Implantologie 15.08.2016

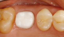
Reversibel verschraubtes Keramikimplantat im Frontzahnbereich



Reversibel verschraubtes Keramikimplantat im Frontzahnbereich

Foto: © Autor

Keramikimplantate haben ihr Schattendasein als Exoten der Implantologie verlassen und finden heute zunehmend ihren Weg in die moderne Zahnarztpraxis. Das in der Bevölkerung gestiegene Gesundheitsbewusstsein und die damit gestiegene Nachfrage nach metallfreien Versorgungsalternativen sind sicher auch Gründe für diesen beobachtbaren Trend.

Der Trend „metallfrei“ lässt sich bereits seit Längerem schon vor allem in der Kronen- und Brückenprothetik erkennen und wird nun auch konsequenter­weise in der Implantologie fortgeführt. Laut einer Umfrage der Firma Straumann würden 53 % der befragten Patienten korrekterweise dem behandelnden Zahnarzt die Auswahl des Implantatmaterials überlassen, aber immerhin 35 % der Patient würden sich für ein Keramikimplantat und nur 10 % für ein Titanimplantat entscheiden (N. N. 2 %).1


Biokompatibilität Titan

Vielleicht ist die gesteigerte Nachfrage auch nicht ganz zu Unrecht, denn erste Studien lassen vermuten, dass Titanimplantate nicht ganz so biokompatibel sein könnten, wie es bisher immer postuliert wird. Dass Titanimplantate vor allem in Anwesenheit von Lipopolysacchariden aus Bakterienwänden einer Biokorrosion unterliegen und dass Titanpartikel im periimplantären Hart- und Weichgewebe gefunden werden, steht heute bereits außer Frage.2–5 Für einen gewissen, noch nicht bekannten prozentualen Anteil der Patienten dürfte dies zumindest nicht ganz unproblematisch sein.

 

Die oft angeführte Titanallergie spielt ­jedoch keine Rolle, denn eine Titanallergie im Sinne einer für Metalle typischen Typ IV-Sensibilisierung ist immunologisch betrachtet nicht möglich. Die klassischen Mechanismen einer solchen Typ IV-Sensibilisierung auf Metalle basieren auf dem Vorhandensein freier Metall­ionen, wie sie beim Titan aufgrund der hohen Reaktivität und der sofortigen Titandioxidbildung nicht vorliegen können. Diesbezügliche Berichte sind eher auf die Sensibilisierung auf weitere ­Legierungsbestandteile wie Aluminium und Vanadium (Titan Grad V) oder auf Verunreinigungen wie durch Nickel oder Chrom (auch bei Reintitan Grad IV) zurückzuführen.6 Die durch Korrosion und Abrieb entstandenen Titandioxidpartikel werden durch Gewebsmakrophagen phagozytiert, welche in der Folge im Sinne einer chronischen unspezifischen Entzündungsreaktion proinflammatorische Zytokine wie TNF-a und Interleukin-1b sezernieren. Kommt es zu einer erhöhten Sekretionsrate dieser Zytokine, spricht man von einer Titanunverträglichkeit, welche bereits im Vorfeld einer Implantation durch eine Blutentnahme festgestellt werden kann (Titanstimmulationstest). Vieles weist darauf hin, dass diese Vorgänge unter anderem zur Entstehung einer Periimplantitis beitragen können und selbst Einfluss auf die Entstehung systemisch chronischer Erkrankungen zu haben scheinen.7 Weitere Studien müssen folgen.

Verbesserte Eigenschaften Zirkonimplantate

Auch in der Zahnärzteschaft lässt sich ein zunehmendes Interesse an Keramikimplantaten als Ergänzung und Erweiterung des Behandlungsspektrums erkennen. Denn moderne Keramikimplantate begegnen Titanimplantaten heute nahezu auf Augenhöhe, mit vergleichbaren Erfolgsraten und deutlichen Unterschieden zu früheren Keramikimplantaten.8

Vor allem bei Material und Oberflächendesign hat eine rasante Weiterentwicklung stattgefunden. Materialien wie Y-TZP-A mit einer Biegefestigkeit von bis zu 1.200 MPa oder wie ATZ mit sogar bis zu 2.000 MPa Biegefestigkeit lassen das Frakturrisiko auf ein Minimum schrumpfen.9,10 Ein Alterungsprozess durch hy­drothermale Degradation besitzt klinisch kaum eine Relevanz.11 Die neben der Edelkorundstrahlung (Makro-Strukturie­rung) durchgeführte Säureätzung der Implantatoberfläche (Micro-Strukturierung) führt zu ge­steigertem und dem Titan vergleichbaren Bone-Implant-Contact (BIC). Damit stehen die Keramik­implantate auch hinsichtlich der Osseo­integration Titan­implantaten in nichts mehr nach.12–14

In der richtigen Indikation und bei Beachtung der Hersteller-Guidelines stellen Keramikimplantate heute eine sichere und zuverlässige Versorgungsvariante dar, zumal sie gegenüber Titan­implantaten sogar Vorteile aufweisen.

