Prophylaxe 28.02.2011

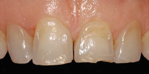
Achtung, erosiv!



Achtung, erosiv!

Unsere Zähne im Schussfeld der Säuren

Menschlicher Schmelz besteht nicht aus stöchiometrisch reinem Hydroxylapatit. Während der Bildung eingebaute „Fremdionen“, vor allem Karbonate, machen den Schmelz angreifbar, sodass karbonierter menschlicher Schmelz leicht aufgelöst werden kann. Der Genuss von zitronensäurehaltigen Getränken verstärkt diesen Prozess, indem gleichzeitig auch Kalziumionen aus dem Apatitkristall herausgelöst werden.


Menschlicher Schmelz besteht aus einem kalziumdefizienten, karbonierten Hydroxylapatit, wobei anstelle der stöchiometrisch reinen Zusammensetzung Ca10(PO4)6(OH)2 eher die Formel Ca10-xNax(PO4)6-y (CO3)z(OH)2-uFu zutrifft. Kalzium wird dabei vornehmlich durch Natrium, seltener aber auch durch Magnesium oder Kalium ersetzt. Phosphatanteile können (nicht im Verhältnis 1:1) durch Karbonationen ausgetauscht sein; an die Stelle von Hydroxylionen können Fluoride treten. Diese stöchiometrisch unreine Zusammensetzung führt dazu, dass sich der Schmelz im Falle eines Säureangriffes vergleichsweise leicht auflösen kann. Ähnliche Schwachstellen weisen die Apatite des Dentins auf; der Karbonatanteil des Schmelzes liegt bei etwa 3%, während derjenige des Dentins mitetwa 6% doppeltso hoch liegt. Gleichzeitig sind die Kristalle des Dentins wesentlich kleiner, sodass hieraus eine größere Oberfläche und damit eine gleichzeitig höhere Auflösungsrate resultieren. Der Säureangriff der positiv geladenen Protonen ist primär gegen die negativ geladenen Anionen (Hydroxyl-, Phosphat- und Karbonationen) gerichtet. Bei diesem Vorgang wird die Oberfläche direkt angeätzt.

Kombination aus Säureangriff und Chelatbildung

Ein nur auf die Protonen (H+-Ionen) beschränkter Angriff findetin der Mundhöhle vergleichsweise selten statt, da hierfür starke Säuren (z. B. Salzsäure) erforderlich sind. Nahrungsbedingt nehmen wir jedoch vorzugsweise schwache Säuren (Essigsäure, Zitronensäure) auf. Auch die in Cola-Getränken enthaltene Phosphorsäure wird den schwachen Säuren zugerechnet. Wenn diese schwachen Säuren Protonen abgeben (dissoziieren), bleiben anionische Molekülreste zurück, die wiederum mit positiv geladenen Ionen der Zahnhartsubstanz reagieren können. Während bei Anwesenheit von Salzsäure (HCl) das Chloridion (Cl-) keine Rolle spielt und daher in diesem Fall eine reine Schmelz- oder Dentin-Ätzung resultiert, verhält es sich beispielsweise beim Genuss von Zitronensäure grundsätzlich anders. Die Zitronensäure kann bis zu drei Protonen abgeben; eine vollständige Dissoziation tritt jedoch selten auf.

In der Regel werden jedoch nur ein oder zwei H+-Ionen abgegeben, sodass ein negativ geladener Zitratrest zurückbleibt. Dieser Zitratrest kann nun mit den positiv geladenen Kalziumionen aus dem Apatit reagieren. Dabei entsteht ein Chelatkomplex, der über eine koordinative Bindung zwischen Zitratrest und Kalzium einigermaßen stabil ist. Auf diese Weise werden also beim Genuss von zitronensäurehaltigen Nahrungsmitteln durch die abgegebenen Protonen einerseits die Phosphat- (und Karbonat-) Ionen angegriffen, andererseits aber über die beschriebene Chelatbildung mit dem Zitratrest auch die Kalziumionen aus dem Apatitgitter herausgelöst. Diese Reaktion verläuftauf prinzipiell ähnliche Weise bei vielen anderen schwachen Säuren, wobei die Bindung zum Kalzium häufig nicht so stark ist wie bei der Zitronensäure; somit ist das erosive Potenzial deutlich geringer. Hierzu gehören beispielsweise die Milchsäure und die Essigsäure.

Präventive Therapiekonzepte

Die Therapie der Erosion ist wegen ihrer primär chemischen Natur idealerweise präventiv auszurichten. Der einfachste Weg besteht in der Vermeidung von hochfrequent aufgenommenen Nahrungsmitteln oder Erfrischungsgetränken mit schwachen Säuren; hierzu zählen Ananas-, Apfel-, Grapefruit- und Orangensäfte, aber auch Colagetränke und Wein. Ähnliche Wirkungen sind jedoch auch von in Wasser aufgelösten Medikamenten wie Aspirin (Salizylsäure) oder Vitamin C (Ascorbinsäure) zu erwarten. Das erworbene Schmelzoberhäutchen vermag die Säurewirkung deutlich abzuschwächen und stellt einen wirksamen natürlichen Schutzmechanismus dar.

Auch die beim Putzen mitfluoridhaltigen Zahnpasten gebildeten und sich auf der Zahnhartsubstanz auflagernden Kalziumfluoridschichten bilden bis zu einem gewissen Grad einen effektiven Schutz gegen den Angriff der beschriebenen Säuren, indem die Protonen vom Fluorid gewissermaßen abgefangen werden. Auch aus diesem Grunde sollte das Zähneputzen im Falle eines beabsichtigten Genusses von Fruchtsäften vor (und nicht nach dem Genuss) erfolgen, um ausreichend starke Kalziumfluoriddepots auf der Zahnhartsubstanz anzulagern.

Autoren: Prof. Dr. Andrej M. Kielbassa, OA Dr. Peter Tschoppe/Berlin


Mehr Fachartikel aus Prophylaxe

ePaper