Prophylaxe 16.06.2011

Endokarditisprophylaxe: Was ist seit 2007 anders geworden?



Endokarditisprophylaxe: Was ist seit 2007 anders geworden?

Das Risiko, an einer Endokarditis zu erkranken, ist in der Normalbevölkerung bei Herzgesunden sehr gering (Tabelle 1 und 2). Grundsätzlich kann jeder Mensch an einer Endokarditis erkranken, und unbehandelt ist der Krankheitsverlauf meist tödlich. Eine erhöhte Gefahr, an einer Endokarditis zu erkranken, besteht jedoch bei Menschen mit angeborenen oder erworbenen Herzfehlern, insbesondere nach Herzklappenersatz (Tabelle 3).1–3

 

Bis zum Ende des Zweiten Weltkrieges spielte die Herzchirurgie keine bedeutende Rolle, weder in Deutschland noch weltweit. Allerdings wird die erste erfolgreiche Naht einer Herzwunde 1896 häufig als Beginn der Herzchirurgie bezeichnet. Die erste erfolgreiche Operation bei einem angeborenen Herzfehler war der operative Verschluss eines persistierenden Ductus Botalli (R. E. Gross, Boston 1938) sowie eine Verbindung der rechten A. subclavia (Schlüsselbeinarterie) mit der rechten Pulmonalarterie, zur Heilung der „Blausucht“ durch einen sogenannten „BT-Shunt“ (Blalock-Taussig) bei einem Kind mit Fallot‘scher Tetralogie (A. Blalock, H. B. Taussig, Baltimore 1944). Mit der Entwicklung der Herz-Lungen-Maschine (J. H. Gibbon, 1953) kam es zur Ära der Operationen am offenen Herzen und der weiteren Entwicklung der modernen Herzchirurgie. 4–8 

 


Dank der weltweiten Entwicklung von verschiedenen Therapiemethoden und hervorragenden Leistungen in den spezialisierten Herzzentren sind sowohl die gesamte Überlebensrate als auch die Lebensdauer und die Lebensqualität solcher Patienten signifikant angestiegen, insbesondere in den letzten drei Dekaden. Durch die Operationen am offenen Herzen (Abb. 1) sowie interventionelle Therapien mittels Herzkatheter (Abb. 2) sind solche Zentren in der Lage, selbst schwere Herzfehler zu korrigieren oder zumindest den Kreislauf zu stabilisieren. Das führt dazu, dass fast 90 Prozent der Patienten mit angeborenen Herzfehlern das Erwachsenenalter erreichen. Ein Teil dieser behandelten Patienten hat aber ein Leben lang ein erhöhtes Endokarditisrisiko zu tragen, das zu definieren, ist eine der Aufgaben des behandelnden Kardiologen.  


Endokarditis 

Die Endokarditis ist eine Entzündung der Herzinnenhaut (Endokard), die die Herzhöhlen und den herznahen Anteil der Arterien und Venen auskleidet und auch die Struktur der Herzklappensegel bildet (Abb. 3 und 4). Die Prävalenz der infektiösen Endokarditis wird in der Allgemeinbevölkerung mit 11 bis 50 Erkrankungen pro 1.000.000 Einwohner jährlich angegeben.9 Bei mindestens 40 Prozent der Fälle ist dabei die Ursache der transitorischen Bakteriämie unbekannt. Die Inzidenz beträgt 0,34 auf 1.000 Patientenjahre; nur zehn Prozent der Kinder haben keinen vorbestehenden Herzfehler und 40 Prozent aller Endokarditiden betreffen Kinder nach Herz-OP. Jugendliche mit intravenösem Drogenmissbrauch sowie Kinder mit reduzierter Immunkompetenz sind auch stark gefährdet an einer Endokarditis zu erkranken. Bei allen Herzfehlern, bei denen der Blutstrom im Herzen nicht „normal“ ist, kann es durch Verwirbelungen des Blutstromes an immer wieder den gleichen Stellen zu kleinsten Verletzungen der Herzinnenhaut (Endokard) oder der Gefäßinnenwand (Intima) kommen. Reparaturprozesse durch Thrombozyten und Fibrin lassen weiße nicht infizierte endokarditische Thromben entstehen (Abb. 5). Diese Stellen sind dann anfällig für eine Entzündung, wenn (meistens) Bakterien, aber auch Pilze oder Viren ins Blut kommen und an einem weißen Thrombus adhärieren. Kommt es zu einer transitorischen Bakteriämie – dem massiven Einstrom von Bakterien in die Blutbahn –, kann aus einer thrombotischen Endokarditis eine infektiöse Endokarditis werden. Von dort aus beginnt eine Infektion, die auf weitere Anteile der Herzinnenhaut und eine oder mehrere Herzklappen übergreift (Abb. 3 und 4).1–3, 10–12 

