Prophylaxe 17.02.2021
Parodontitis: Vor der Therapie steht die Diagnose
share
Die aktuelle Klassifikation parodontaler Erkrankungen
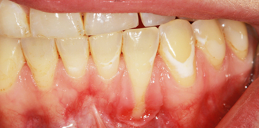
Parodontitis als Volkskrankheit betrifft mehr als die Hälfte der deutschen Erwachsenen. Nur ein systematisches Behandlungskonzept führt dazu, dass die Behandlung einer Parodontitis auch erfolgreich verläuft. Parodontitis ist eine vielfältige und komplexe Erkrankung, die ebenso vielfältig, individuell und strukturiert behandelt werden muss.
Die neue Klassifikation der parodontalen und periimplantären Erkrankungen soll durch eindeutige Falldefinitionen und festgelegte diagnostische Kriterien die Anwendbarkeit im Praxisalltag deutlich verbessern und die Diagnosestellung vereinfachen.
2018 wurde die bisherige Klassifikation der Parodontalerkrankungen von 1999 durch eine überarbeitete Version abgelöst. Mit dieser Klassifikation von parodontalen und periimplantären Erkrankungen und Zuständen steht den Behandlern eine neue Systematik zur Verfügung, um differenziertere Diagnosen treffen zu können, die wiederum personalisierte Therapiekonzepte ermöglichen. 110 Wissenschaftler aus der ganzen Welt haben sich unter maßgeblicher Beteiligung deutscher Experten beraten und eine Klassifikation nach neuestem wissenschaftlichen Stand erarbeitet. Diese orientiert sich an den bei der WHO üblichen Einteilungen wie z. B. bei Krebserkrankungen. Seit der letzten Klassifikation gab es einen enormen Wissenszuwachs, sodass eine Überarbeitung dringend notwendig wurde. Die Intention des Aufstellens einer neuen Klassifikation war die Aktualisierung der alten Einteilung, die fast ausschließlich auf klinischen Befunden beruhte. Die neue berücksichtigt nun auch ätiologische und pathohistologische Hintergründe. Gleichzeitig wurden periimplantäre Erkrankungen wissenschaftlich beschrieben.
Gingivale Gesundheit
Die neue Klassifikation ermöglicht auch erstmals, gingivale Gesundheit zu beschreiben. Hier wurde deutlich, dass es auf histopathologischer Ebene keine vollkommene Entzündungsfreiheit gibt und der Mund nicht zu 100 Prozent von Keimen gereinigt werden kann. Daher ist der Zustand der gingivalen Gesundheit nur klinisch feststellbar, der sich durch die Abwesenheit klinisch messbarer Entzündung auszeichnet.
Es gibt drei Kategorien klinischer gingivaler Gesundheit:
- klinisch gingivale Gesundheit bei intaktem Parodont
- klinisch gingivale Gesundheit bei reduziertem Parodont: stabile Parodontitispatienten
- klinisch gingivale Gesundheit bei reduziertem Parodont: Patienten ohne Parodontitis (z. B. bei Rezessionen oder nach chirurgischer Kronenverlängerung)
Diese drei Kategorien unterscheiden sich durch den messbaren klinischen Attachmentverlust. Es wurden jeweils Schwellenwerte zur Abgrenzung zwischen Gingivitis und gesunden gingivalen Verhältnissen definiert. Hier nimmt das Bluten auf Sondieren als Marker für eine bestehende Entzündung eine entscheidende Rolle ein.
Drei Hauptformen der Parodontitis
Die wohl größte Neuerung fand im Bereich der Parodontitis statt. Die aktuelle Einteilung unterscheidet nun nur noch drei Formen:
- nekrotisierende Parodontitis
- Parodontitis als Manifestation systemischer Erkrankungen
- Parodontitis als alleinige Kategorie
Damit wurde die Einteilung vereinfacht, indem die im Praxisalltag häufig schwierige Unterscheidung zwischen aggressiver und chronischer Parodontitis entfällt. Die weitere Differenzierung der Parodontitis erfolgt durch das Anwenden eines Staging- und Grading-Systems, wie es u. a. in ähnlicher Weise aus der TNM-Klassifikation für maligne Tumore bekannt ist. Das neue System hat den Vorteil, vielfältige neue Faktoren in die Diagnose einfließen zu lassen und so ein multidimensionales Bild der Erkrankung zu erfassen.
