Implantologie 27.03.2015

Chairside-Fertigung einer Hybrid-Abutmentkrone



Chairside-Fertigung einer Hybrid-Abutmentkrone

Um eine adäquate prothetische Versorgung zu gewährleisten, ist der Behandler in einigen Fällen nicht mehr auf konventionelle Abdrucknahme mit Fertigung im zahntechnischen Labor angewiesen. Mithilfe virtueller Konstruktion lassen sich individuelle Hybrid-Abutments und Hybrid-Abutmentkronen auch chairside fertigen. Dass dieses Behandlungsvorgehen alltagstauglich ist, zeigen die folgenden drei Fallbeispiele.

In den letzten zehn Jahren hat sich die computergestützt gefertigte Restauration in der Implantatprothetik als Standard etabliert. Vorteile, wie die Verwendung von Vollkeramiken oder die digitale Abformung, lassen sich nun seit Kurzem auch chairside nutzen. Durch die Einführung von Keramikblöcken mit vorgefertigtem Schraubenkanal und Verdrehsicherung liegt ein alltagstauglicher Workflow für die Chairside-Fertigung von individuellen Hybrid-Abutments und Hybrid-Abutmentkronen vor. Anhand der vorliegenden Patientenfälle wird auf Indikation, Materialwahl, Befestigung und Studienlage eingegangen.

Patientenfall 1

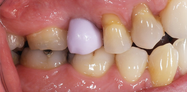
Die 35-jährige Patientin stellte sich erstmalig im September 2013 in unserer Praxis vor. Allgemeinanamnetisch gab es keine Besonderheiten. Sie klagte über Schmerzen im 2. Quadranten. Nach der klinischen Untersuchung und der radiologischen Befundung stellte sich Zahn 26 als nicht erhaltungswürdig heraus (Abb. 1). Die Patientin wurde über die verschiedenen Behandlungsoptionen wie WF-Revision, zweite WSR und Extraktion mit anschließender Implantation aufgeklärt. Zahn 26 wurde extrahiert und zwölf Wochen später erfolgte die Implantation (4,3 x 9 mm, CAMLOG) (Abb. 2–4). Es wurde auf die geschlossene Einheilung verzichtet und das Implantat wurde mit einem flachen Gingivaformer (2 mm) verschlossen. Somit konnte auf eine weitere Operation für die Freilegung verzichtet werden.

Chairside-Workflow

Die prothetische Versorgung erfolgte zehn Wochen nach Implantation innerhalb von einer Sitzung unter Verzicht auf ein physisches Modell. Der digitale Abdruck erfolgte mit der CEREC Bluecam (Sirona). Da auf eine Freilegung verzichtet werden konnte und keine offenen Wundränder vorlagen, konnten wir ohne Bedenken das Puder für den Scanvorgang verwenden (Abb. 5). Nach Einsetzen der TiBase (CAMLOG; Abb. 6), die auch später als Titan-Klebebasis für die chairside gefertigte Hybrid-Abutmentkrone aus Lithiumdisilikat (e.max, Ivoclar Vivadent) dient, wurde der passende ScanPost (Sirona; Abb. 7) auf die TiBase gesetzt. Vor der Abformung wurde der Sitz der TiBase radiologisch kontrolliert (Abb. 8).

Die virtuelle Konstruktion erfolgte mit der CEREC Software 4.2 und ist ähnlich der Konstruktion von Kronen aufgebaut. Vorteil der virtuellen Konstruktion ist, dass das Emergenzprofil flexibler steuerbar ist. Der Druck auf die Gingiva kann individuell eingestellt werden. Wobei Verdrängungen von etwa 0,5 mm sich als unproblematisch dargestellt haben. Weitere Parameter wie Mindeststärken und Lage des Schraubenkanals sollten nach Herstellerangaben eingestellt und konstruiert werden.

Die Herstellung der Hybrid-Abutmentkrone erfolgte in der CEREC Schleifeinheit MC XL (Sirona; Abb. 9). Nach der Farbbestimmung fiel die Wahl auf einen e.max-Keramikblock mit der Bezeichnung LT A2 A16 (L) (Ivoclar Vivadent). Nach dem Glasieren und Bemalen erfolgte der Kristallisations- beziehungsweise Kombinationsbrand (Programat CS, Ivoclar Vivadent).

