Implantologie 06.03.2014

Therapieoption lokale Antibiose bei periimplantären Erkrankungen



Therapieoption lokale Antibiose bei periimplantären Erkrankungen

Foto: © Autor

Während Implantate in der Deutschen Mundgesundheitsstudie von 1997 (DMS III) noch keine statistisch messbare Größe darstellten, wiesen 2005 bereits 1,4 Prozent der Erwachsenen mindestens ein Implantat auf (DMS IV). Mit derzeit ca. 1 Million in Deutschland gesetzter Implantate pro Jahr steigt das Risiko einer periimplantären Entzündung, welche den langfristigen Erhalt gefährdet. Da Implantate einen hochwertigen und ebenso kostenintensiven Zahnersatz darstellen, benötigen sie eine gezielte Nachsorge, idealerweise in drei- bis viermonatigen Intervallen.

Die Anwesenheit von dentalen und periimplantären Biofilmen stellt den wichtigsten ätiologischen Faktor für die Entstehung der periimplantären Entzündungen, Mukositis (ein reversibler Entzündungsprozess im Weichgewebe um ein funktionierendes Implantat, vergleichbar einer Gingivitis) und Periimplantitis (Entzündungsprozess der zusätzlich zu Weichgewebssymptomen durch einen Verlust an periimplantärem Knochen gekennzeichnet ist, vergleichbar einer Parodontitis) dar. Ziel sowohl der Prävention, aber auch der Behandlung periimplantärer Entzündungen ist daher die Reduktion der mikrobiellen Keimbesiedlung, die Schaffung stabiler periimplantärer Verhältnisse und im optimalen Fall die Regeneration des verloren gegangenen Knochens. Klinisch gesehen wird eine Reduktion der Sondierungstiefen und der Blutungswerte angestrebt. Sowohl bei der Parodontitis- als auch bei der Periimplantitistherapie gilt der nicht chirurgische Ansatz zunächst als primäre Maßnahme zur Beseitigung der Infektion. Wenn sich bei der Reevaluation aufgrund persistierender vertiefter Taschen mit Blutung auf Sondierung die Notwendigkeit für weitere therapeutische Maßnahmen ergibt, schließt sich in einer zweiten Phase die chirurgische Intervention an. Dem Behandler steht neben der konventionellen Handinstrumentierung eine Auswahl verschiedener nicht chirurgischer Verfahren zur Verfügung, wie z.B. der Einsatz von Ultraschall/Schallgeräten, Lasersystemen oder Pulverstrahlgeräten. Die Erfolgschancen einer rein mechanischen Therapie sind allerdings in der Behandlung periimplantärer Infektionen stärker limitiert als in der Behandlung einer Parodontitis, sodass die zusätzliche Anwendung lokaler antimikrobieller Agentien sinnvoll sein kann. Bislang gibt es jedoch keinen zuverlässigen Nachweis, welche der zur Verfügung stehenden Therapieansätze der wirksamste zur Behandlung der Periimplantitis ist – ohne damit andeuten zu wollen, dass die momentan angewandten Verfahren unwirksam seien (Esposito et al., 2012). So zeigt z.B. der adjuvante Einsatz lokaler Antibiotika effektive Verbesserungen der klinischen Parameter in der nicht chirurgischen Periimplantitistherapie (Büchter et al., 2004; Renvert et al., 2006).

Ein Fall von Periimplantitis

Erstmals stellte sich der Patient im Alter von 66 Jahren im Jahr 2006 in der Universitätsklinik mit seit längerer Zeit bestehenden Zahnfleischbeschwerden vor. Die zahnärztliche Eingangsuntersuchung ergab als Diagnose eine generalisierte chronische Parodontitis. Der Patient wurde über die notwendige Durchführung einer systematischen Parodontitisbehandlung aufgeklärt und zur weiteren Erstdiagnostik (Risikofaktoren, PA-Status usw.) aufgenommen. Nach mehrmaligen Vorbehandlungen im Rahmen der Initialtherapie I wurde die nicht chirurgische Therapie, subgingivales Scaling und Root Planing (Initialtherapie II) durchgeführt und der Patient nach der abschließenden Reevaluation in die unterstützende Parodontaltherapie (UPT) aufgenommen. Dem Patienten wurde die Nachsorge im 6-Monats-Intervall empfohlen, der er allerdings nur bis zum Jahr 2007 nachkam.

Derselbe Patient stellte sich im März 2012 im Alter von 72 Jahren nach Implantatversorgung (im Jahr 2010) und parodontaler Nachsorge alio loco zur Einholung einer Zweitmeinung bezüglich der Erhaltungswürdigkeit seiner Zähne 24 und 27 erneut in der Universitätsklinik vor. In der allgemeinen Anamnese gab er neben einer durchgemachten Endocarditis im Jahre 1956 (die jedoch keine antibiotische Prophylaxe erforderte) und einer Belastungshypertonie die Einnahme von ACE-Hemmern sowie Blutdrucksenkern an. Die zahnärztliche Untersuchung zeigte ein konservierend und prothetisch versorgtes Gebiss mit nicht erhaltungswürdigem Zahn 27, der extrahiert wurde. Da der Patient sich für eine Behandlung in der Abteilung entschied, erfolgte eine erneute systematische Parodontaltherapie mit drei Vorbehandlungsterminen sowie einem subgingivalen Scaling und Root Planing (insbesondere auch an Zahn 24). Aufgrund einer hohen bakteriellen Belastung durch die Bakterien P. gingivalis (+++) sowie T. forsythia (+++), T. denticola (++), P. micros (++) und F. nucleatum (+++) (Bakterientest Paro Check 20), erfolgte nach Abschluss des subgingivalen Débridements eine dreitägige Antibiose mit Azithromycin 500 mg (1 Tablette täglich; Muniz et al. 2013). Es erfolgten außerdem Restaurationen sowie endodontische Maßnahmen an den Zähnen 33 und 32.

