Kieferorthopädie 28.01.2026

Der Sunday Bite als diagnostische Falle



Während im ersten Teil dieser Ar­tikelreihe, erschienen in den KN Kieferorthopädie Nachrichten 12/2025, anhand eines Patienten im erwachsenen Alter mit frontalem Kreuzbiss und funktionell bedingter dorsokranialer Kompression eines Kiefergelenks die dia­gnostischen Möglichkeiten der DVT-gestützten 3D-Cephalometrie dargestellt wurden, lag der Fokus dort vor allem auf der para­sagittalen exzentrischen Projektion (PAREX), der Beurteilung der Fossa-Caput-Relation sowie der individualisierten Analyse der Inzi­sivenneigung.

Der Sunday Bite als diagnostische Falle

Foto: © Prof. Dr. G. Polzar, KKU

Der Fall zeigte exemplarisch, wie sich durch eine rein kieferorthopädische Therapie nicht nur die Okklusion, sondern auch die Kiefergelenksposition funktionell günstig beeinflussen lässt, wenn die zugrunde liegende Zwangsbisssituation korrekt erkannt wird.

Der zweite Teil dieser Artikelreihe widmet sich einer deutlich komplexeren klinischen Situation. Anhand eines adulten Patientenfalls wird aufgezeigt, wie eine scheinbar neutrale Okklusion eine erhebliche skelettale Fehlrelation maskieren kann und welche weitreichenden Konsequenzen sich daraus für Diagnostik, Therapieentscheidung und Langzeitprognose ergeben.

Fallpräsentation

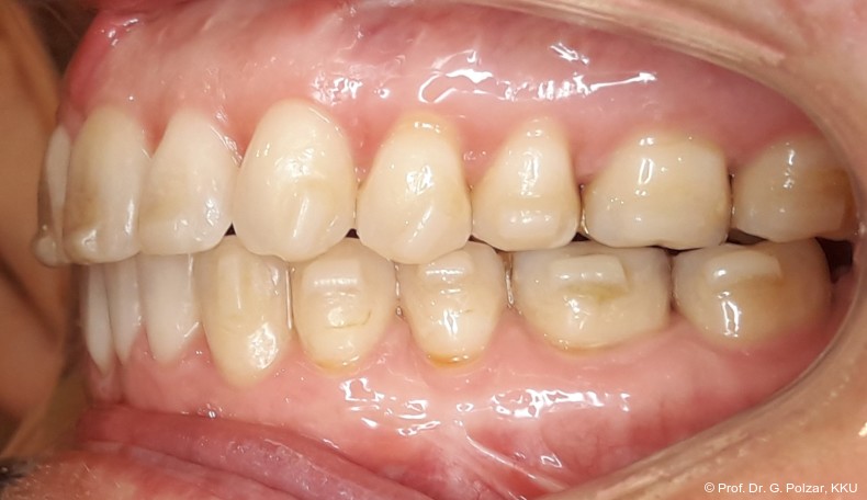
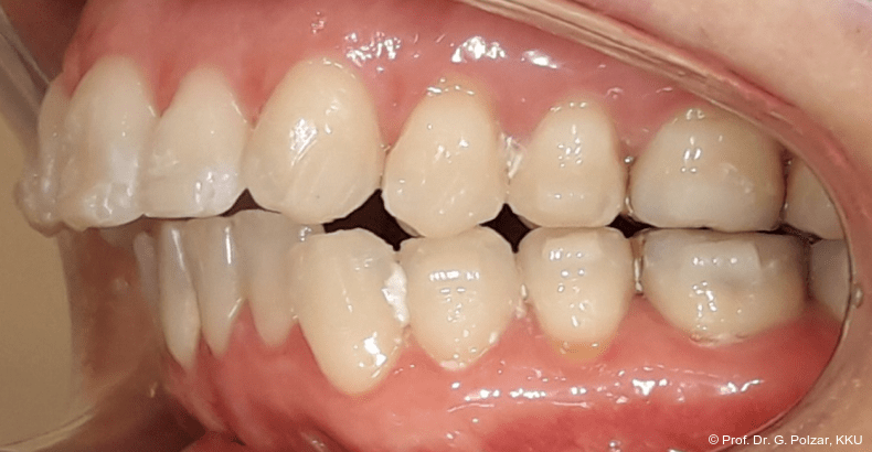
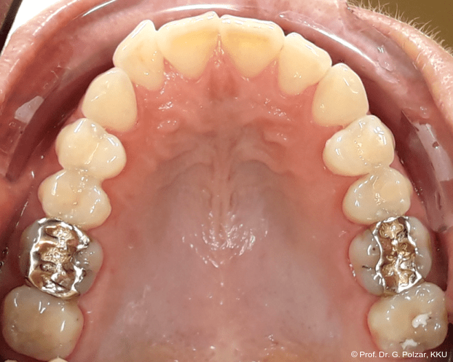
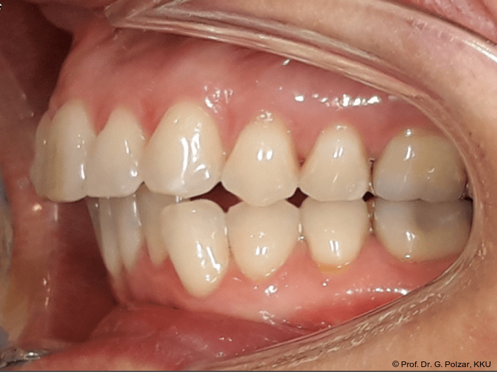
Die 38-jährige Patientin stellte sich 2019 zum ersten Mal in der Praxis vor. Nach einer drei­jährigen kieferorthopädischen Behandlung im Jugendalter mit Multibandapparaturen kam es im Laufe der Zeit zu einem Rezidiv mit Retro­inklination der oberen mittleren Frontzähne. Der Wunsch der Patientin war es, „wieder gerade Zähne“ zu haben. Die sehr gesundheitsbewusste Patientin hatte sich im Vorfeld von 14 kieferorthopädisch tätigen Kollegen beraten lassen, war aber von den vorgeschlagenen Therapiemaßnahmen nicht überzeugt (Abb. 1a–d).

