Parodontologie 10.03.2025
Parodontalchirurgie: Behandlungsstufe 3 bei Parodontitis Stadium I–III
share
Dieser Fachbeitrag ist unter dem Originaltitel: „Update resektive Parodontalchirurgie: Behandlungsstufe 3 bei Parodontitis Stadium I–III“ in der ZWP Zahnarzt Wirtschaft Praxis erschienen.
Die resektive Parodontalchirurgie stellt in der zahnmedizinischen Behandlung von Zähnen mit parodontalen und endodontischen Läsionen eine Ultima Ratio dar.1 Sie hat zum Ziel, die Zahnentfernung zu vermeiden und die verbliebenen dentalen Strukturen für eine prothetische Versorgung vorzubereiten. In der aktuellen Leitlinie der European Federation of Periodontology (EFP) ist die resektive Parodontalchirurgie Teil der Behandlungsstufe 3 bei Patienten mit Parodontitis im Stadium I–III.
Resektive Techniken kommen zur Behandlung der Furkationsgrade II und III zur Anwendung, wenn regenerative parodontale Therapien nicht möglich sind.2, 3 Darüber hinaus können resektive Maßnahmen auch zur Behandlung endodontischer Komplikationen indiziert sein, oder wenn andere therapeutische Optionen aufgrund des Allgemeinzustands des Patienten, seines fortgeschrittenen Alters oder finanzieller Erwägungen nicht in Betracht gezogen werden können. Die Festlegung der Indikation sowie die Wahl des geeigneten Verfahrens erfordern eine fundierte Auseinandersetzung mit den parodontalen und endodontischen Aspekten des jeweiligen Falls. Der Stellenwert der resektiven Parodontalchirurgie hat seit Einführung der Implantologie insgesamt an Bedeutung verloren, dennoch können durch die korrekte Anwendung der vielseitigen Techniken gut vorhersagbare und langzeitstabile Ergebnisse erzielt werden.4, 5
Anatomische Grundlagen
Die detaillierte Kenntnis der Zahn- und Wurzelanatomie sowie ihrer Variationen stellt eine wesentliche Grundlage für die präzise Planung und Durchführung einer resektiven Therapie und der anschließenden prothetischen Versorgung dar.2 Molaren lassen sich in der Vertikale in drei Hauptbereiche unterteilen: die Zahnkrone, den Wurzelstamm (engl. Trunk) und die Wurzeln. Der Raum der Wurzelteilungsstelle wird als Furkation bezeichnet. Entsprechend der Wurzelanzahl handelt es sich bei zweiwurzeligen Zähnen um eine Bifurkation, bei dreiwurzeligen Zähnen um eine Trifurkation. Der Wurzelstock ist definiert als der Bereich zwischen der Schmelz-Zement-Grenze (SZG) und dem Furkationsdach (FD). Er bildet den Übergang von der Zahnkrone zu den Wurzeln. Seine Höhe beträgt durchschnittlich 3 bis 5 mm und variiert stark.6, 7
Eine anatomische Besonderheit von mehrwurzeligen Zähnen stellt der Bereich der Wurzelteilungsstelle (Furkation) dar, die aufgrund ihrer individuellen und variantenreichen Form spezifische Herausforderungen für den Behandler mit sich bringt.2 Die Furkation ist charakterisiert durch Einziehun-gen der Wurzeln und die damit entstehenden Unterschnitte (Abb. 2).2 Diese Besonderheiten betreffen sowohl die konservative Therapie der Wurzelglättung als auch die resektive Parodontalchirurgie.
Die schmalen Furkationseingänge (Abb. 2) erschweren beim Scaling and Root Planing (SRP) die Instrumentierung des interradikulären Raumes. Diese anatomischen Merkmale sind auch im Rahmen der resektiven Parodontaltherapie von entscheidender Bedeutung, da sie in der chirurgischen Präparation berücksichtigt werden müssen, um ein optimales Behandlungsergebnis zu erzielen.
