Parodontologie 07.04.2015
Diabetes mellitus und Parodontitis – eine Herausforderung
share
In den letzten Jahren wurden in einer Vielzahl von Publikationen wechselseitige Interaktionen zwischen den Erkrankungsbildern von Diabetes mellitus und Parodontitis beschrieben. Leider sind diese fundierten theoretischen Grundlagen noch längst nicht ausreichend bei Internisten und Zahnärzten bekannt und werden daher viel zu selten in der täglichen Behandlungsroutine berücksichtigt.
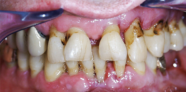
Diabetes mellitus und Parodontitis sind komplexe chronische Erkrankungen, die einen erheblichen Teil der erwachsenen Bevölkerung betreffen. Etwa 6 Millionen Menschen in Deutschland ist ihre Diabetesdiagnose bekannt, eine Dunkelziffer an bisher nicht diagnostizierten Erkrankungsfällen von 2 bis 5 Millionen Menschen wird vermutet (Rathmann und Tamayo, 2013). Für Deutschland nimmt man ungefähr 31 Millionen Parodontitiserkrankte an (Holftreter et al., 2010). Aus diesen Zahlen ist leicht abzulesen, dass ein erheblicher Teil der Patienten in jeder Zahnarztpraxis an mindestens einer dieser Erkrankungen leidet. Mit der weiteren Alterung unserer Bevölkerung, dem erfreulichen Befund, dass immer mehr Menschen auch im fortgeschrittenen Alter noch einen großen Teil ihrer natürlichen Zähne haben und der Tatsache, dass auch zunehmend jüngere Menschen an einem Diabetes erkranken, wird daraus eine gewaltige Herausforderung an das Disease-Management in der ambulanten Versorgung.

Auch wenn der bakterielle Biofilm mit
seinen zahlreichen parodontopathogenen Mikroorganismen immer die
notwendige Ursache für die Entstehung der Parodontitis bleibt, so
hat ein bestehender Diabetes mellitus in erheblichem Maß Einfluss
auf die Krankheitsentwicklung, sodass man die Parodontitis zu den mikrovaskulären Folgeerkrankungen des
Diabetes zählen muss. Bei Diabetikern mit unzureichender Einstellung
des Blutglukosespiegels ist mit einer verstärkten parodontalen
Gewebedestruktion zu rechnen, der durchschnittliche klinische
Attachmentverlust ist signifikant erhöht. Ebenso ist die
Regenerationsfähigkeit des Gewebes reduziert (Grossi und Genco,
1998). Bei guter metabolischer Einstellung kann hingegen mit
ähnlichen Therapieresultaten wie bei Nichtdiabetikern gerechnet
werden. Die Parodontitis muss also als typische Komplikation einer
länger bestehenden Hyperglykämie angesehen werden (Löe, 1993).
Die pathogenetischen Mechanismen, die letztlich für die
beschriebenen Einflüsse des Diabetes auf den parodontalen Zustand
verantwortlich sind, sind noch nicht vollständig geklärt. Es
gilt als relativ gesichert, dass der hyperglykämische Zustand keine
signifikante Modifikation des subgingivalen Biofilmes verursacht.
Die Konzentration von Zytokinen wie Interleukin-1 beta (IL-1β) und
Interleukin-6 (IL-6) in der Sulkusflüssigkeit ist erhöht. Ebenso
ist das Verhältnis zwischen RANKL (Receptor Activator of Nuclear
Factor kappa-B Ligand) zu Osteoprotegerin (OPG) verschoben und
damit das Gleichgewicht zwischen Knochenaufbau und -abbau in Diabetes mellitus und Parodontitis sind
komplexe chronische Erkrankungen, die einen erheblichen Teil der
erwachsenen Bevölkerung betreffen. Etwa 6 Millionen Menschen in
Deutschland ist ihre Diabetesdiagnose bekannt, eine Dunkelziffer an
bisher nicht diagnostizierten Erkrankungsfällen von 2 bis 5
Millionen Menschen wird vermutet (Rathmann und Tamayo, 2013). Für
Deutschland nimmt man ungefähr 31 Millionen Parodontitis- erkrankte
an (Holftreter et al., 2010). Aus diesen Zahlen ist leicht abzulesen,
dass ein erheblicher Teil der Patienten in jeder Zahnarztpraxis an
mindestens einer dieser Erkrankungen leidet. Mit der weiteren
Alterung unserer Bevölkerung, dem erfreulichen Befund, dass immer mehr
Menschen auch im fortgeschrittenen Alter noch einen großen Teil
ihrer natürlichen Zähne haben und der Tatsache, dass auch
zunehmend jüngere Menschen an einem Diabetes erkranken, wird daraus eine gewaltige Herausforderung an das Disease-Management in der
ambulanten Versorgung.