Anamnestisch ist eine Tonsillektomie im Kindesalter und ein ausgeprägtes atypisches Schluckmuster mit typischer mentaler Hyperaktivität zu erwähnen (Abb. 2)

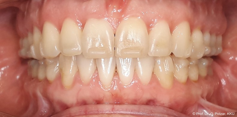
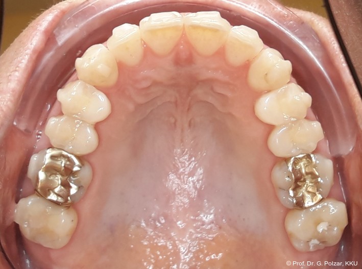
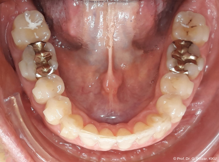
Der intraorale Befund zeigte eine scheinbar neutrale Verzahnung. Trotz Lingualretainer in der UK-Front war ein Engstand in der Unterkieferfront mit leichter Protrusion erkennbar. Appro­ximal des Zahnes 41 waren deutliche schwarze Dreiecke zu erkennen, zudem wies der Zahn eine leichte gingivale Rezession auf (Abb. 3a–f).

Nach dem ersten Termin im Jahr 2019 wurde ein möglicher Therapievorschlag skizziert, der mit Logopädie beginnen sollte, um die Zungenlage zu korrigieren. Danach könnte die Zahnfehlstellung mit Deckbiss und Engstand in der UK-Front mit einer Aligner-Therapie, Klasse II-­Gummizügen zur Verankerung und ASR im Frontzahnbereich korrigiert werden.

Vier Jahre später stellte sich die Patientin zur Nachuntersuchung vor. Zur Kontrolle des Knochenverlaufs und zur Beurteilung der Kieferrelation wurde eine DVT angefertigt.

