believe in the future implant placement will be mainly?“ wurde von 92 Prozent der Befragten als navigierte (84 Prozent) oder vollnavigierte (8 Prozent) Implantatinsertion beantwortet.

Virtualisierung und schablonengeführte Chirurgie reduzieren oft die Invasivität und damit auch das Risiko des Eingriffs in deutlicher Weise. Im vorliegenden Fall handelte es sich um eine Implantation „flapless“ im Vergleich zu einer viel invasiveren, riskanteren und teureren vertikalen Augmentation. Durch diese Verfahren wird oft die Behandlungsdauer, in der Regel um drei bis sechs Monate, verkürzt. Letztlich wird immer mehr Komfort erreicht – Verkürzung der Behandlungsdauer, Reduzierung der Sitzungszahl, Ersetzung der konventionellen Abdrucknahme – und damit Erhöhung der Zufriedenheit des Patienten. Da die Preise der Instrumentensets für schablonengeführte Chirurgie, notwendigen Programme und des 3D-Drucks sinken, kommt es in den meisten Fällen auch zum wirtschaftlichen Benefit sowohl für den Zahnarzt als auch den Patienten.

Literaturliste

Dieser Beitrag ist im Implantologie Journal erschienen.

Mehr Fachartikel aus Implantologie

ePaper