Auch wenn der bakterielle Biofilm mit seinen zahlreichen parodontopathogenen Mikroorganismen immer die notwendige Ursache für die Entstehung der Parodontitis bleibt, so hat ein bestehender Diabetes mellitus in erheblichem Maß Einfluss auf die Krankheitsentwicklung, sodass man die Parodontitis zu den Richtung eines verstärkten Knochenabbaus gestört. Das Ausmaß dieser Abweichungen steht in Relation zum Status der glykämischen Kontrolle (Taylor et al., 2013). Als weiterer Mechanismus wird der Einfluss der beim Diabetes vermehrt auftretenden Endprodukte der fortgeschrittenen Glykierung (Advanced Glycation End Products, AGE) diskutiert. AGEs sind die Folge der Bindung von Glukose an freie Aminogruppen von Proteinen und bewirken die Freisetzung von entzündungsfördernden Zytokinen und die Apoptose von Fibroblasten und Osteoblasten, was wiederum zu einem verstärkten Gewebeabbau und einem geringeren Kollagen- und Knochenaufbau führt (Graves et al., 2007).
Gleichzeitig gibt es vermehrte Evidenz, dass es sich um eine gegenseitige Beeinflussung beider Krankheitsbilder handelt, dass also der glykämische Status auch abhängig von chronischen parodontalen Entzündungen ist. So wird eine chronische Dysregulation peripherer Zytokine, die auch als Folge einer chronischen Parodontitis auftritt, als bedeutsamer pathogenetischer Faktor sowohl für den prädiabetischen Zustand als auch für den manifesten Diabetes angenommen (Kolb und Mandrup-Poulsen, 2010). Die Konzentration zirkulierender Mediatoren wie C-reaktives Protein (CRP), Tumornekrosefaktor-alpha (TNF-α) und IL-6 ist bei parodontalen Entzündungen signifikant erhöht (Bretz et al., 2005; Engebretson et al., 2007; Paraskevas et al., 2008; Demmer et al., 2010). Aus epidemiologischen Beobachtungen ist bekannt, dass parodontal erkrankte Personen eher ein metabolisches Syndrom entwickeln (Morita et al., 2010) und dass eine zunehmende Glukoseintoleranz und ein steigender HbA1c-Wert im direkten Zusammenhang mit dem Ausmaß der parodontalen Erkrankung, gemessen anhand des klinischen Attachmentlevels, stehen (Demmer et al., 2010; Saito et al., 2004). Das Risiko zur Ausbildung eines Diabetes Typ 2 ist abhängig vom Schweregrad der parodontalen Erkrankung (Demmer et al., 2008). Zunehmendes Interesse gewinnt daher die Frage, ob durch eine systematische Parodontaltherapie eine Verbesserung der Stoffwechselkontrolle bei Diabetikern erreicht werden kann. In mehreren systematischen Reviews von randomisierten klinischen Studien wird eine Senkung des HbA1c-Wertes als Maß für die langfristige Stoffwechselkontrolle allein durch nicht chirurgische Parodontaltherapie um etwa 0,4 % angegeben (Engebretson und Kocher, 2013; Teeuw et al., 2010; Simpson et al., 2010). Dieser Effekt konnte in einer neueren randomisierten Studie mit einem vergleichsweise großen Untersuchungskollektiv von 514 Probanden nicht bestätigt werden (Engebretson et al., 2013). Allerdings sollte bei der kritischen Würdigung dieses Studienergebnisses berücksichtigt werden, dass zum einen nur relativ wenige Patienten mit schweren parodontalen Befunden in die Untersuchung eingeschlossen waren, also auch nur ein geringerer Effekt der Therapie zu erwarten ist, zum anderen mit einem BOP-Wert (Bleeding on Probing) von über 40 % nach nicht chirurgischer Therapie letztlich keine zufriedenstellende parodontale Ausheilung erreicht wurde. Damit bestehen zumindest deutliche Hinweise darauf, dass eine nicht chirurgische Parodontitistherapie fast den Effekt einer ergänzenden antihyperglykämischen Medikation erreichen kann, ohne allerdings die Inzidenz von zum Teil schwerwiegenden unerwünschten Nebenwirkungen zu steigern (Nathan et al., 2008). In den bisherigen Studien ist in der Regel nur der kurzfristige positive Effekt der Parodontaltherapie über drei bis sechs Monate dokumentiert, Beobachtungen über einen längeren Zeitraum in der unterstützenden Parodontitistherapie (UPT) sind selten. Aufgrund des chronischen Charakters beider Krankheitsbilder wäre hingegen die überprüfung des langfristigen Einflusses eines systematischen parodontalen Betreuungskonzeptes auf die Kontrolle des Diabetes mellitus eine wichtige Aufgabe für die zukünftige Versorgungsforschung.
