Implantologie 01.06.2011

Zahnerhalt vs. Implantation



Zahnerhalt vs. Implantation

Die Implantologie ist heutzutage zu einem integralen Bestandteil der Zahnheilkunde geworden. Sie bietet viele Möglichkeiten und ist aus dem zahnärztlichen Behandlungsspektrum nicht mehr wegzudenken. Dennoch sei die Frage erlaubt, ob gerade wegen des implantologischen „Booms“ nicht zu viele Zähne, die bei richtiger Behandlungstechnik noch lange in situ bleiben könnten, vorschnell extrahiert werden.

Die Entscheidung für oder gegen die Extraktion ist immer eine Einzelfallentscheidung und wird von vielen Faktoren beeinflusst. Auch muss nicht jeder extrahierte Zahn durch ein Implantat ersetzt werden. Im Folgenden soll ein in der Praxis erfolgreiches Konzept zur Entscheidungsfindung Zahnerhalt oder Extraktion mit anschließender Implantation aufgezeigt und patientenbezogene Aspekte dargelegt werden, die die grundsätzliche Abwägung Zahnerhalt oder Extraktion stark beeinflussen. Die allgemeinmedizinische Anamnese des Patienten kann die Behandlungsalternativen einschränken. Vorerkrankungen oder Medikationen können das Risiko bei zahnärztlich-chirurgischen Eingriffen teilweise deutlich erhöhen. So ist zum Beispiel bei vorangegangener, insbesondere intravenöser Bisphosphonattherapie die Vermeidung eines nicht unbedingt notwendigen oralchirurgischen Eingriffs absolut angeraten, um die Gefahr von post operativen Kiefernekrosen zu vermeiden (Abb. 1).

 

In diesen Fällen sollte, wann immer möglich, der Versuch unternommen werden, Zähne zu erhalten.18 Ein weiterer Aspekt ist das Alter des Patienten, welches aber kein hartes Entscheidungskriterium darstellt. Determinierend ist vielmehr, ob die manuellen Fähigkeiten ausreichen, um eine adäquate Mundhygiene zu gewährleisten. Das kariologische und parodontale Risikoprofil des Patienten und die Bereitschaft zur kontinuierlichen Erhaltungstherapie spielen in der Entscheidungsfindung immer eine zentrale Rolle. In Fällen, bei denen Patienten nicht zur Mundhygiene motiviert werden können und nicht an der regelmäßigen Erhaltungstherapie teilnehmen wollen, sollte von aufwendigen zahnärztlichen Maßnahmen Abstand genommen werden. Früher Implantatverlust durch Periimplantitis oder Zahnverlust durch Karies oder Parodontitis sind dann vorprogrammiert. 

Ein weiteres wichtiges Entscheidungskriterium liefert die funktionelle Untersuchung des Patienten. Bei starkem Bruxismus sollte die Implantation kritisch überdacht werden.25, 36 Die Sensorik eines Implantats beträgt nach J. Levy nur ein Zehntel eines nativen Zahnes. Auch bei endodontisch behandelten Zähnen reduziert sich die Sensorik im Vergleich zu einem vitalen Zahn um die Hälfte.33 Es ist bei Patienten, die unter Bruxismus leiden, vermehrt mit Frakturen von implantatgetragenen Rekonstruktionen und auch von endodontisch versorgten Zähnen zu rechnen. Die endgültige Entscheidung über die Behandlungsalternativen liegt letztlich immer beim gut aufgeklärten Patienten, der nach Erläuterung aller Risiken und Erfolgsaussichten die Behandlung mitbestimmt.  

Spezielle zahnbezogene Aspekte Parodontologische Aspekte 

 Von den gesetzlichen Krankenkassen wird in der Parodontologie verlangt, schon vor der Initialtherapie bei schwerer generalisierter Parodontitis die Extraktion vermeintlich infauster Zähne durchzuführen. Die Extraktion von Zähnen aus parodontalen Gründen sollte allerdings immer kritisch überdacht werden. Die Studie von Hirschfeld und Wassermann an 600 Patienten, die sich über 22 Jahre in parodontaler Erhaltungstherapie befanden, zeigte, dass bei 50 Prozent der Patienten alle Zähne erhalten werden konnten. Darüber hinaus konnte festgestellt werden, dass 33 Prozent der Patienten nur ein bis drei Zähne verloren.21 Ebenfalls mussten nach diesem langen Zeitraum nur 31 Prozent der ursprünglich als fraglich eingestuften Zähne extrahiert werden. Die Ergebnisse dieser Studie bestätigen sich in der Praxis.