Parodontale Aspekte
Plaque-assoziierte marginale Parodontitis führt zum vertikalen Attachmentverlust und ist durch das Vorhandensein pathogener Keime im Sulkus gekennzeichnet.2, 8 Durch die Plaque-Akkumulation im Bereich des Furkationseingangs kann sich die Läsion in den interradikulären Raum ausdehnen, wodurch die Läsion eine horizontale Komponente bekommt. Ist die Furkation mit ihren Schlupfwinkeln erst einmal involviert ist die häusliche Hygiene durch den Patienten sowie die Instrumentierung durch den Behandler deutlich erschwert.2 Dies begünstigt das Fortschreiten des Attachmentverlustes.
Endodontische Aspekte
Akzessorische Kanäle, die von der Pulpa abgehen und in die Furkation münden, ermöglichen bei einer Pulpanekrose die Migration von Bakterien in die Furkation. Hier führen sie zu einer entzündlichen Läsion und zum interradikulären Knochenrückgang.6, 9, 10 Die Diffenzierung zwischen parodontaler, endodontischer oder einer kombinierten Genese des Furkationsbefalls ist schwierig.11
Auch Komplikationen bei der Therapie apikaler Endo-Läsionen können eine Indikation für die Resektion darstellen. In der endodontischen Therapie kann vor allem die Wurzelkrümmung zur Herausforderung werden. Bei oberen Molaren kommt es deshalb gerade in der mesiobukkalen Wurzel zu Komplikationen. Bei unteren Molaren sind Komplikationen eher in der mesialen Wurzel zu erwarten. Zu den schwer beherrschbaren Komplikationen zählen vor allem die Via falsa, die Kanalobliteration und die Instrumentenfraktur.1 Betrifft die Komplikation nur eine Wurzel, kann diese durch Amputation oder Hemisektion entfernt werden. Voraussetzung für den Langzeiterfolg ist eine erfolgreiche Wurzelkanalbehandlung und dichte Wurzelfüllung der übrigen Kanäle.
Indikationen und Kontraindikationen
Zu den Indikationen gehören:
- Parodontale Läsionen – Furkationsgrad (II), III
- Profunde Kronen- und Wurzelkaries
- Komplikationen in der endodontischen Therapie
Zu den Kontraindikationen zählen:
- Resektion technisch nicht durchführbar
- Unzureichende Qualität der Restpfeiler
- Prothetisch nicht zu versorgen
- Fehlende Compliance
Die resektiven Techniken
Das Ziel der resektiven Therapie besteht in der Beherrschung der Furkation. Der chirurgische Zugang, in Verbindung mit der Wurzelseparation oder -resektion, öffnet die Möglichkeit der Instrumentierung des interradikulären Raumes, die Glättung der Wurzeloberfläche und die präparatorische Entfernung der Unterschnitte. Folgende Techniken stehen hierzu zur Verfügung:
- Wurzelamputation:Entfernung einer oder mehrerer Wurzeln,wobei der koronale Anteil des Zahnes erhalten bleibt.2, 4, 12
- Hemisektion: Extraktion einer oder mehrerer Wurzeln, wobei der koronale Zahnanteil mit entfernt wird.2, 4, 13
- Trisektion: Separation eines dreiwurzeligen Zahnes mit oder ohne Extraktion von einer oder mehreren Wurzeln.
- Prämolarisierung: Separation eines zweiwurzeligen Zahnes ohne Extraktion.2
Wahl der resektiven Technik
Die Wahl der resektiven Methode richtet sich nach Art und Ausmaß der Läsion. Es kann sich um eine parodontale (Furkationsgrad II und III), eine endodontische oder eine kombinierte Paro-Endo-Läsion handeln.
