Kieferorthopädie 11.09.2012

Lückenschluss mit Miniimplantaten im lateralen Hartgaumen



Lückenschluss mit Miniimplantaten im lateralen Hartgaumen

Dr. Stefanie Flieger und Dr. Thomas Ziebura zeigen am Beispiel einer zwölfjährigen Patientin mit Lippenspalte und Hypoplasie eines seitlichen Schneidezahnes das entsprechende Vorgehen mit Ausgleichsextraktion und symmetrischem Lückenschluss.


Einführung

Die seitlichen Schneidezähne des Oberkiefers sind, nach den dritten Molaren und den zweiten Prämolaren im Unterkiefer, die am dritthäufigsten nicht angelegten Zähne. Neben der Nichtanlage der 2er sind auch Fehl­bildungen mit abnormal kleiner Kronenform oft zu beobachten. Besonders häufig treten Aplasien und Hypoplasien im Zusam­menhang mit Spaltfehlbildungen auf. Differenzialtherapeutisch sind grundsätzlich implantolo­gische, konventionell prothetische und kieferorthopädische Ansätze gegeneinander abzu­wägen.

Differenzialtherapien

Implantologischen Lösungen ist dabei zugutezuhalten, dass mit ihnen die Zahnzahl vervollständigt werden kann und ein Hartsubstanzabtrag an den Nachbarzähnen nicht erforderlich ist. Ist ein Patient ausgewachsen, kann die implantologische Versorgung in der Regel schneller durchgeführt werden als ein kieferorthopädischer Lückenschluss. Hingegen muss bei zu erwar­tendem Restwachstum der Zeitpunkt der Implantation kritisch beurteilt werden. Bei jungen Patienten kann dies zu einer mehrjährigen Wartezeit führen. Dies wiederum ist ungünstig für die ossäre Situation des späteren Implantatbettes und macht unter Umständen augmentierende Maßnahmen erforderlich. Weiterhin ist die Gestaltung des Weichteilreliefs im Umfeld einer Implantatkrone anspruchsvoll und insbesondere im ästhetisch wichtigen Frontzahnbereich des Oberkiefers nicht immer in glei­cher Qualität möglich. Schließlich gilt es auch, die Invasivität der Maßnahme in Betracht zu ziehen. Sind Nachbarzähne kariös oder traumatisch geschädigt, ist der Verlust an Zahnhartsubstanz im Zusammenhang mit einer Brückenversorgung akzeptabel. Anderenfalls bleibt die Option einer Adhäsivbrücke. Die­se ist jedoch Einschränkungen bezüglich ihrer Haltbarkeit unterworfen.

Kieferorthopädischer Lückenschluss

Der kieferorthopädische Lückenschluss erlaubt einen weitgehenden Verzicht auf Zahnersatz. Bei der Therapieentscheidung ist jedoch die individuelle Mor­pho­logie, insbesondere der Eckzäh­ne, in Betracht zu ziehen. Die notwendige, nach anterior gerichtete Kraft kann über eine extra- oder intraorale Veran­kerung appliziert werden. Während extraorale Geräte wie etwa Protraktions-Gesichtsmasken ei­ne zielgerichte­te Kraftapplikation unter weitgehender Vermeidung reziproker Effekte auf die Unterkieferdentition erlauben, sind sie bei den Patienten nicht sonderlich beliebt. Dies beeinträchtigt nicht selten die Compliance. Intermaxilläre Gummizüge sind ebenfalls complianceabhängig. Da­rüber hinaus üben sie eine nach dorsal gerichtete Kraft auf den un­teren Zahnbogen aus, was nicht in jedem Fall erwünscht ist. Die Verankerung mittels kiefer­orthopädischer Miniimplantate erlaubt mitarbeitsunabhängige Mechaniken ohne Nebeneffekte auf den Unterkiefer. Hierbei hat sich die palatinale Insertion sowohl im Hinblick auf die Ver­meidung von Wurzelverletzungen als auch hinsichtlich der Überlebensrate der Implantate bewährt.


Methode

Bei der hier vorgestellten Lösung ist ein Laborprozess lediglich fakultativ. In der Konsequenz können auch eventuelle Reparaturen oder Anpassungen chairside vorgenommen werden. Zudem kommt die Mechanik mit wenigen Teilen aus, was gleichermaßen die Defektanfälligkeit reduziert und dem Patientenkomfort zugutekommt.

