Implantologie 23.10.2012

Kollagenmatrix als Ersatz für das autologe Bindegewebs­transplantat

Die Indikationsbreite einer Notwendigkeit oralchirurgischer Eingriffe im Bereich der Parodontal- und Mukogingivalchirurgie ist vielfältig. Rezessions- und parodontale Defektdeckungen in Verbindung mit GTR/GBR, Management von Extraktionsalveolen, Weichgewebsaugmentation zur Verdickung der Gingiva, Verbreiterung der Attached Gingiva, Therapie periimplantärer Defekte – alles Maßnahmen im Bereich des Weichgewebsmanagements, die, gerade auch im Hinblick auf die wachsenden Ansprüche in den Arbeitsfeldern der ästhetischen Zahnheilkunde und Implantologie, adäquater Therapiekonzepte bedürfen.

Als Mittel der Wahl und Goldstandard für eine Vielzahl dieser Eingriffe galt bisher der Einsatz autologer, palatinaler Bindegewebstransplantate. In noch junger Konkurrenz zu diesen stehen neue, industriell gefertigte Materialien im Bereich des Weichgewebsersatzes, die das freie Bindegewebstransplantat ersetzen sollen und in Zukunft vielleicht sogar zum Standard in der oralen Weichgewebsregeneration-/augmentation werden könnten. Die Praxis zeigt immer wieder, dass viele sinnvolle und im Sinne eines angestrebten Langzeit­erfolges nötige Eingriffe unterbleiben, da die Patientenakzeptanz für die Eröffnung eines zweiten OP-Gebietes zur Entnahme eines autologen Transplantates aus dem Gaumen häufig sehr gering bzw. nicht vorhanden ist. Weichgewebsdefizite können aber den Langzeiterfolg der Gesamttherapie ganz entscheidend negativ beeinflussen. Gewünscht ist also ein industriell gefertigtes Material, das wie ein autologes Transplantat angewendet werden kann.

Dies hätte mehrere praktische Vorteile:
– Durch Wegfall des zweites OP-Gebietes zur Entnahme eines autologen Transplantates reduziert sich die Komplikationsrate, wie postoperative Schmerzen oder eventuell auftretende Wundheilungsstörungen.
– Die Patientenakzeptanz für solche Eingriffe würde erheblich steigen.
– Ein weiterer Vorteil ist die unbegrenzte Verfügbarkeit eines industriell gefertigten Materials sowie die absolut gleichbleibenden Produkteigenschaften, wie zum Beispiel die Materialstärke.
– Hier bereits vorweggenommen sei, dass eine deutlich bessere farbliche Anpassung an das umgebende Weichgewebe erzielt werden kann, als dies mit einem autologen Transplantat möglich ist.

Ein solches Material aus dem Blister ist die Kollagenmatrix MucoMatrixX (Fa. Dentegris, Duisburg). MucoMatrixX ist eine xenogene Kollagenmatrix porcinen Ursprungs (Kollagentyp I und III), die der menschlichen Kollagenstruktur ähnlich ist und als dreidimen­sionale Leitschie­ne für Weichgewebszellen und Blutgefäße dient. Laut Herstellerangaben wird MucoMatrixX während des Heilungsverlaufes in einem natürlichen, enzy­matischen Prozess in kurzer Zeit vaskularisiert, in das umliegende Gewebe integriert und in einem bis zu mehreren Monaten dauernden Prozess zu patienteneigenem Bindegewebe umgebaut. Da sich dies in meiner Praxis in einer Vielzahl von Fällen bestätigt hat, wird die MucoMatrixX mittlerweile für eine Vielzahl von Indikationen standardmäßig eingesetzt und hat sich als Mittel der Wahl erwiesen. Zwei Anwendungsmöglichkeiten werden im Folgenden mittels kurzer Fallbeispiele aus meiner Praxis beschrieben und dargestellt. Im ersten Fall ist die Kollagenmatrix MucoMatrixX eher in Konkurrenz zu einer Standard-Kollagenmembran zu sehen, während sie im zweiten Fall anstelle eines autologen Transplantates eingesetzt wird.