Weichgewebe und Keramik

Allem voran wird seitens der Hersteller der Keramikimplantate die Ästhetik angeführt. Jedoch lässt sich selbstverständlich auch mit Titanimplantaten eine hervorragende Ästhetik erzielen. Voraussetzung ist das Vorhandensein einer mindestens 2 mm dicken periimplantären Mukosa, welche ein gräuliches Durchschimmern der Implantate verhindert.15 Ist dies nicht der Fall, sollte eine Verdickung der Mukosa mit Bindegewebstransplantaten erfolgen, was zusätzliche Morbidität für den Patienten bedeutet. Bei Keramikimplantaten ist dies in den meisten Fällen vermeidbar. Auch die alternative Verwendung vollkeramischer Abutments als Problemlösung sollte vermieden werden. Die Mikrobewegung des harten Zirkons auf dem weicheren Titan führt zu Abrieb des Titans und kann bis zur Zerstörung des Implantat-Interfaces führen.16,17

Das Hauptargument für den Einsatz von Keramikimplantaten sind die positiven Auswirkungen des Materials auf das periimplantäre Weichgewebe. Dieser Fakt ist jedem Zahnarzt bekannt, welcher die Gewebe um metallkeramische Verblendkronen und Vollkeramikkronen vergleicht. Das gilt gleichfalls für das Material der Implantate. Der Werkstoff Keramik zeigt eine wesentlich geringere Plaqueanlagerung und geringere bakterielle Adhäsionen.18,19 Auch die zirkuläre Durchblutung entspricht bei Keramik dem natürlichen Zahn und ist bei Titan signifikant verringert.20

Einteilig vs. zweiteilig

Dem steht gegenüber, dass die meisten Keramikimplantate heute noch einteilige Systeme sind. Dies kommt zwar dem prothetisch tätigen Zahnarzt zunächst entgegen, da die Protokolle bei Abformung und Zementieren der Restauration den Protokollen bei der Versorgung eines natürlichen Zahnes entsprechen. Jedoch ist eben nur Zementieren möglich und die Entfernung des Zementes ist bei einem mehr als 1 bis 1,5 mm subgingival liegenden Kronenrand nicht mehr zuverlässig möglich.21 Einteilige Systeme sollten daher korrekterweise Tissue Level positioniert werden. Auch erfordert dieser Implantattyp eine hohe Primärstabilität vor allem für die provisorische Phase während der Einheilzeit und eine exakte, den prothetischen Anforderungen entsprechende vertikale und horizontale Ausrichtung der Implantatachse. Im ästhetischen Frontzahnbereich erfordert dies aufgrund der anatomischen Gegebenheiten in vielen Fällen ausgedehntere augmentative Maßnahmen, wobei ein gedeckter Wundverschluss angestrebt wird.22 Bei einteiligen Implantaten ist ein vollständiger Wundverschluss nicht möglich.

Hier liegt der Vorteil zweiteiliger Systeme, welche zunächst nach dem Eingriff eine unbelastete Einheilung und eine gedeckte Wundheilung ermöglichen. Nach abgeschlossener Einheilphase erfolgt bei diesen Systemen die Abutment Connection üblicherweise durch Zementieren des Abutments auf dem Implantat. Die Restauration wird ebenfalls zementiert. Analog den einteiligen Implantaten muss die Implantatschulter wiederum epigingival positioniert werden, da sie die Lage des Kronenrandes definiert. Das zweiteilge Implantat wird in der prothetischen Phase wieder zum einteiligen Implantat und ist damit nicht mehr flexibel oder reversibel.

Neue Konzepte: zweiteilig verschraubt

Flexibel und reversibel ist nur die Verschraubung von Abutment und Restauration, wie es heute der Goldstandard der restaurativen Versorgung von Titan­implantaten ist. Die Vorteile liegen auf der Hand: Kein Risiko für Zementüberschüsse, einfaches Weichgewebsmanagement, Ausformung des Emergenzprofiles sowie einfache Reparatur- und Reentry-Optionen.