Staging und Grading
Die Parodontitis wird nach der neuen Systematik anhand der beiden Faktoren „Staging“ (Stadium) und „Grading“ (Grad) individuell charakterisiert. Das Stadium zwischen I und IV charakterisiert dabei den Schweregrad und das Ausmaß der Erkrankung sowie die Komplexität der Therapie zur langfristigen Aufrechterhaltung von Funktion und Ästhetik der Dentition des Patienten. Bestimmt wird das Stadium durch klinische und röntgenologische Befunde, wie klinischer Attachmentverlust, röntgenologischer Knochenabbau, Sondierungstiefen, Existenz vertikaler Defekte und Furkationsbeteiligungen, Zahnbeweglichkeit und Zahnverluste durch Parodontitis (Tab. 1).

Das Stadium I entspricht einer frühen, beginnenden, Stadium II einer moderaten Parodontitis. Beide Erkrankungsstadien können in der Regel durch die nichtchirurgische Therapie kontrolliert werden und ihre Langzeitprognose ist bei guter Patientencompliance und entsprechender parodontaler Nachsorge sehr gut. Stadium III steht für eine fortgeschrittene Parodontitis, deren klinische Merkmale die Therapie komplex macht und in der Regel weiterführende parodontalchirurgische Maßnahmen erfordert. Stadium IV ist durch eine noch größere Schwere und Komplexität der Erkrankung mit fortgeschrittenen Zahnverlusten und einer möglicherweise gestörten Kaufunktion charakterisiert. Dieses Stadium verlangt zumeist ein umfangreiches Behandlungskonzept, das über eine ausschließlich parodontale Behandlung hinausgeht.
Für das erste Staging sollte der klinische Attachmentverlust (CAL) herangezogen werden. Sind diese Informationen nicht verfügbar, sollte der röntgenologische Knochenabbau verwendet werden. Die Information, ob Zähne primär aufgrund einer Parodontitis verloren gegangen sind, kann, sofern verfügbar, das Staging verändern, auch in Abwesenheit weiterer Komplexitätsfaktoren. Diese können es nur verschlechtern, z. B. wird bei Furkationsbefall von Grad II oder Grad III immer Stadium III oder IV – unabhängig vom CAL – diagnostiziert. Stadium III und IV unterscheiden sich primär anhand seiner Komplexitätsfaktoren. So führt ein hohes Maß an Zahnbeweglichkeit und ein Verlust der Bisshöhe zur Einteilung in Stadium IV. Es wird nur ein einziger Komplexitätsfaktor benötigt, um die Diagnose hin zu einem höheren Stadium zu verändern. Es wird betont, dass diese Falldefinitionen lediglich Leitlinien darstellen, die mit profundem klinischem Urteilsvermögen eingesetzt werden sollen, um zur richtigen Diagnose zu gelangen. Für Patienten nach aktiver Therapie stellen CAL und KA weiterhin die primären Determinanten des Stadiums dar. Auch wenn Komplexitätsfaktoren, die zu höherem Staging geführt hatten, durch die Behandlung eliminiert wurden, soll keine Herabstufung erfolgen, weil dieser Faktor immer in der Erhaltungstherapie Berücksichtigung finden sollte.
