Oralchirurgie 25.03.2026

Distraktionsosteogenese im Unterkiefer



Die Distraktionsosteogenese ist eine Alternative im Spektrum präimplantologischer Verfahren zur Verbesserung des Implantatlagers, insbesondere im interforaminären Anteil des Unterkiefers. Wenn die Möglichkeit der Rekonstruktion des Alveolarfortsatzes durch eine unzureichende Weichgewebsabdeckung eingeschränkt ist, bietet dieses Verfahren prognostische Sicherheit. Zusätzlich entfällt die Morbidität an der Entnahmestelle und die Resorptionsgefahr des Transplantats ist reduziert.

Distraktionsosteogenese im Unterkiefer

Foto: Dr. Linda Daume

Ein 60-jähriger Patient stellte sich mit einem ausgeprägten, traumabedingten Knochen- und Weichteildefizit in der Unterkieferfront vor (Abb. 1a+b). Es bestand der Wunsch nach einer festsitzenden implantatprothetischen Versorgung. Im Jahr 2021 war es durch einen Fahrradsturz zu einer Unterkieferfraktur gekommen, die alio loco mehrfach voroperiert worden war. Im Zuge der Behandlung waren die Zähne 32-42 verloren gegangen.

Nach umfassender Aufklärung erfolgte – aufgrund des unzureichenden Knochen- und Weichgewebsangebots für eine unmittelbare Implantation – eine Unterkieferdistraktion zur vertikalen Augmentation des Knochens und zur Vermehrung des Weichgewebes durch eine kontinuierliche Dehnung. In Intubationsnarkose wurde der Knochendefekt dargestellt und das Segment in Regio 32-42 osteotomiert. Das Segment war an der lingualen Schleimhaut gestielt, mobilisiert und gut durchblutet. Anschließend wurde der Distraktor (KLS Martin) angepasst und eingebracht (Abb. 2a–c). Abschließend erfolgten der Wundverschluss und eine postoperative Röntgenkontrolle (Abb. 3).

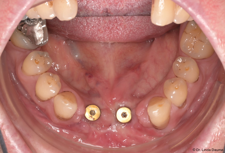
Nach einer Latenzphase von sieben Tagen begann die Distraktion mit 1 mm pro Tag, aufgeteilt in mehrere Einzelaktivierungen unter engmaschiger Kontrolle. Nach Erreichen der vorgesehenen Endposition begann die Konsolidierungsphase (Abb. 4). Der Distraktor wurde nach acht Monaten entfernt und es erfolgte die Implantation in Regio 32 und 42 mit lokaler Augmentation (Abb. 5a+b). Nach einer weiteren Einheilphase von fünf Monaten wurden die Implantate freigelegt und das Weichgewebe mittels eines freien Schleimhauttransplantats vom Gaumen optimiert. Die prothetische Versorgung konnte anschließend festsitzend mit einer implantatgetragenen Brücke von 32-42 realisiert werden (Abb. 6).

Konzept der Distraktionsosteogenese

Definiert wird die Distraktionsosteogenese als die Schaffung von neu geformtem Knochen samt angrenzendem Weichgewebe durch eine kontrollierte und sukzessive Verlagerung eines Knochensegments. Die Distraktionsosteogenese führt somit zu einer Vermehrung von Knochen und Weichgewebe. Eine optimale Gewebequalität wird durch eine kontinuierliche Distraktion erzielt.

Es kommt zu einer zell- und gewebeadaptierten Aktivierung des Knochens. Die Zielstruktur der Aktivierung ist das Zytoskelett der einzelnen Zelle. Man erreicht die optimale Aktivierung bei zunehmender Gewebemasse (= Zellzahl) und einer exponenziellen Steigerung der Aktivierungsstrecke. Bei einer zu schnellen Distraktion entsteht nur ein bindegewebiges Regenerat. Distrahiert man hingegen zu langsam, kommt es zu einer frühzeitigen Verknöcherung.1, 2

Grundsätzlich ergeben sich folgende Indikationen für die Distraktionsosteogenese:

  • kombiniertes ausgeprägtes Hart- und Weichgewebsdefizit
  • Alternative zur Blockaugmentation bei defizitärem Weichgewebe
  • extremes Knochendefizit
  • kraniofaziale Syndrome
  • rare individuelle Fälle

Die Distraktionsosteogenese ist ein probates Augmentationsverfahren bei vertikalen Defekten in unmittelbarer Nachbarschaft zur Restbezahnung. Die Rekon-struktion mit Transplantaten wäre bei diesem vorliegenden Fall aufgrund der mangelnden Weichgewebsabdeckung und Weichgewebsmobilisation schwierig und oft nur mit zusätzlichen Maßnahmen zur plastischen Deckung möglich. Das Weichgewebe ist von verminderter Qualität und Quantität. Bei vertikalen Knochendefekten neben einer Restbezahnung mit Attachmentverlust können erhöhte Taschentiefen an den Nachbarzähnen zusätzlich mögliche Infektionen begünstigen. Das Regenerationspotenzial und die Vaskularisation sind dadurch gestört und es wäre schwer, das Transplantat während der Einheilphase vor Reizen zu schützen.