Die Ergebnisse der DVT sollten eine überraschende Wende in der Beurteilung des Falles bringen und zu einer völlig anderen Therapie führen:

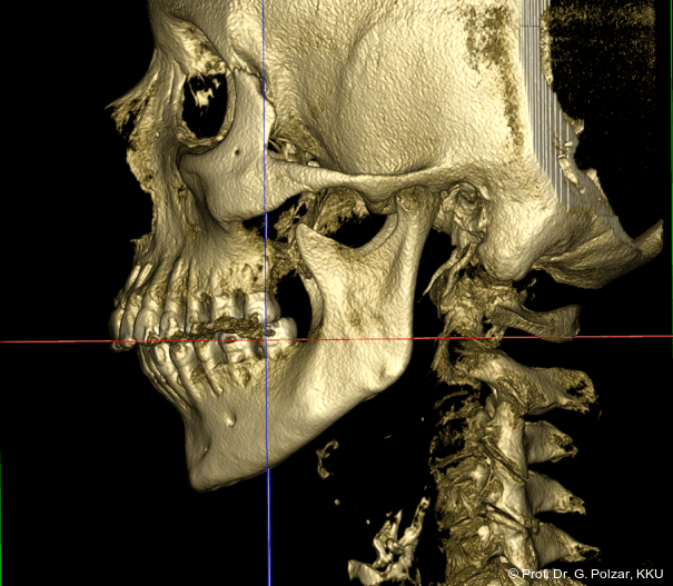
KG-Position: Die 3D-Ansicht im DVT zeigt eine vorverlagerte UK-Position bei neutraler Okklusion (Abb. 4a+b).

Im Sagittalschnitt zeigen beide Kiefergelenke eine deutlich anteriore Position. Der dorsokraniale Abstand betrug rechts 7,0 mm und links 5,8 mm. In der PEP waren sie im lateralen Bereich ca. 1 mm kleiner als in der Mitte der Sagittalprojektion (Abb. 6a–d).

Diese deutlich anteriore Gelenkposition im Neutralbiss ließ den Verdacht auf einen Sunday Bite zu. Das heißt, die Patientin schob den Unterkiefer aktiv nach vorne, um damit schönere Schneidezahnkontakte bzw. eine vermeintlich neutrale Okklusion zu erreichen. Nach mühsamen Lockerungsübungen gelang es der Patientin, auch in die zen­trale Kiefergelenkposition zu wechseln. So zeigte sich das ganze Ausmaß der Malokklusion. In neutraler KG-Position hatte die Patientin eine sagittale Frontzahnstufe von ca. 7 mm mit 1 PB Klasse II-Okklusion im Seitenzahn­bereich (Abb.5a+b, 7a–c).

Um diesen Befund lege artis zu korrigieren, war aus unserer Sicht ein chirurgischer Eingriff indiziert.

Inklination der Inzisiven

Ein sehr individueller Befund ergab sich bei der Analyse der Inzisiven im Alveolarknochen. Die mittleren OK/UK-Inzisiven standen retro­inkliniert in Anteposition zur koronalen Alveolarbasis. Auffällig war hier der sprunghafte Versatz der Alveolarbasis im UK mit deutlicher Anteinklination des kranialen Bereichs. Es ist anzunehmen, dass das ausgeprägte, manifeste Zungenhabitat die gesamte Alveolar­basis des UK nach ventral kippen ließ. Die untere Frontzahnachse war dementsprechend retroinklinat zur Alveolarbasis, aber nahezu orthoaxial zur Symphyse.

Nach diesem Befund entschied sich die Pa­tientin für eine umfassende Rehabilitation mit kombinierter kieferorthopädisch-kieferchirurgischer Therapie (Abb. 8a+b).

Nach acht Monaten Aligner-Therapie erfolgte die bimaxilläre Umstellungsosteotomie (Abb. 9a+b).

Beide Kiefergelenke (KG) befinden sich nun in zentraler Kondylen-/Fossa-Position bei neu­traler Okklusion (Abb. 10+11).

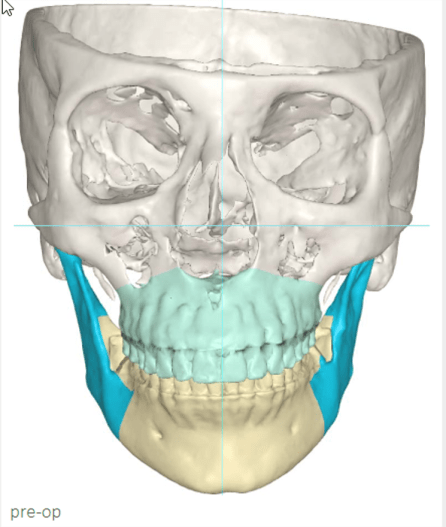
Die Operationsplanung erfolgte gemeinsam mit der Software von KLS-Martin (Abb. 12+13a–d).