Die folgende Tabelle zeigt die Behandlungsvarianten in Abhängigkeit vom Befund:

Bei durchgängigen Furkationen (Grad III) im Oberkiefer ist die Trisektion, im Unterkiefer neben der Tunnelierung die Prämolarisierung/Hemisektion die bevorzugte Methode. Bestehen außerdem erhöhte Sondierungstiefen sollte zusätzlich eine Lappenoperation mit offener Kürettage erfolgen. Im gleichen Zuge können weitere Maßnahmen wie Gingivektomie, Ramping (Osteoplastik) und eine apikale Verschiebung des Lappens erfolgen. Bereits intraoperativ werden die Pfeiler präpariert, um sämtliche Unterschnitte zu entfernen.14 Ob Pfeiler entfernt werden müssen, kann oft erst nach Trennung und Präparation der Wurzeln endgültig entschieden werden. Maßgebend hierfür sind die Stabilität, die Achsenneigungen und ein ausreichendes Platzangebot zwischen den präparierten Stümpfen.15 Davon hängen die prothetische Versorgbarkeit und somit auch die Langzeitprognose ab.
Bei rein endodontischen Läsionen, ohne Furkationsbeteiligung, sollte ausschließlich die betroffene Wurzel durch Amputation/Hemisektion entfernt werden. Der restliche Wurzelstock bleibt somit intakt.
Ablauf der Behandlung
Die erfolgreiche Behandlung fußt auf dem Zusammenspiel aus konservierender, chirurgischer und prothetischer Therapie.
- Vorbereitende Maßnahmen
Die Versorgung mit einem adäquaten Provisorium ist für den Erhalt und die Ausformung der Weichgewebsstrukturen von zentraler Bedeutung. Es hat sich im Ablauf bewährt, den Provisorienabdruck ganz zu Beginn der Behandlung anzufertigen. Fehlende koronale Strukturen können vor dem Abdruck mit Wachs ausgeformt werden. - Endodontische Vorbehandlung
Die Versorgbarkeit der verbleibenden dentalen Strukturen hängt zunächst vom Erfolg der endodontischen Behandlung der verbleibenden Wurzeln ab. Daher muss zuerst eine suffiziente Wurzelkanalbehandlung, eventuell in Verbindung mit einem adhäsiven Aufbau erfolgen. Anschließend muss die periapikale Ausheilung abgewartet werden. Für vitale Zähne sind auch vitalerhaltende Verfahren für die Wurzelamputation beschrieben.16, 17 Für diese Verfahren ist das Indikationsspektrum beschränkt. Darüber hinaus existieren keine Langzeitergebnisse. - Chirurgisches Vorgehen
Grundsätzlich ist ein minimalinvasives Vorgehen angezeigt, um den maximalen Erhalt verbleibender Gewebsstrukturen sicherzustellen. Es werden zwei Vorgehensweisen unterschieden, die prothetische und die chirurgische Methode.18 Bei der prothetischen Methode erfolgen Resektion und Präparation in der gleichen Sitzung. Bei der chirurgischen Methode erfolgt zunächst die Resektion, die Präparation wird in einer späteren Sitzung durchgeführt. Aus Autorensicht wird das prothetische Verfahren bevorzugt. Der Vorteil besteht darin, die Präparation unter Sicht durchführen zu können. Somit kann die biologische Breite beachtet, ggf. im gleichen Zuge chirurgisch eingestellt werden.
