Implantologie 20.12.2018

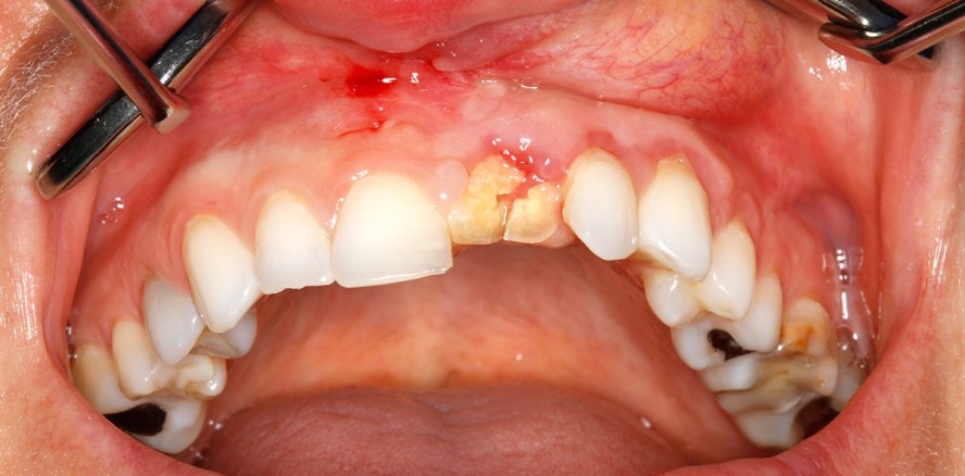
Sofortimplantation nach fazialem Pferdetritt



Sofortimplantation nach fazialem Pferdetritt

Foto: © Autoren

Ein Anwenderbericht

Der Zahnverlust im ästhetisch sensiblen Bereich des Oberkiefers stellt insbesondere in Bezug auf Optik und Funktion eine Herausforderung für Zahnärzte dar. Die Sofortimplantation nach isolierten Frontzahnfrakturen ist eine optimale Möglichkeit, im Rahmen der dentalen Rehabilitation auch einen maximalen Erhalt von Weich- sowie Knochengewebe zu erzielen. Im vorliegenden Fall wird eine Trümmerfraktur des Zahnes 21 nach fazialem Pferdetritt in Form einer Sofortimplantation mit dem Implantologie- und Chirurgiesystem iChiropro (Bien-Air) versorgt.

Eine 33-jährige Landwirtin wurde mit den Hinterbeinen eines Pferdes ins Gesicht getreten. Aufgrund multipler Gesichtsverletzungen und einer drohenden Verlegung der Atemwege wurde sie nach Eintreffen der Rettungskräfte schutzintubiert und in die Universitätsklinik Hamburg-Eppendorf eingeliefert. Ein CT zeigte neben einer Schädel­basisfraktur mit Einbeziehung des Felsenbeins und knöcherner Einstrahlung in den rechten Karotiskanal, eine komplexe zentrale Mittelgesichtsfraktur mit Beteiligung beider Orbitaböden, des Nasenskeletts, der Sinus maxillae beidseits sowie des Nasenseptums. Darüber hinaus bestand eine Weichteilver­letzung des rechten Nasenrückens, der Oberlippe sowie eine Trümmerfraktur mit Kronen- und Wurzelbeteiligung des Zahnes 21.

Nach initialer Aufnahme in den Schockraum erfolgte die Verlegung auf die Intensivstation mit MKG-chirurgischer Versorgung der Weichteilverletzungen. Nach erfolgreicher Extubation wurde die Patientin am Folgetag auf die periphere Station verlegt. Im Rahmen des stationären Aufenthalts erfolgte die operative Versorgung der oben genannten Frakturen in Allgemeinanästhesie.

Bereits vor Entlassung erfolgte die Vorstellung im medizinischen Versorgungszentrum zur Planung der dentalen Rehabilitation. Aufgrund der isolier­ten Trümmerfraktur des Zahnes 21 war eine Sofortimplantation unter maximaler Gewebeschonung mittels hochpräziser Bien-Air-Technologie das Mittel der Wahl. Im Rahmen der Wundkontrolle einige Tage nach Entlassung erfolgte die Implantatplanung sowie eine Abdrucknahme von Ober- und Unterkiefer zur Erstellung von Situ-Modellen.

Im Folgenden wurde der Zahn 21 in Lokalanästhesie extrahiert und mittels Titan-Sofortimplantat (BEGO Semados RSX) versorgt. Die genaue Einschub­richtung wurde zuvor ermittelt und eine individuelle Bohrschablone an­gefertigt. Zur Optimierung des ästhe­tischen Ergebnisses wurden leichte Knochendefizite im koronaren Bereich durch Einbringen von Knochenersatzmaterial (BEGO OSS in feiner Körnung) ausgeglichen. Eine Adaptationsnaht mit ETHILON 5-0 stabilisierte das Gewebe um den Gingivaformer. Im Anschluss erfolgte die Lagekontrolle mittels Panoramaschichtaufnahme.

Eine erneute Kontrolle eine Woche später nach Fadenzug zeigte eine reizlose Wundsituation bei beschwerdefreier Patientin. Zur prothetischen Versorgung wurde in gleicher Sitzung die Zahnfarbe bestimmt, Ober- und Unterkiefer mit Impregum abgeformt, ge­folgt von einer Bissnahme.

Eingeglie­dert wurde die provisorische Krone mit TempBond und Störkontakte in zentrischer Lage sowie in Protrusion eingeschliffen. Nach ausreichender Einheilzeit wird das Provisorium gegen eine definitive Prothetik gewechselt, welche das Implantat belastet.

Fazit

Die durchgeführte Sofortimplantation mit dem iChiropro führte in wenigen Sitzungen schnell und unkompliziert zu einem ästhetischen Ergebnis. Die Belastung durch den einzigen operativen Eingriff war minimal. Erwartungs­gemäß zeigte sich weiterhin eine vestibuläre Rezession nach Ablederungsverletzung. Es wurde die Regeneration mit­tels Bindegewebstransplantation im Rahmen der definitiven prothetischen Versorgung diskutiert. Es erfolgt eine Wiedervorstellung nach drei Monaten.

Co-Autoren: Dr. med. dent. Anna Brägelmann, Dr. med. dent. Jens Burkert, Dr. med. dent. Julia Obermeyer

Der Beitrag ist in der ZWP Zahnarzt Wirtschaft Praxis erschienen.

Mehr Fachartikel aus Implantologie

ePaper