Das deutlich konvexe Gesichtsprofil hat sich ästhetisch verbessert (Abb. 14).

Trotz destruktiver KG-Anatomie mit Peeking, das meint vereinfacht, dass der Kondylus exponiert unter dem Gelenkhöcker liegt, was ein Zeichen für eine ungünstige Gelenkstellung sowie starke Belastung des vorderen Bereichs ist, und verschobener Gelenkscheibe (craniale Kompression) hat sich die Okklusionssituation nach der Behandlung so verbessert, dass die Patientin subjektiv deutlich we­niger Beschwerden hat und sich insgesamt wesentlich wohler fühlt. Der Luftweg hat sich an der engsten Stelle (Isthmus faucium im Bereich der Tonsillen) von 122 qmm auf 202 qmm erweitert (Abb. 15a–d).

Die Atmung hat sich verbessert. Die Patientin bemerkte dies unmittelbar nach der Operation mit den Worten: „Es kommt viel mehr Sauerstoff rein“ und „Beim Joggen kann ich jetzt auch durch die Nase atmen“.

MRT-Untersuchungen des Autors in dem Zeitraum von 2008 bis 2010 ergaben bei eugna­then Bisslagen einen Mittelwert von 139,9 mm an der engsten Stelle des Rachens (Abb. 16). Allein für die Entscheidung, ob sich eine bestimmte Anomalie und deren Therapie positiv, negativ oder gar nicht auf die Atemwege auswirken, sind zahlreiche Kriterien zu berücksich­tigen, die der behandelnde Kieferorthopäde abwägen muss, um dem Patienten die für ihn bestmögliche Therapie zu gewährleisten.

Nach weiteren acht Monaten Aligner-Therapie zur postoperativen Feineinstellung konnte die aktive Therapie weitgehend abgeschlossen werden. Mit einem CaseRefinement wurden die verbliebenen frontalen Lücken geschlossen (Abb. 17a–e).

Zygomatigo-Gonion-Differenz (ZyGoDi)

Das oben beschriebene Verfahren ZyGoDi allein reicht nicht aus, um bei dieser Patientin die Kauseitenprävalenz zu bestimmen. Es führte aber zu einem erstaunlichen Ergebnis. Die Patientin ist nach den Ergebnissen des Seitenprävalenzbogens bis auf zwei Ausnahmen ein eindeutiger Rechtstyp (Abb. 18).

Wie ist das nun zu erklären? Um in die perfekte Okklusion zu gelangen, musste die Patientin auf der rechten Seite über Jahre hinweg eine längere Strecke zurücklegen. Das bedeutet, dass die Kaumuskulatur, um den Sonntagsbiss zu erreichen, auf der rechten Seite immer mehr gedehnt und gestreckt werden musste als auf der linken Seite.

Dadurch verringerte sich die potenzielle Kraft, die sie beim Zubeißen aufbringen kann, was wiederum zu einem geringeren Wachstum des Prozessus coronoideus und zu einem größeren Abstand des negativen ZyGoDi-Wertes führen musste. Sie selbst allerdings gab an, dass sie links mehr kaut als rechts. Auch nach der Umstellungsosteotomie finden sich ähnliche Werte mit einer kürzeren Muskelansatzlinie auf der linken Seite (Abb. 19a–d).

Nach der Umstellungsosteotomie mit der UK-­Vorverlagerung kann die Patientin besser zubeißen. Bei maximaler Interkuspidation in neutraler Okklusion befinden sich nun beide Kiefergelenke in zentraler Po­sition zur Gelenkpfanne. Der geringe Abstand des Caput mandibulae zur Schädelgrube lässt auf eine Diskusverlagerung schließen (Abb. 20a+b).

Nach den heutigen Erkenntnissen und den heute zur Verfügung stehenden Mitteln ist es unserer Meinung nach unerlässlich, bei der kieferorthopädischen Behandlung erwachsener Patienten eine DVT-Diagnostik als Grundlage der Therapie zu veranlassen. Fehlbehandlungen und Fehldiagnosen oder auch nur das Übersehen von therapieimmanenten Befunden (wie hier der Sunday Bite) können so vermieden und die anstehende Therapie mit einer gesicherten cranialen Diagnostik besser geplant werden. Herkömmliche diagnostische Mittel wie die FRS-Analyse werden den Anforderungen bei Weitem nicht gerecht und können zu jahrelangen Fehlbehandlungen führen.