Die häufigsten Erreger sind Streptococcus viridans (46%), Staphylacoccus aureus (15%) und gramnegative Erreger (12%). Bei 5–25 Prozent gelingt der Keimnachweis nicht. Der Verlauf einer solchen Infektion kann hochakut (bakterielle Endokarditis, verursacht meistens durch Staphylococcus aureusStreptococcus oder Enterococcus) sein oder subakut (Endokarditis lenta, verursacht meist durch Streptococcus viridans [S. sanguis, S. bovis, S. mutans, S. mitis]). Im Rahmen dieser Entzündungsreaktion können sich Teile des thrombotischen Materials lösen und durch Embolisation in andere Organe (Gehirn, Lunge, Netzhaut, Niere, Milz, Haut, Extremitäten u.a.) zu schweren Komplikationen führen. Wenn eine akute septische Erkrankung überstanden ist, kommt es im weiteren Verlauf meist auch zu Destruktionen bis zur vollständigen Zerstörung von Herzklappen mit einer Funktionseinschränkung oder gar komplettem Funktionsverlust. Daraus resultiert eine schwere Herz- und Kreislaufinsuffizienz, was wiederum ohne dringlichen speziellen und in der Regel herzchirurgischen Eingriff nicht überlebt werden kann. 

Die chirurgischen Therapien bedeuten meistens einen Klappenersatz mit einer entweder biologischen oder mechanischen Prothese und allen dazu gehörigen Problemen (erhöhtes Endokarditisrisiko, Re-Operation, Antikoagulation) (Abb. 6 und 7). Eine Bakteriämie kann durch Zahnärzte in vielfältiger Weise und mit hoher Bakterienzahl ausgelöst werden (Tabelle 4). Die Gabe von geeigneten Antibiotika – zum richtigen Zeitpunkt – verhindert die Adhärenz von Bakterien am abakteriellen Thrombus.13 


Zahnärztliche Anamnese und Endokarditisrisiko 

 Patienten mit einem erhöhten Endokarditisrisiko in der zahnärztlichen Praxis zu identifizieren, ist eine wichtige Aufgabe, die mit einer guten Anamnese gelöst werden könnte. Aber es gibt Umstände, die diese Möglichkeit erschweren. Endokarditisrisikopatienten haben heutzutage kein stigmatisierendes Aussehen mehr (Abb. 8, 9 und 10). Die klassischen Zeichen eines zyanotischen Vitiums: zyanotische Lippen, Uhrglasnägel und Trommelschlägelfinger sind Raritäten geworden. Zahnärzte, die Patienten mit angeborenen Herzfehlern sofort an die nächste Universitätsklinik überweisen, provozieren bei betroffenen Patienten manchmal den Wunsch, ihr Leiden zu verschweigen und es in der Anamnese zu unterschlagen. Ein Beispiel zeigt, wie das passieren kann.