Lückenschluss im Oberkiefer mit­tels Jet-Schrauben und Transpalatinalbügel

Die Jet-Schraube ist ein kiefer­orthopädisches Miniimplantat, das sich durch einen langen, sich vom Kopf zum Gewinde hin verjüngenden Kragen auszeichnet. Ihr vermutlich häufigster Einsatzzweck ist die Distalisierung mit dem TopJet. Die spezifische Form der Jet-Schraube erlaubt ei­ne nahezu vertikale, annähernd zu den Prämolarenwurzeln parallele Insertion am lateralen Hartgaumen. Zum Mesialisieren der ersten Molaren werden diese zunächst mit einem Transpalatinalbügel (TPA) verbunden. Die Herstellung des TPA kann im Labor erfolgen oder, unter Verwendung vorgefertigter Teile, direkt am Patienten. Die Insertion der Jet-Schrauben erfolgt an der auch für den TopJet empfohlenen Position auf halber Strecke zwischen dem palatinalen Höcker des ersten Prämolaren und der medianen Raphe. Die individuelle Morphologie der ossären Strukturen kann zu geringfügigen Abweichungen von dieser Position führen, die jedoch keinen relevanten Einfluss auf die Funktionsweise der Apparatur haben. Die Kraftapplikation erfolgt mit­tels zweier elastischer Ketten, welche jeweils von einer Jet-Schrau­be um den TPA herum wieder zurück zur Schraube geführt werden. Die vertikale Position des Kraftansatzpunktes am TPA wird von der Position des Miniimplantates bestimmt. Bei einer Insertion im empfohlenen Bereich kann damit eine Annäherung an die Ebene des Widerstandszentrums erreicht werden. Die Mesialisierung an einem stabilen Kantbogen entlang erlaubt darüber hi­naus eine gute Kontrolle der Angulation der ersten Molaren. Zu beachten ist jedoch die Friktion zwischen dem 6er-Tube und dem Bogendraht. Diese kann dazu führen, dass der Molar nicht an dem Bogen entlang gleitet, sondern die nach mesial gerichtete Kraft auf ihn überträgt. Dies wiederum würde zu einer Proklination der Schneidezähne führen. Es empfiehlt sich deshalb der parallele Einsatz einer elas­tischen Kette, die bukkal über sämtliche Brackets und Bänder gespannt wird. Weiterhin sollte der TPA von Beginn an leicht komprimierend aktiviert werden. Eine Mesialisierung der 6er unter Beibehaltung ihres transversalen Abstandes würde sonst zu einer bukkalen Nonokklusion führen.
 

Fallbeispiel

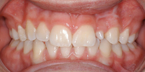
Die Patientin war zum Zeitpunkt des Behandlungsbeginns zwölf Jahre alt. Neben einer operativ korrigierten, linksseitigen Lippenspalte wies sie einen hypoplastischen 22 auf (Abb. 1a, 2a, 3a). Die Röntgendiagnostik zeigte, dass die Hypoplasie nicht auf den koronaren Bereich beschränkt war, sondern auch die Wurzel betraf (Abb. 4). Zahn 12 war normal ausgebildet.
Differenzialtherapeutisch waren neben prothetischen und implantologischen Optionen auch der symmetrische und der einseitige Lückenschluss gegeneinander abzuwägen. Im Zuge der Abwägung dieser Alternativen erfolg­te die Anfertigung eines diagnos­tischen Set-ups zur Evaluation des möglichen Ergebnisses bei einem symmetrischen Vorgehen, welches letztlich auch gewählt wurde (Abb. 5). Es erfolgten zunächst die Nivellierung der Zahnbögen und die Extraktion der Zähne 12 und 22. Danach wurden die Jet-Schrauben (Fa. Promedia Medizintechnik, Siegen) und der TPA inseriert (Abb. 3b). Bei der Wahl der Miniimplantate muss der dicken palatinalen Gingiva Rechnung getragen werden. Die Länge der verwendeten Miniimplantate betrug in diesem Fall 12mm, wobei allein 5mm auf den Kragen entfallen. Bei dem TPA handelte es sich um einen vorgefertigten Cetlin Palatal Arch Bar (Fa. DENTS­PLY GAC, Gräfelfing), der mit­tels Drahtligaturen gegen ein He­rausgleiten nach mesial gesichert wurde. Die Länge der Elastikkette wur­de initial derart bemessen, dass an ihrem Ende mit einer Federwaage eine Kraft von 100cN gemessen werden konnte. Hieraus resultierte – dem Prinzip des Flaschenzuges entsprechend – eine mesialisierende Kraft von 200cN am TPA (Abb. 6). In den folgenden Sitzungen wurde diese um 100cN erhöht. Die elastischen Ket­ten wurden in Abständen von vier Wochen gewechselt. Mittels plan gestalteter Aufbisse aus Glasionomerzement (Abb. 3b, c) erfolgte unterstützend eine Entkoppelung der Okklusion. Nach neun Monaten war eine ausreichende Mesialisierung der Seitenzähne festzustellen. Der TPA und die Miniimplantate wurden entfernt. Es folgte eine abschließende transversale Koordinierung der Zahnbögen. Die Retention des Behandlungsergebnisses erfolgte durch Sechs­punktretainer in Ober- und Un­ter­kiefer. Der obere Retainer wur­de bis zu den ersten Prämolaren extendiert (Abb. 3d).

Schlussfolgerungen

Zu beachten sind bei Anwendung der vorgestellten Mechanik drei Punkte:
• Den Effekten der Friktion zwischen dem 6er-Tube und dem Bogendraht sollte durch eine elastische Kette von 16 bis 26 bzw. 17 bis 27 entgegengewirkt werden (Abb. 1b, 2b).
• Der TPA sollte von Beginn an auf Kompression aktiviert werden.
• Wird eine palatinale Elastikkette vom Miniimplantat ausgehend um den TPA herum und wieder zum Miniimplantat geführt, so beträgt die am freien Ende der Kette mit der Federwaage gemessene Kraft nur die Hälfte der Kraft, die auf den TPA und damit auf die Zähne wirkt.

Unter Berücksichtigung der genannten Punkte erlauben an geeigneter Stelle inserierte Miniimplantate auch ohne aufwendige, teure oder fehleranfällige Konstruktionen eine mitarbeitsunabhängige Mesialisierung ganzer Zahngruppen. Die Möglichkeit, auf den Laborprozess zu verzichten, erhöht die Flexibili­tät und erspart dem Patienten eine Sitzung.

Mehr Fachartikel aus Kieferorthopädie

ePaper