Anschließend wurde die monolithisch geschliffene Abutmentkrone extraoral mit der TiBase verklebt (Multilink Hybrid Abutment, Ivoclar Vivadent; Abb. 10). Die Hybrid-Abutmentkrone wurde eingeschraubt und der Schraubenkanal mit Teflonband (3M ESPE) und Komposit (Empress, Ivoclar Vivadent) verschlossen (Abb. 11).

Patientenfall 2 und 3

Die Abbildungen 12 bis 18 demonstrieren die Patientenfälle 2 und 3. Beide Patienten wurden nach demselben Behandlungsprotokoll, wie im ersten Fall beschrieben, behandelt. Patientenfall 2 demonstriert die prothetische Versorgung eines Implantates in Regio 26 (Abb. 12). Die Abbildungen 12 und 13 zeigen die Einprobe der Hybrid-Abutmentkrone vor der Kristallisation. Nach der Anprobe wird die geschliffene Keramikstruktur glasiert, bemalt und mit Brennhilfpaste (IPS Object Fix Putty, Ivoclar Vivadent) befüllt (Abb. 15).

Der dritte Patientenfall zeigt die Versorgung in Regio 15 (Abb. 16–18).

Diskussion

Die Versorgung durch CAD/CAM-Fertigungsverfahren hat sich in der Implantatprothetik als Standard etabliert. Neben der industriellen Herstellung der Werkstoffe und der daraus resultierenden hohen Qualität sind die individuelle, zahnfarbene Gestaltung des Emergenzprofils und die Freiheiten bezüglich der Konstruktion (Angulation, Dimension) als weitere Vorteile zu nennen. Digitale Behandlungskonzepte bieten die Möglichkeit der Chairside-Versorgung und verkürzen die Behandlungsdauer, ohne dabei Einheilzeiten zu komprimieren. Systeme, die ohne Puder auskommen, bieten die Möglichkeit der Erfassung der Implantatposition während der Implantatinsertion und somit die Möglichkeit der prothetischen Versorgung während der Freilegung. Design und Dimension der Suprastruktur können so ideal gestaltet werden, ohne auf individuelle Gingivaformer zurückzugreifen. Es ist unter ästhetischen Gesichtspunkten sinnvoll, das Emergenzprofil natürlich und zahnfarben zu gestalten. Im Hinblick auf eventuell auftretende Rezessionen kann so die Gefahr von freiliegenden metallischen Elementen vermieden werden.

Wie in diesem Fallbericht beschrieben, bieten das Hybrid-Abutment und die Hybrid-Abutmentkrone eine sinnvolle Alternative zu vollkeramischen Abutments, welche aus Zirkonoxidkeramiken bestehen. Anders als bei den Zirkon-Abutments ist die Fügefläche zum Implantatkörper aus Titan und nicht aus Zirkoniumoxidkeramik. Da Zirkonoxidkeramik eine höhere Härte als Titan aufweist, besteht die Möglichkeit des Materialabriebs im Implantatkörper. Jüngere Studien scheinen dies zu bestätigen. Zusätzlich können aus den abgeriebenen Titanpartikeln dunkle Verfärbungen der umliegenden Gingiva entstehen, ähnlich den Amalgamtätowierungen. In ästhetisch relevanten Zonen, wie der Oberkieferfront, wäre dies eine sehr ernst zu nehmende Komplikation, die erst nach Jahren der Eingliederung entstehen könnte. Bezüglich des Klebeverbundes zwischen TiBase und Abutmentkörper sind die ersten Daten sehr positiv. Bei sorgfältiger Verklebung nach Herstellerangaben sollte kein Versagen der Adhäsion erfolgen. Die Biokompatibilität der Klebefuge zu den umliegenden Geweben, welche 0,4 mm von der Implantatschulter und im Idealfall auch vom Knochen liegt, sollte in weiteren Studien geklärt werden.

Zusammenfassung

Wie die beschriebenen Fallbeispiele zeigen, bieten digitale Behandlungskonzepte die Möglichkeit der Chairside-Versorgung und verkürzen damit die Behandlungsdauer. Mittels digitalem Abdrucks lässt sich unter Verzicht eines physischen Modells eine entsprechende Prothetik virtuell konstruieren und maschinell fertigen. Dabei stellen Hybrid-Abutments und Hybrid-Abutmentkronen bei der Prothesenfertigung eine sinnvolle Alternative zu vollkeramischen Abutments dar.

Mehr Fachartikel aus Implantologie

ePaper