Fallbeispiel 1: Sofortimplantation, Augmentation und Abdeckung mit MucoMatrixX

Der folgende Fall ist zeigt eine ganz einfache Anwendungsmöglichkeit des Materials im täglichen Ablauf einer implantierenden Praxis. Die Herausforderung liegt hier in der zu gewährleistenden ruhigen Lage des Augmen­tates sowie der absoluten Vermeidung von Entzündungsreaktionen durch Nahtdehis­zenzen mit Membranexposition. Gefordert ist also ein spannungsfreier, speicheldichter Nahtverschluss. Dieser ist häufig nur mit einer zusätzlichen Mobilisation der Gingiva, wie Periostschlitzung, zu erreichen (Die Problematik der deutlich reduzierten Durchblutung im Gebiet der Periostmobilisation/Periostschlitzung ist bekannt). Im gezeigten Fall arbeitet noch die Zugwirkung des einstrahlenden Frenulum buccale einem spannungsfreien Nahtverschluss entgegen. Mit der ge­genüber einer handelsüblichen Standard-Kollagenmembran deutlich dickeren und robusteren MucoMatrixX konnte auf die Gin­givamobilisation und den speicheldichten Nahtverschluss gänzlich verzichtet werden. Nach schonender Extraktion (Abb. 1) des Zahnes 26 wurde die Sofortimplantation als das Mittel der Wahl angesehen. Die Inkongruenzen zwischen Implantat und Alveole wurden mit Knochenersatzmaterial (CompactBone B, Fa. Dentegris, Duisburg) aufgefüllt (Abb. 2). Bei der Anwendung und Verarbeitung ist zu beachten, dass die Membrane früh genug für ca. 10–15 Minuten in NaCl rehydriert wird. Erst dann wird sie geschmeidig und verarbeitbar. In diesem Zustand wurde sie unter die Wund­räder geschoben und leicht adaptiert. Die Wundräder wurden lediglich mit Positionsnähten fixiert (Abb. 3). Drei Monate post OP (Abb. 4) zeigt sich eine völlig reizlose, dicke Gingiva. Ideale Voraussetzungen für die nachfolgende Freilegungs-OP (Abb. 5) und abschließender Versorgung mit einer Voll­keramikkrone (Abb. 6), gezeigt zwölf Monate post OP.

Fallbeispiel 2: Vestibulumplastik mit MucoMatrixX-Abdeckung

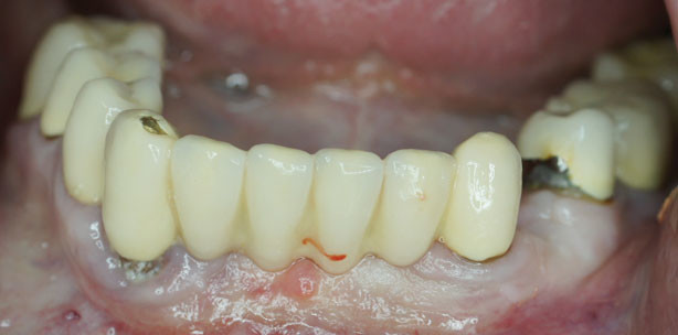
Die Vestibulumplastik wird gerade im Zeitalter der Implantologie sicher nicht mehr so häufig angewendet wie früher, hat aber nach wie vor ihre Indikationen. Im folgenden Fall wird sie zur Beseitigung beweglicher Schleimhaut und Zugbelastung einstrahlender Bänder eingesetzt. Ausgangslage war eine insuffizient gewordene, alio loco hergestellte, Brückenkonstruktion, die nach notwendiger Extraktion des sich im Brückenverbundes befindlichen Zahnes 34 mit einer gleichzeitig unbefriedigenden Situation der befestigten Schleimhaut, starker Rezession an Zahn 43 und kaum noch vorhandener Papillenstruktur einherging (Abb. 7). Ziel war es, einen Zugewinn an Attached Gingiva zu erzielen, um die nachfolgend zu erneuernde Brücken-Versorgung mit langzeitstabilen Gingivaverhältnissen zu unterstützen. Um eine zusätzliche Belastung des Patienten zu vermeiden, wurde die Abdeckung des OP-Gebietes anstelle des klassischen Bindegewebstransplantates mittels zweier MucoMatrixX geplant. Nach erfolgter Schnittführung und Split-Flap-Präparation wurden diese auf die periostale Unterlage gelegt, nach koronal unter die Gingiva geschoben, medial mit einer Naht an der Gingiva (ohne Durchstechung des Periosts) befestigt, nach distal leicht aufgespannt und dort mit einer weiteren Naht fixiert. Intraoperativ zeigt sich die mit Blut infiltrierte MucoMatrixX (Abb. 8). Der Patient ist während der ersten Tage nach der OP angewiesen, 3- bis 4-mal täglich mit Chlorhexidin vorsichtig, ohne zu große Mundbewegung, zu spülen. Eine Zahnbürste ist im Wundbereich 10–14 Tage tabu. Nach drei Monaten zeigt sich, nach völlig komplikationslosem Heilungsverlauf, die gute Integration und der erfolgte Umbau der Kollagenmatrix in patienteneigenes Bindegewebe (Abb. 9). Nach sechs Monaten erfolgte die Neuversorgung mit einer Brücke von 35–44 (Abb. 10). Deutlich zu sehen ist der Zugewinn an befestigter Gingiva mit einer klaren Abgrenzung zur Mukosa sowie eine schon gut ausgeprägte Papillenstruktur.

Fazit

In einer Vielzahl von Fällen kann die Kollagenmatrix MucoMatrixX als Ersatz für ein autologes Bindegewebstransplantat eingesetzt werden. Auch im Bereich der hier nicht gezeigten Rezessionsdeckung zeigt das Material in der Praxis gute Ergebnisse. Die Kollagenmatrix zeigt sich auch in exponierter Lage als sehr unanfällig und robust gegen schädliche Einflüsse aus der Mundhöhle, was sicher der sehr schnellen und guten Vaskularisierung des Materials geschuldet ist. Als großer Vorteil zeigt sich die eklatant erhöhte Zustimmungsrate der Patienten im Gegensatz zum klassischen Vorgehen mit palatinaler Entnahmestelle.


Autor: Dr. Harald P. Hüskens

Mehr Fachartikel aus Implantologie

ePaper