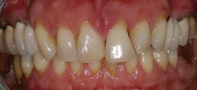
Besonders einwurzelige Zähne mit einem Knochenverlust von deutlich mehr als 50 Prozent können oft noch jahrelang in Funktion bleiben. Bei adäquater Erhaltungstherapie ist vielfach auch eine spontane Knochenregeneration in Fällen mit vertikalen Knochendefekten zu beobachten (Abb. 2). Ein wichtiges Entscheidungskriterium für oder gegen eine Extraktion ist, ob eine geschlossene Zahnreihe vorliegt, in der kein Zahnersatz notwendig wäre, wenn alle Zähne erhalten werden könnten, oder ob es sich um ein Lückengebiss handelt, in dem ohnehin prothetische Maßnahmen angezeigt sind. In einer geschlossenen Zahnreihe sollten, bei generalisierter Parodontitis, alle Zähne unabhängig von der Sondierungstiefe und vom Furkationsbefall (auch Furkation Grad III) grundsätzlich erhalten werden, um so lange als möglich jegliche risikobehaftete Prothetik zu vermeiden. Die Notwendigkeit von Zahnersatz zieht in diesen Fällen meist die Extraktion mehrerer Zähne nach sich, da die Ankerzähne oder bei einer Implantation die Nachbarzähne aufgrund starker parodontaler Vorschädigung oft keine gute Prognose besitzen.

Der angefertigte Zahnersatz ist wegen der Parodontitis und daraus folgendem massiven Knochen- und Gewebeverlust meist ästhetisch nicht besser als die Ausgangssituation. Gerade im Frontzahnbereich finden sich häufig einzelne stark gelockerte Zähne mit erheblichem Knochenabbau. Die Entfernung dieser Zähne zieht größte ästhetische und prothetische Probleme nach sich, da die Prognose der Nachbarzähne als Brückenpfeiler oft zu schlecht ist und die entstandene Lückenbreite, zum Beispiel in der Unterkieferfront oder bei den seitlichen Inzisiven im Oberkiefer, für eine Implantation nicht ausreicht. Diese stark gelockerten Zähne werden am besten durch eine adhäsive Schienung an den Nachbarzähnen versorgt. Frontzähne bleiben dadurch auch bei Knochenabbau bis ins apikale Wurzeldrittel oft jahrelang erhalten (Abb. 2). Der limitierende Faktor für die Erhaltung von Zähnen bei geschlossener Zahnreihe ist die Beherrschbarkeit der Entzündung (Taschensuppuration oder BOP [Bleeding On Probing]).27 

Nach der allgemein üblichen konservativen Initialtherapie (Full Mouth Disinfection – in aggressiven und schweren chronischen Fällen mit Antibiose) sollte, falls dann noch notwendig, vor einer Extraktion über mögliche parodontalchirurgische Interventionen nachgedacht werden. Abgesehen von regenerativen Maßnahmen stehen gerade bei persistierenden lokalen Parodontopathien resektive Techniken zur Taschenverkleinerung zur Verfügung. Zur Behandlung des Furkationsbefalls im Molarenbereich setzen wir die Tunnelierung im Unterkiefer und im Oberkiefer die Wurzelamputation einer oder beider bukkaler Wurzeln ein (Abb. 3).

Die Langzeitstudien zu diesen Verfahren3, 5, 6, 7, 8, 9, 11, 14, 26, 28, 41 zeigen ebenso wie die Studien zur Tunnelierung9, 19, 29 sehr unterschiedliche Ergebnisse. Bei unseren Patienten zeigte sich die Hemisektion im Unterkiefer als prognostisch ungünstig, da sich zum einen die exakte Definition einer Präparationsgrenze als problematisch erwies und zum anderen häufig Frakturen der verbliebenen, meist distalen Wurzel auftraten. Die Amputation einer oder beider bukkaler Wurzeln bei Oberkiefermolaren erwies sich dagegen als sehr erfolgreiche Behandlungsmaßnahme, darüber hinaus ist die prothetische Versorgung der verbliebenen Zahnwurzeln gut möglich.1, 20, 30, 43, 35