Das Grading, also die Grade von A (geringstes Risiko bzw. langsame Progression) bis C (höchstes Risiko bzw. schnelle Progression), berücksichtigt die biologische Beschaffenheit der Erkrankung und gibt Aufschluss über deren Voranschreiten. Hier werden Risikofaktoren wie das Rauchen, Begleiterkrankungen (z. B. Diabetes), aber auch bereits stattgefundene Zerstörung des Zahnhalteapparats berücksichtigt (Tab. 2). Dies sorgt dafür, dass die Klassifikation auch patientenindividuelle Faktoren besser berücksichtigt und dadurch weitreichendere Therapieansätze gewählt und somit eine umfassende Versorgung des Patienten gewährleistet werden kann.
Das Grading sollte als Indikator für die Geschwindigkeit der Parodontitisprogression verwendet werden. Die primären Kriterien sind entweder die direkte oder indirekte Evidenz für Progression. Sofern vorhanden, wird direkte Evidenz verwendet. Wenn diese nicht vorliegt, kann indirekt über die Relation des Knochenabbaus zum Lebensalter des Patienten bei dem am stärksten betroffenen Zahn (röntgenologischer Knochenabbau in Prozent der Wurzellänge dividiert durch das Alter des Patienten in Jahren, KA/Alter) auf die vergangene Progression geschlossen werden. Zunächst sollte allen Patienten ein Grad B zugeordnet werden. Danach soll nach Evidenz gesucht werden, die eine Einstufung in Grad A oder C rechtfertigen würde. Ähnlich dem Staging kann nach Bestimmung des Gradings eine Modifikation auf der Basis von Risikofaktoren erfolgen.

Periimplantäre Erkrankungen
Periimplantäre Erkrankungen nehmen in der Praxis deutlich zu und die neue Klassifikation gibt gezielte Definitionen und Merkmale für periimplantäre Gesundheit, periimplantäre Mukositis, Periimplantitis und periimplantäre Weich- und Hartgewebedefekte.
Berücksichtigung der Klassifikation in der neuen PAR-Behandlungsrichtlinie
Zum 1. Juli 2021 wird die jüngst vom Gemeinsamen Bundesausschuss beschlossene erweiterte Richtlinie zur systematischen Behandlung von Parodontitis und anderen Parodontalerkrankungen in Kraft treten. Die neue Richtlinie setzt dabei auch auf die aktuelle Klassifikation. So komplex die neue Einteilung auf den ersten Blick auch erscheinen mag, nach genauerer Auseinandersetzung lässt sich das Muster leicht erkennen. Jeder Behandler sollte die Zeit bis Juli nutzen, um sich damit vertraut zu machen.
Von der Klassifikation zur Therapie: die neue Leitlinie
In Anlehnung an die neue Klassifikation hat die European Federation of Periodontology (EFP), also der europäische parodontologische Verband, im Juli 2020 eine umfängliche S3-Leitlinie veröffentlicht. Auf der Basis von 15 von renommierten internationalen Autorenteams durchgeführten systematischen Übersichtsarbeiten wurden 62 klinische Schlüsselempfehlungen zur Therapie der Parodontitis der Stadien I bis III erarbeitet. Diese Empfehlungen folgen einem stringenten, aufeinander aufbauenden Stufenkonzept, welches es ermöglicht, den Patienten strukturiert und auf dem höchsten derzeit verfügbaren Evidenzlevel zu behandeln.
Die Deutsche Gesellschaft für Parodontologie e.V. (DG PARO) hat unmittelbar nach der Veröffentlichung diese Empfehlungen in einem aufwendigen Verfahren auf deutsche Verhältnisse angepasst. Nach der Übersetzung der S3-Leitlinie und der Einbeziehung von Vertretern anderer wissenschaftlicher Fachgesellschaften, der Standesorganisationen und von Patientengruppen wurden alle 62 Empfehlungen diskutiert, abgestimmt, zumeist adoptiert (übernommen) und einige auch adaptiert (geringfügig abgewandelt und an die deutschen Verhältnisse angepasst). Die deutsche Version der Leitlinie befindet sich derzeit in der Endabstimmung aller beteiligten Gesellschaften sowie Verbände und soll im Frühjahr durch die DG PARO veröffentlicht werden.
Der Beitrag ist im Prophylaxe Journal erschienen.
