Oralchirurgie 25.01.2018

Volumenerhalt nach Zahnextraktion mittels Ridge Preservation



Volumenerhalt nach Zahnextraktion mittels Ridge Preservation

Foto: Autor

Im Frontzahnbereich kommt der ästhetischen Komponente ein besonderer Stellenwert zu. Des Weiteren unterliegt die bukkale Lamelle einer höheren Resorption, die größtenteils in den ersten drei Monaten nach einer Extraktion stattfindet. Folgender klinischer Fallbericht beschreibt kurz den Volumenerhalt nach einer Zahnextraktion mittels Ridge Preservation in Regio 12. Eine Implantatversorgung ist zu einem späteren Zeitpunkt geplant.

Ein Patient stellt sich mit einem frakturierten Zahn 12 vor. Der Zahn ist nicht mehr erhaltungswürdig und bis zur Wurzelspitze frakturiert. Die präoperative Situation zeigt den Wurzelrest klinisch und röntgenologisch (Abb. 1 und 2). Nach Aufklärung über mögliche Behandlungsalternativen entschied sich der Patient für eine Implantatversorgung. Es wurde eine zweizeitige Vorgehensweise empfohlen.

Durch die zweizeitige Vorgehensweise erfolgt eine zeitliche Trennung von Augmentation und Implantation, dies reduziert das Wundheilungsrisiko und erleichtert das Weichgewebemanagement. Kieferkammerhaltende Maßnahmen sind in der Regel für den Patienten weniger invasiv und kostengünstiger als umfangreiche Augmentationsverfahren.

Vorgehensweise

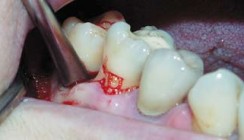
Zunächst erfolgten die Entfernung des Wurzelrestes und eine gründliche Kürettage des Wundgebietes (Abb. 3). Die Sondierung zeigt einen vestibulären Knochendefekt (Abb. 4). Um eine spätere Implantation zu ermöglichen, wird der Defekt mit einem Knochenersatzmaterial (Bio-Oss®, Geistlich Biomaterials) aufgefüllt. Nach der Deepithelisierung mit rotierenden Instrumenten erfolgt die Taschenbildung für die Membranpositionierung (Abb. 5 und 6). Anschließend wird die Membran (Bio-Gide® Shape, Geistlich Biomaterials) mit rauer Seite zum Defekt appliziert (Abb. 7 und 8). Das KEM-Material (Bio-Oss® Collagen, Geistlich Biomaterials) wird mittels steriler Pinzette und Schere konditioniert (Abb. 9) und in den Knochendefekt eingebracht (Abb. 10). Übermäßiges Einpressen ist beim Applizieren zu vermeiden (Abb. 11). Der Membranzuschnitt erfolgt im trockenen Zustand. Die krestal überstehende Membran wird lingual eingeklappt (Abb. 12). Die Anwendung der Membran unterstützt die Wundheilung und schützt das Augmentat. Die hohe Defektadaption zeigt sich besonders bei Benetzung mit Blut (Abb. 13).

Zum Verschluss wurde palatinales Weichgewebe entnommen und die Alveole verschlossen (Abb. 14–17). Eine Kontrolle erfolgte drei Monate post OP (Abb. 18).

Vier Monate post Operation zeigt sich das Augmentat osseointegriert. Der Verlust der bukkalen Lamelle ist größtenteils kompensiert, und auf Kieferkammhöhe konnte das Volumen erhalten werden (Abb. 19 und 20).

Fazit

Das langsam resorbierende Knochenersatzmaterial Geistlich Bio-Oss Collagen kann langfristig das Volumen der knöchernen Alveole erhalten und schafft somit zum Zeitpunkt der Implantation ein ausreichend vorhandenes Knochenlager. Das Weichgewebe bleibt infolge erhalten und weitere Behandlungsschritte können, je nach Wunsch des Patienten flexibler, durchgeführt werden.

Der Artikel ist im Oralchirurgie Journal 3/2017 erschienen.

Produkte
Mehr Fachartikel aus Oralchirurgie

ePaper