Hätte die hier vorgestellte Patientin (damals gab es noch kein DVT) die Möglichkeit gehabt, sich einer DVT-basierten Schädeldiagnostik zu unterziehen, wäre ihr mit Sicherheit die teure Zweitbehandlung erspart geblieben und sie hätte viele Jahre von einer besseren Atmung als Grundlage jeder Gesunderhaltung profitieren können.

Exkurs Zielauge

Die Bestimmung des Zielauges ergänzt das Bild der individuellen Seitendominanz. Abweichungen zwischen Händigkeit, Zielauge und Kauseite können auf komplexe Kompensationsmuster hinweisen, die sich in Kopfhaltung, Schädelasymmetrie und Okklusionsverhalten widerspiegeln.

In der Regel geht das nicht unerziehbare Zielauge mit der Händigkeit einher. Es gibt jedoch eine interessante Ausnahme. Das Zielauge fixiert immer einen Punkt in der näheren Umgebung, während das überwachende „Umgebungsauge“ keinen fixierten Punkt in der Nähe anvisiert. Am einfachsten lässt sich überprüfen, welches Auge das Zielauge ist, indem man den Patienten durch ein Fernrohr oder ein Kaleidoskop schauen lässt.

Liegt nun eine Sehschwäche des ipsilateralen Auges vor, so konvertiert das Zielauge auf die Gegenseite. Dies ist zunächst logisch, aber es gibt eine weitere interessante Ausnahme. Liegt bei einer Myopie ein höherer Myopiewert auf der nicht prävalenten Seite vor, so kann ein Punkt in der Nähe besser fixiert werden. Als Folge davon wird das Auge der kontralateralen Seite zum Zielauge.

Bei der hier vorgestellten Patientin beträgt die Myopie rechts nur 0,5 Dioptrien, links dagegen 1,5 Dioptrien. Auch das rechte Auge hatte in der Kindheit eine Fehlstellung (Schielauge). Daher wurde das linke Auge zur Fixation von Nahpunkten rekrutiert.

CranioPlan®

Mit der von Hornung/Polzar entwickelten CranioPlan-Analyse ist es möglich, alle Positionen im dreidimensionalen Raum exakt zu vermessen und in Relation zum afferent-physischen Zentrum jedes einzelnen Patienten zu bestimmen.

Der zentrale Punkt, von dem die Messungen ausgehen, ist die Mitte zwischen rechtem und linkem Gleichgewichtsorgan. Bei unserer ersten Definition des Mittelpunktes sind wir (2016) von der Mitte des Abstandes der beiden Inci vestibulari ausgegangen, da dieser im DVT mittlerer Auflösung leicht zu bestimmen ist (Abb. 21).

Exakter ist jedoch die Bestimmung des zentralen Wahrnehmungs­ortes des Gleichgewichtsorgans, der Macula sacculi. Diese befindet sich im Sacculus vestibularis der jeweiligen Seite. Die Mitte der Linie zwischen dem Sacculus vestibularis dexter und sinister ist dann der ursprüngliche Nullpunkt der CranioPlan-Analyse. Dieser Punkt liegt etwas posterior zur Mitte der Hammerknöchelchen und gibt den exakten OriginPoint (O-Punkt) als Ausgangspunkt der afferenten Sym­metrieachse an (Abb. 22–24).

Die zu bildende Fläche (CranioPlan) wird nun auf den Mittelpunkt der Bipupillarlinie zentriert. Verlängert man diese Fläche um das Drei­fache nach dorsal und verbindet das hintere Ende mit der Okklusionsebene, so erhält man einen Winkel, der dem Winkel der Frankfurter Horizontale (Orbitalpunkt/Tragionslinie) mit der Okklusionsebene entspricht. Da diese Grundlinie der Frankfurter Horizontalen nicht so genau bestimmt werden kann, sind die Bezugswerte der CranioPlan-Analyse wesentlich genauer und auch leichter reproduzierbar (Abb. 25).