Konzept der Distraktionsosteogenese

  • Osteotomie ‒ große Anlagerungsfläche sinnvoll
  • Eingliederung des Distraktors ‒ heute: KLS Martin
  • Latenzphase (abhängig von Ossifikationsart) ‒ Unterkiefer (gemischt desmal/enchondral) sieben Tage ‒ Oberkiefer (desmal) zwei Tage 
  • Distraktionsphase ‒ 1 mm/Tag aufgeteilt in viele Einzelaktivierungen
  • Konsolidierungsphase ‒ sechs bis neun Monate
  • Bei Bedarf In-situ-Modellation ‒ vorzeitige Distraktorentfernung nach zwei bis vier Wochen möglich ‒ Bewegung des Knochens vor knöcherner Konsolidierung

Der distrahierte Knochen zeigt eine geringe Mineralisation, aber eine hohe biologische Aktivität. Das Weichgewebe folgt dem neu entstandenen Knochen. Auch bei ausgeprägten Atrophien des Kiefers kann fixierte Gingiva entstehen.4

Die Distraktionsosteogenese benötigt keine zweite operative Entnahmestelle, sodass die Morbidität der Spenderregion entfällt.5 Das Verfahren bietet durch den Erhalt der periostalen Versorgung den Vorteil eines gefäßversorgten Transplantats. Daher ist die Knochenresorption deutlich geringer als bei freien Knochentransplantaten.6

Die Distraktionsosteogenese benötigt eine breite Knochenbasis. Der Kieferkamm sollte mindestens 8 mm breit sein. Dies limitiert die Indikation für die Technik, weil viele vertikalen Knochendefekte ein 3D-Defizit aufweisen. Ausnahmen gibt es bei unfallbedingtem Knochenverlust oder nach Tumorkastenresektionen.

Das chirurgische Vorgehen benötigt eine standardisierte Technik, um Fehler zu vermeiden. Die größte Komplikation, die auftreten kann, ist die falsche Bewegung des Segments während der Distraktionsosteogenese, die dazu führen kann, dass der neu geformte Kieferkamm unförmig wird. In einer Studie von Ettl et al. (2009) kam es bei 41,7 Prozent der Fälle zu einer lingualen Kippung des Segmentes.10 Bei der Montage des Distraktors ist es daher wichtig, dass die optimale Richtung geplant wird. Die Form des Kieferkamms im Unterkiefer kann dazu führen, dass der Distraktor zu weit lingual positioniert wird. Durch die Spannung des Weichgewebes oder des Muskelansatzes im Unterkiefer ist es möglich, dass das Segment nach lingual kippt. Die Osteotomie bestimmt daher bereits das prothetische Outcome. In-situ-Modellationen des Distraktors sind möglich.7 Auch kann der Distraktor vorzeitig entfernt werden. Weitere Komplikationen wie Plattenbrüche, Kieferfrakturen, Sensibilitätsstörungen, Weichteildehiszenzen oder Infektionen sind selten beschrieben.10

Die Technik nutzt die natürliche Heilungskapazität, daher sind während der Aktivierungs- oder Konsolidierungsphase eine hohe Patientencompliance und ein striktes Recallprogramm erforderlich.8 Die biologische Regeneration des neuen Knochens zeigt eine vernachlässigbare Infektions- und Wundheilungstörungsrate, die die Implantatüberlebensrate nicht beeinflusst.9

Fazit

Der Fallbericht zeigt eine erfolgreiche Anwendung des Behandlungskonzepts bei einer schwierigen Ausgangslage. Das Ergebnis übertrifft die zu erwartenden Ergebnisse der bekannten Alternativen. Vor- und Nachteile des OP-Verfahrens müssen kritisch mit dem Patienten diskutiert werden, um ein individuelles Therapiekonzept zuerstellen. Bei korrekter Indikationsstellung, Planung und Durchführung können mit der Distraktionsosteogenese ausgezeichnete klinische Ergebnisse erzielt werden. Zusammenfassend ist die vertikale Distraktionsosteogenese ein Verfahren zum präimplantologischen Aufbau des Implantatlagers mit hoher Prognosesicherheit.

Autoren: Dr. Linda Daume, Prof. Dr. Dr. Johannes Kleinheinz, Dr. Katarzyna Witanski

zur Literaturliste

Oralchirurgie Journal 01/26

Oralchirurgie Journal


Dieser Beitrag ist im OJ Oralchirurgie Journal erschienen.

Das Mitgliederorgan des Berufsverbandes Deutscher Oralchirurgen e.V. (BDO) ist das Fachmedium für den Berufsstand. Das Oralchirurgie Journal begleitet Fachzahnärzte für Oralchirurgie und chirurgisch tätige Zahnärzte mit praxisnahen Beiträgen, klinischen Fallberichten und wissenschaftlich fundierten Studien. Viermal im Jahr bündelt es aktuelles Fachwissen und Verbandsinformationen des BDO und bietet damit einen kompakten Überblick über Entwicklungen und Trends im Fachgebiet.

 

Jetzt das ePaper lesen.

Mehr Fachartikel aus Oralchirurgie

ePaper