Die bekannten Wechselwirkungen zwischen den Krankheitsbildern eröffnen auch für die frühzeitige Diagnose des Diabetes interessante Perspektiven: Eine in der zahnärztlichen Praxis diagnostizierte Parodontitis kann bei Vorliegen weiterer, vom Patienten in der Anamnese zu erfragenden Diabetes-Risikofaktoren (Familienanamnese, übergewicht, Bluthochdruck) wertvolle Hinweise auf eine bisher unerkannte Diabeteserkrankung liefern (Lalla et al., 2011).
Schon aus dieser kurzen Zusammenfassung wird deutlich, dass es sich bei beim Diabetes mellitus, aber auch bei der Parodontitis letztlich um Systemerkrankungen handelt, die einen ganzheitlichen interdisziplinären Ansatz zur optimalen Betreuung der Patienten erfordern. Bei bekannter Diabetesdiagnose sollte der Patient schon vom behandelnden Internisten oder Diabetologen genauso über sein erhöhtes Parodontitisrisiko aufgeklärt werden, wie es für andere Diabeteskomplikationen wie etwa die Retinopathie oder das diabetische Fußsyndrom seit Langem üblich ist. Nach der Erstdiagnose des Diabetes und danach einmal jährlich ist eine überweisung zur zahnärztlichen Untersuchung angezeigt. Wichtig ist dann natürlich, dass bei der zahnärztlichen Kontrolle auch der Schwerpunkt auf die parodontale Diagnostik gelegt wird.
Für das zahnärztliche Team gilt bei der Betreuung von Diabetikern:
- Die Patienten müssen intensiv über die bestehenden Zusammenhänge zwischen ihrer Diabeteserkrankung und einer möglichen Parodontitis informiert werden.
- Die parodontalen Parameter müssen zumindest anhand das Parodontalen Screening Index (PSI) einmal jährlich kontrolliert werden, um eine rechtzeitige Diagnose sicherzustellen. Bei Verdacht auf eine bestehende Parodontitis ist eine vollständige parodontale Befunderhebung notwendig.
- Diabetiker benötigen eine besonders intensive prophylaktische Betreuung und, bei Bedarf,
- eine sorgfältige Parodontalbehandlung mit einer funktionierenden Erhaltungstherapie (Deschner et al., 2011; Chapple et al., 2013).
- Patienten mit hohen oder stark schwankenden Blutglukosewerten (HbA1c >7 % oder Blutglukose nüchtern >100 mg/dl) sollten vor einer umfangreicheren Behandlung zu einem diabetologischen Konsil überwiesen werden.
Fazit
Dem Screening von bisher unbekannten Diabeteserkrankungen muss in der Zahnarztpraxis in Zukunft verstärkte Aufmerksamkeit geschenkt werden, da viele unserer Patienten außer einer vielleicht einmal jährlichen zahnärztlichen Untersuchung für das Bonusheft der gesetzlichen Krankenversicherung ohne konkreten Anlass keinen Arzt aufsuchen. Bei bestehender Parodontitis und zusätzlich bekanntem Diabetesrisiko (erbliche Belastung, erhöhter BMI) sollte eine überweisung zur Stoffwechselkontrolle beim Diabetologen erfolgen. Zusätzlich ist es sinnvoll und kein übermäßiger Aufwand, die Verdachtsdiagnose „Diabetes“ zusätzlich durch einen Schnelltest des Blutglukosespiegels oder des HbA1c-Wertes in der Zahnarztpraxis zu untermauern. Die Verifizierung dieser Werte, die in der Regel aufgrund von verfahrensbedingten Messungenauigkeiten keine endgültige diagnostische Aussage erlauben, muss dann beim Facharzt geleistet werden.
Hier gibt es die vollständige Literaturliste