Bei Unterkiefermolaren bleibt als Alternative zur Tunnelierung bei nicht beherrschbarer Entzündung nur die Extraktion. Die im parodontal vorgeschädigten Gebiss nach erfolgter Initialtherapie häufig mangelhafte Frontzahnästhetik kann in vielen Fällen durch Korrekturen mittels Adhäsivtechnik entscheidend verbessert werden. Das Schließen von schwarzen Dreiecken oder das Überschichten von Zahnwurzeln verbessern das ästhetische Erscheinungsbild meist deutlich. Bei Zahnfehlstellungen sollte auch im parodontal vorgeschädigten Gebiss die Möglichkeit einer kieferorthopädischen Regulierung bedacht werden (Abb. 4). Meistens werden mit diesen Mitteln bessere ästhetische Ergebnisse erreicht als mit der Extraktion der Zähne und anschließender implantologischer und prothetischer Versorgung. 

In einem parodontal vorgeschädigten Lückengebiss, bei dem ein definitiver Zahnersatz notwendig ist, gilt zunächst ebenfalls die Direktive, so viele Zähne wie möglich zu erhalten. Limitierender Faktor ist auch in diesen Fällen die Beherrschbarkeit der Entzündung. Darüber hinaus müssen aber an die Zähne, bezüglich ihrer Erhaltungswürdigkeit, strengere Anforderungen gestellt werden, sollen sie doch in der Lage sein, einen Zahnersatz aufzunehmen. Bei Molaren mit Furkationsbefall Grad I und II wird eine Odonto- oder Osseoplastik durchgeführt, um die Hygienefähigkeit gerade für die häusliche Reinigung herzustellen oder zu verbessern.43

Bei Furkationsbefall Grad III bleibt im Unterkiefer nur die Extraktion und bei Molaren des Oberkiefers kommt neben der Extraktion die Wurzelamputation einer oder beider bukkaler Wurzeln infrage (Abb. 3). Strategisch wichtige Pfeiler, die zum Beispiel zur Verankerung von Rekonstruktionen benötigt werden, müssen besonders kritisch beurteilt werden. Die Extraktion dieser Zähne mit anschließender Implantation ist in solchen Fällen oftmals die bessere Alternative (Abb. 5). 

Endodontologische Aspekte 

 Die endodontische Behandlung eines Zahnes ist grundsätzlich immer möglich. Zwei Techniken stehen dazu zur Verfügung. Die orthograde Wurzelkanalbehandlung und die Wurzelspitzenresektion als retrograde Wurzelkanalbehandlung können unterschieden werden. 

Die Entscheidung „Zahnerhalt oder Extraktion“ wird natürlich von der Erfolgsprognose der endodontischen Behandlung des Zahnes beeinflusst. Der Begriff Erfolgsprognose ist allerdings sehr schwer zu definieren.42 Zum einen wird eine Beschwerdefreiheit und ein Verbleiben des Zahnes in Funktion als ausreichend angesehen („functional tooth“), zum anderen werden die strengeren Anforderungen der Europäischen Gesellschaft für Endodontologie (ESE) gestellt. Nach diesen Forderungen müssen neben der Beschwerdefreiheit auch radiologisch nachweisbare intakte periradikuläre Verhältnisse vorliegen.12 

Unabhängig von dieser Diskussion sind die Erfolgsaussichten einer Wurzelkanalbehandlung bei Molaren naturgemäß geringer als bei ein- oder zweiwurzeligen Zähnen. Sie bewegen sich bei einer Vitalextirpation an Molaren unter Anwendung der strengen ESE Kriterien im Allgemeinen bei über 90 Prozent.15, 22 In Fällen von Zähnen mit infizierter Pulpa sinkt die Prognose auf 73 bis 90 Prozent.

Betrachtet man die schwächeren Kriterien des „functional tooth“, liegen die Prognosen circa zehn Prozent höher im Bereich von 88 bis 97 Prozent.13 Bei Revisionen macht es einen großen Unterschied, ob eine Wurzelfüllung nur aus technischen Gründen erneuert wird (z.B. zu kurze Wurzelfüllung) (Erfolgsprognose 86 bis 98 Prozent), oder ob ein endodontisch behandelter Zahn mit apikaler Parodontitis behandelt werden muss (Erfolgsprognose 36 bis 77 Prozent).4, 17, 31, 32, 40 

Auch frakturierte Wurzelkanalinstrumente stellen keine Kontraindikation für die endodontische Behandlung dar, da sie in vielen Fällen umgangen oder sogar entfernt werden können (Abb. 7). Bei bereits endodontisch behandelten Zähnen mit apikaler Beherdung ist der erste Schritt, wenn immer möglich, die orthograde Revision der Wurzelkanalbehandlung (Abb. 6).

