Kinderzahnheilkunde 09.10.2025

Fotodokumentation in der Kinderzahnheilkunde



Wer in der Kinderbehandlung ohne Fotodokumentation behandelt, bringt sich um ein sehr wichtiges Tool, welches, einmal ausprobiert, schnell zur unverzichtbaren Arbeitsroutine avanciert. Allein die Freude, wenn Kinder nach wiederholter Motivation endlich ihren Erfolg durch eigene Mitarbeit demonstrieren können, ist oftmals unbeschreiblich. Die für eine gelungene Persönlichkeitsentwicklung so wichtige Selbstwirksamkeit kann hier mithilfe von einfacher Dokumentationstechnik hervorragend geübt werden.

Fotodokumentation in der Kinderzahnheilkunde

Foto: Dr. Hans-Werner Bertelsen

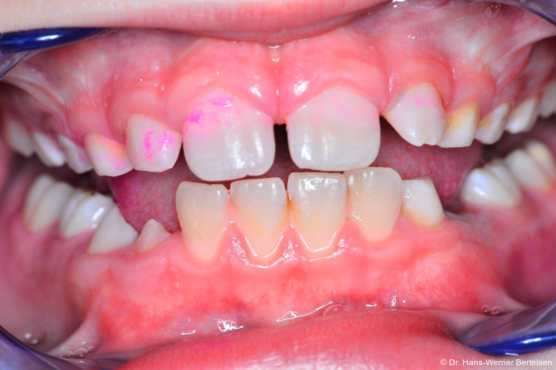
Die Visualisierung erweist sich in der Praxis als ein hochwirksames und nützliches Tool. Immer wieder hören wir Sätze wie: „Könnten Sie meinem Kind bitte sagen, dass es sich die Zähne putzen soll?“ Eine typische Bitte, wenn es darum geht, Kindern eine effektive Putztechnik zu vermitteln. Nach vielen Jahren der Erfahrung kann ich eines feststellen: Die angestrebte Erfolgsrate erreichte ich nicht durch den obligatorischen Handspiegel oder durch variierende Gesprächsstrategien – sei es freundlich, empathisch, ermahnend oder streng. Trotz aller Bemühungen blieben die Resultate oft hinter den Erwartungen zurück.

Erst die fotografische Dokumentation des Mundhygienestatus brachte den entscheidenden Durchbruch. „One size fits all“, das bekannte Prädikat aus dem stationären Sockenhandel, trifft in der Zahnarztpraxis leider bekanntlich nicht zu. In Bezug auf die Compliance der so wichtigen Anleitung der Zahnpflege kommen wir in unserer ­Praxis mit der hier beschriebenen Technik doch sehr nahe an eine 100%ige Quote heran. Es ist jedes Mal aufs Neue spannend und faszinierend, wenn sich bereits achtjährige Kinder darauf freuen, ihre erlernten Putzerfolge in der Praxis vorzuführen, um dann am Monitor gemeinsam mit der ZMF oder mir ihre tollen Ergebnisse zu bestaunen. Mitarbeit, Selbstwirksamkeit und Lob sind Garanten für eine gelungene Prävention und ersetzen Ermahnung, Frustration und Unverständnis.

Ein Bild sagt mehr als tausend Worte

Wie im Leben, so auch hier - die Fotodokumentation erspart uns nach einfacher Implementierung in den Verlauf der Prophy­laxe sehr viel Zeit. Zeit, die wir mit allen vorherig angewandten anderen Mitteln und Techniken regelmäßig vergeudet hatten. Aber es gibt noch weitaus mehr Vorteile, sowohl für die Praxis als auch für die Kinder und Eltern. So lässt sich die Motivation für einen Folgetermin durch die Ankündigung eines weiteren Fototermins sehr gut erlangen. Gleichzeitig steigt bei einer sichtbar nachgewiesenen Verbesserung der Zahnpflege mit der Laune auch der Ehrgeiz unserer kleinen Patient/-innen, uns bei Folgeterminen wieder mit einem guten Ergebnis zu überzeugen. Sehr selten nur beobachten wir an dem Folgetermin einen Rückschritt. Das einmal erzielte Putzergebnis erweist sich in der Regel als erlernt und damit sehr stabil. Zudem ist es die beste Gelegenheit, für den Einsatz von Plaque-Färbe­tabletten zu werben. Es ist schon erstaunlich, wie wenig An­wendung dieses wertvolle und aus meiner Sicht schier un­verzichtbare Hilfsmittel in der Bevölkerung findet. Die Ver­fügbarkeit von Plaque-Färbetabletten ist in der Lernphase sehr viel wichtiger als die Marke der Zahnpasta.

Vorteile auch für Eltern

Eltern berichten von spürbarer Entlastung: Durch den Einsatz von Färbetabletten gelingt es ihren Kindern deutlich schneller und autonomer, eine effektive Zahnputztechnik zu erlernen. Es wäre wünschenswert, wenn diese Methode noch breitere Anwendung fände. Nicht nur in der Einzelpraxis, sondern auch im schulzahnärztlichen Bereich sollte gezielt für den Einsatz dieser Technik geworben werden.

Technik – Vergleichbarkeit als Schlüssel zum Erfolg

Für eine aussagekräftige und nachvollziehbare Dokumen­tation ist die Vergleichbarkeit der Aufnahmen von zentraler Bedeutung. Deshalb sollten alle Fotos unter konstanten Lichtverhältnissen und mit identischer Lichtqualität auf­genommen werden. Auch ein einheitlicher Aufnahme­abstand ist von Vorteil, da so der Abbildungsmaßstab konstant bleibt und Veränderungen zuverlässig beurteilt werden können. Für die Bilddokumentation stehen zahlreiche technische Lösungen zur Verfügung. Seit vielen Jahren arbeite ich erfolgreich mit einem optischen System, das über einen integrierten Ringblitz und einen exakt einstellbaren Abbildungsmaßstab verfügt (Nikon Medical-Nikkor, 120 mm/1:4) – eine Kombination, die sich in der Praxis hervorragend bewährt hat.

Prophylaxe Journal 06/25

Prophylaxe Journal


Dieser Beitrag ist im PJ Prophylaxe Journal erschienen.

Das Prophylaxe Journal richtet sich an präventionsorientierte und parodontologisch tätige Zahnärzte sowie deren Teams.

Als zielgruppenfokussiertes Fachmedium hat sich das Journal seit mehr als 20 Jahren bei 5.000 regelmäßigen Lesern etabliert und fördert vor dem Hintergrund der zunehmenden Präventionsorientierung der Zahnheilkunde u. a. die Entwicklung der entsprechenden Berufsbilder wie DH, ZMF oder ZMP.

 

Jetzt das ePaper lesen.

Mehr Fachartikel aus Kinderzahnheilkunde

ePaper