Der Vater eines Kindes mit einem hohen Endokarditisrisiko bat um eine kontinuierliche professionelle Mundhygieneunterstützung bei seinem Kind an seinem Wohnort in Brandenburg. Die Kollegin verwies den Vater an die Berliner Zahnklinik, weil sie meinte, das Risiko der Behandlung nicht tragen zu können. Für An- und Abfahrtwege einschließlich der eigentlichen zahnmedizinischen Maßnahme musste sich der Vater jeweils einen freien Tag bei seinem Arbeitgeber erbitten. Bei einer Fortbildung für Eltern im Deutschen Herzzentrum Berlin verriet dieser Vater, nicht mehr den Herzfehler seines Kindes in der Anamnese zu erwähnen, um sich den Aufwand der Fahrt nach Berlin zu ersparen.

Vergesslichkeit ist ein weiterer Faktor, der die Anamnese verfälschen kann. Aber auch die nicht sorgfältig erhobene Anamnese ist als Fehlerquelle denkbar. Ein Herzpass sollte von betroffenen Patienten ungefragt dem jeweiligen Arzt oder Zahnarzt für anamnestische Zwecke vorgelegt werden (Abb. 11). Dieser wurde in den letzten 25 Jahren dreimal überarbeitet und jeweils anders gewichtet. Vor 1997 wurde bei Hochrisikopatienten vor einem blutigen Eingriff – besonders bakteriämieträchtig an einem entzündeten Sulkus gingivae – eine intravenöse antibiotische Prämedikation für erforderlich gehalten (Abb. 12). Eine Stunde vor einem blutigen zahnmedizinischen Eingriff erfolgte die intravenöse Prämedikation und sechs Stunden nach dem Eingriff erfolgte nochmals eine reduzierte Gabe des Antibiotikums. Nach 1997 wurde nur noch oral prämediziert. 14

Als ein Nebeneffekt trat auch eine wohltuende Vereinheitlichung der Herzpässe ein. Nicht jede medizinische Gesellschaft meinte, einen eigenen Herzpass herausgeben zu müssen, sondern man einigte sich auf den der Grünenthal GmbH (Aachen). Es gab einen roten und einen blauen Herzpass entsprechend für die Patienten mit mittlerem und hohem Endokarditisrisiko (Abb. 11). Beim roten Herzpass wurde bei Kindern eine Stunde vor dem Eingriff entweder mit 50 mg/kg Körpergewicht mit einem Breitbandpenicillin, meist Amoxicillin, prämediziert und 15 mg/kg Körpergewicht sechs Stunden nach dem Eingriff. Beim blauen Herzpass wurde nur eine Stunde vor dem jeweiligen Eingriff prämediziert.13–15 

Seit 2007 werden nur noch die Hochrisikopatienten antibiotisch prämediziert (Tabelle 3).16 Bei welchen zahnärztlichen Maßnahmen die Antibiose bei diesen Patienten nicht vergessen werden darf, zeigt Tabelle 4. Man sollte aber als Zahnarzt nicht auf die Idee kommen, dass alle alten blauen Herzpässe nun bedeuten, dass der Patient keine antibiotische Prophylaxe mehr benötigt, sondern es ist nach wie vor die individuelle Entscheidung des Kardiologen, eine antibiotische Prophylaxe vor einem zahnärztlichen Eingriff für seinen Patienten von uns zu fordern.

Der aktuelle Herzpass (Abb. 11) sollte für jeden Patienten angestrebt werden. Dadurch wird deutlich, ob der behandelnde Kardiologe noch eine antibiotische Prävention für erforderlich hält. Ein Telefonat zwischen Kardiologe und Zahnarzt über dessen therapeutische Vorhaben ermöglicht dem Arzt, Umfang und zu erwartende Bakteriämie einzuschätzen und Empfehlungen zur Antibiose zu geben.16–18 Bei einigen wenigen Patienten besteht eine Penicillinallergie, dann ist Clindamycin das Mittel der zweiten Wahl. Aber gerade bei Kindern wird oftmals von einer Allergie gesprochen, die in Wirklichkeit gar nicht besteht und demzufolge bekommt das Kind für den Rest seines Lebens nur das zweitbeste Medikament mit den entsprechend höheren Risiken.9 Eine Allergie sollte immer durch einen Allergietest belegt sein. Es handelt sich ansonsten oftmals um eine Toxergie, die weiterhin die Einnahme von Penicillin ermöglichen würde. Wie Clindamycin dosiert werden muss und welche dritte Alternative sich bietet, zeigt Tabelle 5.  