Da Keramiken auf Druck wesentlich stärker belastbar sind als auf Zug, bringt die Verschraubung von Zirkonabutment mit Zirkonimplantat und mit Metallschrauben wieder neue Herausforderungen mit sich.23 Metallschrauben bringen eben solche, für den Werkstoff Keramik, ungünstige Zugkräfte und Spannungsspitzen in das Implantat. Durch Reibung und Fretting kann Verschleiß und Abrieb an der Schraube entstehen.24

Einen völlig neuen Lösungsansatz bringt hier die Firma Dentalpoint mit dem ZERAMEX P6 Implantat. Dieses Implantat besteht aus hochfester ATZ-Keramik mit einer Biegefestigkeit von 2.000 MPa. Die Implantatoberfläche ist sandgestrahlt und die Säureätzung zusätzlich mikrostrukturiert. Das Implantatdesign ist analog und kongruent dem Straumann SP Implantat, welches in einer Implantatstudie (Schwedisches Implantatregister) am besten abschnitt.25 Ebenfalls analog mit dem Straumann SP Implantat ist daher auch das chirurgische Protokoll des Zeramex P6, es können sogar die original Straumann-Instrumente für die chirurgische Phase verwendet werden. Der Unterschied besteht im Implantat-Interface, welches beim P6 aus einem Außensechskant besteht. Auf diesem „Außen-Hex“ (Abb. 1) kann das Abutment (straight oder angulated) in sechs Positionen rotationsgesichert platziert werden, ohne das Überlastungen in das Implantat eingeleitet werden.

Die besondere Innovation liegt in der Verschraubung mit einer erstmals wirklich metallfreien Schraube aus dem Hochleistungsmaterial VICARBO (Abb. 2). Dieses Material wird bereits seit mehreren Jahren als Cages in der Wirbelsäulenchirurgie eingesetzt, wo es seine Stabilität und Biokompatibi­lität bewiesen hat. Bei VICARBO handelt sich um eine PEEK-Matrix mit einem 60%igem Anteil durchgängiger, nicht unterbrochener Carbonfasern, wodurch die extrem hohe Zugfestigkeit erreicht wird. Theoretisch ist ein Anzugsmoment der Schraube von bis zu 85 Ncm möglich, klinisch wird jedoch nur eine Anzugskraft von 35 Ncm wie bei Titanschrauben benötigt. Die Übertragung der Kräfte erfolgt nicht wie bei Metallschrauben mit scharfen, sondern mit runden Gewindegängen, was eine gleichmäßige Krafteinleitung ohne Spannungsspitzen in den Implantatkörper ermöglicht. Belastungstests nach ISO 14801 zeigten gute Ermüdungsfestigkeiten mit Werten, welche mit Verbindungen aus Titan verglichen werden können.

Durch diese innovative Verschraubung können nun auch Vorteile verschraubter Titanimplantate auch metallfrei mit Keramikimplantaten umgesetzt werden, wie es im folgenden Fall dargestellt wird.

Patientenfall

Ein 63-jähriger Patient (Nichtraucher) stellte sich mit dem Wunsch einer metallfreien Versorgung mit Keramikimplantaten in der Praxis vor. Die beiden lateralen Schneidezähne wurden bereits elf Wochen zuvor alio loco im Ausland, angeblich wegen insuffizienter, nicht revidierbarer Wurzelfüllungen, entfernt (Abb. 3 und 4). Überprüfen ließ sich dies nicht, da keine Dokumentation der Ausgangssituation zu erhalten war. An 23 fand sich eine apikale Ostitis, eine Therapie (Wurzelspitzenresektion) erfolgte mit der Implantation. Eine Brückenversorgung kam wegen gesunder Nachbarzähne nicht in Betracht. Die allgemeinmedizinische Anamnese war unauffällig. Die zunächst nicht optimale Mundhygiene konnte durch Instruktion und Motivation deutlich verbessert werden.

Die Ausgangssituation zeigte ausreichendes Knochenvolumen mit resorptionsbedingt bukkalen knöchernen Defiziten an den Extraktionsstellen und Einziehungen in der Fossa incisiva rechts und links (Abb. 5). Zur Vermeidung weiterer resorptiver Vorgänge und für eine ästhetische Unterstützung der Weichgewebe wurde eine laterale ­Konturaugmentation vorgesehen, deren speicheldichter Verschluss mit simultaner Implantation ein zweiteiliges Implantatsystem bedarf.26

Nach lokaler Anästhesie erfolgte eine krestale, leicht palatinal versetzte Schnittführung mit jeweils nur einer bukkalen, nach distal angelegten Entlastungsinzision. Da das hier verwendete Implantat (ZERAMEX P6 Implantat) im Design kongruent zum Straumann SP Titan-Implantat ist, erfolgte die Insertion von zwei Implantaten mit je 4,1 mm Durchmesser und 12 mm Länge analog dem chirurgischen Protokoll (Straumann SP Implantat) innerhalb der Komfortzone:27 Implantatschulter 2 mm unterhalb der Schmelz-Zement-Grenze der Nachbarzähne, leicht palatinal versetzt mit einer für eine palatinale Verschraubung geeigneten Achsneigung. Diese tiefe Positionierung der Implantatschulter ist nur möglich, da das Implantat zementfrei verschraubbar ist (Abb. 6–8b).