Zum einen wird laut Leitlinie der DGZMK ein rein apikalchirurgischer Eingriff nur dann als sinnvoll erachtet, wenn auf orthogradem Weg kein ausreichender Zugang in das endodontische System oder auf orthogradem Weg keine Verbesserung des Zustandes möglich oder wahrscheinlich ist.23 Darüber hinaus verbessert eine vorherige Revision die Erfolgsraten der Wurzelspitzenresektion generell.10, 34 Gerade im Molarenbereich kommt es durch die Resektion oft zu einem operativ bedingten erheblichen Knochenverlust, 39 die Sicht ins Operationsgebiet ist meist sehr eingeschränkt und ein suffizienter retrograder Verschluss ist häufig nicht möglich. Im Unterkiefer ist darüber hinaus das Risiko einer Verletzung des N. alveolaris inferior zu beachten.39 Unseres Erachtens sollte die Endochirurgie im Molarenbereich eher die Ausnahme darstellen, weil bei den häufig zu erwartenden Misserfolgen das Knochenlager für eine spätere Implantation stark kompromittiert ist. Bei Zähnen mit Stiftversorgung ist die Wurzel stark geschwächt.24

Bei der Revision mit Entfernung eines Stiftes besteht – mit zunehmender Insertionstiefe und Durchmesser des Stiftes – ein sehr hohes Frakturrisiko für die Zahnwurzel. Im Frontzahn- und Prämolarenbereich ist in diesen Fällen die Wurzelspitzenresektion (WSR) eine Therapiealternative. Im Molarenbereich ist die Prognose der WSR, wie oben bereits erwähnt, deutlich schlechter.2 Bei diesen Zähnen ist dann die Extraktion und anschließende Implantation indiziert (Abb. 8). 

Hinsichtlich der Endodontie finden sich limitierende Faktoren darüber hinaus häufig im Bereich der Zahnkrone, da die beste endodontische Behandlung ohne dauerhaft dichten koronalen Verschluss keine gute Prognose hat.37, 38 Bei nicht ausreichender Restzahnsubstanz, d.h. wenn kein Ferrule von mindestens 2mm vorhanden ist,16 ist im Allgemeinen die Extraktion des Zahnes zu empfehlen. Zudem sollte bei mehrwurzeligen Zähnen der Zahn entfernt werden, wenn der Defekt bis in die Furkation reicht, da dann der Defekt vom Kronenrand nicht mehr gefasst werden kann. Ein ausreichender Ferrule kann gegebenenfalls geschaffen werden: Zum einen durch eine chirurgische Kronenverlängerung – diese sollte bei mehrwurzeligen Zähnen allerdings nicht zur Freilegung der Furkation führen –, zum anderen durch eine forcierte Eruption eines Zahnes mittels Magneten (Abb. 9 und 10).  

Schlussbemerkung 

Trotz der großen Fortschritte in der Implantologie sollte dem Zahnerhalt immer oberste Priorität bei gemessen werden. Sowohl in der Parodontologie als auch in der Endodontologie stehen uns viele Möglichkeiten zur Verfügung, auch stark kompromittierte Zähne längerfristig zu erhalten. Diese gilt es auszuschöpfen. Auch wenn uns die Implantologie in die Lage versetzt, verloren gegangene Zähne zu ersetzen, so birgt sie langfristig gesehen doch auch Risiken. Denn im Vergleich mit den Möglichkeiten der Therapie vorgeschädigter Zähne sind wir von der Lösung des Problems der Periimplantitis noch weit entfernt. Daher sollte keine vorschnelle Entscheidung gegen den Zahn und für das Implantat getroffen werden. 

 Eine ausführliche Literaturliste finden Sie hier.

Autoren: Dr. Stefan Mörchen, Dr. Alfons Biggel, Dr. Stephan Keller

Mehr Fachartikel aus Implantologie

ePaper