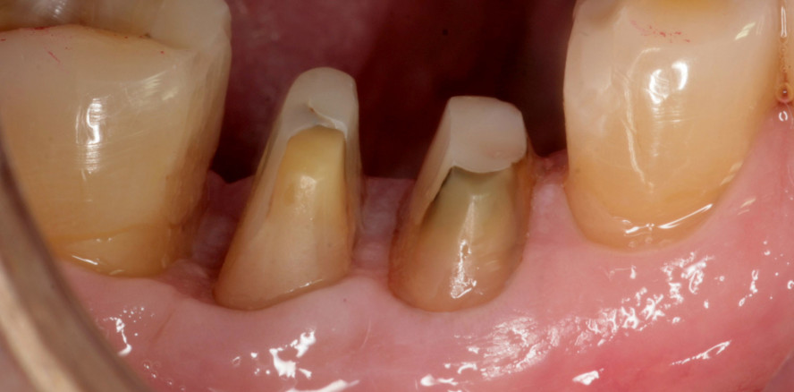
Zu Beginn erfolgt die Trennung im koronalen Anteil mit einem dünnen Diamanten. Dabei ist die Trennung zulasten der zu entfernenden Wurzel durchzuführen. Es sollte so viel Zahnhartsubstanz wie möglich erhalten bleiben. Im Anschluss wird die Wurzel mit der Lindemann-Fräse vorsichtig vom Wurzelstock getrennt. Die Wurzel wird mit Hebeln und Luxatoren so schonend wie möglich entfernt.
Wenn ein Lappenzugang notwendig wird, sollte dieser auf die Mobilisation der Papillen begrenzt bleiben. Bereits jetzt sollte überprüft werden, wo die spätere Präparationsgrenze verlaufen wird und eventuell eine chirurgische Kronenverlängerung durchgeführt werden. In den meisten Fällen ist es ratsam, bereits in dieser Sitzung zu präparieren (prothetische Methode).19 Unter Sicht kann die Präparationsgrenze gut definiert und die biologische Breite eingestellt werden. Auch die Einhaltung der Ferrule-Regel ist so besser möglich. Die Präparation zielt zunächst darauf ab, sämtliche Unterschnitte zu entfernen.19 Die natürlichen Einziehungen der Wurzeln werden mittels diamantierter Schleifer nivelliert. - Provisorische Versorgung
Der provisorischen Versorgung fällt eine Schlüsselrolle im Behandlungsablauf zu. Die marginalen Weichgewebe und Papillen müssen gestützt werden, damit es nicht zu Schrumpfungen oder dem Verlust des Emergenzprofils kommt. Die Ausformung mittels Pontic ist hierfür sehr gut geeignet. Das Provisorium muss perfekt ausgearbeitet und hochglanzpoliert sein. Es darf nur mit einem winzigen Tropfen provisorischen Zements eingesetzt werden, um zu verhindern, dass Überschüsse in die Wunde gelangen. Die provisorische Versorgung sollte zwei bis drei Monate getragen werden, bevor der Zahn definitiv versorgt wird. Durch das Abwarten der parodontalen Ausheilung können Veränderungen der Gewebe in der Prothetik berücksichtigt werden. Des Weiteren kann in dieser Phase auch die Mundhygiene auf die neue Situation abgestimmt und trainiert werden.6, 20 - Prothetische Versorgung
Die Versorgung der Restpfeiler ist obligatorischer Bestandteil des Behandlungskonzeptes. Der resezierte Zahn muss aus Stabilitätsgründen allein, oder verblockt mit weiteren Zähnen oder Pfeilern versorgt werden. Dabei ist auf eine ausgeglichene Okklusion zu achten.2, 21
Grundsätzlich empfiehlt es sich, eine substanzschonende Präparation vorzunehmen. Am ehesten eignet sich die Tangentialpräparation. Hieran schließt sich die Versorgung mit einer Goldrestauration an. Mit der Tangentialpräparation gelingt es, sämtliche Unterschnitte zu entfernen, so wie es von Carnevale et al. empfohlen wurde.6 Auch die minimalinvasive Hohlkehlenpräparation mit anschließender vollkeramischer Restauration kann geeignet sein. Voraussetzung ist, dass der Kronenrand hoch genug liegt, um eine suffiziente Trockenlegung und Klebung der Keramik gewährleisten zu können. Von der Stufenpräparation ist aufgrund des hohen Substanzabtrages abzuraten. Stiftverankerungen sollten ausschließlich dann verwendet werden, wenn die Stumpfhöhe für eine ausreichende Retention zu gering ist.2 Die Art der Versorgung von separierten und hemisezierten Zähnen muss sorgfältig gewählt werden. Die okklusale Gestaltung sollte ausgeglichen sein, Balancekontakte müssen unbedingt vermieden werden, Kontakte minimalistisch gestaltet sein.6 Es kann eine Einzelversorgung oder eine Verblockung mit Nachbarzähnen oder Nachbarstümpfen erfolgen. Das hängt letztlich von der Stabilität der Pfeiler ab, aber auch davon, ob ein Zahn endständig ist, oder stabile Nachbarzähne hat.