An beiden Implantatpositionen wurde eine laterale Konturaugmentaton (Bio-Gide, Bio-Oss) durchgeführt. Unter anderem dient dies zur Vermeidung von Rezessionen, welche durch das auch bereits bei SP Implantaten beschriebene, trichterförmige, aber stets stabile Bone Remodeling entstehen könnten.28 Um einen möglichst spannungsfreien Wundverschluss zu erreichen, wurde die Kollagenmembran gelocht und über das Implantat gezogen (Abb. 9 und 10). Nach Periostschlitzung konnte das Operationsgebiet bakte­riendicht vernäht werden. Der Heilungsverlauf war komplikationslos.

Bei der Implantateröffnung zwölf Wochen post OP zeigte sich über dem Implantat 12 eine leichte, vollkommen reizlose Perforation (Abb. 11). Der Gingivaformer konnte hier daher ohne weitere Maßnahmen eingebracht werden (Abb. 12). Das Implantat 22 war vollständig bedeckt und wurde mit ­einem bukkal gestielten Roll-Flap eröffnet (Abb. 13).

14 Tage nach Reentry wurde die Erst­abformung mit Abformpfosten analog zu Titanimplantaten durchgeführt (Abb. 14 und 15). So kann eine Manipulation des neuen hemidesmosomalen Attachments am Implantathals durch Elektrotom oder Retraktionsfaden ver­mieden werden, wie es sonst bei einteiligen oder bereits zementierten zweiteiligen Implantaten zur Darstellung der Implantatschulter und damit des Kronenrandes notwendig ist. Das Emergenzprofil entspricht noch nicht der gewünschten Form, sondern dem runden zylindrischen Gingivaformer. Die Abutments können zwar bereits individuell angepasst werden (Abb. 16), jedoch bietet die Verschraubung die Möglichkeit, das Emergenzprofil schrittweise weiter auszuformen. Im Labor wird auf dem provisorischen PEEK-­Sekundärteil die provisorische Res­tauration mit Überhang hergestellt und palatinal verschraubt eingegliedert (Abb. 17). Der Überhang markiert den gewünschten Verlauf der späteren marginalen Mukosagirlande.

14-tägig wird nun dieser Überhang mit Flowable Composite Schritt für Schritt ergänzt und somit das Austrittsprofil ausgeformt (Abb. 18–21), was im vorliegenden Fall nach sechs Wochen abgeschlossen war. Nun kann die zweite individuelle Abformung für die Herstellung der definitiven Restauration erfolgen, welche auch das neu gestaltete Emergenzprofil erfasst. Die Abutments erlauben durch die Verschraubung viele prothetische Versorgungsvarianten, so ist beispielsweise Zementieren auf verschraubten Abutments oder extra- und intraorales Verkleben analog einer Titan-­Klebebasis möglich.

Im vorliegenden Fall wurde auf jegliche Zement- oder Klebefuge verzichtet. Das Abutment wurde daher direkt mit e.max Press überpresst, das Emergenzprofil entsprechend der Ausformung ­gestaltet (Abb. 22). Der palatinale Schraubenkanal wurde im Durchtritt der Breite der Schraube angepasst, was ein einfaches Auswechseln der Schraube und der Restauration ermöglicht.

Für die Eingliederung der Restauration wird empfohlen, der Schraube wirklich zu vertrauen und sie mit dem vorgegebenen Torque von 35 Ncm anzuziehen. Nur so wird gewährleistet, dass sich das gegenüber dem Zirkon duktilere ­VICARBO gleichmäßig der Innengeome­trie des Implantates anschmiegt und für einen möglichst nahtlosen Verschluss sorgt. Der Schraubenzugangskanal wird mit Teflonband und Composite verschlossen (Abb. 23). Auch 1,5 Jahre nach der Eingliederung zeigten sich stabile und entzündungsfreie Verhältnisse. Das Bone Remodeling ist abgeschlossen und unverändert (Abb. 24 und 25).

Resümee

Die neuartige Verschraubung des hier verwendeten Keramikimplantates er­möglicht alle Varianten der restaurati­ven Versorgung, wie sie bei Titan Standard sind. Selbst der digitale Workflow wird über die Verschraubung ermöglicht. Hierfür stehen ein Scanbody und das Abutment (ZERABASE) als spezielle Klebebasis aus Zirkon zu Verfügung. Das Implantat (ZERAMEX P6) ermöglicht es somit, fast alle bisher mit Titanimplantaten gewohnten Behandlungsprotokolle auch in der Implantologie mit Keramikimplantaten umzusetzen.

Eine ausführliche Literaturliste finden Sie hier.

Mehr Fachartikel aus Implantologie

ePaper