Dr. Hatto Loidl demonstriert anhand zweier klinischer Fallbeispiele, dass die Lingualtechnik auch bei Behandlungen ausgeprägter skelettaler Abweichungen im Erwachsenenalter eine zusätzliche Option für Patienten darstellt.
Die Therapie einer dentoskelettalen Klasse III-Malokklusion bei Erwachsenen kann entweder mittels Camouflage-Behandlung oder chirurgisch erfolgen....
Die Therapie einer dentoskelettalen Klasse III-Malokklusion bei Erwachsenen kann entweder mittels...
Korrektur der Form und Funktion durch kombiniert kieferorthopädisch-kieferchirurgische Therapie.
Korrektur der Form und Funktion durch kombiniert kieferorthopädisch-kieferchirurgische Therapie.
Die KFO bei Erwachsenen bildet einen integralen Bestandteil einer interdisziplinären Behandlung zwischen ästhetischer ZHK, Parodontologie,...
Die KFO bei Erwachsenen bildet einen integralen Bestandteil einer interdisziplinären Behandlung...
Im Rahmen der jüngsten DGLO-Jahrestagung stellte Dr. Germain Becker mit den klinischen Pfaden eine systematische Planungskontrolle für die...
Im Rahmen der jüngsten DGLO-Jahrestagung stellte Dr. Germain Becker mit den klinischen Pfaden...
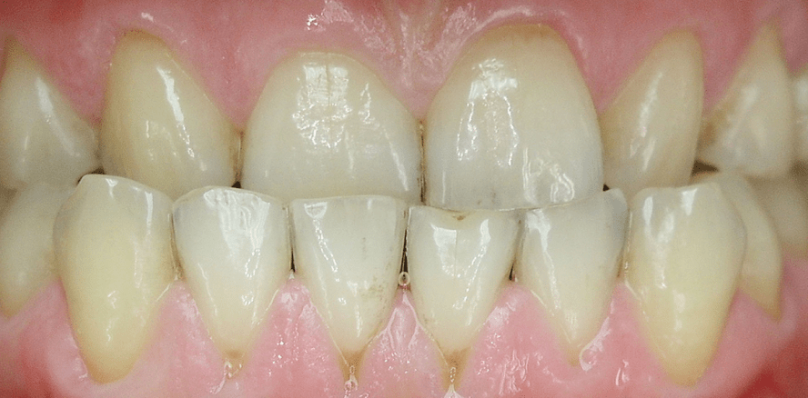
Dass schwierige parodontale Verhältnisse keineswegs eine Kontraindikation für die Lingualtechnik darstellen, demonstriert Dr. Esfandiar Modjahedpour...
Dass schwierige parodontale Verhältnisse keineswegs eine Kontraindikation für die Lingualtechnik...
Behandlung keinesfalls einfacher als mit festsitzenden Techniken
Ob Plattenapparatur, Aktivator, Bionator, Funktionsregler nach Fränkel...
Behandlung keinesfalls einfacher als mit festsitzenden Techniken
Ob Plattenapparatur,...
Die indirekte Klebetechnik ermöglicht neben stressfreien und rückenschonenden Bebänderungen vor allem auch kürzere Stuhlzeiten und eine bessere...
Die indirekte Klebetechnik ermöglicht neben stressfreien und rückenschonenden Bebänderungen...
Leone-Kurshighlight mit Prof. Dr. James A. McNamara. 40 Jahre KFO – Kieferorthopädisches Resümee zwischen Forschung und Praxis.
Leone-Kurshighlight mit Prof. Dr. James A. McNamara. 40 Jahre KFO – Kieferorthopädisches...
Dem aufmerksamen Besucher kieferorthopädischer Fachtagungen wird nicht entgangen sein, dass die bredent GmbH & Co. KG im letzten Jahr verstärkt...
Dem aufmerksamen Besucher kieferorthopädischer Fachtagungen wird nicht entgangen sein, dass...
Effizienz, Reibung und natürliche Kraftabgabe sind einige der Aspekte, welche die Entscheidung des Kieferorthopäden bei der Wahl des richtigen...
Effizienz, Reibung und natürliche Kraftabgabe sind einige der Aspekte, welche die Entscheidung...
Mithilfe eines neuen Verfahrens zur Oberflächenvergütung können Reibungsverluste
kieferorthopädischer NiTi- und ß-Titan-Drähte signifikant...
Mithilfe eines neuen Verfahrens zur Oberflächenvergütung können Reibungsverluste
kieferorthopädischer...
Da Sie der Verwendung von Google Maps nicht zustimmten, kann leider keine Karte angezeigt werden.
Haben Sie schon unseren Newsletter abonniert?
Um bei unserer Anwendung Formulare zu verwenden, benötigen wir die Zustimmung um einen Token für das Absenden zu setzen.
Datenschutz und Nutzungserlebnis
Wir übermitteln Daten an Drittanbieter, die uns helfen, unser Webangebot zu verbessern und zu finanzieren. In diesem Zusammenhang werden auch Nutzungsprofile gebildet und angereichert, auch außerhalb des Europäischen Wirtschaftsraumes. Hierfür und um bestimmte Dienste zu nachfolgend aufgeführten Zwecken verwenden zu dürfen, benötigen wir Ihre Einwilligung.
Indem Sie "Alle Cookies akzeptieren" klicken, stimmen Sie diesen (jederzeit widerruflich) zu.
Unter "Manuell auswählen" können Sie die Datenverarbeitung individuell personalisieren.
Unter "Nur notwendige akzeptieren" können Sie die Datenverarbeitung ablehnen.
Indem Sie "Speichern" klicken, stimmen Sie diesen (jederzeit widerruflich) zu.
Um Kartendaten in unserer Anwendung darzustellen, nutzen wir den Kartendienst Google Maps. Willigen Sie der Nutzung von Google Maps ein, werden ggf. personenbezogene Daten (Ihre IP-Adresse) von Google erhoben.
Einbinden von Google Maps erlauben
Einige unserer Videoinhalte (bspw. Livestream) werden über die Videoplattform Vimeo bereitgestellt.
Inhalte von Vimeo erlauben
Einige Beiträge binden Inhalte von Instagram ein. Wenn Sie zustimmen, wird eine Verbindung zu Meta/Instagram aufgebaut und es können personenbezogene Daten wie Ihre IP-Adresse übertragen werden.
Inhalte von Instagram erlauben
Für ein besseres Benutzererlebnis können unsere Werbeanzeigen personalisiert werden. Um dies zu ermöglichen, wird das erstellen von Cookies vorausgesetzt. Sollten Sie diesem Dienst nicht zustimmen, werden Werbeanzeigen zufällig ausgeliefert.
Personalisierte Werbung erlauben
Um sich bei unserer Anwendung Formulare zu verwenden werden Tokens gesetzt die es uns ermöglichen Spam zu verhindern. Sollten Sie dies ausstellen, ist es Ihnen nicht mehr möglich sich bei uns anzumelden oder zu registrieren.
Anmeldeformulare absenden ermöglichen
Bei der Gestaltung unserer Anwendung benutzen wir Schriftarten von Adobe, diese werden über ein CDN geladen. Sollte Sie diesem Dienst nicht zustimmen wird die Standard Schrift des Systems benutzt. Außerdem könnte es zu Fehlern im allgemeinen Anwendungsdesign kommen.
Inhalte von Adobe erlauben
Sie können Ihre Auswahl jederzeit unter "Cookie-Einstellungen“ am Seitenende ändern.