Diskussion
Die resektive Parodontalchirurgie ist ein seit 100 Jahren etabliertes Verfahren zur Behandlung von Furkationsdefekten.2 Langzeitstudien zeigen kumulative Überlebensraten von 81,2 bis 87,2 Prozent in Abhängigkeit von der angewandten Technik.4 Basten et al.4 berichteten für resezierte Molaren von einer Langzeitüberlebensrate von 92 Prozent über einen Zeitraum von zwölf Jahren. Misserfolge wurden jedoch durch Karies und endodontische Komplikationen verzeichnet. Diese vergleichsweise hohe Erfolgsrate wurde auch von Hamp et al.22 bestätigt. Im Gegensatz dazu wies Erpenstein auf ungünstige Langzeitergebnisse bei hemisezierten Molaren hin, wobei eine Gesamtverlustrate von 20,6 Prozent festgestellt wurde. Hauptursächlich für das Scheitern waren ebenfalls apikale Komplikationen.1 In Übereinstimmung mit diesen Ergebnissen kamen auch Bühler23 und Langer et al.24 in ihren Untersuchungen zu dem Schluss, dass die Ergebnisse anfänglich sehr positiv sind, im Langzeitverlauf jedoch ungünstiger ausfällt. Es bestehen jedoch erhebliche Variationen im Outcome, die unter Berücksichtigung der unterschiedlichen Techniken und der teils uneinheitlichen Nomenklatur in der frühen Literatur erklärt werden können. Darüber hinaus handelt es sich bei vielen der untersuchten Studien um Einzelzentrenanalysen, die daher potenziell einem behandlerbedingten Bias unterliegen. Hinsichtlich apikaler Komplikationen kann heute aufgrund der Weiterentwicklung endodontischer Techniken von einer verringerten Komplikationsrate im Vergleich zu den Ergebnissen früherer Studien ausgegangen werden. Während in der Literatur das prothetische und chirurgische Verfahren etwa gleichwertig behandelt werden, und es auch immer eine patientenindividuelle Entscheidung bleiben muss, kann anhand der eigenen Erfahrungen vom Autor das prothetische als das zu präferierende Verfahren empfohlen werden. Für die Behandlung der Furkation bleibt das offene Vorgehen ggf. in Verbin-dung mit einem apikalen Verschiebelappen das Verfahren der Wahl.2, 5, 6 Für Molaren mit endodontischen Komplikationen ohne Furkationsbeteiligung sollte hingegen ein minimalinvasives Verfahren gewählt werden, wobei sich die Lappenmobilisation, wenn nötig, auf die Papille beschränken sollte. Eine apikale Verschiebung sollte vermieden werden, um das Gingivaprofil zu erhalten.
Fazit
Dem Behandler stehen im Rahmen der Parodontitisbehandlung Stadium I–III variantenreiche Resektionsverfahren zur Verfügung, mit welchen konservativ nicht beherrschbare Furkationen behandelt werden können. Bei sorgfältiger Entfernung der Schlupfwinkel und Unterschnitte kann eine langzeitstabile hygienefähige Versorgung erfolgen. Die vorgestellten Techniken sind risikoarm und erfordern nur einen geringen chirurgischem Aufwand. Die Vorteile für den Patienten liegen in der minimalinvasiven Durchführung, der guten Prognose4 und den vergleichsweise geringen Kosten.
Die Literaturliste können Sie sich hier herunterladen.