Wie entsteht ein Herzfehler? 

Ein Herzfehler kann in den ersten Schwangerschaftswochen entstehen und in allen Phasen der Herzentwicklung auftreten. Daher sind viele verschiedene Herzfehler möglich. Die Erstbeschreibung eines angeborenen Herzfehlers gehört Leonardo da Vinci: „I have found from A, left auricle to B, right auricle, a perforating channel from A to B which I note here to see whether this occurs in other auricles or other hearts” (Quarderni d’Anatomia II [1513]). Dabei beschreibt Leonardo da Vinci nichts anderes als einen Vorhofseptumdefekt. Die Ursachen der Herzfehler sind zum Teil genetische Assoziationen (8% Trisomie der Gene 21, 18, 13), zum Teil sind es Umgebungseinflüsse (2 % Drogen, Infektionen, Strahlen, mütterlicher Diabetes), jedoch zu 90 Prozent bleibt die Ursache unbekannt. Die häufigsten bekannten Assoziationen sind z.B. atrioventrikulärer Septumdefekt (bis 50 %) bei Trisomie 21 (Abb. 8) oder supravalvuläre Aortenstenose (90%) bei den Kindern mit Williams-Beuren-Syndrom (Abb. 9). 

Vom 20. Tag der Schwangerschaft bis zum 43. Tag in der Embryogenese entwickelt sich das Herz aus einem Schlauch zu einer vierkammerigen Saug-Druckpumpe. Da zu diesem Zeitpunkt die werdende Mutter manchmal noch nichts von ihrer Schwangerschaft weiß, sollten grundsätzlich negative Einflussfaktoren wie Stress, Alkohol-, Nikotin- und Drogenkonsum vermieden werden. Mit acht auf 1.000 Lebendgeburten ist der angeborene Herzfehler die häufigste Missbildung überhaupt und die häufigste angeborene Erkrankung. Wenn jedes 100. bis 125. Neugeborene mit einem Herzfehler auf die Welt kommt, bedeutet das circa 6.000 neue Herzfehler/Jahr in Deutschland. Jedoch erreichen dank der modernen diagnostischen und therapeutischen Möglichkeiten 90 Prozent der Kinder das Erwachsenenalter. Derzeit leben circa 250.000 Patienten mit angeborenem Herzfehler in Deutschland und diese Patientengruppe wird weiter ansteigen.  


Zahnärztliche Prophylaxe und Therapie 

 Meist wissen die Eltern schon bei der Geburt oder sogar davor vom Herzfehler ihres Kindes. Nachdem die Kinderkardiologen mit den Eltern die zu erwartende( n) OP(s) oder Katheterintervention( en) besprochen haben, sollte der ärztliche Hinweis erfolgen, dass für ein erkranktes oder fehlgebildetes Herz kariöse Zähne und Gingivitis ein sehr großes Problem darstellen (Abb. 13): Endokarditisrisiko! Karies und Gingivitis werden nicht vererbt, sondern sind ein dem Verhalten entspringendes Problem. Eltern mit oralen Problemen müssen darauf aufmerksam gemacht werden, dass eine Sanierung ihrer Münder der späteren Mundgesundheit ihres Kindes zuträglich ist.