Postoperative Analyse

Nach Lehmann et al. beträgt der Winkel der Frankfurter Horizontalen zur Camperschen Ebene (früher gleichgesetzt mit der Okklusionsebene) 10°bis 15°. Vertikale Gesichtstypen und flache asiatische Schädelformen haben einen höheren Wert, horizontale Gesichtstypen einen eher flacheren Winkel. Nach Untersuchungen von Slavicek 1984 beträgt die Abweichung der Camperschen Ebene von der Okklusionsebene nach dorsal jedoch ca. 8°. Das heißt bei genauerer Betrachtung müsste man einen Winkel von 2° bis 7° zwischen CranioPlan-Ebene und Okklusionsebene mit einer Streuung von ca. 6° als Normwert bezeichnen.

Im Idealfall wäre dann bei der vorgestellten Patientin ein Wert von 13° als vertikaler Typ noch akzeptabel (Abb. 26). Vor der bimaxillären Umstellungsosteotomie kippt die Okklusionsebene nach links cranial (Abb. 27a+b).

Interessant ist auch, dass die Sagittale durch den O-Punkt die Gesichtshälfte in der Mitte der linken Nase schneidet. Dies bestätigt wiederum die Seitenprävalenzanalyse. Die häufiger benutzte Gesichtshälfte ist stärker ausgebildet und verschiebt die Gesicht-/Nasenmitte zu den schwächeren Seiten (Abb. 28).

In der Frontalansicht ist eine leichte links-laterale Abweichung des Unterkiefers von der Schädelmitte zu erkennen (Abb. 29). Nach chirurgischer Analyse wurde die Laterognathie weitgehend ausgeglichen und der UK in CranioPlan zentrisch ausgerichtet (Abb. 30a–c).

Da sich die Patientin mit der Operation auch eine Abflachung des Gesichts mit prominenterem Kinn erhoffte, wäre ein deutlich moderaterer CP-OKL-Winkel wünschenswert gewesen. Dies hätte durch eine Intrusion des anterioren Teils der Maxilla und eine deutlichere Counterclockwise Rotation der Mandibula erreicht werden können (Abb. 31)

Zusammenfassend kann festgestellt werden, dass gerade in der orthognathen Chirurgie besser definierte Landmarks, wie sie die CranioPlan-Analyse zur Verfügung stellt, eine Steigerung der therapeutischen Qualität ermöglichen.

Zusammenfassung

Der hier vorgestellte Fall einer 38-jährigen Patientin verdeutlicht exemplarisch das Phänomen des sogenannten Sunday Bite. Erst durch die konsequente dreidimensionale Analyse der Kiefergelenkposition, der Inzisivenlage im Alveolarknochen sowie der pharyngealen Atemwege offenbarte sich das tatsächliche Ausmaß der sagittalen Dysgnathie. Die daraus resultierende Neubewertung des Falls führte zu einer grundlegenden therapeutischen Kehrtwende: weg von einer rein kieferorthopädischen Korrektur hin zu einer kombinierten kiefer­orthopädisch-kieferchirurgischen Rehabilitation.

Der Fall unterstreicht eindrücklich, dass insbesondere bei erwachsenen Patienten funktionelle Kompensationsmechanismen, atypische Schluckmuster und langjährig adaptierte Gelenkpositionen ohne 3D-Diagnostik leicht übersehen werden können. Gleichzeitig zeigt er, welchen diagnostischen und prognostischen Mehrwert DVT-­basierte Analysen für die Beurteilung von Kiefergelenken, Okklusion, Kauseitenprävalenz und Atemwegen besitzen.

Die Autoren bedanken sich für die aufmerksame Lektüre und hoffen, einen wichtigen Beitrag für zukünftige 3D-Cephalometrie geleistet zu haben.

KN Kieferorthopädie Nachrichten 01/26

KN Kieferorthopädie Nachrichten


Dieser Beitrag ist in der KN Kieferorthopädie Nachrichten erschienen.

Die KN Kieferorthopädie Nachrichten sind das monatliche Fachmedium für Kieferorthopäden. Im Fokus stehen standespolitische Themen, wissenschaftliche Fachinformationen und internationale Fortbildungen. Beiträge von Experten aus aller Welt vermitteln praxisnah aktuelle Trends, Innovationen und gesundheitspolitische Entwicklungen. Nach dem Prinzip „vom Spezialisten für den Spezialisten“ unterstützen die KN den Wissensaustausch, sichern Qualität und tragen maßgeblich zum Erfolg der Branche bei.

Jetzt das ePaper lesen.

Mehr Fachartikel aus Kieferorthopädie

ePaper