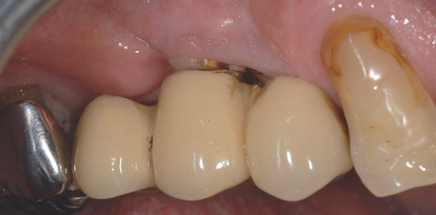
Im Rahmen der ausführlichen Untersuchung und Befundung im März 2012 wurden zudem an den Implantaten Regio 14 und 15 (Abb. 1) erhöhte Sondierungstiefen von 6 mm bzw. 7 mm, jeweils mit Blutung auf Sondierung (Abb. 2) festgestellt. Aufgrund der klinischen Hinweise auf eine Periimplantitis wurde eine röntgenologische Kontrolle der Implantate durchgeführt. Der Röntgenbefund (Abb. 3) ergab einen generalisierten horizontalen Knochenverlust Regio 14, 15 mit vertikalen Knocheneinbrüchen Regio 15 und bestätigte die Diagnose der Periimplantitis an beiden Implantaten. Als erste Therapiemaßnahme erfolgte im Rahmen der systematischen Parodontitistherapie das subgingivale Débridement auch an den Implantaten. Da sich bei der Reevaluation eine Persistenz der Blutung sowie der Taschentiefen ergab, wurde dem Patienten die unterstützende Applikation eines lokalen Antibiotikums an den Implantaten (ST ≥ 5 mm, Blutung auf Sondierung) vorgeschlagen – auch im Hinblick darauf, dass der Patient eine chirurgische Intervention zunächst einmal ablehnte, sodass die adjuvante Antibiose die einzige sinnvolle Therapieoption darstellte. An dieser Stelle sei darauf hingewiesen, dass bis dato keines der momentan in Deutschland auf dem Markt erhältlichen lokalen Antibiotika für die Behandlung periimplantärer Erkrankungen zugelassen ist.

Anschließend an die mechanische Entfernung des Biofilms mittels Perioflow (EMS) und Erythritolpulver wurde das lokale Antibiotikum Ligosan Slow Release (Heraeus Kulzer), ein 14%iges bioresorbierbares Doxycyclingel, in die vertieften Taschen der Implantate Regio 14 und 15 appliziert. Zur Applikation (s. Schema 1) wurde die Applikationskanüle aus Kunststoff zunächst bis zum Fundus der periimplantären Tasche eingeführt und anschließend unter kontinuierlicher Gelabgabe langsam nach koronal geführt, bis überschüssiges Gel am Zahnfleischsaum zu erkennen war. Mittels einer leichten Drehbewegung des Applikators wurde das Gel am Gingivarand „abgedreht“ und der Überschuss mit einem feuchten Wattepellet versäubert bzw. in die Tasche adaptiert. Abschließend wurde der Patient darüber aufgeklärt, dass er die mit Ligosan behandelten Stellen in den nächsten zwölf Stunden nicht putzen sowie in den ersten sieben Tagen nach der Behandlung nicht interproximal reinigen sollte. Die Reevaluation ca. sieben Monate nach der ergänzenden Anwendung des lokalen Antibiotikums zeigte stellenweise eine Reduktion der Sondierungstiefen um bis zu 3 mm an den Implantaten Regio 14 und 15 sowie einen deutlichen Rückgang der Blutungsneigung (Abb. 4). Auch röntgenologisch (Abb. 5) ließ sich mit der Zunahme der Knochendichte in den vertikalen Knocheneinbrüchen sowie dem Ausbleiben von fortschreitendem horizontalem Knochenabbau ein gewisser therapeutischer Erfolg feststellen.

Mögliche Ursachen für die noch bestehenden vertieften Taschen können in der erschwerten Biofilmentfernung aus Schraubenwindungen oder rauen Oberflächen bei Implantaten liegen (Lang und Berglundh, 2011). Eine chirurgische Intervention lehnte der Patient weiterhin ab; er wurde in ein engmaschiges Recall im Drei-Monats-Intervall zur Nachsorge aufgenommen mit evtl. wiederholter Applikation von Ligosan.

Fazit

Die ergänzende Anwendung eines lokalen Antibiotikums stellt eine vielversprechende Möglichkeit zur Dekontamination der Implantatoberfläche in der nicht chirurgischen Periimplantitistherapie dar.

Hier gibt's die vollständige Literaturliste

Mehr Fachartikel aus Implantologie

ePaper