Die Eltern haben meist ein halbes Jahr lang Zeit, um diese Maßnahmen zu betreiben. Die Sanierung von kariösen Defekten und die Behandlung einer Parodontitis sind ein Aspekt der Prävention. Eine verbesserte Mundhygiene und eine kohlenhydratreduzierte Ernährung sind die anderen Faktoren, die bedacht werden müssen. Je schlimmer der Ausgangsbefund bei den Eltern ist, desto wichtiger ist die Notwendigkeit, auch mit Chlorhexidin zu therapieren.19 Was soll nun mit der Sanierung, der verbesserten Mundhygiene und der Verhaltensänderung in Bezug auf Ernährung erreicht werden?  Der Infektionsdruck, der von Müttern, aber auch von Vätern, großen Geschwistern und allen Menschen ausgeht, die einen innigen Kontakt zu dem kleinen Menschen mit angeborenem Herzfehler haben, muss gesenkt werden. Wenn der kleine Patient mit 0,5 Jahren seine ersten Milchzähne bekommt, sollte die zahnärztliche Therapie der Eltern abgeschlossen sein, denn nun könnten kariespathogene Bakterien im Munde des Kindes siedeln (window of infectivity).20 


Verhalten von betroffenen Eltern 

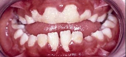
 Die häufigen Krankenhausaufenthalte und das oftmals schwierige Essverhalten der Kinder führen dazu, dass Eltern Kompromisse eingehen. Sie geben den Kindern zu viele Nahrungsmittel mit einem Überangebot an Kohlehydraten. Auch Mundhygienemaßnahmen werden bei den Kindern oftmals nicht konsequent durchgesetzt. Die Eltern haben das Gefühl, ihrem vom Schicksal benachteiligten Kind nicht die Strenge zeigen zu dürfen, die notwendig wäre,  um orale Prävention in effizienter Weise zu installieren. Besonders bei Kindern mit sozial niederer Herkunft sind oftmals große zahnärztliche Probleme zu verzeichnen. Meist ist hier eine Plastiksaugerflasche gefüllt mit gesüßtem Tee, aber auch mit Apfel- oder Orangensaft die katastrophale Kraft, die zur Vernichtung der Milchzähne beiträgt (Abb. 14).

Sanierungen in Narkose, meist vor korrigierenden Herz-OPs, sind langfristig wenig erfolgreich (Abb. 15). Die eigentliche Ursache wird nicht behoben und schon bald ist wieder ein orales Problemfeld vorhanden. Auch der operative Erfolg des jeweiligen Herzzentrums wird durch die problematische orale Situation manchmal infrage gestellt. Die unterstützende Beratung durch den Kinderkardiologen kann hier nicht hoch genug eingeschätzt werden. Das Bestreben der Eltern und auch der behandelnden Zahnärzte muss sein, durch Prävention jegliche Karies und Gingivitis beim betroffenen Kind zu verhindern (Abb. 16).  


Zusammenfassung 

 Die Aktualisierung der Leitlinien zur Endokarditisprophylaxe der Deutschen Gesellschaft für pädiatrische Kardiologie und der American Heart Association im Jahr 2007 sollte konsequent umgesetzt werden, indem alle Hochrisikopatienten den neuen Herzpass erhalten.16–18 Der Schwerpunkt der Endokarditisprophylaxe sollte weg von der Sekundärprophylaxe durch Antibiotika hin zur Primärprophylaxe durch regelmäßige und konsequente Therapie und Prophylaxe von Karies und Gingivaerkrankungen verlegt werden. Nichtsdestotrotz muss jeder Patient mit einem Endokarditisrisiko durch seinen aktuellen Herzpass und durch gesicherten Kenntnisstand über die Notwendigkeit einer antibiotischen Prophylaxe bei zahnärztlichen Eingriffen informiert sein. Ist das nicht der Fall, sollten Kardiologe und Zahnarzt sich über das Risiko des jeweiligen Patienten verständigen.  

Eine ausführliche Literaturliste finden Sie hier.

Mehr Fachartikel aus Prophylaxe

ePaper